Enfisema subcutáneo
| Enfisema subcutáneo | ||
|---|---|---|
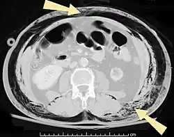
![]() Una tomografía computarizada abdominal de un paciente con enfisema subcutáneo (flechas) | ||
| Especialidad | medicina de emergencia | |
El enfisema subcutáneo, abreviado ES y también llamado enfisema tisular, es una condición ocasionada por la penetración de aire en los tejidos subcutáneos (por debajo de la piel). Generalmente, el aire proviene de la cavidad torácica, por lo que es comúnmente observado en torso, cuello y cara.[1] Se caracteriza por una crepitación al tacto, descrita como «pisar la nieve».[2] Puede ser producto de la perforación de algún elemento de los sistemas respiratorio o gastrointestinal. Además, el aire puede quedar atrapado como resultado de traumatismos penetrantes (como heridas por arma de fuego o arma blanca) o contusiones. Una infección (como la gangrena gaseosa) también puede causar esta condición.
El enfisema subcutáneo puede ser consecuencia de procedimientos y condiciones médicas que provoquen una presión alveolar mayor a la de los tejidos circundantes.[3] El término «enfisema subcutáneo espontáneo» se emplea cuando se desconoce la causa subyacente.[4] Normalmente es benigno, pero puede estar asociado con condiciones graves,[5] como el neumotórax.[6] Por lo común, el enfisema subcutáneo no requiere tratamiento, sin embargo, puede ser incómodo e interferir con la respiración, por lo que puede ser tratado eliminando el aire de los tejidos, por ejemplo, con el uso de un tubo torácico.
Manifestaciones clínicas
Las manifestaciones clínicas varían de acuerdo a la etiología. No obstante, es común la presencia de hinchazón en el cuello y dolor torácico. También puede involucrar dolor de garganta, dolor de cuello, disfagia, sibilancias y disnea. Los rayos X torácicos pueden mostrar aire en el mediastino.[4] A la palpación hay una característica crepitación, descrita como «pisar la nieve».[2] La crepitación de las burbujas de aire, que son indoloras y al tacto son similares a nódulos, es un signo patognomónico del enfisema subcutáneo y de la gangrena gaseosa.[7] Normalmente, los tejidos circundantes se encuentran tumefactos. Cuando grandes cantidades de aire penetran los tejidos, la cara puede hincharse de forma considerable.[8] Además, se puede presentar una sensación de plenitud en el área y cambios en el tono de la voz.[9] Si el enfisema en cuello y cara es muy grande, puede llegar a interferir con la respiración. Por otro lado, se puede extender a distintas partes del cuerpo, como el abdomen o las extremidades, dado que no hay divisiones en el tejido adiposo.[10]
Causas
Traumatismos
Las condiciones causantes del enfisema subcutáneo pueden ser resultado de traumatismos penetrantes y contusiones.[4] Comúnmente, es producto de heridas por arma de fuego o cortopunzantes.[11] En el caso del traumatismo de tórax, el aire puede penetrar la piel de la pared torácica del cuello o pulmón. Mientras que en la perforación de la pleura, como en el caso de traumatismos penetrantes en torso, el aire puede ser capaz de viajar de los pulmones a los músculos y al tejido subcutáneo de la pared torácica. En la perforación de los alvéolos, como sucede en la laceración pulmonar, el aire puede viajar por debajo de la pleura pulmonar al hilio pulmonar, tráquea, cuello y después a la pared torácica. La condición también puede ocurrir cuando una costilla fracturada perfora el pulmón[7] (27% de los pacientes con fractura de costilla presentan enfisema subcutáneo).[10] Estas fracturas pueden rasgar la pleura parietal, facilitando el escape de aire a los tejidos subcutáneos.[12]
El enfisema subcutáneo puede ser producto de un neumomediastino, neumopericardio o un neumotórax.[13] Un neumotórax a tensión aumenta las posibilidades de que el aire penetre los tejidos subcutaneos a través de un desgarre de la pleura ocasionado por una costilla fracturada.[12] Cuando el enfisema es consecuencia de un neumotórax, el aire puede entrar en los tejidos de cara, cuello, torso, axilas o abdomen.[1] Cuando es producto de una neumomediastino, que puede ser causado por diversos eventos (como perforación de la vía aérea por aspiración de un cuerpo extraño o por desgarro de los pulmones por incremento en la presión pulmonar),[14] la condición se denomina síndrome de Hamman.[15]
Normalmente, el enfisema subcutáneo de la pared torácica es uno de los primeros signos del barotraumatismo.[16] Por lo tanto, este fenómeno puede ocurrir en lesiones por buceo.[4] Por otro lado, el enfisema puede ser ocasionado por traumatismos a diversas partes del sistema respiratorio, como en el caso de la ruptura del bronquio. Desde un neumomediastino, producto de la ruptura bronquial, el aire puede viajar hacia el cuello o, si es causado por desgarres de tráquea o larínge, hacia los tejidos blandos del torso.[12] Otras causas son: fracturas de huesos faciales, neoplasias, ataques asmáticos, la maniobra de Heimlich, el parto,[4] lesiones por uso de herramientas neumáticas (incluso en extremidades)[17] y la ruptura de esófago (sin embargo, normalmente es un signo tardío de esta condición).[18]
