Taponamiento cardíaco
| Taponamiento cardiaco | ||
|---|---|---|
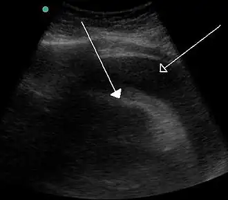
![]() Un derrame pericárdico muy grande que resulta en un taponamiento como resultado del sangrado por cáncer, como se ve en la ecografía. Flecha cerrada - el corazón; flecha abierta - el derrame | ||
| Especialidad | cardiología | |
| Síntomas | Dificultad para respirar , debilidad, mareos , tos. | |
| Causas | Cáncer , insuficiencia renal , trauma torácico , pericarditis , tuberculosis.[1] | |
| Tratamiento | Drenaje ( pericardiocentesis , ventana pericárdica , pericardiectomía )[1] | |
| Sinónimos | ||
| Taponamiento pericárdico | ||
El taponamiento cardíaco, llamado también taponamiento pericárdico, es caracterizado por una presión elevada en el espacio pericárdico, debido a la acumulación de líquido.[2] El taponamiento cardíaco es una emergencia médica.[3] El fluido entre el espacio pericárdico se llama el derrame pericárdico. Cuando la cantidad es suficiente, puede causar un aumento de la presión pericárdica. Si la presión pericárdica comprime al corazón, se le llama taponamiento cardíaco.[4] Esto ocurre debido a la falta del relleno del corazón con sangre. Sin el retorno venoso normal, el bombeo de sangre será ineficiente. Los tejidos del cuerpo, sin suficiente sangre, carecen de oxígeno. Por eso, el taponamiento cardíaco resulta en el choque obstructivo que puede ser mortal.[5][1]
Hay varias causas del derrame pericárdico y el taponamiento. Incluyen la pericarditis, la uremia, el cáncer, los traumatismos al pecho, y otras.[5][6] Los síntomas pueden incluir el dolor del pecho, la disnea, el mareo, o la confusión. Algunos signos son la taquicardia y la presión arterial baja (la hipotensión). Las venas yugulares en el cuello estarían distendidas. Se puede observar también la tríada de Beck o el pulso paradójico.[3]
La ecocardiografía es útil en el diagnóstico del taponamiento cardíaco.[7] El diagnóstico y el tratamiento rápido son esenciales porque este condición puede ser fatal. Con el drenaje adecuado, los signos y síntomas son reversibles. El tratamiento preferido es el pericardiocentesis. En algunos casos, la cirugía puede ser necesaria.[4] Una ilustración de un derrame pericárdico. Demuestra líquido en el espacio pericárdico. Con el aumento de presión, puede comprimir el corazón y causar el taponamiento cardíaco.
Etiología
El taponamiento cardíaco ocurre cuando el espacio pericárdico se llena con líquido por encima de su capacidad máxima.[2] Normalmente, hay menos que 50 ml para lubricar el pericardio, facilitando los latidos del corazón.[2][6] La acumulación anormal de líquido aumenta la presión en este espacio.[2] Esta condición se llama un derrame pericárdico.[6] Cuando un derrame previene el relleno del corazón debido a demasiada presión, se llama el taponamiento.[3][8]
Hay muchos trastornos que pueden causar un derrame pericárdico. Las causas son inflamatorias o no inflamatorias.[6][8] Las causas inflamatorias incluyen la pericarditis y la uremia. Hay varias etiologías del pericarditis también.[6] Este trastorno es caracterizado por la inflamación del tejido pericárdico. A menudo, es debido a un virus.[9] Si la infección es bacteriana, pus será presente y tiene riesgo más alta del taponamiento cardíaco.[6] El tuberculosis es más común en África y Asia.[10] Las enfermedades autoinmunes como el lupus pueden también ser causas.[6] La uremia se origina en trastornos renales y puede causar la inflamación.[11]
Un derrame pericárdico no inflamatorio incluye los de cáncer, trastornos metabólicos, y traumatismo. Los tipos de cáncer con el mayor riesgo son los de pulmón, mama, y linfoma. Los trastornos metabólicos incluyen hipotiroidismo y la deficiencia de proteína. Un trauma al pecho puede causar el taponamiento cardíaco hemorrágico.[6]
