Hemangioblastoma
| Hemangioblastoma | ||
|---|---|---|
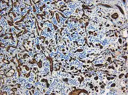
![]() Micrografía de un hemangioblastoma cerebeloso. Tinción HPS. | ||
| Especialidad | oncología | |
El hemangioblastoma (HB) es una neoplasia benigna infrecuente del sistema nervioso central, de origen vascular. Constituyen entre un 1,5-2,5% de todos los tumores intracraneales.[1][2] Mayoritariamente su localización es infratentorial, siendo el lugar más frecuentemente afectado el cerebelo (76%).[1][3] En general son lesiones quísticas con un pequeño nódulo mural, aunque pueden también ser lesiones puramente sólidas, puramente quísticas o mixtas.
Suelen presentarse entre la tercera y la quinta décadas de la vida, y son más comunes en varones que en mujeres (ratio 1,3:1).[2] En un 30% de los casos, estos tumores se asocian al síndrome de von Hippel-Lindau (VHL), un trastorno autosómico dominante caracterizado por presentar lesiones en diferentes tejidos, aunque la mayoría surge esporádicamente.[4][5][6][7]
Los hemangioblastomas del sistema nervioso central son tumores benignos, clasificados dentro del grado I de malignidad de la OMS. Las lesiones esporádicas únicas son potencialmente curables mediante resección quirúrgica.[1]
Localización
Son tumores que se localizan fundamentalmente en la fosa posterior (principalmente en los hemisferios cerebelosos y menos frecuentemente en el vermis y en el tronco del encéfalo), siendo más raros en la médula espinal.[8] La localización supratentorial es sumamente rara y dificulta el diagnóstico preoperatorio debido a la baja sospecha clínico-radiológica.[9] La afectación meníngea es excepcional, encontrándose pocos casos descritos en la literatura.[2]
Epidemiología
Los hemangioblastomas se encuentran entre los tumores más raros del sistema nervioso central, representando alrededor de un 2,5% todas las neoplasias intracraneales. La mayoría se aloja en la fosa posterior, y en esa región constituyen del 8 al 12% de las neoplasias.[2] Las lesiones esporádicas son más frecuentes (75-80%), suelen ser grandes, únicas y se presentan entre los 30 y 65 años de edad, mientras que las asociadas a síndrome de VHL (20-25%) son múltiples, más pequeñas y de presentación a edad más temprana.[10]
Patología


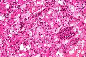
Histológicamente, se trata de un tumor muy vascularizado. En el subtipo reticular, más frecuente, se puede ver entre la densa red capilar células grandes con citoplasma claro, a menudo vacuolado, denominadas células estromales y cuya histogénesis es aún poco conocida. Más raro es el subtipo celular, descrito por Harvey Williams Cushing y Percival Bailey, en el que las células estromales se disponen en un patrón alveolar, con un aspecto histológico que recuerda al del paraganglioma.[2][11]
En el diagnóstico diferencial con la metástasis de carcinoma de células renales (que también es común en pacientes con VHL) puede ser particularmente útil la falta de tinción de las células estromales para el antígeno epitelial de membrana (EMA), y la detección de una baja actividad proliferativa en la tinción para Ki67 / MIB-1.[12][13]
Síntomas
La presentación clínica depende del sitio de localización; pueden aparecer síntomas cerebelosos como ataxia o disartria, y síntomas de aumento de la presión intracraneal por una hidrocefalia asociada; los localizados en la médula espinal se presentan con dolor, seguido de signos de disfunción segmentaria debido a la compresión progresiva de la médula espinal. Los hemangioblastomas pueden causar policitemia, habitualmente asintomática, debido a la producción ectópica de eritropoyetina como síndrome paraneoplásico.[14]
Diagnóstico
En las imágenes radiológicas, el hemangioblastoma suele presentarse como una masa bien delimitada, hiperintensa en T2, a menudo pseudoquística, con un nódulo mural captante de contraste.[11]
Tratamiento y pronóstico
El tratamiento de elección es la escisión quirúrgica del tumor. Son tumores potencialmente curables: después del vaciamiento del quiste y la exéresis del nódulo mural, el pronóstico es generalmente favorable.[1][7] Las personas con síndrome de VHL tienen un pronóstico más sombrío que quienes presentan un único tumor esporádico, ya que en el VHL suelen existir lesiones múltiples.
Las recidivas ocurren en aproximadamente el 10% de los pacientes y parecen afectar especialmente al subtipo celular.[15] Pueden ser difíciles de distinguir del desarrollo de un tumor secundario en pacientes con VHL.
