Intubación traqueal
| Intubación traqueal | ||
|---|---|---|
|
Anestesiólogo utilizando el Glidescope vídeo laringoscopio para intubar la tráquea de una persona mayor con obesidad mórbida y una anatomía de las vías respiratorias complicada. | ||
| Clasificación y recursos externos | ||
| CIE-9-MC | 96.04 | |
| MeSH | D007442 | |
| MedlinePlus | 003449 | |
| OPS-301 | 8-701 | |
La intubación traqueal, comúnmente conocida como intubación, es un procedimiento médico que consiste en la inserción de un tubo flexible de plástico en la tráquea (conducto respiratorio) para mantener la vía aérea permeable o para administrar ciertos medicamentos. Este procedimiento se realiza frecuentemente en pacientes gravemente enfermos, lesionados o bajo anestesia para facilitar la ventilación pulmonar, incluyendo la ventilación mecánica, y para prevenir la asfixia o la obstrucción de la vía aérea.
Métodos de intubación
El método más común es la intubación orotraqueal, en la que un tubo endotraqueal se introduce a través de la boca y las cuerdas vocales hasta la tráquea. En la intubación nasotraqueal, el tubo se inserta por la nariz hasta llegar a la tráquea. Otros métodos quirúrgicos incluyen la cricotirotomía, utilizada en emergencias, y la traqueotomía, empleada cuando se anticipa una necesidad prolongada de soporte de la vía aérea.
Dado que es un procedimiento invasivo y potencialmente incómodo, la intubación se realiza típicamente bajo anestesia general y con el uso de bloqueadores neuromusculares. Sin embargo, en pacientes conscientes, puede realizarse con anestesia local o anestesia tópica, o incluso sin anestesia en situaciones de emergencia. La intubación se facilita mediante instrumentos como el laringoscopio convencional, el broncoscopio de fibra óptica o el videolaringoscopio, que permiten visualizar las cuerdas vocales y guiar el tubo hacia la tráquea, evitando el esófago.
Procedimiento
Tras la intubación, se infla un manguito (balón) en el extremo distal del tubo para fijarlo, evitar fugas de gases respiratorios y proteger la árbol traqueobronquial de la aspiración de contenido gástrico. El tubo se asegura al rostro o cuello del paciente y se conecta a un circuito de anestesia, un dispositivo de ventilación manual (como una bolsa-válvula-máscara) o un ventilador mecánico. Cuando ya no es necesario, el tubo se retira en un proceso llamado extubación (o decannulación en el caso de traqueotomías o cricotirotomías).
Historia
Durante siglos, la traqueotomía fue el único método fiable para acceder a la tráquea, aunque con una tasa de supervivencia baja, reservándose para pacientes en estado crítico. No fue hasta finales del siglo XIX, con avances en anatomía, fisiología y la teoría de los gérmenes, que la traqueotomía se convirtió en una opción terapéutica aceptable. A finales del siglo XIX, mejoras en la endoscopia permitieron desarrollar la intubación orotraqueal no quirúrgica mediante laringoscopia directa. Para mediados del siglo XX, la traqueotomía, la endoscopia y la intubación traqueal no quirúrgica se convirtieron en componentes esenciales de la anestesiología, la medicina intensiva, la medicina de emergencia y la otorrinolaringología.
Indicaciones
La intubación traqueal está indicada en diversas situaciones donde una enfermedad o procedimiento impide mantener la vía aérea permeable, respirar adecuadamente o oxigenar la sangre. La oxigenoterapia con mascarilla simple es insuficiente en estos casos. Las principales indicaciones incluyen:
Alteración del nivel de conciencia
La intubación es común para administrar óxido nitroso o anestésicos inhalatorios durante la anestesia general. Los anestésicos generales, opioides y bloqueadores neuromusculares pueden reducir o suprimir el impulso respiratorio. La intubación asegura una vía aérea permeable[1][2] y protege contra la regurgitación y la aspiración pulmonar.[3]
En casos de daño cerebral (como accidente cerebrovascular, traumatismo craneoencefálico, intoxicación o envenenamiento), un nivel de conciencia alterado severo (como estupor o coma, según la puntuación en la escala de coma de Glasgow menor a 8)[4] puede causar obstrucción de la vía aérea por colapso de los músculos extrínsecos. Además, los reflejos protectores de las vías respiratorias, como la tos y la deglución, pueden estar disminuidos o ausentes. A menudo es necesaria la intubación traqueal para restablecer la permeabilidad (ausencia relativa de obstrucción) de la vía aérea y proteger el árbol traqueobronquial de la aspiración pulmonar del contenido gástrico.[5]
Hipoxemia
La intubación es necesaria en pacientes con hipoxemia (bajo contenido de oxígeno en sangre) y de la saturación de oxígeno de la sangre debido a hipoventilación, apnea o insuficiencia pulmonar para transferir gases.[6] Esto ocurre en enfermedades graves como lesión de la médula espinal, múltiples facturas en las costillas, neumonía severa, síndrome de dificultad respiratoria aguda (SDRA) o ahogamiento. Se considera la intubación si la presión parcial de oxígeno arterial (PaO₂) es menor a 60 mm Hg con una concentración de oxígeno inspirado (FiO₂) del 50% o más. En pacientes con dióxido de carbono arterial elevado, una presión parcial arterial de CO2 (PaCO2) superior a 45 mm Hg en el contexto de acidemia aconsejaría la intubación, especialmente si una serie de mediciones demuestra un empeoramiento de la acidosis respiratoria. Independientemente de los valores de laboratorio, estas directrices se interpretan siempre en el contexto clínico.[7]
Obstrucción de la vía aérea
La obstrucción, actual o inminente, es una indicación frecuente para la intubiación traqueal. Cuando un cuerpo extraño se aloja en las vías respiratorias puede producirse una obstrucción potencialmente mortal de las mismas; esto es especialmente frecuente en lactantes y niños pequeños. Las lesiones contusas o penetrantes graves en la cara o el cuello pueden ir acompañadas de hinchazón y un hematoma en expansión, o lesiones en la laringe, la tráquea o los bronquios. La obstrucción de las vías respiratorias también es frecuente en personas que han sufrido inhalación de humo o quemaduras dentro o cerca de las vías respiratorias o epiglotitis. La actividad convulsiva generalizada sostenida y el angioedema son otras causas comunes de obstrucción de las vías respiratorias potencialmente mortales que pueden requerir intubación traqueal para asegurar la vía aérea.[1][2]
Manipulación de la vía aérea
Procedimientos diagnósticos o terapéuticos como broncoscopia, terapia láser o colocación de estent en los bronquios pueden interferir con la respiración, requiriendo intubación.[5]
Neonatos
En recién nacidos, condiciones como síndrome de dificultad respiratoria del recién nacido, cardiopatía congénita, neumotórax o shock pueden requerir intubación y ventilación mecánica. También se emplea durante cirugías bajo anestesia general en neonatos.[8]
Equipos
Laringoscopios


La gran mayoría de las intubaciones traqueales implican el uso de un instrumento de visualización de un tipo u otro. El laringoscopio convencional moderno consiste en un mango que contiene pilas que alimentan una luz y un conjunto de cuchillas intercambiables, que pueden ser rectas o curvas. Este dispositivo está diseñado para permitir al laringoscopista ver directamente la laringe. Debido a la amplia disponibilidad de este tipo de dispositivos, la técnica de la intubación a ciegas[9] de la tráquea apenas se practica en la actualidad, aunque puede seguir siendo útil en determinadas situaciones de emergencia, como catástrofes naturales o provocadas por el hombre.[1][10] En el ámbito de las emergencias prehospitalarias, la intubación digital puede ser necesaria si el paciente se encuentra en una posición que hace imposible la laringoscopia directa. Por ejemplo, un paramédico puede utilizar la intubación digital si el paciente está atrapado en posición invertida en un vehículo tras una colisión automovilística con un tiempo de extracción prolongado. La decisión de utilizar una hoja de laringoscopio recta o curva depende, en parte, de las características anatómicas específicas de la vía aérea y, en parte, de la experiencia y preferencia personal del laringoscopista. La hoja Miller, caracterizada por su forma recta y alargada con una punta curva, se emplea frecuentemente en pacientes con anatomía de vía aérea desafiante, como aquellos con apertura bucal limitada o laringe alta. Su diseño permite la visualización directa de la epiglotis, facilitando una exposición precisa de la glotis.[11] Por el contrario, la hoja Macintosh, con su configuración curva que recuerda las letras "C" o "J", es preferida en intubaciones rutinarias para pacientes con anatomía de vía aérea normal. Su diseño curvo permite la laringoscopia indirecta, proporcionando una mejor visualización de las cuerdas vocales y la glotis en la mayoría de los pacientes adultos.[1][12]
La elección entre las hojas Miller y Macintosh está influenciada por consideraciones anatómicas específicas y las preferencias del laringoscopista. Mientras que la hoja Macintosh es la más comúnmente utilizada entre las hojas curvas, la hoja Miller es la opción preferida para la intubación con hoja recta. Ambas hojas están disponibles en varios tamaños, desde el tamaño 0 (bebés) hasta el tamaño 4 (adultos grandes), adaptándose a pacientes de diferentes edades y anatomías. Además, existe una amplia variedad de hojas especializadas con características únicas, como espejos para mejorar la visualización y puertos para la administración de oxígeno, utilizadas principalmente por anestesiólogos y otorrinolaringólogos en entornos quirúrgicos.[11][13]
Los laringoscopios de fibra óptica han ganado popularidad desde la década de 1990. A diferencia del laringoscopio convencional, estos dispositivos permiten al laringoscopista visualizar la laringe de forma indirecta. Esto ofrece una ventaja significativa en situaciones donde el operador necesita ver alrededor de una curvatura pronunciada para visualizar la glotis, y manejar intubaciones que de otro modo serían difíciles. Los videolaringoscopios son laringoscopios de fibra óptica especializados que utilizan un sensor de cámara de video digital para permitir al operador visualizar la glotis y la laringe en un monitor de video.[1][14][15] Otros dispositivos "no invasivos" que pueden emplearse para asistir en la intubación traqueal incluyen la máscara laríngea[16] (utilizada como conducto para la colocación del tubo endotraqueal) y el Airtraq.[17]
Estilete
Un estilete de intubación es un alambre metálico maleable diseñado para insertarse en el tubo endotraqueal, permitiendo que el tubo se adapte mejor a la anatomía de la vía aérea superior de un individuo específico. Este dispositivo es comúnmente utilizado en laringoscopias difíciles. Al igual que con las hojas de laringoscopio, existen varios tipos de estiletes disponibles,[1][18] como el estilete Verathon, diseñado específicamente para seguir el ángulo de 60° de la hoja del videolaringoscopio GlideScope[19]
El introductor de tubo traqueal Eschmann (también conocido como "bougie elástico" o "guía elástica") es un tipo especializado de estilete utilizado para facilitar la intubación difícil.[20] Este dispositivo flexible mide 60 cm de longitud, tiene un diámetro de 15 French (5 mm) y presenta un pequeño ángulo en forma de "palo de hockey" en el extremo distal. A diferencia de un estilete de intubación tradicional, el introductor Eschmann se inserta directamente en la tráquea y luego se utiliza como guía sobre la cual se pasa el tubo endotraqueal (de manera análoga a la técnica de Seldinger). Debido a que es considerablemente menos rígido que un estilete convencional, esta técnica se considera un método relativamente atraumático de intubación traqueal.[21][22]
El intercambiador de tubo traqueal es un catéter hueco, de 56 a 81 cm (22,0 a 31,9 plg) de longitud, que permite retirar y reemplazar tubos traqueales sin necesidad de laringoscopia.[23] El catéter de intercambio de vía aérea Cook (CAEC) es otro ejemplo de este tipo de catéter; este dispositivo cuenta con un lumen central (canal hueco) a través del cual se puede administrar oxígeno.[24] Los catéteres de intercambio de vía aérea son catéteres huecos largos que a menudo incluyen conectores para ventilación por chorro, ventilación manual o insuflación de oxígeno. También es posible conectar el catéter a un capnógrafo para realizar monitoreo respiratorio.