Otras causas de sangre en el espacio pericárdico incluyen cirugías cardíacas y disección aórtica.[6][12] La ruptura del miocardio es una causa relativamente rara de taponamiento cardíaco. Típicamente ocurre como consecuencia de un infarto de miocardio.[13] El músculo infartado adelgaza y se rasga. Esto es más factible en personas ancianas, sin historia de problemas cardíacos. La demora del tratamiento de un infarto aumenta el riesgo de esta complicación rara.[13][14]
Fisiopatología
La membrana del pericardio es un material fibroso.[15] Consiste de dos capas: el pericardio fibroso y seroso.[16] No se estira con facilidad. En vez, se estira lentamente como respuesta a la acumulación gradual de líquido.[5] Cuando se llena sin la capacidad de estirarse, comienza a incrementarse la presión pericárdica.[8] Este límite depende en el tiempo durante el cual se desarrolla el derrame.[17]
La efusión puede ocurrir rápidamente (derrame agudo) o lentamente (derrame crónico). Si la cantidad de líquido se aumenta poco a poco, el pericardio se expande gradualmente. Cuando se expande, puede contener 1-2 litros o más antes de que ocurra el taponamiento.[18] Si el llenado es rápido, una pequeña cantidad, tanto como 150-250 ml, es suficiente para causar taponamiento cardíaco.[19]
Con esta presión aumentada, los ventrículos no se pueden llenar de sangre. Comprime el corazón derecho, limitando el retorno venoso. Inicialmente, el corazón compensa para que el gasto cardíaco no disminuye. Aumenta la frecuencia cardíaca y activa el sistema nervioso simpático.[18] Eventualmente, hay discompensación, en que la presión es demasiada elevada. La presión elevada en el corazón derecho hace el tabique interventricular a doblarse hacia el ventrículo izquierdo.[17] Los efectos en el corazón izquierdo disminuyen el volumen sistólico.[8] Esto causa el desarrollo de choque obstructivo.[17] Si se deje sin tratamiento, puede ocurrir un paro cardíaco.[3]
Signos y síntomas
Se debe sospechar el taponamiento cardíaco en varios escenarios. Un paciente puede presentar con síntomas de dispnea, dolor del pecho, síncope y debilidad.[18] Debido al estado de shock, los tejidos vitales no reciben suficiente sangre. Por eso, también se puede tener síntomas del daño a órganos vitales. Por ejemplo, disminuye la producción de orina sin flujo sanguíneo adecuado a los riñones. La piel de los extremidades puede estar fría. El estado de conciencia del paciente puede estar disminuido.[3]
Los signos vitales incluirían taquicardia, taquipnea, y hipotensión. El taponamiento cardíaco clásico presenta con tres signos - la tríada de Beck. Fíjense que la ausencia de la tríada no descarta taponamiento. La tríada incluye:[20]
- Hipotensión - ocurre por el disminuido volumen de eyección;
- Distensión de las venas yugulares del cuello - debido al pobre retorno venoso al corazón;
- Velamiento de los ruidos cardíacos debido al espacio adicional de líquido en el pericardio.[21]
Otros signos pueden incluir pulso paradójico. Es una caída de al menos 10 mmHg en la presión arterial durante la inspiración.[17] Ocurre debido al aumenta del retorno venoso durante la inspiración. El corazón derecha no se puede acomodar este volumen debido a la presión pericárdica alta.[17] El signo de Kussmaul está presente en algunos casos.[3]
Diagnóstico
El diagnóstico inicial puede ser un desafío. En el escenario clínico, hay varios diagnósticos diferenciales. Incluyen neumotórax a tensión, embolia pulmonar, e insuficiencia cardíaca aguda.[22] El diagnóstico es más o menos clínico con los signos y síntomas descritos antes. El taponamiento cardíaca es una emergencia médica. Por eso, se debe tener un alto índice de sospecha.[3]
