Laceración pulmonar
| Laceración pulmonar | ||
|---|---|---|
|
TC coronal que muestra radiolucencias (áreas pálidas en la radiografía) en el pulmón causadas por laceraciones pulmonares ubicadas a la izquierda de la imagen (flechas negras) | ||
| Especialidad | medicina de emergencia | |
Una laceración pulmonar es una lesión de tórax donde el tejido de pulmón resulta desgarrado o cortado.[1] Esta lesión es más seria que una contusión pulmonar, la laceración pulmonar implica la disrupción de la arquitectura del pulmón,[2] mientras que en la contusión pulmonar esto no ocurre. La laceración pulmonar generalmente es causada por trauma penetrante pero también puede ser el resultado de una contusión en forma de tensión cortante. Producto de ello se puede formar una cavidad llena de sangre, aire, o ambos. La lesión es diagnosticada cuando se aprecian acumulaciones de aire o fluido a través de una tomografía de tórax. Se puede necesitar cirugía para suturar la laceración, para drenar sangre, o incluso para remover zonas dañadas del pulmón herido. El daño generalmente cura rápidamente y con pocos problemas si se da el tratamiento adecuado; sin embargo, puede asociarse con la cicatrización del pulmón u otras complicaciones.
Causas
La laceración pulmonar es un resultado común de un trauma penetrante pero también puede ser causado por una contusión; las costillas rotas pueden perforar el pulmón, o el tejido puede ser desgarrado debido a la tensión cortante[3] que da como resultado diferentes tasas de aceleración o deceleración de los tejidos que componen el pulmón. La compresión violenta del tórax puede causar laceraciones por ruptura o cizallamiento del tejido de pulmón.[4] La laceración pulmonar puede ocurrir por fuerzas romas y penetrantes que ocurren en la misma lesión y puede ser asociado con contusión pulmonar.[5][6] La laceración del tejido pulmonar puede ocurrir también por compresión del alvéolo contra las costillas o la columna vertebral. Como en las contusiones, las laceraciones pulmonares normalmente ocurren cerca de estructuras sólidas del pecho como costillas. Se debe sospechar de laceracion pulmonar cuando hay fracturas de costillas.
Clasificación
En 1988, un grupo dirigido por R.B. Wagner dividió las laceraciones pulmonares en cuatro tipos basados en la manera en que la persona fue herida y las indicaciones encontradas en una TAC.[7]
En las laceraciones de tipo 1, que ocurren en el área media del pulmón, los pulmones llenos de aire estallan debido a una compresión brusca del pecho. También llamada "laceración compresión-ruptura", la laceración tipo 1 es el tipo más común y normalmente ocurrir en una ubicación central del pulmón. Tienden para ser grandes, variando en medida de 2–8 cm.[8] La tensión de cizallamiento en el tipo 2 resultada cuando la zona baja del pecho es bruscamente comprimida y el pulmón inferior es violentamente desplazado a través de los cuerpos vertebrales.
La laceración pulmonar Tipo 2, llamada también laceración por compresión-cortante, tiende para ocurrir cerca de la columna vertebral y tener una forma elongada. La LP Tipo 2 normalmente ocurre en personas más jóvenes con pechos más flexibles.[9]
La laceración pulmonar Tipo 3, son causadas por perforaciones de costillas fracturadas, ocurre en el área cerca la pared de pecho subyacente a la costilla rota. También llamada "laceración por penetracion de costilla", la LP tipo 3 tiende para ser pequeña y acompañada de neumotórax. Generalmente, más de una LP tipo 3 tiende a ocurrir.
La laceración pulmonar Tipo 4, también llamada adherencia de rasgaduras (adhesion tears) ocurre en casos donde una adherencia pleuropulmonar se había formado previamente a la herida, en donde la pared del pecho es fracturada bruscamente o empujada hacia adentro. Ocurren en el área subpleural resultado de fuerzas de cizallamiento en sitios de la adhesión transpleural.