El estilete luminoso es un dispositivo que utiliza el principio de transiluminación para facilitar la intubación orotraqueal ciega (una técnica de intubación en la que el laringoscopista no visualiza la glotis).[25]
Tubos traqueales


Un tubo traqueal es un catéter que se inserta en la tráquea con el propósito principal de establecer y mantener una vía aérea permeable (abierta y sin obstrucciones). Los tubos traqueales se utilizan frecuentemente para el manejo de la vía aérea en contextos de anestesia general, cuidados intensivos, ventilación mecánica y medicina de emergencia. Existen muchos tipos diferentes de tubos traqueales, adaptados para aplicaciones específicas. Un tubo endotraqueal es un tipo específico de tubo traqueal que casi siempre se inserta a través de la boca (orotraqueal) o la nariz (nasotraqueal). Es un conducto respiratorio diseñado para colocarse en la vía aérea de pacientes gravemente lesionados, enfermos o anestesiados, con el fin de realizar ventilación mecánica a presión positiva y prevenir la posibilidad de aspiración o obstrucción de la vía aérea.[26] El tubo endotraqueal tiene un conector diseñado para conectarse a una fuente de gas presurizado, como oxígeno. En el otro extremo hay un orificio a través del cual dichos gases se dirigen a los pulmones y puede incluir un balón (conocido como manguito). La punta del tubo endotraqueal se posiciona por encima de la carina (antes de que la tráquea se divida hacia cada pulmón) y se sella dentro de la tráquea para que los pulmones puedan ventilarse de manera equitativa.[26] Un tubo de traqueostomía es otro tipo de tubo traqueal; este tubo curvo de metal o plástico, de 50-75 milímetros (2-3 plg) de longitud, se inserta en un estoma de traqueostomía o una incisión de cricotirotomía.[27]
Los tubos traqueales pueden utilizarse para asegurar un intercambio adecuado de oxígeno y dióxido de carbono, administrar oxígeno en concentraciones más altas que las del aire ambiente o administrar otros gases como helio,[28] óxido nítrico,[29] óxido nitroso, xenón,[30] o ciertos agentes anestésicos volátiles como desflurano, isoflurano o sevoflurano. También pueden servir como vía para la administración de ciertos medicamentos, como broncodilatadores, corticosteroides inhalados y fármacos utilizados en el tratamiento de paro cardíaco, como atropina, epinefrina, lidocaína y vasopresina.[3]
Originalmente hechos de caucho de látex, la mayoría de los tubos endotraqueales modernos están construidos de policloruro de vinilo. También están disponibles tubos de caucho de silicona, silicona reforzada con alambre o acero inoxidable para aplicaciones especiales. Para uso humano, los tubos varían en tamaño de 2 a 10.5 mm de diámetro interno. El tamaño se elige según el tamaño corporal del paciente, utilizando tamaños más pequeños para bebés y niños. La mayoría de los tubos endotraqueales tienen un manguito inflable para sellar el árbol traqueobronquial contra fugas de gases respiratorios y la aspiración pulmonar de contenido gástrico, sangre, secreciones u otros fluidos. También hay tubos sin manguito, cuyo uso se limita principalmente a niños (en niños pequeños, el cartílago cricoide es la porción más estrecha de la vía aérea y suele proporcionar un sellado adecuado para la ventilación mecánica).[1][14]
Además de los tubos con o sin manguito, también están disponibles tubos endotraqueales preformados. Los tubos RAE orales y nasales (nombrados por los inventores Ring, Adair y Elwyn) son los más utilizados entre los tubos preformados.[31]
Existen varios tipos de tubos endobronquiales de doble lumen que tienen canales endobronquiales y endotraqueales (tubos Carlens, White y Robertshaw). Estos tubos son típicamente coaxiales, con dos canales separados y dos aberturas separadas. Incorporan un lumen endotraqueal que termina en la tráquea y un lumen endobronquial, cuya punta distal se posiciona 1-2 cm dentro del bronquio principal derecho o izquierdo. También existe el tubo Univent, que tiene un solo lumen traqueal y un bloqueador endobronquial integrado. Estos tubos permiten ventilar ambos pulmones o cada pulmón de forma independiente. La ventilación de un solo pulmón (permitiendo que el pulmón del lado operado colapse) puede ser útil durante la cirugía torácica, ya que facilita la visión y el acceso del cirujano a otras estructuras relevantes dentro de la cavidad torácica.[1][32]
Los tubos endotraqueales "blindados" son tubos de caucho de silicona reforzados con alambre, con manguito. Son mucho más flexibles que los tubos de cloruro de polivinilo, pero difíciles de comprimir o doblar. Esto los hace útiles en situaciones donde se espera que la tráquea permanezca intubada por un período prolongado o si el cuello debe permanecer flexionado durante la cirugía. La mayoría de los tubos blindados tienen una curva Magill, pero también están disponibles tubos RAE blindados preformados. Otro tipo de tubo endotraqueal tiene cuatro pequeñas aberturas justo por encima del manguito inflable, que pueden usarse para la succión de la tráquea o la administración de medicamentos intratraqueales si es necesario. Otros tubos (como el tubo Bivona Fome-Cuf) están diseñados específicamente para su uso en cirugía láser en y alrededor de la vía aérea.[33]
Métodos para confirmar la colocación del tubo


Ningún método para confirmar la colocación del tubo traqueal ha demostrado ser 100% fiable. Por lo tanto, el uso de múltiples métodos para confirmar la colocación correcta del tubo es ahora considerado el estándar de atención.[34] Estos métodos incluyen la visualización directa de la punta del tubo pasando por la glotis, o la visualización indirecta del tubo traqueal dentro de la tráquea usando un dispositivo como un broncoscopio. Con un tubo traqueal correctamente posicionado, se escucharán sonidos respiratorios bilaterales iguales al auscultar el tórax con un estetoscopio, y no se escucharán sonidos al auscultar el área sobre el estómago. Se observará un ascenso y descenso bilateral igual de la pared torácica con las excursiones ventilatorias. También se observará una pequeña cantidad de vapor de agua dentro del lumen del tubo con cada exhalación, y no habrá contenido gástrico en el tubo traqueal en ningún momento.[33]
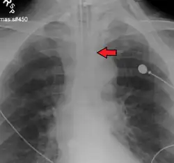
Idealmente, al menos uno de los métodos utilizados para confirmar la colocación del tubo traqueal será un instrumento de medición. La capnografía de forma de onda ha surgido como el estándar de oro para la confirmación de la colocación del tubo dentro de la tráquea. Otros métodos que dependen de instrumentos incluyen el uso de un detector colorimétrico de dióxido de carbono al final de la espiración, un bulbo esofágico autoinflable o un dispositivo de detección esofágica.[35] La punta distal de un tubo traqueal correctamente posicionado estará ubicada en la mitad de la tráquea, aproximadamente 2 cm (1 plg) por encima de la bifurcación de la carina; esto puede confirmarse mediante una radiografía de tórax. Si se inserta demasiado dentro de la tráquea (más allá de la carina), es probable que la punta del tubo traqueal esté dentro del bronquio principal derecho, una situación a menudo referida como "intubación del bronquio principal derecho". En esta situación, el pulmón izquierdo puede no participar en la ventilación, lo que puede llevar a una disminución del contenido de oxígeno debido a una desigualdad ventilación-perfusión.[36]
Situaciones especiales
Emergencias
La intubación traqueal en un entorno de emergencia puede ser difícil con el broncoscopio de fibra óptica debido a sangre, vómito o secreciones en la vía aérea y a la poca cooperación del paciente. Por esta razón, los pacientes con lesiones faciales masivas, obstrucción completa de la vía aérea superior, ventilación gravemente disminuida o hemorragia profusa de la vía aérea superior no son candidatos ideales para la intubación con fibra óptica.[37] La intubación con fibra óptica bajo anestesia general generalmente requiere dos personas capacitadas.[38] Se han reportado tasas de éxito de solo 83-87% usando técnicas de fibra óptica en el departamento de emergencias, con sangrado nasal significativo ocurriendo en hasta el 22% de los pacientes.[39][40] Estas limitaciones restringen el uso de la broncoscopia de fibra óptica en situaciones urgentes y de emergencia.[41][42]
El personal experimentado en laringoscopia directa no siempre está inmediatamente disponible en ciertos entornos que requieren intubación traqueal de emergencia. Por esta razón, se han diseñado dispositivos especializados para actuar como puentes hacia una vía aérea definitiva. Estos dispositivos incluyen la máscara laríngea, la vía aérea orofaríngea con manguito y el combitubo esofágico-traqueal (Combitubo).[43][44] Otros dispositivos, como estiletes rígidos, la varita luminosa (una técnica ciega) y estiletes rígidos de fibra óptica indirecta, como el endoscopio Bullard, Upsher y WuScope, pueden servir como alternativas a la laringoscopia directa. Cada dispositivo tiene ventajas y limitaciones únicas, y ninguno es universalmente efectivo en todas las situaciones.[45]
Inducción e intubación de secuencia rápida

La inducción e intubación de secuencia rápida (ISR) es un método específico para inducir la anestesia general, comúnmente utilizado en operaciones de emergencia y en situaciones donde se presume que el paciente tiene el estómago lleno. El objetivo de la ISR es minimizar el riesgo de regurgitación y aspiración pulmonar de contenidos gástricos durante la inducción de la anestesia general y la posterior intubación traqueal.[34] La ISR tradicionalmente implica preoxigenar los pulmones con una máscara de oxígeno bien ajustada, seguida de la administración secuencial de un agente inductor del sueño por vía intravenosa y un fármaco bloqueador neuromuscular de acción rápida, como rocuronio, succinilcolina o cisatracurio besilato, antes de la intubación traqueal.[46]
Una diferencia clave entre la ISR y la intubación traqueal rutinaria es que el profesional no asiste manualmente la ventilación de los pulmones tras el inicio de la anestesia general y la cesación de la respiración hasta que la tráquea ha sido intubada y el manguito inflado. Otra característica fundamental de la ISR es la aplicación de presión manual sobre el cartílago cricoides, conocida como la "maniobra de Sellick", antes de la instrumentación de la vía aérea y la intubación traqueal.[34]
Nombrada en honor al anestesista británico Brian Arthur Sellick (1918–1996), quien describió el procedimiento en 1961,[47] la presión cricoidea busca minimizar el riesgo de regurgitación y aspiración pulmonar de contenidos gástricos. Aunque la presión cricoidea ha sido ampliamente utilizada durante la ISR por casi cincuenta años, carece de evidencia sólida que respalde su eficacia.[48] El artículo inicial de Sellick se basó en una muestra pequeña en una época en que los volúmenes tidal altos, la posición de cabeza hacia abajo y la anestesia con barbitúricos eran comunes.[49] Desde aproximadamente el año 2000, ha surgido un cuerpo significativo de evidencia que cuestiona la efectividad de la presión cricoidea. Esta técnica puede desplazar lateralmente el esófago[50] en lugar de comprimirlo, como describió Sellick. Además, la presión cricoidea puede comprimir la glotis, obstruyendo la visión del laringoscopista y causando retrasos en la intubación.[51]
La presión cricoidea se confunde frecuentemente con la maniobra "BURP" (presión hacia atrás, hacia arriba y hacia la derecha, por sus siglas en inglés).[52] Aunque ambas implican presión digital en la parte anterior del aparato laríngeo, la maniobra BURP busca mejorar la visualización de la glotis durante la laringoscopia y la intubación traqueal, no prevenir la regurgitación.[53] Tanto la presión cricoidea como la maniobra BURP pueden empeorar la visualización durante la laringoscopia.[54]
La ISR también puede emplearse en situaciones de emergencia prehospitalaria cuando un paciente está consciente pero enfrenta un fallo respiratorio inminente, como en casos de trauma extremo. Los paramédicos de vuelo suelen utilizar la ISR para intubar antes del transporte, ya que la intubación en una aeronave en movimiento, ya sea de ala fija o rotatoria, es extremadamente difícil debido a factores ambientales. El paciente será paralizado e intubado en tierra antes del transporte aéreo.