Si el tiempo lo permitiere, el taponamiento puede ser diagnosticado radiológicamente. El ecocardiograma se demuestra con facilidad el derrame pericárdico. Se puede ver el colapso de las aurículas o del ventrículo derecho, y la vena cava inferior dilatada.[16][18][23] Los beneficios del ecocardiograma son que es una prueba rápida y no invasiva. Un electrocardiograma puede demostrar voltaje bajo y la alternancia eléctrica.[3][24] Puede tener signos del pericarditis si presente.[18] La radiografía de tórax no es tanto útil como la eco. Sin embargo, puede mostrar un corazón globoso.[19]
Tratamiento
Cuidado pre-hospitalario
El tratamiento dado inicialmente será por lo general de soporte. Incluye la administración de oxígeno y fluidos intravenosos. El cuidado pre-hospitalario se centra en el tratamiento general del shock. Hay que transferir a la paciente al hospital. El taponamiento cardíaco es una emergencia que requiere el tratamiento inmediatamente.[25] Algunos profesionales pre-hospitalarios pueden proveer pericardiocentesis.[26] El traslado inmediato a un hospital con capacidad de proveer la pericardiocentesis es el curso de acción más apropiado.[25]
Pericardiocentesis
El tratamiento preferido es la pericardiocentesis.[3][18][22] Se debe realizar inmediatamente cuando el paciente está inestable. Involucra la inserción de una aguja al pericardio para aspirar líquido. A menudo, se utiliza al ecocardiografía al mismo tiempo para visualizar la aguja.[27] Hay varias rutas de insertar la aguja. Incluyen las rutas: subxifoidea y intercostal.[28] Se puede dejar una cánula temporalmente para continuar el drenaje del derrame pericárdico. Si no se pueda quitar el líquido, la cirugía quizás será necesaria.[28]
No debe olvidarse la probabilidad de recurrencia del taponamiento cardíaco cuando se trata con pericardiocentesis, por lo cual deberá repetirse el procedimiento o hacer preparativos para llevar al paciente a cirugía. El tratamiento quirúrgico del taponamiento cardiaco puede llevarse a cabo por tres métodos. El primero de ellos es la pericardiectomía por esternotomía vertical o transversa. Es especialmente útil en pacientes con posible constricción (inducida por radiación o por tuberculosis). El segundo método es la pericardiectomía parietal a través de toracotomía intercostal izquierda, que se lleva a cabo bajo anestesia general y posibilita la resección de gran parte del pericardio parietal anterolateral, lo cual permite una mejora más definitiva. La resección se realiza hasta el área donde se localiza el nervio frénico izquierdo. Es de utilidad en caso de pericarditis purulenta. El tercer método es la pericardiostomía subxifoidea, que se efectúa bajo anestesia local, con resección de apéndices xifoides y una incisión pequeña del pericardio, a través de la cual se drena el líquido y se conoce como procedimiento de ventana. Con este procedimiento es posible efectuar una exploración reducida del espacio pericárdico, liberar adherencias pericárdicas, obtener biopsias del pericardio y dejar una sonda de drenaje, en caso de taponamiento no constrictivo y reversible (pericarditis por diálisis o idiopática).
La pericardiocentesis tiene ventajas como su rápida aplicabilidad, la facilidad de estudiar el líquido, la factibilidad de combinarla con estudios hemodinámicos y su eficacia en las 2/3 partes de los casos. Sin embargo, puede llegar a ser una medida salvadora en los casos de taponamiento cardiaco agudo. En los últimos años se ha vuelto un procedimiento más seguro, gracias al desarrollo de la ecocardiografía que permite restringir el procedimiento a los pacientes con derrame distribuido en las regiones anterior y apical del espacio pericárdico, evitando así las complicaciones por la punción a ciegas, efectuada bajo sospecha clínica.