Fisioptología

Una laceración pulmonar puede generar que el aire salga del pulmón lacerado y hacia el espacio pleural, si la laceración pasa a través de él.[10] La laceración pulmonar invariablemente resulta en neumotórax (debido a vías aéreas desgarradas), al hemotórax (debido a vasos sanguíneos desgarrados), o a un hemoneumotórax (con sangre y aire en la cavidad de tórax).[11] A diferencia de los hemotórax generados por una contusión pulmonar, los hemotórax de laceraciones pueden ser grandes y de larga duración. Aun así, los pulmones no sangran mucho normalmente, porque los vasos sanguíneos implicados son pequeños y la presión dentro de ellos es baja. Por tanto, el neumotórax es más problemático que el hemotórax. Un neumotórax puede convertirse o ser convertido en un neumotórax tensional por ventilación mecánica, la cual puede forzar aire hacia afuera por la rasgadura en el pulmón.
La laceración también puede cerrarse por cuenta propia, lo que puede causar el estancamiento de sangre y potencialmente formar un quiste o hematoma. Debido a que el pulmón es elástico, la rasgadura forma un quiste redondo llamado quiste de aire traumático que puede contener aire, sangre, o ambos y que normalmente se va encogiendo durante un periodo de semanas a meses.[12] Las laceraciones que contienen sangre se llaman neumatoceles, y las que contienen sangre se llaman hematomas pulmonares. En algunos casos, ambos neumatoceles y hematomas existen en el mismo pulmón lesionado. Un neumatocele puede agrandarse, por ejemplo, cuando el paciente es mecánicamente ventilado o tiene síndrome de dificultad respiratoria aguda, en este caso no desaparecerá por meses. Los hematomas pulmonares toman más tiempo para curarse que simples neumatoceles y generalmente dejar los pulmones cicatrizados.[13]
Con el tiempo, las paredes de las laceraciones pulmonares tienden a crecer más gruesas debido a edema y hemorragia en los bordes.
Diagnóstico

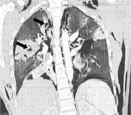
La laceración pulmonar puede no ser visible utilizando radiografía de tórax porque una contusión pulmonar asociada o hemorragia lo puede ocultar. Cuando la contusión pulmonar aclara (normalmente dentro dos a cuatro días), las laceraciones comienzan a ser visibles en la radiografía de tórax.[14] Una TAC es mejor detectando laceraciones pulmonares que una radiografía de tórax,[15] y a menudo revelan múltiples laceraciones en casos donde radiografía de pecho mostró solo un contusión. Antes de que las TAC estuvieran disponibles masivamente, la laceración pulmonar era considerada poco usual debido a que no era común encontrarlas en las radiografías. En una TAC las laceraciones pulmonares aparecen en un área contusa del pulmón,[16] típicamente apareciendo como las cavidades llenas de aire o fluido[17] que normalmente tener una forma circular u ovoide debido a la elasticidad del pulmón.
Los hematomas aparecen encima de las radiografías de tórax como masas suavizadas que son redondas u ovoide en forma. Como las laceraciones, los hematomas inicialmente pueden estar ocultos en las radiografía por contusiones en el pulmón, pero aparecen más aparentes a medida que la contusión mejora. Los neumatoceles tienen una forma similar a la de los hematomas pero tener paredes delgadas.[18] Las laceraciones pueden ser llenadas completamente con sangre, completamente con aire, o parcialmente con ambos. Las laceraciones que contienen sangre y aire muestran un distintivo nivel de aire-fluido. Una sola laceración puede ocurrir por sí misma, o también pueden existir muchas presentes, creando un aspecto como queso suizo en la radiografía del pulmón.
Las laceraciones pulmonares son normalmente acompañadas por hemoptisis (tos con sangre o de esputo sanguinolento).[19]
La toracoscopia puede ser utilizada tanto para el diagnóstico como para el tratamiento de laceraciones pulmonares.
Una laceración en proceso de curación se puede parecer a un nódulo pulmonar en radiografías, pero a diferencia de los nódulos pulmonares, las laceraciones disminuyen su tamaño a medida que se obtienen nuevas radiografías.