Cricotirotomía

La cricotirotomía es una incisión realizada a través de la piel y la membrana cricotiroidea, entre el cartílago tiroides y el cartílago cricoides, para establecer una vía aérea permeable en situaciones de emergencia potencialmente mortales, como obstrucción de la vía aérea por un cuerpo extraño, angioedema o traumatismo facial masivo.[55] La cricotirotomía casi siempre se realiza como último recurso cuando la intubación orotraqueal o nasotraqueal es imposible o está contraindicada. Es más fácil y rápida de realizar que una traqueotomía, no requiere manipulación de la columna cervical y está asociada con menos complicaciones.[56]
El método más sencillo para realizar esta técnica es la cricotirotomía con aguja (también conocida como cricotirotomía percutánea dilatacional), en la cual se utiliza un catéter intravenoso de gran calibre (12–14 gauge) para perforar la membrana cricotiroidea.[57] El oxígeno puede administrarse a través de este catéter mediante insuflación a chorro. Sin embargo, aunque la cricotirotomía con aguja puede salvar vidas en circunstancias extremas, esta técnica es solo una medida temporal hasta que se pueda establecer una vía aérea definitiva.[58] Aunque proporciona una oxigenación adecuada, el pequeño diámetro del catéter es insuficiente para la eliminación de dióxido de carbono (ventilación). Tras una hora de oxigenación apneica a través de una cricotirotomía con aguja, se puede esperar una PaCO2 superior a 250 mm Hg y un pH arterial inferior a 6.72, a pesar de una saturación de oxígeno del 98% o mayor.[59] Una vía aérea más definitiva puede establecerse mediante una cricotirotomía quirúrgica, en la cual se inserta un tubo endotraqueal o traqueal de 5 a 6 mm a través de una incisión más grande.[60]
Varios fabricantes comercializan kits de cricotirotomía preempaquetados, que permiten usar una técnica percutánea guiada por alambre (Seldinger) o la técnica quirúrgica clásica para insertar un catéter de cloruro de polivinilo a través de la membrana cricotiroidea. Estos kits pueden estar disponibles en departamentos de emergencia hospitalaria, quirófanos, ambulancias y otros entornos prehospitalarios seleccionados.[61]
Traqueotomía

La traqueotomía consiste en realizar una incisión en la parte frontal del cuello y abrir una vía aérea directa a través de una incisión en la tráquea. La abertura resultante puede servir como vía aérea independiente o como sitio para insertar un tubo de traqueostomía, que permite respirar sin usar la nariz o la boca. La abertura puede realizarse con un bisturí o una aguja (técnicas quirúrgica[60] y percutánea,[62] respectivamente), y ambas son ampliamente utilizadas en la práctica actual. Para minimizar el riesgo de daño a los nervios laríngeos recurrentes, que controlan la laringe, la traqueotomía se realiza lo más alto posible en la tráquea. Si uno de estos nervios se daña, la voz del paciente puede verse afectada (disfonía); si ambos nervios se dañan, el paciente puede quedar incapaz de hablar (afonía). En el contexto agudo, las indicaciones para la traqueotomía son similares a las de la cricotirotomía. En el contexto crónico, las indicaciones incluyen la necesidad de ventilación mecánica a largo plazo y la eliminación de secreciones traqueales (por ejemplo, en pacientes comatosos o en cirugías extensas que involucren la cabeza y el cuello).[63][64]

Niños
Existen diferencias significativas en la anatomía de la vía aérea y la fisiología respiratoria entre niños y adultos, las cuales se consideran cuidadosamente antes de realizar una intubación traqueal en pacientes pediátricos. Estas diferencias, particularmente marcadas en bebés, disminuyen gradualmente a medida que el cuerpo humano alcanza la madurez en edad y índice de masa corporal.[65]
En bebés y niños pequeños, la intubación orotraqueal es más fácil que la nasotraqueal. La intubación nasotraqueal conlleva riesgos como el desprendimiento de adenoides y sangrado nasal. A pesar de la mayor dificultad, la intubación nasotraqueal es preferible en niños en cuidados intensivos que requieren intubación prolongada, ya que permite una fijación más segura del tubo. Al igual que en adultos, existen dispositivos diseñados específicamente para asistir en la intubación traqueal difícil en niños.[66][67][68][69] La confirmación de la posición correcta del tubo traqueal se realiza de manera similar a la de los pacientes adultos.[70]
Dado que la vía aérea de un niño es estrecha, un pequeño grado de inflamación glótica o traqueal puede causar una obstrucción crítica. Insertar un tubo demasiado grande en relación con el diámetro de la tráquea puede provocar inflamación. Por otro lado, un tubo demasiado pequeño puede resultar en una ventilación ineficaz debido a la fuga retrógrada de gas a través de la glotis y hacia la boca y la nariz. Una fuga excesiva generalmente puede corregirse insertando un tubo más grande o un tubo con manguito.[71]
La punta de un tubo traqueal correctamente posicionado estará en la mitad de la tráquea, entre las clavículas en una radiografía de tórax anteroposterior. El diámetro correcto del tubo es aquel que resulta en una fuga pequeña a una presión de aproximadamente 25 cm de agua. El diámetro interno apropiado del tubo endotraqueal se estima como aproximadamente el mismo diámetro que el dedo meñique del niño. La longitud adecuada del tubo endotraqueal puede estimarse duplicando la distancia desde la comisura de la boca del niño hasta el canal auditivo. Para bebés prematuros, un diámetro interno de 2.5 mm es apropiado. Para bebés de edad gestacional a término, un diámetro interno de 3 mm es adecuado. Para niños de 1 año o más con nutrición normal, se utilizan dos fórmulas para estimar el diámetro interno y la profundidad de inserción del tubo: el diámetro interno en mm es (edad en años + 16) / 4, mientras que la profundidad de inserción en cm es 12 + (edad en años / 2).[33]
Recién nacidos
La aspiración endotraqueal se utiliza frecuentemente durante la intubación en recién nacidos para reducir el riesgo de obstrucción del tubo por secreciones, colapso pulmonar y dolor.[8] La aspiración puede realizarse en intervalos programados, según sea necesario o con menor frecuencia. Se requiere más investigación para determinar el programa o frecuencia de aspiración más efectivo en bebés intubados.[8]
Anteriormente, se recomendaba el uso de oxígeno de flujo libre durante la intubación en recién nacidos; sin embargo, debido a la falta de evidencia de beneficio, las guías de reanimación neonatal de 2011 ya no lo recomiendan.[72]
Predicción de dificultades

La intubación traqueal no es un procedimiento simple, y las consecuencias de un fallo son graves. Por lo tanto, el paciente se evalúa cuidadosamente para detectar posibles dificultades o complicaciones antes del procedimiento. Esto implica tomar la historia médica del paciente y realizar un examen físico, cuyos resultados pueden evaluarse mediante uno de varios sistemas de clasificación. El procedimiento quirúrgico propuesto (por ejemplo, cirugía de cabeza y cuello o cirugía bariátrica) puede indicar posibles dificultades con la intubación.[34] Muchas personas presentan una anatomía de vía aérea inusual, como aquellas con movilidad limitada de cuello o mandíbula, tumores, inflamación profunda debido a lesiones o alergias, anomalías del desarrollo de la mandíbula o exceso de tejido graso en la cara y el cuello. Con técnicas laringoscópicas convencionales, la intubación traqueal puede ser difícil o incluso imposible en estos pacientes. Por esta razón, todos los profesionales que realizan intubaciones traqueales deben estar familiarizados con técnicas alternativas para asegurar la vía aérea. El uso de broncoscopios de fibra óptica flexibles y dispositivos similares se ha convertido en una de las técnicas preferidas para manejar estos casos, aunque requieren habilidades diferentes a las de la laringoscopia convencional y son costosos de adquirir, mantener y reparar.[73]
Al tomar la historia médica, se pregunta al paciente sobre signos o síntomas significativos, como dificultad para hablar o respirar, que pueden sugerir lesiones obstructivas en varias ubicaciones dentro de la vía aérea superior, la laringe o el árbol traqueobronquial. Una historia de cirugías previas (por ejemplo, fusión cervical previa), lesiones, radioterapia o tumores en la cabeza, el cuello y el tórax superior también puede proporcionar pistas sobre una intubación potencialmente difícil. También se registran experiencias previas con intubación traqueal, especialmente intubaciones difíciles, intubaciones prolongadas (por ejemplo, en cuidados intensivos) o traqueotomías previas.[34]
El examen físico detallado de la vía aérea es crucial, evaluando particularmente:[74]
- Rango de movimiento de la columna cervical: el paciente debe poder inclinar la cabeza hacia atrás y luego hacia adelante hasta que la barbilla toque el pecho.
- Rango de movimiento de la mandíbula (articulación temporomandibular): deben caber tres dedos del paciente entre los incisivos superiores e inferiores.
- Tamaño y forma de la mandíbula superior e inferior: se busca especialmente hipoplasia maxilar (mandíbula superior subdesarrollada), micrognatia (mandíbula anormalmente pequeña) o retrognatia (desalineación de las mandíbulas superior e inferior).
- Distancia tiromentoniana: deben caber tres dedos del paciente entre la nuez de Adán y la barbilla.
- Tamaño y forma de la lengua y el paladar en relación con el tamaño de la boca.
- Dientes: se observa la presencia de incisivos maxilares prominentes, dientes sueltos o dañados, o coronas.