Tratamientos médicos
Esta condición es una consecuencia común de ciertos tipos de cirugía, como la torácica.[8] También puede ocurrir en cirugías realizadas alrededor del esófago.[6] Otras causas potenciales son la anestesia[19] y las laparoscopias.[6] En la neumonectomía, el tubo bronquial restante puede permitir escapes de aire. Es una condición rara, pero grave que ocasiona enfisemas subcutáneos progresivos. Por otro lado, se puede escapar aire del espacio pleural por medio de una incisión realizada para una toracotomía.[8] En raras ocasiones, el enfisema puede ser resultado de cirugías dentales, usualmente por las herramientas utilizadas. Por lo común, estos casos resultan en inflamaciones indoloras de cara y cuello, además se presentan crepitaciones y aire subcutáneo observable en los rayos X.[20]
Una de las causas principales de este enfisema, junto con el neumotórax, es un tubo torácico en mal funcionamiento (obstruido, aprisionado o fuera de lugar). Por lo anterior, puede ser necesario recolocar o reemplazar el tubo. El enfisema en pacientes con ventilación mecánica es una indicación de que la ventilación puede haber causado un neumotórax (que es empeorado por la ventilación y puede forzar el ingreso de aire a los tejidos). Otra posible causa es la ruptura de tráquea, que puede lesionarse por una traqueotomía o una intubación endotraqueal.[21] Los tubos empleados pueden perforar la tráquea o un bronquio y causar el enfisema subcutáneo.[11]
Infecciones
El enfisema subcutáneo puede ser causado por infecciones necrosantes, como la gangrena gaseosa.[21] El enfisema también es uno de los signos distintivos de la gangrena de Fournier.[22] Los síntomas del enfisema pueden surgir cuando los organismos infecciosos producen gas por fermentación.[7] Cuando el enfisema es ocasionado por una infección también pueden presentarse síntomas sistémicos.[17][23]
Diagnóstico
Diversos casos son fácilmente diagnosticados por los signos característicos de la condición.[1] En otros se dificulta el diagnóstico debido a que los signos son imperceptibles.[12] Se utiliza la imagen médica para diagnosticar o confirmar la condición. En radiografías torácicas, el enfisema se observa como estriaciones radiolucentes en el área del músculo pectoral mayor. El aire en los tejidos subcutáneos puede interferir con la radiografía torácica, por lo tanto puede esconder condiciones graves como el neumotórax.[16] También puede reducir la efectividad del ultrasonido torácico.[24] Por otr lado, dado que el enfisema es visible en los rayos X torácicos antes que el neumotórax, su presencia puede utilizarse para inferir esta última lesión. Esta condición también se observa en las tomografías computarizadas como zonas oscuras. Normalmente, al ser una técnica muy sensible, es posible encontrar el lugar exacto desde donde el aire ingresa a los tejidos blandos.[12]
Tratamiento
Usualmente, esta condición es benigna.[1] En la mayoría de los casos el ES no requiere tratamiento (aunque las causas subyacentes puede necesitarlo); sin embargo, si se trata de grandes cantidades de aire, puede ser incómodo e interferir con la respiración[25] o puede comprimir la tráquea, en cuyo caso requiere tratamiento.[26] En casos severos, se pueden utilizar catéteres en el tejido subcutáneo para liberar el aire.[1] También se pueden realizar pequeños cortes en la piel.[13] Al ser causado por un neumotórax, frecuentemente se utiliza un tubo torácico para controlar esta última condición, lo que elimina la fuente del aire infiltrado en los tejidos.[21]
Su expansión puede ser un signo de que el tubo torácico no está removiendo el aire lo suficientemente rápido, por lo que puede ser reemplazado por uno más largo. También se puede emplear succión aplicada al tubo para una remoción más rápida.[8] La progresión de esta condición puede monitorearse marcando sus límites en la piel.[26] Debido a que el tratamiento normalmente involucra tratar la condición subyacente, los casos de enfisema subcutáneo espontáneo pueden requerir únicamente descanso, medicación para el dolor y, quizá, suministro de oxígeno suplementario.[4]
Pronóstico
Comúnmente, el aire en tejidos subcutáneos no representa una amenaza letal,[3] puesto que pequeñas cantidades de aire son reabsorbidas por el cuerpo.[8] Una vez resuelto el neumotórax o neumomediastino que cause la condición, esta se resolverá.[16] No obstante, en raros casos, puede llegar a ser una condición que ponga en riesgo la vida.[4] Por su parte, el enfisema subcutáneo producto de ventilación mecánica puede ocasionar insuficiencia ventilatoria.[27]
Véase también
Referencias
- ↑ a b c d e Papiris, S. A.; Roussos, C. (2004). «Pleural disease in the intensive care unit». En Demosthenes Bouros, ed. Pleural Disease (Lung Biology in Health and Disease) (en inglés). Nueva York: Marcel Dekker. pp. 771–777. ISBN 0-8247-4027-0. Consultado el 11 de diciembre de 2015.