Tratamiento
Como ocurre con otros daños de tórax como las contusiones pulmonares, hemotórax, y neumotórax, las laceraciones pulmonares a menudo puede ser tratadas con oxígeno suplementario, ventilación, y drenaje de fluidos de la cavidad del pecho.[20] Un catéter torácico puede ser usado para sacar la sangre y aire presente en la cavidad del pecho.[21] Aproximadamente 5% de los casos requieren cirugía, llamada toracotomía. La toracotomía es especialmente necesaria si un pulmón falla al re-expandirse; si el neumotórax, hemorragia, o tos con sangre persiste; o para sacar sangre coagulada de un hemotórax. El tratamiento quirúrgico incluye sutura, grapado, sobre sutura. Ocasionalmente, los cirujanos deben realizar una lobectomía, donde un lóbulo del pulmón es retirado, o una neumonectomía, donde un pulmón completo es retirado.
Pronóstico
La recuperación completa es común con tratamiento apropiado. Una laceración pulmonar usualmente cura más rápido después de insertar un catéter torácico y normalmente no se asocia con mayores problemas a largo plazo. Las laceraciones pulmonares normalmente se curan dentro tres a cinco semanas, y las laceraciones con aire generalmente se curarán dentro de una a tres semanas pero a veces pueden tomar más tiempo. Aun así, el daño a menudo toma semanas o meses para curarse, y el pulmón puede ser cicatrizado. Las laceraciones pulmonares pequeñas frecuentemente curarse por sí solas si el material es retirado sacado del espacio pleural, pero la cirugía puede ser requerida para laceraciones más grandes que no se curan correctamente o que sangran.
Complicaciones
Las complicaciones no son comunes pero pueden incluir infección, absceso pulmonar, y fístula broncopleural (una fístula entre el espacio pleural y el árbol bronquial). Una fístula broncopleural ocurre cuando hay una comunicación entre la laceración, un bronquiolo, y la pleura; pueda causar que el aire se filtre al espacio pleural a pesar de la colocación de un catéter torácico. La laceración se puede agrandar, como puede ocurrir cuando la herida crear una válvula que permite al aire entrar en la laceración, expandiendola progresivamente. Una complicación, la embolia gaseosa, en qué aire ingresa torrente sanguíneo, es potencialmente fatal, especialmente cuando ocurre en el lado izquierdo del corazón. El aire puede introducir el sistema circulatorio a través de una vena dañada en el pecho herido y puede viajar a cualquier órgano; es especialmente fatal en el corazón o cerebro. Una ventilación de presión positiva puede causar embolia pulmonar por forzar aire fuera de los pulmones dañados e ingresarlo a los vasos sanguíneos.
Enlaces externos
- Esta obra contiene una traducción derivada de «Pulmonary laceration» de Wikipedia en inglés, concretamente de esta versión, publicada por sus editores bajo la Licencia de documentación libre de GNU y la Licencia Creative Commons Atribución-CompartirIgual 4.0 Internacional.
Referencias
- ↑ Sattler S, Maier RV (2002). «Pulmonary contusion». En Karmy-Jones R, Nathens A, Stern EJ, ed. Thoracic Trauma and Critical Care. Berlin: Springer. pp. 161-163. ISBN 1-4020-7215-5. Consultado el 5 de mayo de 2008.
- ↑ Collins J, Stern EJ (2007). Chest Radiology: The Essentials. Lippincott Williams & Wilkins. p. 120. ISBN 0-7817-6314-2. Consultado el 26 de abril de 2008.
- ↑ Matthay RA, George RB, Light RJ, Matthay MA, ed. (2005). «Thoracic trauma, surgery, and perioperative management». Chest Medicine: Essentials of Pulmonary and Critical Care Medicine. Hagerstown, MD: Lippincott Williams & Wilkins. p. 580. ISBN 0-7817-5273-6. Consultado el 21 de abril de 2008.
- ↑ Miller LA (marzo de 2006). «Chest wall, lung, and pleural space trauma». Radiologic Clinics of North America 44 (2): 213-24, viii. PMID 16500204. doi:10.1016/j.rcl.2005.10.006.
- ↑ Ullman EA, Donley LP, Brady WJ (2003). «Pulmonary trauma emergency department evaluation and management». Emergency Medicine Clinics of North America 21 (2): 291-313. PMID 12793615. doi:10.1016/S0733-8627(03)00016-6.
