Terminación nerviosa de Merkel


Los discos de Merkel, complejos célula de Merkel-neurita, domo táctil o terminaciones nerviosas de Merkel son mecanorreceptores que se encuentran en la piel y mucosa de los vertebrados. Son complejos celulares que están formados por agrupaciones de: células de Merkel (MC) especializadas táctiles de la epidermis, por queratinocitos columnares y por dendritas de neuronas sensoriales aferentes. Son abundantes en los dedos y, en los mamíferos que tienen, en folículos de las vibrisas. Los complejos de Merkel proporcionan información al cerebro que tiene que ver con la presión y la textura de los objetos en contacto con la piel. Tienen la resolución espacial más alta entre los mecanorreceptores cutáneos, que les permite detectar detalles espaciales finos como la forma, el borde y la curvatura.[1][2]
Participan en algunos trastornos de la piel, mediante la liberación de moléculas bioactivas como neuropéptidos y hormonas mediante una acción paracrina o merócrina.[3]
Embriología


Los domos táctiles (TD) emergen como parches de células de Merkel con queratinocitos agrupados, en la etapa embrionaria 16.5 (E16.5) del ratón.[4]
El desarrollo de las células de Merkel (MC), se asocia en espacio y tiempo con el desarrollo, de los folículos pilosos primarios. Las MC en desarrollo se detectan en el ectodermo embrionario del ratón por primera vez en el día E15.
Justo antes del nacimiento, dentro del domo táctil las células de Merkel rodean el infundíbulo en la parte superior de los folículos pilosos protectores. Poco después del nacimiento, el domo táctil migra a un dominio en forma de media luna, en posición caudal con relación al folículo piloso.[5]
Estructura


La estructura del "complejo de Merkel-neurita" presenta grandes similitudes entre las especies de vertebrados.
Las células del domo táctil (TD) son morfológicamente y también molecularmente distintas de la epidermis interfolicular adyacente.
Cada complejo celular está compuesto por: células epidérmicas especializadas, por células de Merkel y por dendritas de fibras somatosensoriales inervadoras.[6]
Microarquitectura
En algunos sectores de la piel de los mamíferos, las células de Merkel están rodeadas por queratinocitos columnares diferentes, en la base de un epitelio estratificado más grueso que la epidermis circundante; esta estructura epidérmica especializada se denominó "domo táctil" (haarscheibe).[7]
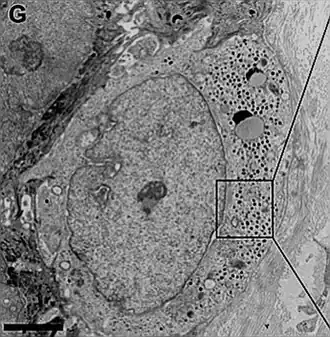
En el gato los domos táctiles tienen 0,1-0,4 mm de diámetro y recubren el orificio de un folículo piloso. Dentro del domo, una capa simple de células táctiles (tastzellen) o de Merkel-Ranvier, descansan sobre la membrana basal. Cada disco o terminación consta de una célula de Merkel en contacto inmediato con una terminación nerviosa.
Las terminales nerviosas son dendritas de neuronas aferentes (aferencia sensitiva), que se expanden hasta formar un disco, placa o menisco cóncavo-convexo, que está estrechamente aplicado a la base de cada célula táctil de Merkel-Ranvier.[8][9][10][3]
Sinapsis de Merkel

Dentro del domo el contacto directo de la célula de Merkel con la dendrita, tiene las características de una sinapsis, muestra: un espacio intercelular inferior a 300 nm, un engrosamiento de la membrana plasmática de los dos lados de la sinapsis, una actividad celular considerable (con mitocondrias y retículo endoplásmico) en el lado de las células, y unos gránulos secretores en la terminación nerviosa.[11][12]
Los "discos de Merkel" son sinapsis sensoriales y transmiten señales táctiles de forma sináptica, desde las células de Merkel a las terminaciones nerviosas aferentes tipo Aβ.[13]
Los neurotransmisores involucrados en esta comunicación son de dificultosa identificación, se han propuesto la serotonina en 2016,[14] la noradrenalina en 2018,[15] y el glutamato en 2019.[16]
Localización
Las terminaciones nerviosas de Merkel tienen una amplia distribución en mamíferos. Pueden encontrarse sobre la lámina basal de: la piel glabra, en la piel con pelos, en los folículos pilosos y en la mucosa oral y anal.
En los humanos, las células de Merkel aparecen en la zona profunda de la epidermis, y se las encuentra agrupadas en la punta de los dedos, debajo de las crestas que constituyen las huellas dactilares.[cita requerida]
En la piel con pelo, las terminaciones nerviosas de Merkel se agrupan en estructuras epiteliales especializadas denominadas "discos del pelo".
Los receptores de Merkel también se localizan en las glándulas mamarias.
Allí donde se encuentren, el epitelio se organiza para optimizar la transferencia de presión a la terminación nerviosa.[cita requerida]
Funciones