- ↑ a b Olaciregui Echeniquea, I.; Plazaola Cortázara, A.; Uriz Monauta, J. J.; Korta Muruaa, J. (2014). «Enfisema subcutáneo y neumomediastino tras extracción dental». Anales de Pediatría 80 (3): 195-196. PMID 24103247. doi:10.1016/j.anpedi.2013.06.012.
- ↑ a b Maunder, Richard J.; Pierson, David J.; Hudson, Leonard D. (1984). «Subcutaneous and Mediastinal Emphysema. Pathophysiology, Diagnosis, and Management». Archives of Internal Medicine 144 (7): 1447-1453. PMID 6375617. doi:10.1001/archinte.1984.00350190143024.
- ↑ a b c d e f g Parker, Gregg S.; Mosborg, David A.; Foley, Richard W.; Stiernberg, Charles M. (1990). «Spontaneous cervical and mediastinal emphysema». The Laryngoscope 100 (9): 938-940. PMID 2395401. doi:10.1288/00005537-199009000-00005. Consultado el 11 de diciembre de 2015.
- ↑ Brown, Nicholas F.; Wong-Taylor, Li-An; Beckles, Michael. «Subcutaneous emphysema». Student BMJ (en inglés). BMJ Publishing Group. Consultado el 11 de diciembre de 2015.
- ↑ a b c Bhavani-Shankar, K.; Steinbrook, Richard A. (1998). «Anesthetic Considerations for Minimally Invasive Surgery». En David C. Brooks, ed. Current Review of Minimally Invasive Surgery (en inglés). Filadelfia: Springer-Verlag. pp. 36. ISBN 978-0-3879-8338-7. Consultado el 11 de diciembre de 2015.
- ↑ a b c LeBlond, Richard F.; DeGowin, Richard L.; Brown, Donald D. (2009). DeGowin’s Diagnostic Examination (en inglés) (9° edición). Nueva York: McGraw-Hill Medical. pp. 134, 345. ISBN 978-0-07-164118-0. Consultado el 11 de diciembre de 2015.
- ↑ a b c d e Long, Barbara C.; Phipps, Wilma J.; Cassmeyer, Virginia L. (1995). Adult Nursing: A Nursing Process Approach (en inglés). San Luis: Mosby. pp. 328. ISBN 0-7234-2004-1. Consultado el 11 de diciembre de 2015.
- ↑ Abbott, Allan V.; Noll, Edmond C. (1998). «50. Selected Injuries». En Robert B. Taylor, ed. Family Medicine: Principles and Practice (en inglés) (5° edición). Nueva York: Springer. p. 437. ISBN 978-1-4757-2949-8.
- ↑ a b Wintermark, Max; Schnyder, Pierre (2000). «2. Trauma of the Chest Wall». Radiology of Blunt Trauma of the Chest (en inglés). Springer. pp. 10-11. ISBN 3-540-66217-0. Consultado el 11 de diciembre de 2015.
- ↑ a b Peart, Olive (2006). «Subcutaneous Emphysema». Radiologic Technology 77 (4): 296. PMID 16543482.
- ↑ a b c d e Wicky, S.; Wintermark, M.; Schnyder, P.; Capasso, P.; Denys, A. (2000). «Imaging of blunt chest trauma». European Radiology 10 (10): 1524-1538. PMID 11044920. doi:10.1007/s003300000435.
- ↑ a b Grathwohl, Kurt W.; Miller, Scott (2005). «7. Anesthetic implications of minimally invasive urologic surgery». En Robert G. Moore, Jay T. Bishoff, Stefan Loenig y Steven G. Docimo, ed. Minimally Invasive Urological Surgery (en inglés). Londres: Taylor and Francis. p. 170. ISBN 978-0-2034-2089-8.
