Hidrosalpinx
| Hidrosalpinx | ||
|---|---|---|
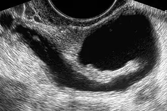
![]() Hidrosalpinx izq. en una ultrasonografía ginecológica | ||
| Especialidad | ginecología | |
El hidrosalpinx es una patología de bloqueo distal, en la que se afectan las trompas de Falopio por una deposición de líquido en el extremo de las mismas y su obstrucción.[1] Eso provoca una dilatación de las trompas, dificultando o anulando su función como medio en el cual tiene lugar la fecundación, entendida como el proceso por el cual el espermatozoide encuentra al óvulo que, tras la ovulación, ha sido depositado en la trompa.[2]
Puede existir tanto hidrosalpinx unilateral (cuando se afecta una única trompa) o bilateral (cuando se obstruyen las dos trompas). Lo más habitual entre las mujeres es el hidrosalpinx unilateral, con afectación equiprobable de la trompa izquierda o derecha.
En cuanto a su origen etimológico, la palabra "hidrosalpinx" hace referencia a la composición de las palabras griegas ὕδωρ (hidro = agua) y σάλπιγξ (salpinx = trompa).[3]
Causas
La causa principal de hidrosalpinx es la enfermedad inflamatoria pélvica, generalmente derivada de una enfermedad de transmisión sexual, como clamidia o gonorrea. La falta de diagnóstico o el mal tratamiento de estas infecciones, con el tiempo puede llegar a provocar una inflamación crónica de la trompa (la salpingitis). Esto da lugar a que se liberen mediadores proinflamatorios en la trompa y por consiguiente a que se acumule líquido dentro de la misma.[4]
Sin embargo, existen también otras causas que pueden derivar en hidrosalpinx. Estas son:
- Endometriosis: crecimiento ectópico de tejido endometrial fuera del útero.
- Cirugía previa en las trompas u otro órgano de la cavidad pélvica (por ejemplo, la recanalización tubárica).
- Efecto secundario a la inserción de un dispositivo intrauterino (DIU)
- Embarazo ectópico previo
- Tuberculosis tubárica
- Apendicitis y ruptura del apéndice
- Adherencias pélvicas
Signos y síntomas
A menudo los hidrosalpinx no causan síntomas y la mujer descubre su patología al fracasar persistentemente en sus intentos de quedar embarazada.[5]
A veces sí que se producen ciertas molestias en la zona inferior del vientre (dolor pélvico). Estas molestias pueden llegar a convertirse en dolor y ser permanente o agudizarse en determinados momentos. Cuando la gravedad del hidrosalpinx aumenta, pueden debutar con malestar general, fiebre y secreción vaginal con olor desagradable.
Repercusiones en la fertilidad
A menudo las mujeres con hidrosalpinx anhelan ser madres y sólo cuando su sueño se ve impedido, descubren que sufren esta patología. El hidrosalpinx afecta notablemente a la fertilidad de la mujer. Se debe a que el bloqueo en las trompas de falopio impiden el encuentro entre el óvulo y el espermatozoide, por lo tanto, no tiene lugar la fecundación (que como hemos mencionado se produce en el tercio externo de la trompa). Otra complicación es que impide que el óvulo, en caso de ser fertilizado, pueda trasladarse desde el ovario hasta el útero, aumentando el riesgo de un embarazo ectópico.
Por todo lo mencionado con anterioridad, a menudo las mujeres con hidrosalpinx deben recurrir a fecundación in vitro (FIV). Debemos mencionar que el líquido producido por el hidrosalpinx es tóxico para los embriones. A menudo esto repercute negativamente en el éxito de la FIV porque tenemos un líquido inflamatorio que está contaminando constantemente la cavidad uterina, por ese motivo es que se ha demostrado en las pacientes que tienen hidrosalpingo tienen peor pronóstico de éxito en fecundación in vitro con respecto a otros pacientes que igualmente vayan a fecundación in vitro pero no tengan ese diagnóstico.[6]
Existen dos tipos de hidrosalpinx que tiene repercusiones diferentes en la fertilidad:
- Hidrosalpinx comunicante: este tipo de hidrosalpinx disminuye mucho la fertilidad, tanto espontánea como mediante técnicas de fecundación in vitro, ya que en el hidrosalpinx comunicante el componente químico de la trompa que se encuentra alterado puede refluir al útero alterando su composición.
- Hidrosalpinx no comunicante: en este tipo de patología, disminuye la fertilidad espontánea pero la in vitro no disminuye tanto como en el caso anterior, ya que en el hidrosalpinx no comunicante el líquido no puede llegar al útero por reflujo.
