Esquistosomiasis
| Esquistosomiasis | ||
|---|---|---|
![]() Vesículas producidas por la penetración del Schistosoma | ||
| Especialidad | infectología | |
| Síntomas | Dolor abdominal, diarrea, heces con sangre, sangre en la orina | |
| Complicaciones | Daño hepático, insuficiencia renal, infertilidad, cáncer de vejiga[1] | |
| Diagnóstico | Encontrar huevos del parásito en orina o heces, anticuerpos en sangre.[1] | |
| Tratamiento | Prazicuantel | |
| Sinónimos | ||
| Bilharziasis | ||
La esquistosomiasis (antiguamente llamada bilharziasis o bilharziosis) es una enfermedad parasitaria producida por gusanos platelmintos de la clase trematodos del género Schistosoma (castellanizado esquistosoma). Es relativamente común en los países en vías de desarrollo, especialmente en África; aunque su tasa de mortalidad es baja, la esquistosomiasis es altamente incapacitante debido a las fiebres con que se manifiestan.[2]
Los expertos de la Organización Mundial de la Salud (OMS) estiman que 160 millones de personas padecen esquistosomiasis. La enfermedad causa decenas de miles de defunciones cada año, principalmente en el África subsahariana.[3]


Tipos
Hay cinco especies del parásito Schistosoma que producen esquistosomiasis en humanos, cada uno con sus manifestaciones clínicas respectivas:
- Schistosoma mansoni y Schistosoma intercalatum - causan esquistosomiasis intestinal.
- Schistosoma haematobium - causa esquistosomiasis urinaria.
- Schistosoma japonicum y Schistosoma mekongi - causan la variedad de la esquistosomiasis en Asia.
Historia
Las evidencias más antiguas de la esquistosomiasis se remontan a más de 6000 años atrás. De hecho, estudios realizados en esqueletos humanos en el norte de Siria (5800-4000 años antes de Cristo) demostraron la presencia de un esquistosoma de espina terminal en los sedimentos pélvicos de los restos esqueléticos. Sin embargo, se ha sugerido que la 'cuna' de los esquistosomas se encuentra en la región de los grandes lagos africanos, un área en la que tanto los parásitos como sus hospedadores intermedios se encuentran en un estado activo de evolución. Posteriormente, se cree que la esquistosomiasis se propagó a Egipto como resultado de la importación de monos y esclavos durante la quinta dinastía de los faraónes, (aproximadamente 2494-2345 a. C.).[4]
Epidemiología
La esquistosomiasis aparece en países tropicales de todo el mundo.
- Schistosoma mansoni: Caribe y zona oriental de Sudamérica, África y Oriente Medio.
- Schistosoma haematobium: África y Oriente Próximo.
- Schistosoma japonicum: Extremo Oriente.
- Schistosoma mekongi y Schistosoma intercalatum: focalmente en el Sudeste asiático y la zona occidental de centro-África.
Se calcula que hay 200 millones de personas afectadas,[5] presentándose la enfermedad en más de la mitad (120 millones de personas). Gracias a los esfuerzos de la OMS cada vez son más los países que consiguen erradicar la enfermedad. La urbanización controlada va reduciendo las zonas de exposición, con el consiguiente descenso de nuevas infecciones. La forma más común de infectarse en países en desarrollo es a través del baño en lagos y charcas infestadas de los caracoles que son específicamente reservorios naturales del Schistosoma.[5]
- Fuente de infección primaria (reservorio): el hombre enfermo. La bilharzia es una antroponosis a pesar de que se puede transmitir a otros animales. Los niños entre las edades de 3 a 12 años son los principales diseminadores del parásito.
- Mecanismo de transmisión: los huevos viables son eliminados con las heces humanas.
- Hospedador intermediario: el caracol de agua dulce.
- Hospedador susceptible: el hombre sano. Es una parasitosis fundamentalmente de áreas rurales y marginales con poco saneamiento y control ambiental y condiciones sociales y económicas precarias.
Ciclo vital
.svg.png)
Las cinco especies de esquistosoma que producen enfermedad en humanos, tienen un ciclo biológico que alterna huéspedes vertebrados e invertebrados, típico de los tremátodos.

Los individuos infectados de esquistosoma diseminan sus huevos al medio ambiente. En caso de contactar con agua, de los huevos eclosionan las larvas llamadas miracidios, con capacidades natatorias. Los miracidios suelen infectar el pie musculoso de los caracoles, donde poco después se transforman en esporocistos primarios. De estos emergen a su vez los esporocistos secundarios, que migran al hepato-páncreas del caracol, y una vez en él emergen las larvas llamadas cercarias.