La mejor ruta de acceso para la pericardiocentesis es la subxifoidea, pues evita lesiones de las arterias coronarias. Previa asepsia con alcohol yodatado y bajo anestesia local (en los casos de urgencia se omite la anestesia) se efectúa la punción 5 cm por debajo de la punta del apéndice xifoides y 1cm a la izquierda de la línea media, con la aguja en ángulo de 45 grados y dirigida hacia el hombro. Se ejerce succión continua mientras se introduce la aguja, deteniéndose cuando se perciba una sensación de vencimiento o resistencia lo indica la entrada al espacio pericárdico, hasta que se obtenga líquido o cuando se sientan las pulsaciones cardiacas transmitidas a la aguja, lo que significa que se ha que se ha tocado el miocardio y se debe retirar un poco la jeringa. El líquido pericárdico debe aspirarse con lentitud durante 10 a 30 minutos y enviarse a estudio al laboratorio clínico de acuerdo con el caso.
En condiciones electivas puede emplearse el electrocardiograma para evitar lesiones del miocardio. Se conecta un electrodo V unipolar (derivación precordial) a la aguja, punción previa asepsia y se observa el trazo electrocardiográfico. Al tocar el miocardio se presenta elevación del segmento ST, extrasístoles o deflexión negativa del QRS. En caso de taponamiento cardíaco por herida del corazón, la extracción de algunos centímetros de sangre mejora el retorno venoso y puede salvar al paciente. La sangre obtenida no coagula porque los movimientos del corazón la desfibrinan rápidamente; si la sangre obtenida se coagula es porque se puncionó una cavidad del corazón.
Referencias
- ↑ a b c Stashko, Eric; Meer, Jehangir M. (2022). Cardiac Tamponade. StatPearls Publishing. Consultado el 8 de septiembre de 2022.
- ↑ a b c d Appleton, Christopher; Gillam, Linda; Koulogiannis, Konstantinos (1 de noviembre de 2017). «Cardiac Tamponade». Cardiology Clinics. Pericardial Diseases (en inglés) 35 (4): 525-537. ISSN 0733-8651. doi:10.1016/j.ccl.2017.07.006. Consultado el 3 de noviembre de 2021.
- ↑ a b c d e f g h i Stashko, Eric; Meer, Jehangir M. (2021). Cardiac Tamponade. StatPearls Publishing. Consultado el 3 de noviembre de 2021.
- ↑ a b Sharma, Nitish K.; Waymack, James R. (2021). Acute Cardiac Tamponade. StatPearls Publishing. Consultado el 3 de noviembre de 2021.
- ↑ a b c Kearns, Mark J.; Walley, Keith R. (2018-05). «Tamponade: Hemodynamic and Echocardiographic Diagnosis». Chest 153 (5): 1266-1275. ISSN 1931-3543. PMID 29137910. doi:10.1016/j.chest.2017.11.003. Consultado el 3 de noviembre de 2021.
- ↑ a b c d e f g h i Vakamudi, Sneha; Ho, Natalie; Cremer, Paul C. (1 de enero de 2017). «Pericardial Effusions: Causes, Diagnosis, and Management». Progress in Cardiovascular Diseases. A New Renaissance in Pericardial Diseases (en inglés) 59 (4): 380-388. ISSN 0033-0620. doi:10.1016/j.pcad.2016.12.009. Consultado el 3 de noviembre de 2021.
- ↑ McLean, Anthony S. (20 de agosto de 2016). «Echocardiography in shock management». Critical Care 20: 275. ISSN 1364-8535. PMC 4992302. PMID 27543137. doi:10.1186/s13054-016-1401-7. Consultado el 3 de noviembre de 2021.