- ↑ Miller DL, Mansour KA (2007). «Blunt traumatic lung injuries». Thoracic Surgery Clinics 17 (1): 57-61. PMID 17650697. doi:10.1016/j.thorsurg.2007.03.017.
- ↑ Wright F (2002). Radiology of the Chest and Related Conditions: Together with an Extensive Illustrative Collection of Radiographs. London: Taylor and Francis. p. 11.3. ISBN 0-415-28141-5. Consultado el 5 de mayo de 2008.
- ↑ Thoongsuwan N, Kanne JP, Stern EJ (mayo de 2005). «Spectrum of blunt chest injuries». Journal of Thoracic Imaging 20 (2): 89-97. PMID 15818207. doi:10.1097/01.rti.0000148210.89718.f5.
- ↑ Hollister M, Stern EJ, Steinberg KP (noviembre de 1995). «Type 2 pulmonary laceration: A marker of blunt high-energy injury to the lung». American Journal of Roentgenology 165 (5): 1126. PMID 7572488. doi:10.2214/ajr.165.5.7572488.
- ↑ Livingston DH, Hauser CJ (2003). «Trauma to the chest wall and lung». En Moore EE, Feliciano DV, Mattox KL, ed. Trauma. Fifth Edition. McGraw-Hill Professional. p. 532. ISBN 0-07-137069-2. Consultado el 26 de abril de 2008.
- ↑ Kishen R, Lomas G (2003). «Thoracic trauma». En Gwinnutt CL, Driscoll P, ed. Trauma Resuscitation: The Team Approach. Informa Healthcare. p. 64. ISBN 1-85996-009-X. Consultado el 3 de mayo de 2008.
- ↑ Helms CA, Brant WE (2007). Fundamentals of Diagnostic Radiology. Philadelphia: Lippincott, Williams & Wilkins. p. 557. ISBN 0-7817-6135-2. Consultado el 29 de abril de 2008.
- ↑ White C, Stern EJ (1999). Chest Radiology Companion. Hagerstown, MD: Lippincott Williams & Wilkins. pp. 80, 176. ISBN 0-397-51732-7. Consultado el 3 de abril de 20080.
- ↑ Wicky S, Wintermark M, Schnyder P, Capasso P, Denys A (2000). «Imaging of blunt chest trauma». European Radiology 10 (10): 1524-1538. PMID 11044920. doi:10.1007/s003300000435.
- ↑ Costantino M, Gosselin MV, Primack SL (julio de 2006). «The ABC's of thoracic trauma imaging». Seminars in Roentgenology 41 (3): 209-225. PMID 16849051. doi:10.1053/j.ro.2006.05.005.
- ↑ Hopkins RL, Peden C, Gandhi S (2008). «Trauma radiology». Radiology for Anaesthesia and Intensive Care. Cambridge, UK: Cambridge University Press. p. 135. ISBN 0-521-69485-X.
- ↑ Donnelly LF (2002). «CT of Acute pulmonary infection/trauma». En Strife JL, Lucaya J, ed. Pediatric Chest Imaging: Chest Imaging in Infants and Children. Berlin: Springer. p. 123. ISBN 3-540-43557-3. Consultado el 1 de mayo de 2008.
- ↑ Schnyder P, Wintermark M (2000). Radiology of Blunt Trauma of the Chest. Berlin: Springer. p. 62. ISBN 3-540-66217-0. Consultado el 6 de mayo de 2008.
- ↑ Gavelli G, Canini R, Bertaccini P, Battista G, Bnà C, Fattori R (junio de 2002). «Traumatic injuries: imaging of thoracic injuries». European Radiology 12 (6): 1273-1294. PMID 12042932. doi:10.1007/s00330-002-1439-6.
- ↑ Hara H, Yoshimura H (julio de 2004). «Traumatic lung injury». Kyobu Geka (en japonés) 57 (8): 762-769. PMID 15362557.
- ↑ Sartorelli KH, Vane DW (mayo de 2004). «The diagnosis and management of children with blunt injury of the chest». Seminars in Pediatric Surgery 13 (2): 98-105. PMID 15362279. doi:10.1053/j.sempedsurg.2004.01.005.