Dependiendo de la temperatura y luminosidad ambiental, las cercarias abandonan al caracol huésped y vuelven de nuevo a una vida acuática, llamándose entonces metacercarias o furcocercarias (por su cola bífida). En el agua es común verlas moverse vigorosamente (alternando con paradas frecuentes que hacen que las cercarias se hundan) para así conseguir mantenerse a un mismo nivel de profundidad. Su actividad se ve estimulada de forma significativa cuando se producen turbulencias en el agua, sombras y compuestos químicos para la piel utilizados por humanos, combinación típica de la presencia humana en el agua. Precisamente es en esta fase del ciclo cuando tienen capacidad de infectar al hombre y otros mamíferos.
Las metacercarias se enganchan a la piel para poco después penetrarla gracias a la acción de determinadas enzimas proteolíticas (que rompen proteínas de la piel). Tras 1-2 días bajo la piel pasan al flujo sanguíneo hasta llegar a los pulmones, donde continúan su ciclo vital. Posteriormente vuelven a la sangre hasta llegar al hígado, donde se instalan. Una vez en los sinusoides hepáticos, esto es unos 8 días después de la penetración, se desarrolla una nueva etapa larvaria que se caracteriza por nutrirse de eritrocitos. Una característica insólita de esta etapa es que la hembra vive en el canal ginecofórico del macho, por lo que su nutrición depende de este último. Los gusanos adultos alcanzan los 10 milímetros de longitud. En una penúltima fase, ambos gusanos (macho y hembra) se reinstalan en las venas mesentérica y rectal, y ya adultos pueden volver a reinfectar cualquier parte del organismo del huésped. La pareja de esquistosomas puede llegar a vivir hasta 5 años en el interior de una persona.
Los gusanos llegan a la madurez a las 6-8 semanas, momento en el cual empiezan a desovar (entre 300 y 3000 huevos al día). Muchos de los huevos salen junto con las heces (o en la orina en el caso de S. haematobium), cerrando así el ciclo vital. No son los huevos en sí los que infligen daño al organismo, sino la respuesta inmunitaria del propio organismo parasitado.
Fisiopatología
La esquistosomiasis es una enfermedad crónica. Los daños ocasionados por el parásito se deben por las cercarias en su paso a través la piel y los gusanos adultos en su tránsito sistémico.
Piel
Al atravesar la piel, las cercarias causan daño mecánico y traumático localizado con hipersensibilidad, urticaria y/o dermatitis. Sin embargo, es común ver pacientes infectados sin sintomatología dérmica.
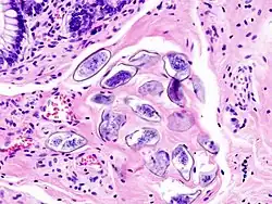
Granulomas
La reacción del sistema inmune a los huevos depositados en los tejidos produce granulomas, los cuales son cubiertas inmunitarias (celular y fibróticas) alrededor del huevo que se tornan cicatrizantes. Estos granulomas pueden ocurrir en cualquier órgano del cuerpo. Esta patología característica del S. mansoni y de S. japonicum producen las llamadas Fiebre de Katayama, con fibrosis periportal, hipertensión portal, y ocasionalmente embolias producidas por granulomas cerebrales o espinales. La fibrosis alrededor de los vasos porta intrahepáticos se denomina en medicina Fibrosis de Symmer o en tallo de pipa.
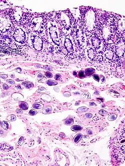
Vejiga

La patología de S.haematobium incluye hematuria, calcificaciones, carcinoma de células escamosas, y ocasionalmente embolias por granulomas cerebrales o espinales. La mortalidad y padecimiento de cáncer de vejiga es elevada en las zonas afectadas por esquistosomiasis.
Sistema cardiopulmonar
Las reacciones inflamatorias, daños mecánicos y traumáticos por ruptura de los alvéolos y capilares pulmonares, neumonitis y síndrome de Loeffler. Las lesiones granulomatosas en el pulmón producen con frecuencia, especialmente en casos francamente crónicos, oclusiones y arteritis en la circulación pulmonar. Ello produce hipertrofia del ventrículo derecho del corazón denominada cor pulmonar. Las etapas iniciales de la enfermedad cursan con tos seca y persistente. Otra sintomatología cardiopulmonar suele ser poco frecuente.
Intestinos
Además de notar que muchos pacientes pueden cursar los estadios iniciales de la enfermedad de manera asintomática, es frecuente referir diarrea con o sin disentería, dolor abdominal del hipocondrio derecho y/o el epigastrio, dolor a la palpación cecal y estado general deficiente. El examen de heces suele ser positivo en presencia de síntomas intestinales.