Se han desarrollado varios sistemas de clasificación para predecir la dificultad de la intubación traqueal, incluyendo el sistema de clasificación Cormack-Lehane,[75] la Escala de Dificultad de Intubación (IDS)[76] y la escala de Mallampati.[77] La escala de Mallampati se basa en la observación de que el tamaño de la base de la lengua influye en la dificultad de la intubación. Se determina observando la anatomía de la boca, en particular la visibilidad de la base de la úvula palatina, los pilares fauciales y el paladar blando. Aunque estos sistemas de puntuación médica pueden ayudar en la evaluación de pacientes, ningún puntaje o combinación de puntajes puede detectar específicamente a todos los pacientes difíciles de intubar.[78][79] Además, un estudio con anestesiólogos experimentados encontró que, utilizando el sistema Cormack-Lehane, no clasificaban consistentemente a los mismos pacientes con el tiempo, y solo el 25% podía definir correctamente los cuatro grados del sistema.[80] En ciertas circunstancias de emergencia (por ejemplo, traumatismo craneoencefálico grave o sospecha de lesión de la columna cervical), puede ser imposible utilizar completamente el examen físico y los sistemas de clasificación para predecir la dificultad de la intubación traqueal.[81] Una revisión sistemática Cochrane examinó la sensibilidad y especificidad de diversas pruebas realizadas a pie de cama que se utilizan habitualmente para predecir dificultades en el manejo de las vías respiratorias.[82] En tales casos, se debe disponer de técnicas alternativas para asegurar las vías respiratorias.[83]
Complicaciones
La intubación traqueal se considera generalmente el mejor método para el manejo de la vía aérea en una amplia variedad de circunstancias, ya que proporciona el medio más confiable de oxigenación y ventilación, además de la mayor protección contra la regurgitación y la aspiración pulmonar.[3] Sin embargo, requiere una gran experiencia clínica para dominarla,[84] y pueden surgir complicaciones graves incluso cuando se realiza correctamente.[85]
Para que la intubación orotraqueal sea sencilla, deben estar presentes cuatro características anatómicas: una apertura adecuada de la boca (rango completo de movimiento de la articulación temporomandibular), suficiente espacio faríngeo (determinado al examinar la parte posterior de la boca), suficiente espacio submandibular (distancia entre el cartílago tiroides y la barbilla, el espacio al que debe desplazarse la lengua para que el laringoscopista visualice la glotis) y una extensión adecuada de la columna cervical en la articulación atlanto-occipital. Si alguna de estas variables está comprometida, se debe anticipar una intubación difícil.[85]
Las complicaciones menores son comunes tras la laringoscopia y la inserción de un tubo orotraqueal. Estas suelen ser de corta duración, como dolor de garganta, laceraciones en los labios, encías u otras estructuras de la vía aérea superior, dientes astillados, fracturados o desprendidos, y lesiones nasales. Otras complicaciones más serias, aunque comunes, incluyen taquicardia o arritmias, hipertensión arterial, aumento de la presión intracraneal e intraocular y broncoespasmo.[85]
Las complicaciones graves incluyen laringoespasmo, perforación de la tráquea o el esófago, aspiración pulmonar de contenidos gástricos u otros cuerpos extraños, fractura o dislocación de la columna cervical, de la articulación temporomandibular o de los cartílagos aritenoides, disminución del contenido de oxígeno, aumento del dióxido de carbono arterial y debilidad de las cuerdas vocales.[85] Además, la intubación traqueal a través de la vía nasal conlleva el riesgo de desprendimiento de adenoides y sangrado nasal potencialmente grave.[39][40] Las tecnologías más recientes, como la laringoscopia de fibra óptica flexible, han reducido la incidencia de algunas de estas complicaciones, aunque la causa más frecuente de traumatismo por intubación sigue siendo la falta de habilidad del laringoscopista.[85]
Las complicaciones también pueden ser graves y de larga duración o permanentes, como daño a las cuerdas vocales, perforación esofágica, absceso retrofaríngeo, intubación bronquial, o lesión nerviosa. Algunas complicaciones pueden ser inmediatamente mortales, como el laringoespasmo, el edema pulmonar por presión negativa (acumulación de líquido en los pulmones), la aspiración, la intubación esofágica no reconocida, o la desconexión o desprendimiento accidental del tubo traqueal.[85] Las complicaciones potencialmente mortales asociadas con la intubación prolongada o la traqueotomía incluyen comunicaciones anormales entre la tráquea y estructuras cercanas, como la arteria innominada (fístula traqueoinnominada) o el esófago (fístula traqueoesofágica). Otras complicaciones significativas incluyen obstrucción de la vía aérea debido a la pérdida de rigidez traqueal, neumonía asociada al ventilador y estrechamiento de la glotis o la tráquea.[33] La presión del manguito debe controlarse cuidadosamente para evitar complicaciones por sobreinflado, muchas de las cuales se deben a la restricción del suministro de sangre a la mucosa traqueal.[86][87] Un estudio español de 2000 sobre traqueotomía percutánea a pie de cama reportó tasas de complicaciones generales del 10–15% y una mortalidad procedimental del 0%,[88] lo que es comparable con otras series reportadas en la literatura de los Países Bajos[89] y los Estados Unidos.[90]
La incapacidad para asegurar la vía aérea, con el subsiguiente fallo de oxigenación y ventilación, es una complicación potencialmente mortal que, si no se corrige de inmediato, conduce a una disminución del contenido de oxígeno, daño cerebral, choque circulatorio y muerte.[85] Cuando se realiza incorrectamente, las complicaciones asociadas, como la intubación esofágica no reconocida, pueden ser rápidamente fatales.[91] Sin una capacitación y experiencia adecuadas, la incidencia de estas complicaciones es alta.[3] El caso de Andrew Davis Hughes, de Emerald Isle, Carolina del Norte, es un ejemplo ampliamente conocido en el que el paciente fue intubado incorrectamente y, debido a la falta de oxígeno, sufrió un daño cerebral grave y falleció. Por ejemplo, entre paramédicos en varias comunidades urbanas de los Estados Unidos, se ha reportado una intubación esofágica o hipofaríngea no reconocida en un 6%[92][93] a 25%[91] de los casos. Aunque no es común, en lugares donde los técnicos de emergencias médicas básicas están autorizados a intubar, las tasas de éxito reportadas son tan bajas como el 51%.[94] En un estudio, casi la mitad de los pacientes con tubos traqueales mal colocados fallecieron en la sala de emergencias.[91] Debido a esto, las Guías de Reanimación Cardiopulmonar de la Asociación Estadounidense del Corazón han despriorizado el papel de la intubación traqueal en favor de otras técnicas de manejo de la vía aérea, como la ventilación con bolsa-válvula-máscara, la mascarilla laríngea y el Combitube.[3] Estudios de mayor calidad muestran evidencia favorable para este cambio, ya que no han demostrado beneficios en supervivencia o neurológicos con la intubación endotraqueal en comparación con dispositivos de vía aérea supraglótica (mascarilla laríngea o Combitube).[95]
Una complicación común, la intubación esofágica no intencional y no reconocida, puede ocurrir hasta en un 25% de los casos en manos de personal inexperto[91] y es probable que resulte en un desenlace perjudicial o incluso fatal. En estos casos, el oxígeno se administra inadvertidamente al estómago, desde donde no puede ser absorbido por el sistema circulatorio, en lugar de los pulmones. Si esta situación no se identifica y corrige de inmediato, la muerte ocurrirá por anoxia cerebral y cardíaca.
De 4,460 reclamaciones en la base de datos del Proyecto de Reclamaciones Cerradas de la Sociedad Estadounidense de Anestesiólogos (ASA), 266 (aproximadamente el 6%) fueron por lesiones en la vía aérea. De estos 266 casos, el 87% de las lesiones fueron temporales, el 5% fueron permanentes o incapacitantes, y el 8% resultaron en muerte. La intubación difícil, la edad mayor de 60 años y el género femenino se asociaron con reclamaciones por perforación del esófago o la faringe. Los signos tempranos de perforación estuvieron presentes en solo el 51% de las reclamaciones por perforación, mientras que las secuelas tardías ocurrieron en el 65%.[96]
Durante las pandemias de SARS y COVID-19, la intubación traqueal se utilizó junto con un ventilador en casos graves donde el paciente tenía dificultades para respirar. Realizar este procedimiento conlleva un riesgo de infección para el cuidador.[97][98][99]
Alternativas
Aunque ofrece el mayor grado de protección contra la regurgitación y la aspiración pulmonar, la intubación traqueal no es el único medio para mantener una vía aérea permeable. Las técnicas alternativas para el manejo de la vía aérea y la administración de oxígeno, anestésicos volátiles u otros gases respirables incluyen la mascarilla laríngea, el i-gel, la vía aérea orofaríngea con manguito, la presión positiva continua en la vía aérea (máscara CPAP), la máscara nasal BiPAP, la máscara facial simple y la cánula nasal.[100]
La anestesia general a menudo se administra sin intubación traqueal en casos seleccionados donde el procedimiento es breve o donde la profundidad de la anestesia no es suficiente para causar un compromiso significativo en la función ventilatoria. Incluso para procedimientos de mayor duración o más invasivos, se puede administrar un anestésico general sin intubar la tráquea, siempre que los pacientes sean cuidadosamente seleccionados y la relación riesgo-beneficio sea favorable (es decir, los riesgos asociados con una vía aérea no protegida se consideren menores que los de intubar la tráquea).[100]
El manejo de la vía aérea puede clasificarse en técnicas cerradas o abiertas según el sistema de ventilación utilizado. La intubación traqueal es un ejemplo típico de una técnica cerrada, ya que la ventilación ocurre mediante un circuito cerrado. Existen varias técnicas abiertas, como la ventilación espontánea, la ventilación apneica o la ventilación por chorro. Cada una tiene ventajas y desventajas específicas que determinan cuándo debe usarse.
La ventilación espontánea se ha realizado tradicionalmente con un agente inhalatorio (inducción gaseosa o inhalatoria con halotano o sevoflurano), pero también puede realizarse con anestesia intravenosa (por ejemplo, propofol, ketamina o dexmedetomidina). La técnica de Respiración Espontánea usando Anestesia Intravenosa y Oxígeno Nasal de Alto Flujo (STRIVE Hi, por sus siglas en inglés) es una técnica de vía aérea abierta que utiliza una titulación ascendente de propofol, manteniendo la ventilación en niveles profundos de anestesia. Esta técnica se ha utilizado en cirugía de vías aéreas como alternativa a la intubación traqueal.[101]
Historia
Traqueotomía
La representación más antigua conocida de una traqueotomía se encuentra en dos tabletas egipcias que datan de alrededor del 3600 a. C.[102] El Papiro Ebers, un papiro médico egipcio de aproximadamente 1550 a. C., también hace referencia a la traqueotomía.[103] La traqueotomía se describe en el Rigveda, un texto sánscrito de medicina ayurvédica escrito alrededor del 2000 a. C. en la India antigua.[104] El Sushruta Samhita, de alrededor del 400 a. C., es otro texto del subcontinente indio sobre medicina y cirugía ayurvédica que menciona la traqueotomía.[105] Asclepiades de Bitinia (c. 124–40 a. C.) a menudo se acredita como el primer médico en realizar una traqueotomía no urgente.[106] Galeno de Pérgamo (129–199 d. C.) aclaró la anatomía de la tráquea y fue el primero en demostrar que la laringe genera la voz.[107] En uno de sus experimentos, Galeno usó fuelles para inflar los pulmones de un animal muerto.[108] Ibn Sīnā (980–1037) describió el uso de la intubación traqueal para facilitar la respiración en 1025 en su enciclopedia médica de 14 volúmes, El Canon de la Medicina.[109] En el siglo XII, el libro médico Al-Taisir, de Ibn Zuhr (1092–1162), también conocido como Avenzoar, de Al-Ándalus, proporcionó una descripción correcta de la operación de traqueotomía.[110]
Las primeras descripciones detalladas de la intubación traqueal y la respiración artificial subsiguiente en animales provienen de Andreas Vesalius (1514–1564) de Bruselas. En su libro histórico publicado en 1543, De humani corporis fabrica, describió un experimento en el que insertó una caña en la tráquea de un animal moribundo cuyo tórax había sido abierto y mantuvo la ventilación soplando intermitentemente en la caña.[108] Antonio Musa Brassavola (1490–1554) de Ferrara trató con éxito a un paciente con un absceso periamigdalino mediante traqueotomía. Brassavola publicó su relato en 1546; esta operación se ha identificado como la primera traqueotomía exitosa registrada, a pesar de las muchas referencias previas a esta operación.[111] A finales del siglo XVI, Hieronymus Fabricius (1533–1619) describió una técnica útil para la traqueotomía en sus escritos, aunque nunca la realizó él mismo. En 1620, el cirujano francés Nicholas Habicot (1550–1624) publicó un informe de cuatro traqueotomías exitosas.[112] En 1714, el anatomista Georg Detharding (1671–1747) de la Universidad de Rostock realizó una traqueotomía en una víctima de ahogamiento.[113]
A pesar de los muchos casos registrados de su uso desde la antigüedad, no fue hasta principios del siglo XIX que la traqueotomía comenzó a reconocerse como un medio legítimo para tratar la obstrucción grave de la vía aérea. En 1852, el médico francés Armand Trousseau (1801–1867) presentó una serie de 169 traqueotomías a la Académie Impériale de Médecine. De estas, 158 se realizaron para tratar el crup, y 11 para enfermedades crónicas de la laringe.[114] Entre 1830 y 1855, se realizaron más de 350 traqueotomías en París, la mayoría en el Hôpital des Enfants Malades, un hospital público, con una tasa de supervivencia de solo el 20–25%. Esto contrasta con el 58% de los 24 pacientes en la práctica privada de Trousseau, quienes tuvieron mejores resultados debido a una mayor atención postoperatoria.[115]
En 1871, el cirujano alemán Friedrich Trendelenburg (1844–1924) publicó un artículo que describía la primera traqueotomía electiva exitosa en humanos con el propósito de administrar anestesia general.[116] En 1888, Sir Morell Mackenzie (1837–1892) publicó un libro que discutía las indicaciones para la traqueotomía.[117] A principios del siglo XX, la traqueotomía se convirtió en un tratamiento vital para pacientes con poliomielitis paralítica que requerían ventilación mecánica. En 1909, el laringólogo de Filadelfia Chevalier Jackson (1865–1958) describió una técnica para la traqueotomía que se utiliza hasta el día de hoy.[118]
Laringoscopia y técnicas no quirúrgicas

En 1854, el profesor de canto español Manuel García (1805–1906) se convirtió en el primer hombre en visualizar la glotis funcionante en un ser humano vivo.[119] En 1858, el pediatra francés Eugène Bouchut (1818–1891) desarrolló una nueva técnica para la intubación orotraqueal no quirúrgica para superar la obstrucción laríngea resultante de una pseudomembrana relacionada con la difteria.[120] En 1880, el cirujano escocés William Macewen (1848–1924) informó sobre el uso de la intubación orotraqueal como alternativa a la traqueotomía para permitir que un paciente con edema glótico respirara, así como en el contexto de la anestesia general con cloroformo.[121] En 1895, Alfred Kirstein (1863–1922) de Berlín describió por primera vez la visualización directa de las cuerdas vocales, utilizando un esofagoscopio que había modificado para este propósito; llamó a este dispositivo autoscopio.[122]
En 1913, Chevalier Jackson fue el primero en reportar una alta tasa de éxito para el uso de la laringoscopia directa como medio para intubar la tráquea.[123] Jackson introdujo una nueva hoja de laringoscopio que incorporaba un componente que el operador podía deslizar hacia afuera para permitir el paso de un tubo endotraqueal o un broncoscopio.[124] También en 1913, el cirujano de Nueva York Henry H. Janeway (1873–1921) publicó los resultados obtenidos usando un laringoscopio que había desarrollado recientemente.[125] Otro pionero en este campo fue Sir Ivan Whiteside Magill (1888–1986), quien desarrolló la técnica de intubación nasotraqueal ciega en pacientes despiertos,[126][127] las pinzas de Magill,[128] la hoja de laringoscopio de Magill[129] y varios aparatos para la administración de agentes anestésicos volátiles.[130][131][132] La curva de Magill de un tubo endotraqueal también lleva su nombre. Sir Robert Macintosh (1897–1989) introdujo una hoja de laringoscopio curva en 1943;[133] la hoja de Macintosh sigue siendo la más utilizada para la intubación orotraqueal.[2]
Entre 1945 y 1952, los ingenieros ópticos se basaron en el trabajo anterior de Rudolph Schindler (1888–1968), desarrollando la primera gastrocámara.[134] En 1964, la tecnología de fibra óptica se aplicó a una de estas gastrocámaras tempranas para producir el primer endoscopio de fibra óptica flexible.[135] Inicialmente utilizado en endoscopia digestiva alta, este dispositivo fue empleado por primera vez para laringoscopia e intubación traqueal por Peter Murphy, un anestesista inglés, en 1967.[136] El concepto de usar un estilete para reemplazar o intercambiar tubos orotraqueales fue introducido por Finucane y Kupshik en 1978, utilizando un catéter venoso central.[137]
A mediados de la década de 1980, el broncoscopio de fibra óptica flexible se convirtió en un instrumento indispensable dentro de las comunidades de neumología y anestesia.[138] La revolución digital del siglo XXI ha traído nuevas tecnologías al arte y la ciencia de la intubación traqueal. Varios fabricantes han desarrollado videolaringoscopios que emplean tecnología digital, como el sensor de píxeles activos CMOS, para generar una vista de la glotis que facilite la intubación traqueal.[139]
Referencias
- ↑ a b c d e f g h Benumof, 2007.