Su estructura semi-rígida y el hecho de que no están encapsuladas hace que tengan una respuesta sostenida (en forma de potenciales de acción o picos) a la desviación mecánica del tejido. Son los más sensibles de los cuatro tipos principales de mecanorreceptores a las vibraciones de baja frecuencia, entre los 5 y los 15 Hz.
Debido a su respuesta sostenida a la presión, las terminaciones nerviosas de Merkel se clasifican como de lenta adaptación, en contraste con los corpúsculos de Pacini (receptores de rápida adaptación que responden únicamente al inicio y final de la desviación mecánica, y a las vibraciones de alta frecuencia).
En los mamíferos, los registros eléctricos de una única fibra nerviosa aferente han encontrado que las respuestas de las terminaciones nerviosas de Merkel se caracterizan por una potente respuesta al inicio de un estímulo mecánico desnivelado (dinámico), y luego continúan disparando durante la fase de meseta (estática). Los disparos durante la fase estática pueden continuar durante más de 30 minutos. Los intervalos entre picos durante los disparos sostenidos son irregulares, en contraste con el patrón altamente regular de los intervalos entre picos obtenidos de los mecanorreceptores de lenta adaptación de tipo II.
Disparan más rápido cuando pequeños puntos perforan la piel y disparan más despacio en curvas lentas o superficies planas.[17]
Las terminaciones nerviosas de Merkel son extraordinariamente sensibles al desplazamiento de tejidos, y pueden responder ante desplazamientos de menos de 1 μm. Las fibras aferentes de tipo I tienen campos receptivos más pequeños que las de tipo II. Diversos estudios indican que las fibras de tipo I median en la discriminación táctil de alta resolución, y que son responsables de la habilidad de la punta de los dedos de sentir patrones de superficies detalladas finas (por ejemplo, para leer Braille).
Una única fibra de un nervio aferente se ramifica para inervar hasta 90 terminaciones parecidas.
Estos discos se clasifican como mecanorreceptores de adaptación lenta de tipo I.
Campos receptivos
El campo receptivo de un mecanorreceptor es el área dentro de la cual un estímulo puede excitar a la célula. Si la piel se toca en dos puntos separados pero dentro del mismo campo receptivo, la persona será incapaz de sentir los dos puntos separados. Si los dos puntos se encuentran más allá de un único campo receptivo, ambos serán notados. El tamaño de los campos receptivos de los mecanorreceptores en un área determina el grado en que se pueden resolver los estímulos detallados: cuanto más pequeños y densamente agrupados estén los campos receptivos, mayor la resolución. Por esta razón, las "terminaciones nerviosas" de Merkel y los corpúsculos de Meissner están más densamente agrupados en las altamente sensibles puntas de los dedos, y están menos densamente agrupados en las palmas.[cita requerida]
Epónimo
Su nombre se debe a su descubridor Friedrich Sigmund Merkel (5 de abril de 1845 – 28 de mayo de 1919) prominente anatomista e histopatólogo alemán. La publicación fue editada en 1875.[18]
Véase también
Referencias
- ↑ Woo S.H.; Ranade S.; Weyer A.D.; Dubin A.E.; Baba Y.; Qiu Z.; Petrus M.; Miyamoto T.; Reddy K., et al (2014). «Piezo2 is required for Merkel-cell mecanotransducción». Nature (Europe PMC) 509 (7502): 622-626. Consultado el 31 de mayo de 2020.
- ↑ Chang, Weipang; Kanda, Hirosato; Ikeda, Ryo; Ling, Jennifer; DeBerry, Jennifer J.; Gu, Jianguo G. (13 de septiembre de 2016). «Merkel disc is a serotonergic synapse in the epidermis for transmitting tactile signals in mammals». Proceedings of the National Academy of Sciences (en inglés) 113 (37): E5491-E5500. ISSN 0027-8424. PMID 27573850. doi:10.1073/pnas.1610176113. Consultado el 29 de septiembre de 2021.
