Hipertensión gestacional
| Hipertensión gestacional | ||
|---|---|---|
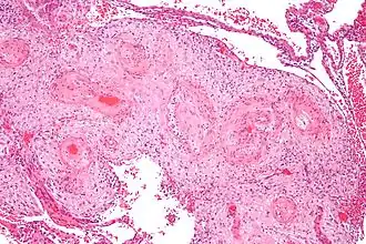
![]() La micrografía muestra una vasculopatía decidual hipertrófica, un hallazgo histológico durante la hipertensión gestacional - un componente de la preeclampsia. Tinción H&E. | ||
| Especialidad | obstetricia | |
La hipertensión gestacional es un trastorno caracterizado por la presencia de una tensión arterial alta (Presión arterial sistólica ≥ 140 mmHg y/o Presión arterial diastólica ≥ 90 mmHg) en cualquier momento del embarazo, sin embargo existen 2 casos que se deben tener en cuenta uno de ellos es la Pre eclampsia (TAS ≥ 140 mm Hg y < 160 mmHg y/o TAD ≥ 90 mmHg y < 110 mmHg) y otro la eclampsia (convulsiones tónico - clónicas durante el embarazo, parto o puerperio) .[1][2][3]
Los trastornos hipertensivos que se presentan en el embarazo, han determinado ser una de las primeras causas para que se produzca la muerte de una mujer en países con un mejor desarrollo económico y social; mientras que para los países que aún se encuentran en procesos de desarrollo, este trastorno representa un tercio de las muertes en mujeres embarazadas. Datos estadísticos de la OMS,[4] indican que los problemas que se asocian con la gestación, la pérdida fetal o el parto, generan alrededor de 800 muertes diarias de embarazadas y 7700 muertes de neonatos.[5]
Factores predisponentes
Ser madre adolescente con una edad menor o igual a 20 años es uno de los principales factores predisponentes para el padecimiento de hipertensión gestacional. Sin embargo, también existe una predisposición de padecer preeclapsia en aquellas mujeres mayores de 35 años.[6]
Por otro lado la diabetes, la obesidad, el padecimiento de trastornos hipertensivos anteriores y los factores económicos se podrían llegar a considerar factores influyentes en la aparición de preeclapsia o eclampsia[6]
Condiciones
Existen algunas condiciones hipertensivas durante el embarazo:
- Hipertensión gestacional: definida como una PA superior a 140/90
- Preeclampsia: hipertensión gestacional (PA > 140/90), y proteinuria (>300 mg en orina de 24 horas). La preeclampsia severa implica una PA superior a 160/110 (con síntomas adicionales)
- Eclampsia: convulsiones es una paciente con preeclampsia
- Síndrome HELLP: anemia hemolítica, enzimas hepáticas y trombocitopenia
- La Esteatosis hepática aguda del embarazo se incluye en ocasiones dentro del espectro de la preeclampsia.
La preeclampsia y eclampsia son en ocasiones tratadas como componentes de un mismo síndrome.
Preeclampsia
La preeclampsia se define como la aparición de hipertensión arterial, sin tener diagnóstico previo, en una gestante, después de las 20 semanas de embarazo.
La hipertensión puede presentarse antes de las 20 semanas, si la mujer ha tenido fetos múltiples o una mola hidatiforme o sin necesidad de ello.
El cuadro clínico se caracteriza por la aparición de hipertensión arterial que puede asociarse con proteinuria y edemas (preclampsia) y evolucionar desfavorablemente a convulsiones y llegar al coma(eclampsia). Si bien la causa de la eclampsia es desconocida se atribuye a una alteración en el flujo sanguíneo útero-placentario, no logrando regular los cambios en la presión de filtración. se corrige la situación con la evacuación del feto.
