Gemmata obscuriglobus
| Gemmata obscuriglobus | ||
|---|---|---|
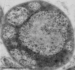
![]() Corte de célula visto al M.E. | ||
| Taxonomía | ||
| Dominio: | Bacteria | |
| Reino: | Pseudomonadati | |
| Filo: | Planctomycetota | |
| Clase: | Planctomycetacia | |
| Orden: | Planctomycetales | |
| Familia: | Planctomycetia | |
| Género: | Gemmata | |
| Especie: |
G. obscuriglobus Franzmann & Skerman 1981 | |
Gemmata obscuriglobus es una especie de bacterias, la única dentro del género Gemmata. Son bacterias cocoides, aeróbicas, quimioheterotrofas, y tienen reproducción por gemación/brotación. Se caracteriza por presentar un desarrollado sistema de compartimientos de membrana que delimitan regiones intracelulares.[1]
El género Gemmata está representado por una especie, G. obscuriglobus. La cepa UQM 2246 fue aislada de aguas dulces superficiales de Maroon Dam en Queensland, Australia, en 1981.[2]
Gemmata carece de peptidoglicano en su pared celular y además posee estructuras crateriformes sobre sus superficies celulares.[3]
Morfología
G. obscuriglobus es una bacteria grande, con un diámetro de 1–2 μm, con aspecto esferoide. Tiene un volumen tres a cinco veces mayor que la bacteria típica.[4]
Es móvil, se desplaza mediante flagelos que suelen ser múltiples.
Gemmata fue estudiada por Franzmann y Skerman quienes en 1983, notaron que en secciones delgadas el material celular estaba empacado en un cuerpo discreto dentro de la célula. El cuerpo nuclear rodeado por membrana, fue descrito por Fuerst y Webb y luego confirmado por inmunotinción con DAPI.[5]
Pared celular

La pared de Gemmata obscuriglobus es diferente de las Gram-negativas. Es única por poseer una pared compuesta principalmente de proteína, que funciona como capa estructuralmente rígida de la pared,[6] La otra característica distintiva de la envoltura externa, es la presencia de las formaciones ovaladas llamadas estructuras crateriformes. Se distribuyen uniformemente alrededor de la célula con una densidad entre 50 y 100 por µm2. En el corte transversal estas depresiones tienen una abertura de ~35 nm.[1][7]
Membrana intracitoplasmatica

G. osbcuriglobus es única entre los procariotas, ya que presenta una membrana interna con invaginaciones citoplasmáticas, que incluso rodean el ADN con una envoltura de membrana.[8]
Se calculó la superficie de la membrana interna de G. obscuriglobus en 42.7×106 nm²; esto significa que multiplica por tres la superficie de la membrana externa.[1]
Compartimentos de G. obscuriglobus

Los compartimentos en las células de G. obscuriglobus están determinados por la extensión e invaginación de su membrana intracitoplasmática. Se distinguen como compartimentos: el parifoplasma, el riboplasma y el cuerpo nuclear.
- El parifoplasma (P)
- se ve como un área densa a los electrones, alrededor del perímetro celular y también invaginándose en las células. Contiene pocos ribosomas y rodea al riboplasma y al cuerpo nuclear.
- El riboplasma (R)
- presenta aspecto menos electrón denso y contiene la mayoría de los ribosomas, pero no contiene nucleoide. Aparece en los cortes de células en la forma de vesículas encerradas por una sola membrana.
- El cuerpo nuclear (NB)
- tiene densidad electrónica similar al riboplasma. Esta región contiene todo el nucleoide (N) de ADN alojado en su parte central; mientras que en su periferia contiene partículas similares a ribosomas. Está enteramente rodeado por membrana, simple en algunos lugares y doble en otros.[6] En la membrana de envoltura del cuerpo nuclear, se encuentran poros de 35nm con estructura de núcleo central rodeado por anillo interior y exterior.[7]
Genoma
Posee uno de los genomas más largos del filum llegando a 9.13 Mb y codifica más de 8000 genes.[4]
G. Obscuriglobus tiene un 67% de repeticiones GC, y más de la mitad de sus genes tienen función desconocida. Se han contado 7110 proteínas.[9]
| Poros en el cuerpo nuclear de Gemmata. (Sagulenko, 2017):[7] | |||||||||
| |||||||||
Referencias
- ↑ a b c Santarella-Mellwig R.; Pruggnaller S.; Roos N.; Mattaj IW.; Devos DP. (2013). «Three-Dimensional Reconstruction of Bacteria with a Complex Endomembrane System». PLoS Biol 11 (5). doi:10.1371/journal.pbio.1001565.
- ↑ Franzmann P.D.; Skerman V.B.D. (mayo de 1984). «Gemmata obscuriglobus, a new genus and species of the budding». Antonie van Leeuwenhoek 50 (3): 261-268. doi:10.1007/BF02342136.
- ↑ «Gemmata obscuriglobus». microbewiki.
- ↑ a b Devos, D.P. (9 de setiembre de 2013). «Gemmata obscuriglobus». Current biology 23 (17): R705-R707. Consultado el abril de 2017.
- ↑ Naomi Ward, James Statles, John Fuerst, (2006). «8.1 The Order Planctomycetales». En Stanley Falkow, ed. Prokaryotes 7. pp. 757-793. doi:10.1007/0-387.
- ↑ a b Sagulenko, E.; Morgan, G.P.; Webb, R.I.; Yee, B; Lee, K-C; Fuerst, J.A. (2014). «Structural Studies of Planctomycete Gemmata obscuriglobus Support Cell Compartmentalisation in a Bacterium». PLoS ONE 9 (3): e91344. doi:10.1371/journal.pone.0091344.
- ↑ a b c Sagulenko, E.; Nouwens, A.; Webb, R.I.; Green, K; Yee, B; Morgan, G (1 de febrero de 2017). «Nuclear Pore-Like Structures in a Compartmentalized Bacterium». PLoS ONE 12 (2): e0169432. doi:10.1371/journal.pone.0169432.
- ↑ Santarella-Mellwig, R.; Franke, J.; Jaedicke, A.; Gorjanacz, M.; Bauer, U.; Budd, A. (2010). «The Compartmentalized Bacteria of the Planctomycetes-Verrucomicrobia-Chlamydiae Superphylum Have Membrane Coat-Like Proteins». PLoS Biol 8 (1): e1000281. doi:10.1371/journal.pbio.1000281=.
- ↑ «Gemmata obscuriglobus overview». Genome NCBI.