Cuadro clínico
La mayoría de las infecciones son asintomáticas, pero no todas: la fiebre de Katayama por esquistosomiasis aguda incluye dolor abdominal, tos, diarrea, eosinofilia, fiebre, fatiga y hepatoesplenomegalia.
Ocasionalmente se producen lesiones del sistema nervioso central por el depósito de huevos de esquistosoma en el cerebro (S. japonicum) o en la médula espinal (S. mansoni y S. haematobium, llevando a la mielitis e incluso a la paraplejía flácida).
La infección continuada puede causar reacciones granulomatosas y fibrosis en los órganos afectados:
- Pólipos, cólicos y diarrea sanguinolenta (principalmente por S. mansoni).
- Hipertensión portal, hematemesis y esplenomegalia (S. mansoni, S. japonicum).
- Cistitis y uretritis con hematuria e incluso cáncer de vejiga (S. haematobium).
- Hipertensión pulmonar (principalmente S. mansoni y S. japonicum).
- Glomerulonefritis.
Diagnóstico
El diagnóstico correcto y temprano de la enfermedad en personas expuestas, en particular en zonas endémicas y de alto riesgo es la clave desde el punto de vista sanitario y terapéutico para el control de la esquistosomiasis mundial.
Clínica
El diagnóstico clínico y epidemiológico se orienta con el interrogatorio deduciendo el posible contacto con agua de zonas endémicas o de alto riesgo. Otras enfermedades, como la enfermedad de Chagas y la Leishmaniasis pueden coincidir con áreas afectadas con Schistosoma.
La referencia de diarrea, dolor abdominal, hepatomegalia y/o esplenomegalia con o sin ascitis señalan a una posible enfermedad crónica.
Heces
La identificación de los huevos en heces y/o en orina mediante técnicas de microscopía es el método de diagnóstico más práctico, siendo la unidad de medida el número de huevos por gramo de heces u orina. Ante sospecha de S. mansoni o S. japonicum es preferible el examen en heces, y ante sospecha de S. haematobium es preferible el examen en orina. Los huevos de S. haematobium son elipsoidales con una espina terminal; los de S. mansoni son elipsoidales, pero con la espina lateral; y los de S. japonicum son esféricos con un pequeño espéculo saliente.
El examen de heces se lleva a cabo con muestras de 1-2 mg de materia fecal. Dado que la presencia de huevos en heces es intermitente, las pruebas diagnósticas deben ser repetidas con cierta periodicidad. Los métodos de concentración también resultan de utilidad cuando la presencia de huevos es muy escasa; por ejemplo, con la técnica de formalina-acetato de etilo. Además, para estudios de campo o de investigación, la cuantificación de huevos puede llevarse a cabo con la técnica de Kato-Katz (20-50 mg de heces), o la técnica de Ritchie.
Orina
El examen de orina se recomienda sólo para S. haematobium. Una vez centrifugada la muestra de orina, el sedimento resultante se filtra con membranas Nucleopore ® y se procede al recuento de huevos sobre la misma. El diagnóstico puede complementarse con los rayos X de la zona pélvica, con el fin de localizar calcificaciones típicas de una infección crónica.
En casos de resultados negativos en los exámenes de heces y/u orina, pueden realizarse biopsias rectales (o de vejiga para S. haematobium).
Inmunología
Otra técnica, útil en análisis clínicos y en investigaciones epidemiológicas, es la detección de anticuerpos contra el esquistosoma mediante una reacción fluorescente indirecta.
La reacción intradérmica (RID) positiva demuestra hipersensibilidad en minutos que corresponde a un previo contacto con el parásito y justifica el examen del individuo hasta la confirmación del diagnóstico.
Tratamiento
Desparasitación masiva
El tratamiento más efectivo para las infecciones en los países más pobres es la desparasitación masiva de niños en edad escolar. Debido al bajo coste del medicamento y a los pocos efectos secundarios que produce, esta estrategia se considera mucho más efectiva que realizar pruebas previas para detectar quién está infectado.[5]
Se calcula que el coste medio de los programas de desparasitación masiva es de menos de 1 € por niño al año.[6]
Fármacos
Uno de los fármacos más eficaces, efectivos y eficientes contra la fase aguda de la esquistosomiasis es el praziquantel; aunque otros son igualmente eficientes como es el caso de albendazol y mebendazol usados comúnmente por la Organización Mundial de la Salud.[7] No obstante, no evita reinfecciones por lo que no acaba de ser lo mejor para los habitantes de las zonas endémicas. De la misma forma que con otras enfermedades parasitarias, se está llevando a cabo una gran investigación para desarrollar una vacuna que prevenga la esquistosomiasis.
