Germinoma extragonadal
| Germinoma | ||
|---|---|---|
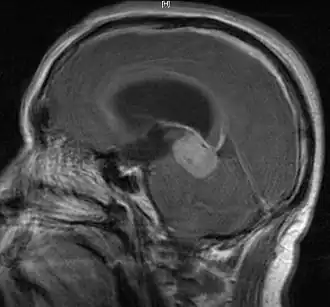
|
Resonancia magnética del sistema nervioso central mostrando un germinoma. Véase también el corte transversal. | ||
| Especialidad | oncología | |
Un germinoma es un tipo de tumor de células germinales no diferenciado histológicamente.[1] Pueden ser tumores malignos o benignos y se localizan con mayor frecuencia en el cerebro donde tienen características muy similares a los disgerminomas del ovario y los seminomas de los testículos.[2] Desde 1994, el Medical Subject Headings ha definido a un germinoma como una neoplasia maligna del tejido germinal de las gónadas, mediastino y de la región pineal.
Histología
Por lo general, el tumor tiende a ser de apariencia uniforme y consiste en células largas, redondeadas con núcleos vesiculares y un citoplasma claro y fínamente granular que tiende a ser eosinofílico. Típicamente las células del estroma contienen linfocitos y en un 20% de los casos contienen granulomas similares a los de la sarcoidosis. A simple vista, es un tumor uniforme, la superficie externa es lisa con un interior suave, carnoso de color crema, gris o sonrosado.
Véase también
Referencias
- ↑ Germinoma, Central Nervous System disoponible en eMedicine (en inglés).
- ↑ «Pathology». Consultado el 3 de noviembre de 2007.
Enlaces externos
- Seminoma por la Universidad de Utah