Referencias
- ↑ a b c d Bründl, E., Schödel, P., Ullrich, O. W., Brawanski, A., Schebesch, K. M. (2014). «Surgical resection of sporadic and hereditary hemangioblastoma: our 10-year experience and a literature review». Surgical Neurology International 5: 138-44. doi:10.4103/2152-7806.141469.
- ↑ a b c d e Hussein, M. R. (2007). «Central nervous system capillary haemangioblastoma: the pathologist's viewpoint». International Journal of Experimental Pathology 88 (5): 311-324. doi:10.1111/j.1365-2613.2007.00535.x.
- ↑ Neumann HP, Eggert HR, Weigel K, Friedburg H, Wiestler OD, Schollmeyer P. (1989). «Hemangioblastomas of the central nervous system. A 10-year study with special reference to von Hippel-Lindau syndrome». J Neurosurg 70: 24-30. PMID 2909683. doi:10.3171/jns.1989.70.1.0024.
- ↑ Conway JE, Chou D, Clatterbuck RE, Brem H, Long DM, Rigamonti D (2001). «Hemangioblastomas of the central nervous system in von Hippel-Lindau syndrome and sporadic disease». Neurosurgery 48 (1): 55-62. PMID 11152361.
- ↑ Niemelä M, Lemeta S, Summanen P, Böhling T, Sainio M, Kere J, Poussa K, Sankila R, Haapasalo H, Kääriäinen H, Pukkala E, Jääskeläinen J (1999). «Long-term prognosis of haemangioblastoma of the CNS: impact of von Hippel-Lindau disease». Acta Neurochir (Wien) 141 (11): 1147-56. PMID 10592114.
- ↑ Wanebo JE, Lonser RR, Glenn GM, Oldfield EH (2003). «The natural history of hemangioblastomas of the central nervous system in patients with von Hippel-Lindau disease». J Neurosurg 98 (1): 82-94. PMID 12546356. doi:10.3171/jns.2003.98.1.0082.
- ↑ a b Liao CC, Huang YH (2014). «Clinical features and surgical outcomes of sporadic cerebellar hemangioblastomas». Clin Neurol Neurosurg. 125: 160-5. PMID 25156409. doi:10.1016/j.clineuro.2014.08.001.
- ↑ Palmer, JJ. (1972). «Hemangioblastomas, a review of 81 cases.». Acta Neurochir 27: 125-48.
- ↑ Iplikcioglu, A.C., Yaradanakul, V., Trakya, Ü. (1997). «Supratentorial haemangioblastoma: appereances on RM imaging». Br J Neurosurg 11: 576-578. doi:10.1080/02688699745772.
- ↑ Cervio, A., Villalonga, J. F., Liñares, J. M., Mormandi, R., Condomí Alcorta, S. (2015). «Tratamiento quirúrgico de los hemangioblastomas del sistema nervioso central». Rev Argent Neuroc 29 (3): 117-31.
- ↑ a b McLendon, R. E., Rosenblum, M. K., Bigner, D. D. (2006). Russell & Rubinstein's Pathology of Tumors of the Nervous System 7Ed. CRC Press. ISBN 9780340810071.
- ↑ Hufnagel, T. J., Kim, J. H., True, L. D., Manuelidis, E. E. (1989). «Immunohistochemistry of capillary hemangioblastoma: immunoperoxidase-labeled antibody staining resolves the differential diagnosis with metastatic renal cell carcinoma, but does not explain the histogenesis of the capillary hemangioblastoma». The American Journal of Surgical Pathology 13 (3): 207-216. PMID 2465700.
- ↑ Burger, P. C., Shibata, T., Kleihues, P. (1986). «The use of the monoclonal antibody Ki-67 in the identification of proliferating cells: application to surgical neuropathology». The American Journal of Surgical Pathology 10 (9): 611-617. PMID 2428262.
- ↑ Cramer, F., Kimsey, W. (1952). «The cerebellar hemangioblastomas: Review of fifty-three cases, with special reference to cerebellar cysts and the association of polycythemia». AMA Archives of Neurology & Psychiatry 67 (2): 237-252. doi:10.1001/archneurpsyc.1952.02320140105008.
- ↑ Hasselblatt, M., Jeibmann, A., Gerss, J., Behrens, C., Rama, B., Wassmann, H., Paulus, W. (2005). «Cellular and reticular variants of haemangioblastoma revisited: a clinicopathologic study of 88 cases». Neuropathology and Applied Neurobiology 31 (6): 618-622. PMID 16281910. doi:10.1111/j.1365-2990.2005.00669.x.
Enlaces externos
Wikimedia Commons alberga una categoría multimedia sobre Hemangioblastoma.- Hemangioblastomas - Neurocirugía Barcelona