Para S. mansoni existe un segundo fármaco llamado oxamniquina (excepto para los Estados Unidos).
El tartrato de antimonio y potasio es un compuesto que se utilizó en el pasado, y que actúa interfiriendo con las enzimas del parásito.
Prevención
En 1983, Akliku Lemma y Legesse Wolde-Yohannes recibieron el Right Livelihood Award por su investigación sobre la planta Phytolacca dodecandra como medida preventiva de esta enfermedad.
La enfermedad está estrechamente relacionada con la falta de higiene en la evacuación de excretas y con la falta de servicios cercanos de abastecimiento de agua potable. El saneamiento básico reduce la enfermedad hasta en un 80 %.
Por otro lado, los reservorios artificiales y las obras de regadío mal diseñadas son las principales causas de la expansión y la intensificación de la esquistosomiasis.[8]
La helmintiasis y la esquistosomiasis transmitidas por el suelo, consideradas entre las enfermedades tropicales desatendidas de acuerdo con la Organización Mundial de la Salud, afectan a más de un tercio de la población mundial. Existe un debate sobre la efectividad y la rentabilidad de las desparasitaciones masivas de niños como estrategia para mejorar la salud infantil en áreas endémicas. Por ello, se han hecho estudios que evalúan los efectos producidos por estas intervenciones en el crecimiento, los logros educacionales, la cognición, la asistencia escolar y la calidad de vida, además de ciertos efectos adversos en niños que habitan en estas zonas.
Una revisión de 65 estudios realizados en 24 países, concluyó que la desparasitación masiva de helmintos transmitidos por el suelo genera pocos o ningún efecto en el peso, talla, asistencia escolar y cognición. Por su parte, la desparasitación para combatir solo la esquistosomiasis tal vez aumente levemente el peso, pero no genera ningún otro impacto. Asimismo, dos estudios a largo plazo mostraron un aumento de la productividad económica y de la matriculación escolar, aunque no existe certeza de que tales efectos se deban a la desparasitación. Es preciso explorar políticas adicionales que mejoren la salud y nutrición de los niños en zonas endémicas.[9]
Véase también
Referencias
- ↑ a b «WHO | Schistosomiasis». web.archive.org. 12 de marzo de 2014. Archivado desde el original el 12 de marzo de 2014. Consultado el 22 de noviembre de 2022.
- ↑ «Corachán Cuyás, M., Gascón Brustenga, J. & Vinuesa Aumedes, T. 1998. Trematodosis. Medicine, 7(82): 3797-3802». Archivado desde el original el 15 de noviembre de 2006. Consultado el 19 de mayo de 2009.
- ↑ «Relación del agua, el saneamiento y la higiene con la salud». Organización Mundial de la Salud. Consultado el 13 de diciembre de 2013.
- ↑ Di Bella, Stefano; Riccardi, Niccolò; Giacobbe, Daniele Roberto; Luzzati, Roberto (4 de julio de 2018). «History of schistosomiasis (bilharziasis) in humans: from Egyptian medical papyri to molecular biology on mummies». Pathogens and Global Health (en inglés) 112 (5): 268-273. ISSN 2047-7724. PMC 6225400. PMID 30016215. doi:10.1080/20477724.2018.1495357. Consultado el 18 de octubre de 2023.
- ↑ a b c «Gusanos parásitos». ayudaefectiva.org.
- ↑ «El impacto a largo plazo de la desparasitación». ayudaefectiva.org.
- ↑ Schistomiasis and Soil-Transmitted Parasite Infections: Preliminary Estimates of the Number of Children Treated with Albendazole or Mebendazole (WER, No. 16, 2006, 81, 145-164
- ↑ «OMS | Relación del agua, el saneamiento y la higiene con la salud». WHO. Consultado el 30 de enero de 2022.
- ↑ Campbell Collaboration (Diciembre de 2017). «Los programas de desparasitación masiva producen efectos marginales o ningún efecto en la mayoría de los resultados sobre temas de bienestar». Oslo: Campbell Collaboration. Consultado el 29 de noviembre de 2019.
Enlaces externos
Wikimedia Commons alberga una categoría multimedia sobre Esquistosomiasis.- En MedlinePlus hay más información sobre Esquistosomiasis
- Referencia del CDC, en inglés Archivado el 3 de diciembre de 2013 en Wayback Machine.
- Referencia de la OMS, en español