- ↑ a b c Ezri, T.; Warters, R. D. Chapter 15: Indications for tracheal intubation (en inglés). pp. 371-8.
- ↑ a b c d e International Liaison Committee on Resuscitation (2005). «2005 International Consensus on Cardiopulmonary Resuscitation and Emergency Cardiovascular Care Science with Treatment Recommendations. Part 4: Advanced life support». Resuscitation (en inglés) 67 (2-3): 213-247. ISSN 0300-9572. PMID 16324990. doi:10.1016/j.resuscitation.2005.09.018. Consultado el 28 de mayo de 2025.
- ↑ Committe on Trauma, American College of Surgeons, 2004, pp. 151–76.
- ↑ a b Kabrhel, Christopher; Thomsen, Todd W.; Setnik, Gary S.; Walls, Ron M. (26 de abril de 2007). «Videos in clinical medicine. Orotracheal intubation». The New England Journal of Medicine (en inglés) 356 (17): e15. ISSN 1533-4406. PMID 17460222. doi:10.1056/NEJMvcm063574. Consultado el 28 de mayo de 2025.
- ↑ Mallinson, Tom; Worrall, Mark; Price, Richard; Duff, Lorna (2022). Prehospital endotracheal intubation in cardiac arrest by BASICS Scotland clinicians (en inglés). doi:10.13140/RG.2.2.24988.56969. Consultado el 28 de mayo de 2025.
- ↑ Doherty, 2010, pp. 151–75.
- ↑ a b c Bruschettini, Matteo; Zappettini, Simona; Moja, Lorenzo; Calevo, Maria Grazia (7 de marzo de 2016). «Frequency of endotracheal suctioning for the prevention of respiratory morbidity in ventilated newborns». The Cochrane Database of Systematic Reviews (en inglés) 3 (3): CD011493. ISSN 1469-493X. PMC 8915721. PMID 26945780. doi:10.1002/14651858.CD011493.pub2. Consultado el 28 de mayo de 2025.
- ↑ James, Norman R. (1950). «Blind Intubation.». Anaesthesia (en inglés) 5 (3): 159-160. ISSN 1365-2044. doi:10.1111/j.1365-2044.1950.tb12674.x. Consultado el 28 de mayo de 2025.
- ↑ Christodolou CC, Murphy MF and Hung OR. Chapter 17: Blind digital intubation (en inglés). pp. 393-8.
- ↑ a b Scott, Jeanette; Baker, Paul A. (2009-07). «How did the Macintosh laryngoscope become so popular?». Paediatric Anaesthesia (en inglés). 19 Suppl 1: 24-29. ISSN 1460-9592. PMID 19572841. doi:10.1111/j.1460-9592.2009.03026.x. Consultado el 28 de mayo de 2025.
- ↑ Berry, J. M. Chapter 16: Conventional (laryngoscopic) orotracheal and nasotracheal intubation (single lumen tube) (en inglés). pp. 379-92.
- ↑ Barash, Paul G.; Cullen, Bruce F.; Stoelting, Robert K.; Cahalan, Michael K.; Stock, M. Christine; Ortega, Rafael; Sharar, Sam R.; Holt, Natalie F.,, ed. (2017). Clinical anesthesia (en inglés) (8th. ed.). Philadelphia Baltimore New York London Buenos Aires: Wolters Kluwer. ISBN 978-1-4963-3700-9.
- ↑ a b Wheeler M.; Ovassapian A. Chapter 18: Fiberoptic endoscopy-aided technique (en inglés). pp. 399-438.
- ↑ Hansel, Jan; Rogers, Andrew M.; Lewis, Sharon R.; Cook, Tim M.; Smith, Andrew F. (4 de abril de 2022). «Videolaryngoscopy versus direct laryngoscopy for adults undergoing tracheal intubation». The Cochrane Database of Systematic Reviews 4 (4): CD011136. ISSN 1469-493X. PMC 8978307. PMID 35373840. doi:10.1002/14651858.CD011136.pub3. Consultado el 28 de mayo de 2025.
- ↑ Brain, A. I. (1985-04). «Three cases of difficult intubation overcome by the laryngeal mask airway». Anaesthesia (en inglés) 40 (4): 353-355. ISSN 0003-2409. PMID 3890603. doi:10.1111/j.1365-2044.1985.tb10788.x. Consultado el 28 de mayo de 2025.
- ↑ Maharaj, C. H.; Costello, J. F.; McDonnell, J. G.; Harte, B. H.; Laffey, J. G. (2007-06). «The Airtraq as a rescue airway device following failed direct laryngoscopy: a case series». Anaesthesia (en inglés) 62 (6): 598-601. ISSN 0003-2409. PMID 17506739. doi:10.1111/j.1365-2044.2007.05036.x. Consultado el 28 de mayo de 2025.
- ↑ Hung OR; Stewart RD. Chapter 20: Intubating stylets (en inglés). pp. 463-75.
- ↑ Agrò, F.; Barzoi, G.; Montecchia, F. (2003-05). «Tracheal intubation using a Macintosh laryngoscope or a GlideScope in 15 patients with cervical spine immobilization». British Journal of Anaesthesia (en inglés) 90 (5): 705-706. ISSN 0007-0912. PMID 12697606. doi:10.1093/bja/aeg560. Consultado el 28 de mayo de 2025.
- ↑ El-Orbany, M.; Salem, M. R. (2004-10). «The eschmann tracheal tube introducer is not an airway exchange device». Anesthesia and Analgesia (en inglés) 99 (4): 1269-1270. ISSN 0003-2999. PMID 15385401. doi:10.1213/01.ANE.0000133955.92363.B1. Consultado el 28 de mayo de 2025.
- ↑ Armstrong, P.; Sellers, W. F. S. (2004-02). «A response to 'Bougie trauma--it is still possible', Prabhu A, Pradham P, Sanaka R and Bilolikar A, Anaesthesia 2003; 58: 811-12». Anaesthesia (en inglés) 59 (2): 204. ISSN 0003-2409. PMID 14725554. doi:10.1111/j.1365-2044.2003.03632.x. Consultado el 28 de mayo de 2025.
- ↑ Hodzovic, I.; Latto, I. P.; Wilkes, A. R.; Hall, J. E.; Mapleson, W. W. (2004-08). «Evaluation of Frova, single-use intubation introducer, in a manikin. Comparison with Eschmann multiple-use introducer and Portex single-use introducer». Anaesthesia (en inglés) 59 (8): 811-816. ISSN 0003-2409. PMID 15270974. doi:10.1111/j.1365-2044.2004.03809.x. Consultado el 28 de mayo de 2025.
- ↑ Sheridan endotracheal tubes catalog (en inglés). Hudson RCI. 2002. Archivado desde el original el 9 de abril de 2011.
- ↑ Loudermilk, E. P.; Hartmannsgruber, M.; Stoltzfus, D. P.; Langevin, P. B. (1997-06). «A prospective study of the safety of tracheal extubation using a pediatric airway exchange catheter for patients with a known difficult airway». Chest (en inglés) 111 (6): 1660-1665. ISSN 0012-3692. PMID 9187190. doi:10.1378/chest.111.6.1660. Consultado el 29 de mayo de 2025.
- ↑ Davis, L.; Cook-Sather, S. D.; Schreiner, M. S. (2000-03). «Lighted stylet tracheal intubation: a review». Anesthesia and Analgesia 90 (3): 745-756. ISSN 0003-2999. PMID 10702469. doi:10.1097/00000539-200003000-00044. Consultado el 29 de mayo de 2025.
- ↑ a b Adair, Edwin L. (19 de julio de 1994). «US patent 5329940: Endotracheal tube intubation assist device». www.freepatentsonline.com (en inglés). Archivado desde el original el 24 de abril de 2023. Consultado el 29 de mayo de 2025.
- ↑ «Tracheostomy tube». Dictionary of Cancer Terms. National Cancer Institute (en inglés). 2 de febrero de 2011.
- ↑ Tobias, Joseph D. (2009-03). «Helium insufflation with sevoflurane general anesthesia and spontaneous ventilation during airway surgery». Canadian Journal of Anaesthesia = Journal Canadien D'anesthesie (en inglés) 56 (3): 243-246. ISSN 0832-610X. PMID 19247745. doi:10.1007/s12630-008-9034-1. Consultado el 29 de mayo de 2025.
- ↑ Chotigeat, Uraiwan; Khorana, Meera; Kanjanapattanakul, Wiboon (2007-02). «Inhaled nitric oxide in newborns with severe hypoxic respiratory failure». Journal of the Medical Association of Thailand = Chotmaihet Thangphaet 90 (2): 266-271. ISSN 0125-2208. PMID 17375630. Archivado desde el original el 11 de marzo de 2012. Consultado el 29 de mayo de 2025.
- ↑ Goto, Takahisa; Nakata, Yoshinori; Morita, Shigeho (2003-01). «Will xenon be a stranger or a friend?: the cost, benefit, and future of xenon anesthesia». Anesthesiology (en inglés) 98 (1): 1-2. ISSN 0003-3022. PMID 12502969. doi:10.1097/00000542-200301000-00002. Consultado el 29 de mayo de 2025.
- ↑ Ring, W. H.; Adair, J. C.; Elwyn, R. A. (1975). «A new pediatric endotracheal tube». Anesthesia and Analgesia 54 (2): 273-274. ISSN 0003-2999. PMID 1168437. Consultado el 29 de mayo de 2025.
