Estruma ovárico
| Estruma ovárico | ||
|---|---|---|
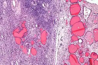
![]() Micrografía de un struma ovarii. Caracteristicamente folículos tiroides son vistos a la derecha, y estroma de ovario a la izquierda. H&E stain. | ||
| Especialidad | oncología | |
El estruma ovárico o struma ovarii (literalmente: bocio del ovario) es una forma rara de teratoma monodérmico que contiene principalmente tejido tiroideo, que puede causar hipertiroidismo.[1] Representa aproximadamente el 1 por ciento de todos los tumores de ovario y el 2.7 por ciento de todos los teratomas maduros. Dado que consiste predominantemente en un tipo de tejido diferenciado, se cuenta el tumor con los llamados teratomas monodérmicos.[2][3][4]
A pesar de su nombre, no está restringido al ovario.
La gran mayoría son tumores benignos; sin embargo, los tumores malignos de este tipo se encuentran en un pequeño porcentaje de casos.[5]
Historia
La primera descripción del struma ovarii fue hecha en 1889 por Boettlin, quien había observado la presencia de folículos tiroideos en los ovarios. Otros informes fueron publicados posteriormente por Gottschalk.[6][7]
Perfil clínico
Clínicamente, el bocio ovárico puede permanecer asintomático o puede notarse por dolor pélvico, un tumor abdominal inferior palpable o sangrado vaginal anormal. También son posibles signos de hipertiroidismo. Además, se observan acumulaciones de líquido en la cavidad abdominal (ascitis) y en la cavidad torácica (derrame pleural).[2][4]
Patología
Macroscópicamente, aparece un tumor nodular, sólido, parcialmente quístico, con una superficie brillante y leonada. Los hallazgos histológicos incluyen tejido tiroideo maduro con folículos normales o atróficos, que están recubiertos principalmente por tirocitos aplanados y rellenos de coloide. Aunque el tejido tiroideo es detectable en el 5-15% de los teratomas maduros, debe representar al menos el 50% del tumor para justificar el diagnóstico de bocio ovárico. A menudo hay áreas de tejido papilar en proliferación similar al adenoma, que deben diferenciarse de un carcinoma papilar de tiroides por diagnóstico diferencial. El tejido conjuntivo circundante muestra esclerosis cicatrizada y puede contener folículos linfoides y células inflamatorias.[2][4]
Hallazgos radiológicos
Las características del ultrasonido de struma ovarii son inespecíficas, pero puede observarse una masa heterogénea y predominantemente sólida. En él se demuestra una apariencia compleja con múltiples áreas quísticas y sólidas, hallazgos que reflejan la apariencia patológica general del tumor.
Los hallazgos de las imágenes de resonancia magnética pueden ser más característicos: los espacios quísticos muestran una intensidad de señal alta y baja en imágenes ponderadas en T1 y T2. Algunos de los espacios quísticos pueden mostrar una intensidad de señal baja tanto en imágenes ponderadas en T1 como en T2 debido al coloide espeso y gelatinoso del struma. L grasa no es evidente en estas lesiones.[8]
-
Baja mag. -
Alta mag.
Véase también
Referencias
- ↑ «Struma ovarii and peritoneal strumosis with thyrotoxicosis». Thyroid 19 (3): 305-8. marzo de 2009. PMID 19265502. doi:10.1089/thy.2008.0307.
- ↑ a b c W. Remmele: Patología. Band 4. 2. Auflage. Springer, 1997, ISBN 3-540-61097-9.
- ↑ Diccionario Clínico Pschyrembel. Begründet von Willibald Pschyrembel. Bearbeitet von der Wörterbuchredaktion des Verlages unter der Leitung von Helmut Hildebrandt. 261. Auflage. De Gruyter, Berlin 2007, ISBN 978-3-11-018534-8.
- ↑ a b c S. C. Yoo, K. H. Chang, M. O. Lyu, S. J. Chang, H. S. Ryu, H. S. Kim: Características clínicas del struma ovarii. In: J Gynecol Oncol. 2008 Jun;19(2), S. 135–138. PMID 19471561.
- ↑ Struma Ovarii en eMedicine
- ↑ R. Boettlin: Acerca del desarrollo en los quistes dermoides del ovario'' In: Virchows Arch Path Anat. 1889; 115, S. 493–504.
- ↑ S. Gottschalk: Un nuevo tipo de tumor ovárico maligno. In: Arch Gynäk. 1899; 59, S. 676–698.
- ↑ «Ovarian teratomas: tumor types and imaging characteristics.». Radiographics 21 (2): 475-90. marzo-abril de 2001. PMID 11259710. doi:10.1148/radiographics.21.2.g01mr09475.