La preeclamsia se considera como el trastorno hipertensivo más común que sufren las mujeres embarazadas, por lo que constituye alrededor del 10% de casos en países desarrollados y el 18% en países que aún siguen en proceso de avance, concluyendo así que su prevalencia es común para el 2.3 % de los casos reportados.[7][3]
La pre-eclampsia es un trastorno propio del estado gestacional que se caracteriza por una alteración presentada entre los elementos antiangiogénicos y proangiogénicos, en donde la hipótesis principal postula que, el surgimiento de la misma se debe a un daño en la arteria espiral que conduce a la isquemia de la placenta.[8]
La preeclampsia se divide en Preeclampsia sin signos de gravedad y Preeclampsia con signos de gravedad
Preeclampsia sin signos de gravedad
Se considera Preeclampsia sin signos de gravedad a aquella paciente que, presenta una hipertensión de 140/90 y que, no presenta signos de alarma.[3]
Con un diagnóstico de preeclampsia moderada antes de la semana 37 de gestación se recomienda un manejo expectante ambulatorio acompañado de un control semanal de la madre y la monitorización del bienestar del feto. Si la hipertensión se mantiene a pesar del manejo, progresa a eclampsia, aparecen signos que afectan al feto, disfunción renal, hematológica, hepática o pulmonar, se debe finalizar con la gestación inmediatamente sin importar la edad gestacional.[9]
Después de la semana 37 de gestación, según las condiciones obstétricas que se presente, se debe interrumpir el embarazo por vía vaginal o por cesárea.[9]
Preeclampsia con signos de gravedad
Se considera Preeclampsia con signos de gravedad a aquella paciente que, presenta una hipertensión de 140/90 y que, presenta signos de alarma.
Para las pacientes con preeclampsia severa que necesitan dar a luz se recomienda la inducción del parto, el parto por vía vaginal es preferible a la cesárea, sin embargo, son las circunstancias de la clínica del paciente las que permitirán decidir la mejor vía de parto.[9]
Un tema polémico es el elegir la técnica anestésica en relación con la atención intraparto de la preeclampsia. Todas las técnicas tienen riesgos que pueden reducirse, pero no se pueden eliminar. La reducción de la presión arterial en la madre debida al uso de técnicas locales podría reducir el flujo sanguíneo del útero y poner en riesgo al feto. Por otro lado, el empeoramiento de la hipertensión por la intubación traqueal puede provocar edema pulmonar, y hemorragia intracraneal. Por otro lado, la reducción de la presión arterial en la madre debida al uso de técnicas locales. Por esto no se puede evitar que aparezcan las complicaciones con ninguna de las técnicas, sin embargo, la correcta elección de la técnica más apropiada para cada paciente reducirá significativamente los riesgos.[9]
Tratamiento de Preeclampsia
El tratamiento inicial será la aplicación de sulfato de magnesio según el modelo de Zuspan; el cual consiste en la aplicación de 4 gramos de sulfato de magnesio, diluido en solución salina, como dosis de impregnación y 1 gramo diluido en solución salina durante las siguientes 24 horas.[10]
Signos de alarma
Se tendrá en cuenta los siguientes signos de alarma para poder realizar un oportuno diagnóstico precoz: _Aumento brusco de peso (>750g/semana) _oliguria _edemas _compromiso renal.
Eclampsia
La eclampsia es una de las complicaciones hipertensivas más graves que se puede presentar en una mujer embarazada, ya que al provocar convulsiones esta pone en riesgo la vida del feto así como la vida de la madre. Es por ello, que su intervención debe ser oportuna e inmediata.[9]
La incidencia y los valores de mortalidad para la eclampsia aún no se han definido de manera exacta en países subdesarrollados, pero se especula que por cada 100 a 1700 mujeres en estado de gestación, solamente una presenta este trastorno, mientras que por cada 100 casos reportados de preeclampsia hay una embarazada con eclampsia.[11] Las gestantes que viven en lugares antihigiénicos, aislados, mal cuidados y que además son de bajos recursos económicos y que han desarrollado conjuntamente la preeclampsia tienen una mayor probabilidad de padecer eclampsia severa y morir de manera espontánea.[7]
Al ingreso al hospital de emergencias,el médico a cargo deberá tomar la presión arterial de la paciente de manera frecuente, controlar el funcionamiento cardíaco de la madre y del feto, además de verificar las contracciones uterinas que pueden surgir. Por otra parte, también se debe controlar los valores enzimáticos del hígado, valores de creatinina y ácido úrico para la función renal, controlar la diuresis y factores relacionados con la coagulación.[12]
El objetivo del tratamiento para este trastorno consiste en disminuir, eliminar e incluso prevenir las convulsiones. El sulfato de magnesio es significativo a la hora de prevenir una muerte materna causada por eclampsia, por lo que su aplicación se debe realizar por vía intravenosa, considerando que son 6 gramos administrados en un tiempo de 20 minutos.[3][12]
Tratamiento en general
El tratamiento dietoterapico de la HTA gestacional consistirá en el aumneto de Ca, K y Mg. Se manejará una dieta normosódica evitando el consumo de alimentos ricos en sal. la restricción de Na no muestra cambios significativos en la presión sanguínea, y en cambio sí puede tener efectos nocivos sobre la secreción renal de renina. El uso de diuréticos solo será aconsejado ante casos de HTA severa, ya que se corre el riesgo de causar hipoperfusión placentaria y distrés fetal. Se hará un control de proteínas como prevención (no manejar más de las recomendadas para el tercer trimestre) Se deberá controlar muy de cerca el aumento de peso y el consumo de líquidos, especialmente para el tercer trimestre.