- ↑ Sheinbaum R; Hammer GB; Benumof JL. Chapter 24: Separation of the two lungs (en inglés). pp. 576-93.
- ↑ a b c d Barash, Cullen y Stoelting, 2009, Rosenblatt WH. and Sukhupragarn W, Management of the airway, pp. 751–92.
- ↑ a b c d e Miller, 2000, Stone DJ and Gal TJ, Airway management, pp. 1414–51.
- ↑ Wolfe, T. (1998). The Esophageal Detector Device: Summary of the current articles in the literature (en inglés). Salt Lake City, Utah: Wolfe Tory Medical. Archivado desde el original el 14 de noviembre de 2006.
- ↑ Benumof, 2007, Salem MR and Baraka A, Chapter 30: Confirmation of tracheal intubation, pp. 697–730.
- ↑ Morris, I. R. (1994-10). «Fibreoptic intubation». Canadian Journal of Anaesthesia = Journal Canadien D'anesthesie (en inglés) 41 (10): 996-1007; discussion 1007-1008. ISSN 0832-610X. PMID 8001220. doi:10.1007/BF03010944. Consultado el 29 de mayo de 2025.
- ↑ Ovassapian, Andranik (1991-01). «Fiberoptic-assisted Management of the Airway:». ASA Refresher Courses in Anesthesiology (en inglés) 19: 101-116. ISSN 0363-471X. doi:10.1097/00126869-199119000-00009. Consultado el 29 de mayo de 2025.
- ↑ a b Delaney, K. A.; Hessler, R. (1988-09). «Emergency flexible fiberoptic nasotracheal intubation: a report of 60 cases». Annals of Emergency Medicine (en inglés) 17 (9): 919-926. ISSN 0196-0644. PMID 3415064. doi:10.1016/s0196-0644(88)80672-3. Consultado el 29 de mayo de 2025.
- ↑ a b Mlinek, E. J.; Clinton, J. E.; Plummer, D.; Ruiz, E. (1990-04). «Fiberoptic intubation in the emergency department». Annals of Emergency Medicine 19 (4): 359-362. ISSN 0196-0644. PMID 2321818. doi:10.1016/s0196-0644(05)82333-9. Consultado el 29 de mayo de 2025.
- ↑ American Society of Anesthesiologists Task Force on Management of the Difficult Airway (2003-05). «Practice guidelines for management of the difficult airway: an updated report by the American Society of Anesthesiologists Task Force on Management of the Difficult Airway». Anesthesiology (en inglés) 98 (5): 1269-1277. ISSN 0003-3022. PMID 12717151. doi:10.1097/00000542-200305000-00032. Consultado el 29 de mayo de 2025.
- ↑ Benumof, 2007, Hagberg CA and Benumof JL, Chapter 9: The American Society of Anesthesiologists' management of the difficult airway algorithm and explanation-analysis of the algorithm, pp. 236–54.
- ↑ Foley, L. J.; Ochroch, E. A. (2000-07). «Bridges to establish an emergency airway and alternate intubating techniques». Critical Care Clinics (en inglés) 16 (3): 429-444, vi. ISSN 0749-0704. PMID 10941582. doi:10.1016/s0749-0704(05)70121-4. Consultado el 29 de mayo de 2025.
- ↑ Benumof, 2007, Frass M, Urtubia RM and Hagberg CA, Chapter 25: The Combitube: esophageal-tracheal double-lumen airway, pp. 594–615.
- ↑ Benumof, 2007, Hung OR and Stewart RD, Chapter 20: Intubating stylets, pp. 463–75.
- ↑ Benumof, 2007, Suresh MS, Munnur U and Wali A, Chapter 32: The patient with a full stomach, pp. 752–82.
- ↑ Sellick, B. A. (19 de agosto de 1961). «Cricoid pressure to control regurgitation of stomach contents during induction of anaesthesia». Lancet (London, England) (en inglés) 2 (7199): 404-406. ISSN 0140-6736. PMID 13749923. doi:10.1016/s0140-6736(61)92485-0. Consultado el 29 de mayo de 2025.
- ↑ Salem, M. R.; Sellick, B. A.; Elam, J. O. (1974). «The historical background of cricoid pressure in anesthesia and resuscitation». Anesthesia and Analgesia 53 (2): 230-232. ISSN 0003-2999. PMID 4593092. Consultado el 29 de mayo de 2025.
- ↑ Maltby, J. Roger; Beriault, Michael T. (2002-05). «Science, pseudoscience and Sellick». Canadian Journal of Anaesthesia = Journal Canadien D'anesthesie (en inglés) 49 (5): 443-447. ISSN 0832-610X. PMID 11983655. doi:10.1007/BF03017917. Consultado el 29 de mayo de 2025.
- ↑ Smith, Kevin J.; Dobranowski, Julian; Yip, Gordon; Dauphin, Alezandre; Choi, Peter T.-L. (2003-07). «Cricoid pressure displaces the esophagus: an observational study using magnetic resonance imaging». Anesthesiology (en inglés) 99 (1): 60-64. ISSN 0003-3022. PMID 12826843. doi:10.1097/00000542-200307000-00013. Consultado el 29 de mayo de 2025.
- ↑ Haslam, N.; Parker, L.; Duggan, J. E. (2005-01). «Effect of cricoid pressure on the view at laryngoscopy». Anaesthesia (en inglés) 60 (1): 41-47. ISSN 0003-2409. PMID 15601271. doi:10.1111/j.1365-2044.2004.04010.x. Consultado el 29 de mayo de 2025.
- ↑ Knill, R. L. (1993-03). «Difficult laryngoscopy made easy with a "BURP"». Canadian Journal of Anaesthesia = Journal Canadien D'anesthesie (en inglés) 40 (3): 279-282. ISSN 0832-610X. PMID 8467551. doi:10.1007/BF03037041. Consultado el 29 de mayo de 2025.
- ↑ Takahata, O.; Kubota, M.; Mamiya, K.; Akama, Y.; Nozaka, T.; Matsumoto, H.; Ogawa, H. (1997-02). «The efficacy of the "BURP" maneuver during a difficult laryngoscopy». Anesthesia and Analgesia (en inglés) 84 (2): 419-421. ISSN 0003-2999. PMID 9024040. doi:10.1097/00000539-199702000-00033. Consultado el 29 de mayo de 2025.
- ↑ Levitan, Richard M.; Kinkle, William C.; Levin, William J.; Everett, Worth W. (2006-06). «Laryngeal view during laryngoscopy: a randomized trial comparing cricoid pressure, backward-upward-rightward pressure, and bimanual laryngoscopy». Annals of Emergency Medicine (en inglés) 47 (6): 548-555. ISSN 1097-6760. PMID 16713784. doi:10.1016/j.annemergmed.2006.01.013. Consultado el 29 de mayo de 2025.
- ↑ Mohan, Raja; Iyer, Rajiv; Thaller, Seth (2009-01). «Airway management in patients with facial trauma». The Journal of Craniofacial Surgery (en inglés) 20 (1): 21-23. ISSN 1536-3732. PMID 19164982. doi:10.1097/SCS.0b013e318190327a. Consultado el 29 de mayo de 2025.
- ↑ Katos, M. Gregory; Goldenberg, David (1 de junio de 2007). «Emergency cricothyrotomy». Operative Techniques in Otolaryngology-Head and Neck Surgery (en inglés) 18 (2): 110-114. ISSN 1043-1810. doi:10.1016/j.otot.2007.05.002. Consultado el 29 de mayo de 2025.
- ↑ Benumof, 2007, Melker RJ and Kost KM, Chapter 28: Percutaneous dilational cricothyrotomy and tracheostomy, pp. 640–77.
- ↑ Advanced Trauma Life Support Program for Doctors, 2004, Committee on Trauma, American College of Surgeons, Airway and Ventilatory Management, pp. 41–68.
- ↑ Frumin, M. J.; Epstein, R. M.; Cohen, G. (1959). «Apneic oxygenation in man». Anesthesiology (en inglés) 20: 789-798. ISSN 0003-3022. PMID 13825447. doi:10.1097/00000542-195911000-00007. Consultado el 29 de mayo de 2025.
- ↑ a b Benumof, 2007, Gibbs MA and Walls RM, Chapter 29: Surgical airway, pp. 678–96.
- ↑ Benkhadra, Mehdi; Lenfant, François; Nemetz, Wolfgang; Anderhuber, Friedrich; Feigl, Georg; Fasel, Jean (2008-01). «A comparison of two emergency cricothyroidotomy kits in human cadavers». Anesthesia and Analgesia (en inglés) 106 (1): 182-185, table of contents. ISSN 1526-7598. PMID 18165576. doi:10.1213/01.ane.0000296457.55791.34. Consultado el 29 de mayo de 2025.
- ↑ Añón, J. M.; Gómez, V.; Escuela, M. P.; De Paz, V.; Solana, L. F.; De La Casa, R. M.; Pérez, J. C.; Zeballos, E. et al. (2000). «Percutaneous tracheostomy: comparison of Ciaglia and Griggs techniques». Critical Care (London, England) 4 (2): 124-128. ISSN 1364-8535. PMC 29040. PMID 11056749. doi:10.1186/cc667. Consultado el 29 de mayo de 2025.
- ↑ Heffner, J. E. (1989-07). «Medical indications for tracheotomy». Chest (en inglés) 96 (1): 186-190. ISSN 0012-3692. PMID 2661159. doi:10.1378/chest.96.1.186. Consultado el 29 de mayo de 2025.
- ↑ Lee, Walter; Koltai, Peter; Harrison, A. Marc; Appachi, Elumalai; Bourdakos, Demetrios; Davis, Steve; Weise, Kathryn; McHugh, Michael et al. (2002-11). «Indications for tracheotomy in the pediatric intensive care unit population: a pilot study». Archives of Otolaryngology--Head & Neck Surgery (en inglés) 128 (11): 1249-1252. ISSN 0886-4470. PMID 12431164. doi:10.1001/archotol.128.11.1249. Consultado el 29 de mayo de 2025.
- ↑ Barash, Cullen and Stoelting, 2009, Cravero JP and Cain ZN, Pediatric anesthesia, pp. 1206–20.
- ↑ Borland, L. M.; Casselbrant, M. (1990-01). «The Bullard laryngoscope. A new indirect oral laryngoscope (pediatric version)». Anesthesia and Analgesia 70 (1): 105-108. ISSN 0003-2999. PMID 2297088. doi:10.1213/00000539-199001000-00019. Consultado el 29 de mayo de 2025.
- ↑ Theroux, M. C.; Kettrick, R. G.; Khine, H. H. (1995-02). «Laryngeal mask airway and fiberoptic endoscopy in an infant with Schwartz-Jampel syndrome». Anesthesiology (en inglés) 82 (2): 605. ISSN 0003-3022. PMID 7856930. doi:10.1097/00000542-199502000-00044. Consultado el 29 de mayo de 2025.
- ↑ Kim, Ji Eun; Chang, Chul Ho; Nam, Yong Taek. «Intubation through a Laryngeal Mask Airway by Fiberoptic Bronchoscope in an Infant with a Mass at the Base of the Tongue: A case report.». Korean Journal of Anesthesiology (en inglés) 54 (3): S43-S46. ISSN 2005-6419. doi:10.4097/kjae.2008.54.3.s43. Consultado el 29 de mayo de 2025.
- ↑ Hackell, Rebecca S.; Held, Lisa D.; Stricker, Paul A.; Fiadjoe, John E. (2009-09). «Management of the difficult infant airway with the Storz Video Laryngoscope: a case series». Anesthesia and Analgesia (en inglés) 109 (3): 763-766. ISSN 1526-7598. PMID 19690244. doi:10.1213/ANE.0b013e3181ad8a05. Consultado el 29 de mayo de 2025.
- ↑ Benumof, 2007, Rabb MF and Szmuk P, Chapter 33: The difficult pediatric airway, pp. 783–833.
