Infarto renal

El infarto renal es una patología poco frecuente con una incidencia de 1,4%.[1] El primer informe fue publicado por Ludwig Traube en 1856.[2] El infarto renal se caracteriza por un proceso isquémico que debe a la oclusión arterial por una émbolo o trombosis vascular.[3] Es más común en las mujeres durante su sexta década de vida.[1]
Manifestaciones clínicas
La sintomatología es bastante inespecífica, aunque la mayoría de los casos empiezan con un dolor profundo y súbito en la fosa renal. También puede presentar náuseas, vómitos, fiebre, leucocitosis, hematuria, y elevación marcada de la deshidrogenasa láctica (LDH). Puede ver una elevación transitoria de urea y creatinina plasmática si presenta daño de la función renal. En mayoría de los casos se compromete el riñón izquierdo aunque a veces es bilateral. Estas quejas pueden ir acompañadas de una elevación aguda de la presión arterial.[1][2][4]
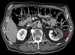
Diagnóstico
Los métodos diagnósticos son la ecografía, tomografía axial computarizada (TAC) o gammagrafía. La prueba de imagen más sensible y específica es la angiografía de la arteria renal. Sin embargo, esta prueba es invasiva y no se puede realizar en muchos casos.[2][3][5]
Diagnóstico Diferencial
En el infarto renal se debe realizar un diagnóstico diferencial con patologías como nefrolitiasis, pielonefritis y cólico renal. Además se puede confundirse fácilmente con otras patologías intestinales como la isquemia intestinal, la colecistitis y la pancreatitis.[1][2][4]
Tratamiento
El tratamiento depende de la etiología del infarto renal. Si es por embolismo vascular se realiza fibrinólisis local con uroquinasa donde se agrega un tratamiento anticoagulante. Si es por trombosis vascular se tratará con un tratamiento antiagregante. El tratamiento quirúrgico va depender de la presencia de tejido viable residual y la expansión del daño.[3][2][4]
Pronóstico
Infarto renal presenta en pacientes con diferentes comorbilidades como aterosclerosis y fibrilación arterial donde puede llegar a tener una mortalidad de 25%.[3][4]
Bibliografía
- Marín, S. A., Gómez, M. C., Talavera, G.-M. A., & Lozano, S.-M. T. (2013). Infarto renal agudo. Revista Clínica de Medicina de Familia, 58-60.[1]
- Sastre, A., Álvarez-Navascués, & Marín, R. (2007). Infarto renal. NEFROLOGÍA Volumen 27. Número 4, 522. Retrieved from https://www.revistanefrologia.com/es-infarto-renal-articulo-X0211699507021448[2]
- Cuenca, L. S., & Tejedor, G. D. (2005). El infarto renal. Medicina de Familia. SEMERGEN, 90 - 92. doi:10.1016/S1138-3593(06)73227-0[3]
- Saeed, K. (2012). Renal infarction. International journal of nephrology and renovascular disease, 119 - 123. doi:10.2147/IJNRD.S33768[4]
- Decoste, R., Himmelman, J. G., & Grantmyre, J. (2015). Acute renal infarct without apparent cause: A case report and review of the literature. Canadian Urological
- Association journal = Journal de l'Association des urologues du Canada 9, 3-4. doi:10.5489/cuaj.2466[5]
Referencias
- ↑ a b c d e Marín, S. A., Gómez, M. C., Talavera, G.-M. A., & Lozano, S.-M. T. (2013). Infarto renal agudo. Revista Clínica de Medicina de Familia, 58-60. doi:http://dx.doi.org/10.4321/S1699-695X2013000100012
- ↑ a b c d e f Sastre, A., Álvarez-Navascués, & Marín, R. (2007). Infarto renal. NEFROLOGÍA Volumen 27. Número 4, 522. Retrieved from https://www.revistanefrologia.com/es-infarto-renal-articulo-X0211699507021448
- ↑ a b c d e Cuenca, L. S., & Tejedor, G. D. (2005). El infarto renal. Medicina de Familia. SEMERGEN, 90 - 92. doi:10.1016/S1138-3593(06)73227-0
- ↑ a b c d e Saeed, K. (2012). Renal infarction. International journal of nephrology and renovascular disease, 119 - 123. doi:10.2147/IJNRD.S33768
- ↑ a b Decoste, R., Himmelman, J. G., & Grantmyre, J. (2015). Acute renal infarct without apparent cause: A case report and review of the literature. Canadian Urological Association journal = Journal de l'Association des urologues du Canada 9, 3-4. doi:10.5489/cuaj.2466