La hipertensión gestacional debe ser monitorizada estrechamente para identificar rápidamente la aparición de preeclampsia y sus complicaciones severas como el síndrome HELLP y la eclampsia. Las opciones terapéuticas son limitadas, debido a que muchos antihipertensivos pueden afectar al feto; la metildopa, hidralazina y labetalol son los medicamentos usados con más frecuencia en la hipertensión severa.
Síndrome De Hellp
El síndrome de Hellp se podría llegar considerar una complicación de los trastornos hipertensivos del embarazo, el mismo, se caracteriza por un daño endotelial junto con una reducción del número de plaquetas que conlleva a una isquemia distal y una necrosis hepatocelular; de manera general se considera una complicación de la preeclampsia grave; sin embargo, en el 15%[13] de sujetos podría llegar a ocurrir sin antecedentes de preeclampsia o eclampsia.[14]
Se estima que el síndrome de Hellp afecta a 3 de cada 1000 embarazadas; esto provoca una tasa de mortalidad materna de aproximadamente 3% y una tasa de muerte fetal de alrededor del 22.5% [13]
Clasificación del síndrome del Hellp[15]
La comunidad médica acepta dos grandes clasificaciones que abarcan los principales hallazgos de laboratorio presentes durante el síndrome de Hellp[3] estas son: la clasificación de Missisipi que, divide el síndrome de Hellp en tres clases, siendo la clase 1 la más peligrosa y la 3 aquella que presenta menos riesgo de mortalidad materna; por otro lado la clasificación de Tennessee divide al mismo síndrome en completa e incompleta, siendo la completa aquella que presenta tanto los valores de plaquetas, AST/ALT y el lactato deshidrogenasa alterados y, la incompleta, aquella que presenta uno o dos de estos valores por separado.[16][15]
| clase | Hallazgos | Valores |
|---|---|---|
| 1 | Número de plaquetas | Menos de 50 mil/ml |
| AST/ALT | Mayor o igual a 70 UI/L | |
| Lactato deshidrogenasa | Mayor o igual a 600 UI/L | |
| 2 | Número de plaquetas | Más de 50 mil/ml pero menos de 100 mil/ml |
| AST/ALT | Mayor o igual a 70 UI/L | |
| Lactato deshidrogenasa | Mayor o igual a 600 UI/L | |
| 3 | Número de plaquetas | Mayor a 100 mil/ml pero menos de 150 ml/ml |
| AST/ALT | Mayor o igual a 40 UI/L | |
| Lactato deshidrogenasa | Mayor o igual a 600 UI/L |
| Tipo | Hallazgos | Valores |
|---|---|---|
| Completa | Número de plaquetas | Menos de 100 mil/ml |
| AST/ALT | Mayor o igual a 70 UI/L | |
| Lactato deshidrogenasa | Mayor o igual a 600 UI/L | |
| Incompleta | Si se presentase uno o dos valores por separado
entonces adquiriría la denominación de incompleta |
Bibliografía
- Gabbe SG, Niebyl JR, Simpson JL (2007). «33». Obstetrics - Normal and Problem Pregnancies (5 edición). Philadelphia: Elsevier Churchill Livingstone. ISBN 0443065721.
- Vintch, Janine; Bongard, Fred S.; Sue, Darryl Y. (2008). Current diagnosis & treatment critical care. McGraw-Hill Medical. pp. 807. ISBN 0-07-143657-X.
- Torresani,M;Somoza M. Lineamientos para el cuidado nutricional. 2°ed. Buenos Aires. Eudeba. 2005
Referencias
- ↑ Milos Sucksdorf, María V.; Strada, Bruno N.; Abud, Atilio M.; Alessandría, María C.; Gastaldi, Gonzalo; Quaino, Florencia D.; et al (octubre-diciembre de 2017). «Análisis de los factores de riesgo para el desarrollo de estados hipertensivos del embarazo». Revista de la federación argentina de cardiología (Argentina) 46 (4). ISSN 1666-5694. Consultado el 2 de enero de 2019.
- ↑ Rosas-Peralta, Martín; Borrayo-Sánchez, Gabriela; Madrid-Miller, Alejandra; Ramírez-Arias, Erick; Pérez-Rodríguez, Gilberto (2016). «Hipertensión durante el embarazo: el reto continúa». Revista Médica del Instituto Mexicano del Seguro Social (México) 54 (Supl 1): S91-S111. ISSN 0443-5117. Consultado el 2 de enero de 2019.