- ↑ Sheridan, Robert L. (2006-05). «Uncuffed endotracheal tubes should not be used in seriously burned children». Pediatric Critical Care Medicine: A Journal of the Society of Critical Care Medicine and the World Federation of Pediatric Intensive and Critical Care Societies (en inglés) 7 (3): 258-259. ISSN 1529-7535. PMID 16575345. doi:10.1097/01.PCC.0000216681.71594.04. Consultado el 29 de mayo de 2025.
- ↑ Zaichkin, Jeanette; Weiner, Gary M. (2011-02). «Neonatal Resuscitation Program (NRP) 2011: new science, new strategies». Advances in Neonatal Care: Official Journal of the National Association of Neonatal Nurses (en inglés) 11 (1): 43-51. ISSN 1536-0911. PMID 21285656. doi:10.1097/ANC.0b013e31820e429f. Consultado el 29 de mayo de 2025.
- ↑ Rozman, Ales; Duh, Stefan; Petrinec-Primozic, Marija; Triller, Nadja (2009). «Flexible bronchoscope damage and repair costs in a bronchoscopy teaching unit». Respiration; International Review of Thoracic Diseases (en inglés) 77 (3): 325-330. ISSN 1423-0356. PMID 19122449. doi:10.1159/000188788. Consultado el 29 de mayo de 2025.
- ↑ Benumof, 2007, Reed AP, Chapter 8: Evaluation and recognition of the difficult airway, pp. 221–35.
- ↑ Zadrobilek, E. (2009). «The Cormack-Lehane classification: twenty-fifth anniversary of the first published description». Internet Journal of Airway Management (en inglés) (5).
- ↑ Adnet, F.; Borron, S. W.; Racine, S. X.; Clemessy, J. L.; Fournier, J. L.; Plaisance, P.; Lapandry, C. (1997-12). «The intubation difficulty scale (IDS): proposal and evaluation of a new score characterizing the complexity of endotracheal intubation». Anesthesiology (en inglés) 87 (6): 1290-1297. ISSN 0003-3022. PMID 9416711. doi:10.1097/00000542-199712000-00005. Consultado el 30 de mayo de 2025.
- ↑ Mallampati, S. R.; Gatt, S. P.; Gugino, L. D.; Desai, S. P.; Waraksa, B.; Freiberger, D.; Liu, P. L. (1985-07). «A clinical sign to predict difficult tracheal intubation: a prospective study». Canadian Anaesthetists' Society Journal 32 (4): 429-434. ISSN 0008-2856. PMID 4027773. doi:10.1007/BF03011357. Consultado el 30 de mayo de 2025.
- ↑ Shiga, Toshiya; Wajima, Zen'ichiro; Inoue, Tetsuo; Sakamoto, Atsuhiro (2005-08). «Predicting difficult intubation in apparently normal patients: a meta-analysis of bedside screening test performance». Anesthesiology (en inglés) 103 (2): 429-437. ISSN 0003-3022. PMID 16052126. doi:10.1097/00000542-200508000-00027. Consultado el 30 de mayo de 2025.
- ↑ Gonzalez, Hélène; Minville, Vincent; Delanoue, Khedija; Mazerolles, Michel; Concina, Dominique; Fourcade, Olivier (2008-04). «The importance of increased neck circumference to intubation difficulties in obese patients». Anesthesia and Analgesia (en inglés) 106 (4): 1132-1136, table of contents. ISSN 1526-7598. PMID 18349184. doi:10.1213/ane.0b013e3181679659. Consultado el 30 de mayo de 2025.
- ↑ Krage, R.; van Rijn, C.; van Groeningen, D.; Loer, S. A.; Schwarte, L. A.; Schober, P. (2010-08). «Cormack-Lehane classification revisited». British Journal of Anaesthesia (en inglés) 105 (2): 220-227. ISSN 1471-6771. PMID 20554633. doi:10.1093/bja/aeq136. Consultado el 30 de mayo de 2025.
- ↑ Levitan, Richard M.; Everett, Worth W.; Ochroch, E. Andrew (2004-10). «Limitations of difficult airway prediction in patients intubated in the emergency department». Annals of Emergency Medicine (en inglés) 44 (4): 307-313. ISSN 1097-6760. PMID 15459613. doi:10.1016/j.annemergmed.2004.05.006. Consultado el 30 de mayo de 2025.
- ↑ Roth, Dominik; Pace, Nathan L.; Lee, Anna; Hovhannisyan, Karen; Warenits, Alexandra-Maria; Arrich, Jasmin; Herkner, Harald (15 de mayo de 2018). «Airway physical examination tests for detection of difficult airway management in apparently normal adult patients». The Cochrane Database of Systematic Reviews (en inglés) 5 (5): CD008874. ISSN 1469-493X. PMC 6404686. PMID 29761867. doi:10.1002/14651858.CD008874.pub2. Consultado el 30 de mayo de 2025.
- ↑ Levitan, 2004, Levitan RM, The limitations of difficult airway prediction in emergency airways, pp. 3–11.
- ↑ von Goedecke, Achim; Herff, Holger; Paal, Peter; Dörges, Volker; Wenzel, Volker (2007-03). «Field airway management disasters». Anesthesia and Analgesia (en inglés) 104 (3): 481-483. ISSN 1526-7598. PMID 17312190. doi:10.1213/01.ane.0000255964.86086.63. Consultado el 30 de mayo de 2025.
- ↑ a b c d e f g Benumof, 2007, Hagberg CA, Georgi R and Krier C, Chapter 48: Complications of managing the airway, pp. 1181–218.
- ↑ Sengupta, Papiya; Sessler, Daniel I.; Maglinger, Paul; Wells, Spencer; Vogt, Alicia; Durrani, Jaleel; Wadhwa, Anupama (29 de noviembre de 2004). «Endotracheal tube cuff pressure in three hospitals, and the volume required to produce an appropriate cuff pressure». BMC anesthesiology (en inglés) 4 (1): 8. ISSN 1471-2253. PMC 535565. PMID 15569386. doi:10.1186/1471-2253-4-8. Consultado el 30 de mayo de 2025.
- ↑ Benumof, 2007, Pousman RM and Parmley CL, Chapter 44: Endotracheal tube and respiratory care, pp. 1057–78.
- ↑ Añón, J. M.; Gómez, V.; Escuela, M. P.; De Paz, V.; Solana, L. F.; De La Casa, R. M.; Pérez, J. C.; Zeballos, E. et al. (2000). «Percutaneous tracheostomy: comparison of Ciaglia and Griggs techniques». Critical Care (London, England) (en inglés) 4 (2): 124-128. ISSN 1364-8535. PMC 29040. PMID 11056749. doi:10.1186/cc667. Consultado el 30 de mayo de 2025.
- ↑ Polderman, Kees H.; Spijkstra, Jan Jaap; de Bree, Remco; Christiaans, Herman M. T.; Gelissen, Harry P. M. M.; Wester, Jos P. J.; Girbes, Armand R. J. (2003-05). «Percutaneous dilatational tracheostomy in the ICU: optimal organization, low complication rates, and description of a new complication». Chest (en inglés) 123 (5): 1595-1602. ISSN 0012-3692. PMID 12740279. doi:10.1378/chest.123.5.1595. Consultado el 30 de mayo de 2025.
- ↑ Hill, B. B.; Zweng, T. N.; Maley, R. H.; Charash, W. E.; Toursarkissian, B.; Kearney, P. A. (1996-08). «Percutaneous dilational tracheostomy: report of 356 cases». The Journal of Trauma (en inglés) 41 (2): 238-243; discussion 243-244. ISSN 0022-5282. PMID 8760530. doi:10.1097/00005373-199608000-00007. Consultado el 30 de mayo de 2025.
- ↑ a b c d Katz, S. H.; Falk, J. L. (2001-01). «Misplaced endotracheal tubes by paramedics in an urban emergency medical services system». Annals of Emergency Medicine 37 (1): 32-37. ISSN 0196-0644. PMID 11145768. doi:10.1067/mem.2001.112098. Consultado el 30 de mayo de 2025.
- ↑ Jones, James H.; Murphy, Michael P.; Dickson, Robert L.; Somerville, Geoff G.; Brizendine, Edward J. (2004-06). «Emergency physician-verified out-of-hospital intubation: miss rates by paramedics». Academic Emergency Medicine: Official Journal of the Society for Academic Emergency Medicine (en inglés) 11 (6): 707-709. ISSN 1069-6563. PMID 15175215. doi:10.1197/j.aem.2003.12.026. Consultado el 30 de mayo de 2025.
- ↑ Pelucio, M.; Halligan, L.; Dhindsa, H. (1997-06). «Out-of-hospital experience with the syringe esophageal detector device». Academic Emergency Medicine: Official Journal of the Society for Academic Emergency Medicine (en inglés) 4 (6): 563-568. ISSN 1069-6563. PMID 9189188. doi:10.1111/j.1553-2712.1997.tb03579.x. Consultado el 30 de mayo de 2025.
- ↑ Sayre, M. R.; Sakles, J. C.; Mistler, A. F.; Evans, J. L.; Kramer, A. T.; Pancioli, A. M. (1998-02). «Field trial of endotracheal intubation by basic EMTs». Annals of Emergency Medicine (en inglés) 31 (2): 228-233. ISSN 0196-0644. PMID 9472186. Consultado el 30 de mayo de 2025.
- ↑ White, Leigh; Melhuish, Thomas; Holyoak, Rhys; Ryan, Thomas; Kempton, Hannah; Vlok, Ruan (2018-12). «Advanced airway management in out of hospital cardiac arrest: A systematic review and meta-analysis». The American Journal of Emergency Medicine (en inglés) 36 (12): 2298-2306. ISSN 1532-8171. PMID 30293843. doi:10.1016/j.ajem.2018.09.045. Consultado el 30 de mayo de 2025.
- ↑ Domino, K. B.; Posner, K. L.; Caplan, R. A.; Cheney, F. W. (1999-12). «Airway injury during anesthesia: a closed claims analysis». Anesthesiology (en inglés) 91 (6): 1703-1711. ISSN 0003-3022. PMID 10598613. doi:10.1097/00000542-199912000-00023. Consultado el 30 de mayo de 2025.
- ↑ Zuo, Ming-Zhang; Huang, Yu-Guang; Ma, Wu-Hua; Xue, Zhang-Gang; Zhang, Jia-Qiang; Gong, Ya-Hong; Che, Lu; Chinese Society of Anesthesiology Task Force on Airway Management et al. (27 de febrero de 2020). «Expert Recommendations for Tracheal Intubation in Critically ill Patients with Noval Coronavirus Disease 2019». Chinese Medical Sciences Journal = Chung-Kuo I Hsueh K'o Hsueh Tsa Chih (en inglés) 35 (2): 105-109. ISSN 1001-9294. PMC 7367670. PMID 32102726. doi:10.24920/003724. Consultado el 30 de mayo de 2025.
- ↑
- ↑ World Health Organization. «Clinical management of severe acute respiratory infections when novel coronavirus is suspected: What to do and what not to do» (en inglés). p. 4. «La asociación más consistente con un mayor riesgo de transmisión al personal sanitario (según estudios realizados durante los brotes de SARS de 2002-2003) se observó en la intubación traqueal.»
- ↑ a b Benumof, 2007, McGee JP, Vender JS, Chapter 14: Nonintubation management of the airway: mask ventilation, pp. 345–70.
- ↑ Booth, A. W. G.; Vidhani, K.; Lee, P. K.; Thomsett, C.-M. (1 de marzo de 2017). «SponTaneous Respiration using IntraVEnous anaesthesia and Hi-flow nasal oxygen (STRIVE Hi) maintains oxygenation and airway patency during management of the obstructed airway: an observational study». British Journal of Anaesthesia (en inglés) 118 (3): 444-451. ISSN 1471-6771. PMC 5409133. PMID 28203745. doi:10.1093/bja/aew468. Consultado el 30 de mayo de 2025.
- ↑ Pahor, A. L. (1992-08). «Ear, nose and throat in ancient Egypt». The Journal of Laryngology and Otology (en inglés) 106 (8): 677-687. ISSN 0022-2151. PMID 1402355. doi:10.1017/s0022215100120560. Consultado el 30 de mayo de 2025.