- ↑ a b Ross M.H.; Pawlina W. (2007). «Piel y faneras. Células de la epidermis». Histología: Texto y Atlas. Médica Panamericana. p. 491. Consultado el 21 de mayo de 2020.
- ↑ Jenkins B.A.; Fontecilla N.M.; Lu C.P.; Elaine F.; Lumpkin E.A. (2019). «The cellular basis of mechanosensory Merkel-cell innervation during development». Elife 8: e42633. doi:10.7554/eLife.42633. Consultado el 30 de mayo de 2020.
- ↑ Xiao Y.; Thoresen D.T.; Miao L.; Williams J.S.; Wang C.; Atit R.P.; Wong S.Y.; Brownell I. (2016). «A Cascade of Wnt, Eda, and Shh Signaling Is Essential for Touch Dome Merkel Cell Development». PLOS Genetics 12 (7): e1006150. Consultado el 22 de mayo de 2020.
- ↑ Niu J.; Vysochan A.; Luo W. (2014). «Dual Innervation of Neonatal Merkel Cells in Mouse Touch Domes». PLOS ONE 9 (3): e92027. doi:10.1371/journal.pone.0092027. Consultado el 23 de mayo de 2020.
- ↑ Xiao Y.; Williams J.S.; Brownell I. (2014). «Merkel cells and touch domes: more than mechanosensory functions?». Experimental Dermatology (Revisión). Viewpoint 23 (10). Consultado el 22 de mayo de 2020.
- ↑ Ramón y Cajal S. (1911). «XVI Terminaciones de la expansión periférica, Terminaciones en el epitelio cutáneo». Histología del Sistema Nervioso de los Vertebrados. pp. 4-9. Consultado el 19 de mayo de 2020.
- ↑ Iggo A.; Muir A.R. (1969). «The structure and function of a slowly adapting touch corpuscle in hairy skin». Journal of Physiology (en inglés) (Londres) 200: 766-768. PMID 4974746. Consultado el 18 de mayo de 2020.
- ↑ Nieuwenhuys R., Voogd J., van Huijzen C. (2009). «16.Sistemas sensitivos generales». El sistema nervioso central humano (en inglés) (4 edición). Médica Panamericana. p. 684. Consultado el 21 de mayo de 2020.
- ↑ Chateau Y.; Misery L. (2004). «Connections between nerve endings and epidermal cells:are they synapses?». Exp Dermatol 13 (1): 2-4. Consultado el 27 de mayo de 2020.
- ↑ Misery L. (2007). «Inervación cutánea». Kinesioterapia (pdf) (EMC (Elsevier Masson)).
- ↑ Maksimovic S.; Baba Y.; Lumpkin E.A. (2013). «Neurotransmitters and synaptic components in the Merkel cell-neurite complex, a gentle-touch receptor». Ann N Y Acad Sci. 1279 (1): 13-21. doi:10.1111/nyas.12057. Consultado el 27 de mayo de 2020.
- ↑ Chang W.; Kanda H.; Ikeda R.; Ling J.; DeBerry J.J.; Gu J.G. (2016). «Merkel disc is a serotonergic synapse in the epidermis for transmitting tactile signals in mammals». PNAS 113 (37): E5491-E5500. Consultado el 27 de mayo de 2020.
- ↑ Hoffman B.U.; Baba Y.; Griffith T.N.; Mosharov E.V.; Woo S.H.; Roybal D.D.; Karsenty G.; Patapoutian A.; Sulzer D., et al (2018). «Merkel Cells Activate Sensory Neural Pathways through Adrenergic Synapses». Neuron 100 (6): 1401-1413.e6,. Consultado el 27 de mayo de 2020.
- ↑ Higashikawa A.; Kimura M.; Shimada M.; Ohyama S.; Ofusa W.; Tazaki M.; Shibukawa Y. (2019). «Merkel Cells Release Glutamate Following Mechanical Stimulation: Implication of Glutamate in the Merkel Cell-Neurite Complex». Front. Cell. Neurosci. Consultado el 27 de mayo de 2020.
- ↑ Kandel E.R.; Schwartz J.H.; Jessell, T.M. (2000). Principles of Neural Science (4a. edición). McGraw-Hill, New York. p. 433.
- ↑ Merkel F.S. (1875). «Tastzellen u. Tastkcorperchen bein den Hausthieren und beim Menschen». Archif. f. mikrosk. Anat. Bd. XI.
Bibliografía
- Iggo, A. and Muir, A. R. (1969) "The structure and function of a slowly adapting touch corpuscle in hairy skin". Journal of Physiology (London) 200:763-796. PMID 4974746. Consultado el 18 de mayo de 2020.
Enlaces externos
- MeSH: Merkel+cells (en inglés)