- ↑ a b c d e www.salud.gob.ec https://www.salud.gob.ec/wp-content/uploads/2017/03/MSP_Trastornos-hipertensivos-del-embarazo-con-portada-3.pdf
|url=sin título (ayuda). Consultado el 8 de diciembre de 2018. - ↑ Vedado, Lic Heidy Ramírez Vázquez: Editora principal | Especialista de Servicios Especiales de Información : CNICM-Infomed | Calle 27 no 110 e/ M. y N. «Servicio de noticias en salud Al Día – Unas 800 mujeres y unos 7 700 recién nacidos mueren diariamente en el mundo». Consultado el 17 de diciembre de 2018.
- ↑ Moya Toneut, Roberto; Moya Arechavaleta, Alejandro; Moya Arechavaleta, Néstor; Blanco Balbeito, Nubia; Moya Toneut, Carlos; Morales García, Blaren (2017-6). «Trastornos hipertensivos durante el embarazo en gestantes del Policlínico Universitario "Santa Clara" (2015-2016)». Revista Cubana de Obstetricia y Ginecología 43 (2): 1-14. ISSN 0138-600X. Consultado el 17 de diciembre de 2018.
- ↑ a b «Vista de Factores de riesgo de los trastornos hipertensivos inducidos por el embarazo en mujeres atendidas en una entidad de salud de Santa Marta». revistas.unimagdalena.edu.co. Consultado el 17 de diciembre de 2018.
- ↑ a b «Copia archivada». www.maternoinfantil.org. Archivado desde el original el 17 de diciembre de 2018. Consultado el 17 de diciembre de 2018.
- ↑ Gathiram, P.; Moodley, J. (2016-3). «Pre-eclampsia: its pathogenesis and pathophysiolgy». Cardiovascular Journal of Africa 27 (2): 71-78. ISSN 1680-0745. PMC 4928171. PMID 27213853. doi:10.5830/CVJA-2016-009. Consultado el 17 de diciembre de 2018.
- ↑ a b c d e www.imss.gob.mx http://www.imss.gob.mx/sites/all/statics/guiasclinicas/020GER.pdf
|url=sin título (ayuda). Consultado el 17 de diciembre de 2018. - ↑ www.medigraphic.com http://www.medigraphic.com/pdfs/rma/cma-2009/cmas091h.pdf
|url=sin título (ayuda). Consultado el 17 de diciembre de 2018. - ↑ Khan, Khalid S.; Wojdyla, Daniel; Say, Lale; Gülmezoglu, A. Metin; Van Look, Paul Fa (1 de abril de 2006). «WHO analysis of causes of maternal death: a systematic review». Lancet (London, England) 367 (9516): 1066-1074. ISSN 1474-547X. PMID 16581405. doi:10.1016/S0140-6736(06)68397-9. Consultado el 17 de diciembre de 2018.
- ↑ a b Meza Santibáñez, Luis; Guevara Ríos, Enrique (2014-10). «Manejo de la preeclampsia/eclampsia en el Perú». Revista Peruana de Ginecología y Obstetricia 60 (4): 385-394. ISSN 2304-5132. Consultado el 17 de diciembre de 2018.
- ↑ a b «UpToDate». www.uptodate.com. Consultado el 7 de diciembre de 2018.
- ↑ Pregnancy,, American College of Obstetricians and Gynecologists. Task Force on Hypertension in. Hypertension in pregnancy. ISBN 9781934984284. OCLC 847537449. Consultado el 7 de diciembre de 2018.
- ↑ a b c d Briery, Christian M.; Rose, Carl H.; Martin, James N. (1 de octubre de 2006). «Understanding and managing HELLP syndrome: The integral role of aggressive glucocorticoids for mother and child». American Journal of Obstetrics & Gynecology (en inglés) 195 (4): 914-934. ISSN 1097-6868. doi:10.1016/j.ajog.2005.08.044. Consultado el 8 de diciembre de 2018.
- ↑ Mendivil Ciódaro, César; Perdomo, Rivas; E, Edgar (2011-12). «Hellp Syndrome: Review». Revista Salud Uninorte 27 (2): 259-274. ISSN 0120-5552. Consultado el 8 de diciembre de 2018.
Enlaces externos
- Hypertension and Women
- What is Gestational Hypertension Archivado el 27 de agosto de 2010 en Wayback Machine.