- ↑ Findlay, C. A.; Morrissey, S.; Paton, J. Y. (2003). Subcutaneous emphysema secondary to foreign-body aspiration 36 (1). pp. 81-82. PMID 12772230. doi:10.1002/ppul.10295.
- ↑ Bonin, Miguel Marc (2006). «Hamman's syndrome (spontaneous pneumomediastinum) in a parturient: a case report». Journal of Obstetrics and Gynaecology Canada 28 (2): 128-131. PMID 16643714.
- ↑ a b c Boiselle, Phillip M. (2002). «Chapter 11. Radiologic Imaging in the Critically Ill Patient». En Gerard J. Criner y Gilbert E. D'Alonzo, ed. Critical Care Study Guide: Text and Review (en inglés). Berlín: Springer. pp. 169. ISBN 0-387-95164-4. Consultado el 21 de diciembre de 2015.
- ↑ a b Mink van der Molen, Aebele B.; Birndorf, Michael; Dzwierzynski, William W.; Sanger, James R. (1999). «Subcutaneous tissue emphysema of the hand secondary to noninfectious etiology: A report of two cases». Journal of Hand Surgery 24 (3): 638-641. PMID 10357548. doi:10.1053/jhsu.1999.0638. Consultado el 21 de diciembre de 2015.
- ↑ Kosmas, E. N.; Polychronopoulos, V. S. (2004). «Pleural effusions in gastrointestinal tract diseases». En Demosthenes Bouros, ed. Pleural Disease (Lung Biology in Health and Disease) (en inglés). Nueva York: Marcel Dekker. pp. 798. ISBN 0-8247-4027-0. Consultado el 21 de diciembre de 2015.
- ↑ Pan, Peter H. (1989). «Perioperative subcutaneous emphysema: Review of differential diagnosis, complications, management, and anesthetic implications». Journal of Clinical Anesthesia 1 (6): 457-459. PMID 2696508. doi:10.1016/0952-8180(89)90011-1. Consultado el 21 de diciembre de 2015.
- ↑ Monsour, P. A.; Savage, N. W. (1989). «Cervicofacial emphysema following dental procedures». Australian Dental Journal 34 (5): 403-406. PMID 2684113. doi:10.1111/j.1834-7819.1989.tb00695.x. Consultado el 21 de diciembre de 2015.
- ↑ a b c Lefor, Alan T. (2002). Critical Care on Call (en inglés). Nueva York: Lange Medical Books/McGraw-Hill, Medical Publishing Division. pp. 238-240. ISBN 0-07-137345-4.
- ↑ Levenson, Robin B.; Singh, Ajay K.; Novelline, Robert A. (2008). «Fournier Gangrene: Role of Imaging». RadioGraphics 28 (2): 519-528. PMID 18349455. doi:10.1148/rg.282075048.
- ↑ De, M.; Stevenson, J. (2001). «Subcutaneous emphysema of upper limb». Emergency Medicine Journal 18 (6): 522. PMC 1725699. PMID 11696529. doi:10.1136/emj.18.6.522. Consultado el 21 de diciembre de 2015.
- ↑ Hagberg, Carin A.; Georgi, Rainer; Krier, Claude (2008). «6. The difficult airway». En Emilio B. Lobato, Nikolaus Gravenstein y Robert R. Kirby, ed. Complications in Anesthesiology (en inglés). Filadelfia: Lippincott Williams & Wilkins. pp. 171. ISBN 978-0-7817-8263-0. Consultado el 21 de diciembre de 2015.
- ↑ Abu-Omar, Yasir; Catarino, Pedro A. (2002). «Progressive subcutaneous emphysema and respiratory arrest». Journal of the Royal Society of Medicine 95 (2): 90-91. PMC 1279319. PMID 11823553. doi:10.1136/emj.18.6.522. Consultado el 21 de diciembre de 2015.
- ↑ a b Carpenito-Moyet, Lynda Juall (2004). Nursing Care Plans & Documentation: Nursing Diagnoses and Collaborative Problems (en inglés). Hagerstown: Lippincott Williams & Wilkins. pp. 889. ISBN 0-7817-3906-3. Consultado el 21 de diciembre de 2015.
- ↑ Conetta, R.; Barman, A. A.; Iakovou, C.; Masakayan, R. J. (1993). «Acute ventilatory failure from massive subcutaneous emphysema». Chest Journal 104 (3): 978-980. PMID 8365332. doi:10.1378/chest.104.3.978.
Enlaces externos
- Esta obra contiene una traducción total derivada de «Subcutaneous emphysema» de Wikipedia en inglés, concretamente de esta versión del 19 de julio de 2015, publicada por sus editores bajo la Licencia de documentación libre de GNU y la Licencia Creative Commons Atribución-CompartirIgual 4.0 Internacional.