- ↑ Frost, E. A. (1976). «Tracing the tracheostomy». The Annals of Otology, Rhinology, and Laryngology 85 (5 Pt.1): 618-624. ISSN 0003-4894. PMID 791052. doi:10.1177/000348947608500509. Consultado el 30 de mayo de 2025.
- ↑ Stock, C. R. (1987-04). «What is past is prologue: a short history of the development of tracheostomy». Ear, Nose, & Throat Journal (en inglés) 66 (4): 166-169. ISSN 0145-5613. PMID 3556136. Consultado el 30 de mayo de 2025.
- ↑ Bhishagratna, 1907, Bhishagratna, Introduction, p. iv.
- ↑ Yapijakis, Christos (2009). «Hippocrates of Kos, the father of clinical medicine, and Asclepiades of Bithynia, the father of molecular medicine. Review». In Vivo (Athens, Greece) (en inglés) 23 (4): 507-514. ISSN 0258-851X. PMID 19567383. Consultado el 30 de mayo de 2025.
- ↑ Singer, 1956, Galeni Pergameni C, De anatomicis administrationibus, pp. 195–207.
- ↑ a b Baker, A. B. (1971-10). «Artificial respiration, the history of an idea». Medical History (en inglés) 15 (4): 336-351. ISSN 0025-7273. PMC 1034194. PMID 4944603. doi:10.1017/s0025727300016896. Consultado el 30 de mayo de 2025.
- ↑ Longe, 2005, Skinner P, Unani-tibbi.
- ↑ Shehata, M. (2003). «The Ear, Nose and Throat in Islamic Medicine». Journal of the International Society for the History of Islamic Medicine 2 (3): 2-5.
- ↑ Goodall, EW (1934). «The story of tracheostomy». British Journal of Children's Diseases 31: 167-76, 253-72.
- ↑ Habicot, 1620, Habicot N, Question chirurgicale, p. 108.
- ↑ Price, J. L. (1962-01). «The evolution of breathing machines». Medical History (en inglés) 6 (1): 67-72. ISSN 0025-7273. PMC 1034674. PMID 14488739. doi:10.1017/s0025727300026867. Consultado el 30 de mayo de 2025.
- ↑ Trousseau, A. (1852). Nouvelles recherches sur la trachéotomie pratiquée dans la période extrême du croup (en francés). Annales de Médecine Belge et étrangère. pp. 279-88.
- ↑ Rochester, Thos F. (1858-07). «Tracheotomy in Pseudo Membranous Croup». The Buffalo Medical Journal and Monthly Review of Medical and Surgical Science (en inglés) 14 (2): 78-98. PMC 8687930. PMID 35376437. Consultado el 30 de mayo de 2025.
- ↑ Hargrave, R. (1934-06). «Endotracheal anesthesia in surgery of the head and neck». Canadian Medical Association Journal (en inglés) 30 (6): 633-637. ISSN 0008-4409. PMC 403396. PMID 20319535. Consultado el 30 de mayo de 2025.
- ↑ Mackenzie, 1888, Mackenzie M, The case of Emperor Frederick III, p. 276.
- ↑ Jackson, Chevalier (1909). «Tracheotomy». The Laryngoscope (en inglés) 19 (4): 285-290. ISSN 1531-4995. doi:10.1288/00005537-190904000-00003. Consultado el 30 de mayo de 2025.
- ↑ Radomski, T. (2005). «Manuel García (1805–1906):A bicentenary reflection». Australian Voice (en inglés) 11: 25-41.
- ↑ Sperati, G.; Felisati, D. (2007-12). «Bouchut, O'Dwyer and laryngeal intubation in patients with croup». Acta Otorhinolaryngologica Italica: Organo Ufficiale Della Societa Italiana Di Otorinolaringologia E Chirurgia Cervico-Facciale (en inglés) 27 (6): 320-323. ISSN 0392-100X. PMC 2640059. PMID 18320839. Consultado el 30 de mayo de 2025.
- ↑ Macmillan, Malcolm (2010-05). «William Macewen [1848-1924]». Journal of Neurology (en inglés) 257 (5): 858-859. ISSN 1432-1459. PMID 20306068. doi:10.1007/s00415-010-5524-5. Consultado el 30 de mayo de 2025.
- ↑ Hirsch, N. P.; Smith, G. B.; Hirsch, P. O. (1986-01). «Alfred Kirstein. Pioneer of direct laryngoscopy». Anaesthesia (en inglés) 41 (1): 42-45. ISSN 0003-2409. PMID 3511764. doi:10.1111/j.1365-2044.1986.tb12702.x. Consultado el 30 de mayo de 2025.
- ↑ Jackson, Chevalier (1996). «The technique of insertion of intratracheal insufflation tubes». Pediatric Anesthesia (en inglés) 6 (3): 230-230. ISSN 1460-9592. doi:10.1111/j.1460-9592.1996.tb00434.x. Consultado el 30 de mayo de 2025.
- ↑ Jackson, 1922, pp. Jackson C, Instrumentarium, pp. 17–52.
- ↑ Burkle, Christopher M.; Zepeda, Fernando A.; Bacon, Douglas R.; Rose, Steven H. (2004-04). «A historical perspective on use of the laryngoscope as a tool in anesthesiology». Anesthesiology (en inglés) 100 (4): 1003-1006. ISSN 0003-3022. PMID 15087639. doi:10.1097/00000542-200404000-00034. Consultado el 30 de mayo de 2025.
- ↑ Magill, I. W. (15 de noviembre de 1930). «Technique in endotracheal anaesthesia». British Medical Journal (en inglés) 2 (3645): 817-819. ISSN 0007-1447. PMC 2451624. PMID 20775829. doi:10.1136/bmj.2.3645.817. Consultado el 30 de mayo de 2025.
- ↑ McLachlan, Gail (2008-09). «Sir Ivan Magill KCVO, DSc, MB, BCh, BAO, FRCS, FFARCS (Hon), FFARCSI (Hon), DA, (1888-1986)». The Ulster Medical Journal (en inglés) 77 (3): 146-152. ISSN 0041-6193. PMC 2604469. PMID 18956794. Consultado el 30 de mayo de 2025.
- ↑ Magill, I. (30 de octubre de 1920). «Forceps for intratracheal anaesthesia». British Medical Journal (en inglés) 2 (571): 670. ISSN 0007-1447. PMC 2338485. PMID 20770050. Consultado el 30 de mayo de 2025.
- ↑ Magill, I. W. (6 de marzo de 1926). «An improved laryngoscope for anaesthetists». The Lancet (en inglés) 207 (5349): 500. ISSN 0140-6736. doi:10.1016/S0140-6736(01)17109-6. Consultado el 30 de mayo de 2025.
- ↑ Magill, W. (30 de abril de 1921). «A Portable Apparatus for Tracheal Insufflation Anaesthesia». The Lancet (en inglés) 197 (5096): 918. ISSN 0140-6736. doi:10.1016/S0140-6736(00)55592-5. Consultado el 30 de mayo de 2025.
- ↑ Magill, I. W. (11 de junio de 1921). «Warming Ether Vapour for Inhalation». The Lancet (en inglés) 197 (5102): 1270. ISSN 0140-6736. doi:10.1016/S0140-6736(01)24908-3. Consultado el 30 de mayo de 2025.
- ↑ Magill, I. W. (4 de agosto de 1923). «An apparatus for the administration of nitrous oxide, oxygen, and ether». The Lancet (en inglés) 202 (5214): 228. ISSN 0140-6736. doi:10.1016/S0140-6736(01)22460-X. Consultado el 30 de mayo de 2025.
- ↑ Macintosh, R. R. (13 de febrero de 1943). «A new laryngoscope». The Lancet (en inglés) 241 (6233): 205. ISSN 0140-6736. doi:10.1016/S0140-6736(00)89390-3. Consultado el 30 de mayo de 2025.
- ↑ «History of endoscopes. Volume 2: Birth of gastrocameras» (en inglés). Olympus Corporation. 2010.
- ↑ «History of endoscopes. Volume 3: Birth of fiberscopes» (en inglés). Olympus Corporation. 2010.
- ↑ Murphy, P. (1967-07). «A fibre-optic endoscope used for nasal intubation». Anaesthesia 22 (3): 489-491. ISSN 0003-2409. PMID 4951601. doi:10.1111/j.1365-2044.1967.tb02771.x. Consultado el 30 de mayo de 2025.
- ↑ Finucane, B. T.; Kupshik, H. L. (1978-03). «A flexible stilette for replacing damaged tracheal tubes». Canadian Anaesthetists' Society Journal (en inglés) 25 (2): 153-154. ISSN 0008-2856. PMID 638831. doi:10.1007/BF03005076. Consultado el 30 de mayo de 2025.
- ↑ Benumof, 2007, Wheeler M and Ovassapian A, Chapter 18: Fiberoptic endoscopy-aided technique, p. 399-438.
- ↑ Benumof, 2007, Sheinbaum R, Hammer GB, Benumof JL, Chapter 24: Separation of the two lungs, pp. 576–93.
Bibliografía
- Barash, PG; Cullen, BF; Stoelting, RK, eds. (2009). Clinical Anesthesia (en inglés) (6th edición). Philadelphia: Lippincott Williams & Wilkins. ISBN 978-0-7817-8763-5.
- Benumof, JL, ed. (2007). Benumof's Airway Management: Principles and Practice (en inglés) (2nd edición). Philadelphia: Mosby-Elsevier. ISBN 978-0-323-02233-0.
- Bhishagratna, KL, ed. (1907). Sushruta Samhita, Volume1: Sutrasthanam (en inglés). Calcutta: Kaviraj Kunja Lal Bhishagratna.
- Committee on Trauma, American College of Surgeons (2004). ATLS: Advanced Trauma Life Support Program for Doctors (en inglés) (7th edición). Chicago: American College of Surgeons. ISBN 978-1-880696-31-6.
- Doherty, GM, ed. (2010). Current Diagnosis & Treatment: Surgery (en inglés) (13th edición). New York: McGraw-Hill Medical. ISBN 978-0-07-163515-8.
- Habicot, N (1620). Question chirurgicale par laquelle il est démonstré que le chirurgien doit assurément practiquer l'operation de la bronchotomie, vulgairement dicte laryngotomie, ou perforation de la fluste ou du polmon (en francés). Paris: Corrozet.
- Jackson, C (1922). A manual of peroral endoscopy and laryngeal surgery (en inglés). Philadelphia: W.B. Saunders. ISBN 978-1-4326-6305-6. Archivado desde el original el 19 de febrero de 2010. Consultado el 3 de agosto de 2010.
- Levitan, RM (2004). The Airway Cam Guide to Intubation and Practical Emergency Airway Management (en inglés) (1st edición). Wayne, Pennsylvania: Airway Cam Technologies. ISBN 978-1-929018-12-3.
- Longe, JL, ed. (2005). «The Gale Encyclopedia of Alternative Medicine: L-R». The Gale Encyclopedia of Alternative Medicine, Volume 4: S–Z (2nd edición). Farmington Hills, Michigan: Gale Cengage. ISBN 978-0-7876-7424-3.
- Mackenzie, M (1888). The case of Emperor Frederick III.: full official reports by the German physicians and by Sir Morell Mackenzie (en inglés). New York: Edgar S. Werner.
- Miller, RD, ed. (2000). Anesthesia, Volume 1 (en inglés) (5th edición). Philadelphia: Churchill Livingstone. ISBN 978-0-443-07995-5.
- Singer, CJ, ed. (1956). Galen on Anatomical Procedures: Translation of the Surviving Books with Introduction and Notes (en inglés). London: Oxford University Press/Wellcome Historical Medical Museum. ISBN 978-0-19-924016-6.
Enlaces externos
Wikimedia Commons alberga una categoría multimedia sobre Intubación traqueal.
- Vídeo de intubación endotraqueal usando una hoja C-MAC D y bougie como introductor (en inglés).
- Vídeos de laringoscopia directa grabados con el sistema Airway Cam (en inglés).
- Ejemplos de dispositivos para facilitar la intubación traqueal (en inglés).
- Recurso con imágenes sobre tipos de tubos endotraqueales (en inglés).
- Caso en vivo de intubación traqueal 2022 (en inglés).