Diagnóstico
El hidrosalpinx se puede diagnosticar mediante:[7]
- Ecografía vaginal: este procedimiento permitirá el diagnóstico de los hidrosalpinx de gran tamaño, mediante la observación de líquido acumulado en el interior de la trompa
- Histerosalpingografía o histerosonosalpingografía: estas pruebas habitualmente se realizan en el contexto del estudio de esterilidad y consisten en la inyección de un medio de contraste por vía vaginal, que pasa a través de la trompa hacia el interior de la cavidad abdominal. Si la trompa está obstruida, el contraste se acumulará en la trompa y nos permitirá visualizar el hidrosálpinx, ya sea mediante técnicas de rayos X (histerosalpingografía) o mediante ecografía (histerosonosalpingografía)
- Laparoscopia: al realizar una visualización directa de las trompas en el quirófano. Cuando se realiza la laparoscopia, el cirujano puede detectar la distensión de las trompas, identificar la oclusión y encontrar adhesiones asociadas que afecten a los órganos pélvicos. No solo la laparoscopia permite el diagnóstico del hidrosalpinx, sino que también permite su intervención.
Tratamiento
El hidrosalpinx es una de las causas de esterilidad ya que, al estar la trompa obstruida, se dificulta su función (captación del óvulo, progreso del mismo hacia el útero y ascenso de los espermatozoides por ella). En el tratamiento del hidrosalpinx, los dos métodos que se suelen recomendar para el tratamiento son la cauterización de la trompa (consiste en quemar la trompa afectada dejándola sellada para impedir que el líquido acumulado llegue al útero) y la salpinguectomía (extirpación quirúrgica de una de las dos trompas).
En esta situación, para conseguir gestación, se recomienda realizar un ciclo de fecundación in vitro (FIV), dado que se recuperan los ovocitos del ovario, se fecundan en el laboratorio , y el embrión seleccionado es transferido al interior del útero, sin requerir el paso por la trompa.[8]
Si el hidrosalpinx es de gran tamaño puede tener un efecto adverso sobre la tasa de gestación en el ciclo de FIV. Las sustancias inflamatorias que contiene dificultan la implantación del embrión, por lo que se recomienda la oclusión tubárica o la extirpación de la trompa (salpingectomía) antes del ciclo de reproducción asistida.[9]
Métodos a aplicar previamente a la FIV en mujeres con hidrosalpinx
1. Oclusión tubárica: consiste en la obstrucción de ambas trompas uterinas. Se basará en realizar una pequeña incisión quirúrgica, que se puede efectuar a través del ombligo o a nivel del nacimiento del vello púbico para cortar y ligar las trompas de Falopio. Esto impedirá el paso de líquido de la trompa al útero.[10]
2. Salpingectomía: se refiere a la extirpación quirúrgica de una trompa de Falopio. Es una operación sencilla que se realiza mediante una pequeña incisión en la zona baja del abdomen, y sin necesidad de hospitalización, aunque la paciente deberá guardar reposo durante las veinticuatro horas y seguirá una dieta especial en los días siguientes.[11]
Prevención
Ya que la enfermedad pélvica inflamatoria es la causa principal de hidrosalpinx, se podría proponer como método preventivo el especial cuidado en el contagio de enfermedades de transmisión sexual para prevenir el hidrosalpinx. Del mismo modo, el tratamiento antibiótico adecuado de una infección pélvica podría ser un método adecuado para reducir la incidencia de hidrosalpinx.
Referencias
- ↑ Ankum WM, Houtzager HL, Bleker OP (1996). «Reinier De Graaf (1641-1673) and the fallopian tube». Hum. Reprod. Update 2 (4): 365-9. PMID 9080233. doi:10.1093/humupd/2.4.365.
- ↑ Alexander Skene (1890). Treatise on the Diseases of Women. D. Appleton & Co, New York, 1889.
- ↑ Liddell, H.G. & Scott, R. (1940). A Greek-English Lexicon. revised and augmented throughout by Sir Henry Stuart Jones, with the assistance of Roderick McKenzie. Oxford: Clarendon Press.
- ↑ https://www.ingenes.com/primeros-pasos/entendiendo-la-infertilidad/causas/factor-tubarico/hidrosalpinx/
- ↑ Strandell A, Lindhard A, Waldenström U, Thorburn J, Janson PO, Hamberger L (noviembre de 1999). «Hydrosalpinx and IVF outcome: a prospective, randomized multicentre trial in Scandinavia on salpingectomy prior to IVF». Hum. Reprod. 14 (11): 2762-9. PMID 10548619. doi:10.1093/humrep/14.11.2762.
- ↑ «Hidrosalpinx y como arruina un tratamiento de fertilidad | Video». Creafam. Consultado el 11 de julio de 2023.
- ↑ https://www.reproduccionasistida.org/hidrosalpinx/
- ↑ Taylor RC, Berkowitz J, McComb PF (2001). «Role of laparoscopic salpingostomy in the treatment of hydrosalpinx». Fertil. Steril. 75 (3): 594-600. PMID 11239547. doi:10.1016/S0015-0282(00)01737-4.
- ↑ Hidropsalinx o trompas obstruidas: Diagnóstico y tratamiento en Barcelona. (n.d.). Retrieved from https://www.institut-riera.com/ginecologia/hidrosalpinx/
- ↑ «Copia archivada». Archivado desde el original el 19 de enero de 2019. Consultado el 26 de noviembre de 2018.
- ↑ http://www.serginemedica.es/blog/salpingectomia-esterilizacion-femenina/id/797
.jpg)