- ↑ a b c d Mattson Porth, Carol, ed. (noviembre de 2005). Pathophysiology: Concepts of Altered Health States (en inglés) (7th edición). Philadelphia: Lippincott Williams & Wilkins. ISBN 978-0781749886.
- ↑ Imazio, Massimo; Gaita, Fiorenzo; LeWinter, Martin (13 de octubre de 2015). «Evaluation and Treatment of Pericarditis: A Systematic Review». JAMA 314 (14): 1498-1506. ISSN 0098-7484. doi:10.1001/jama.2015.12763. Consultado el 3 de noviembre de 2021.
- ↑ Chang, Sung-A. (2017-11). «Tuberculous and Infectious Pericarditis». Cardiology Clinics 35 (4): 615-622. ISSN 1558-2264. PMID 29025551. doi:10.1016/j.ccl.2017.07.013. Consultado el 3 de noviembre de 2021.
- ↑ Nesheiwat, Zeid; Lee, John J. (2021). Uremic Pericarditis. StatPearls Publishing. Consultado el 3 de noviembre de 2021.
- ↑ * Isselbacher, E.M.; Cigarroa, J.E., Eagle, K.A. (1994). «Cardiac tamponade complicating proximal aortic dissection. Is pericardiocentesis harmful?». Circulation. 90: 2375-2378. Archivado desde el original el 24 de marzo de 2007. Consultado el 1 de septiembre de 2007.
- ↑ a b Figueras, J.; Cortadellas, J.; Soler-Soler, J. (2000-05). «Left ventricular free wall rupture: clinical presentation and management». Heart (British Cardiac Society) 83 (5): 499-504. ISSN 1468-201X. PMC 1760810. PMID 10768896. doi:10.1136/heart.83.5.499. Consultado el 3 de noviembre de 2021.
- ↑ *Meniconi, A; C H ATTENHOFER JOST, R JENNI (noviembre de 2000). «How to survive myocardial rupture after myocardial infarction». Heart 84 (5).
- ↑ Thibodeau, G.A.; Patton, K.T. (2003). Anatomy & Physiology.. Missouri: Mosby.
- ↑ a b Ivens, Emma L; Munt, Bradley I; Moss, Robert R (1 de agosto de 2007). «Pericardial disease: what the general cardiologist needs to know». Heart (British Cardiac Society) 93 (8): 993-1000. ISSN 1468-201X. PMC 1994428. PMID 17639117. doi:10.1136/hrt.2005.086587. Consultado el 6 de noviembre de 2021.
- ↑ a b c d e Agustín Contreras Carreto, Nilson; Torres Fraga, Martha; González Chon, Octavio; García López, Sandra (Julio-Septiembre 2005). «Introducción a la fisiología pericárdica». Médica Sur. Consultado el 6 de noviembre de 2021.
- ↑ a b c d e f Spodick, David H. (7 de octubre de 2009). «Acute Cardiac Tamponade». http://dx.doi.org/10.1056/NEJMra022643 (en inglés). doi:10.1056/nejmra022643. Consultado el 6 de noviembre de 2021.
- ↑ a b * Fornauer, Andrew; Narasimham L. Dasika, Joseph J. Gemmete, and Constantine Theoharis (Spring de 2003). «Pericardial Tamponade Complicating Central Venous Interventions». Journal of Vascular and Interventional Radiology. Archivado desde el original el 17 de octubre de 2007. Consultado el 1 de septiembre de 2007.
- ↑ SANCHEZ-SUEN, Kwok Ho y PADILLA-CUADRA, Juan Ignacio. Taponamiento pericárdico. Acta méd. costarric. [online]. mar. 2001, vol.43, no.1 [citado 01 septiembre de 2007], p.07-10. Disponible en la World Wide Web: [1]. ISSN 0001-6004.
- ↑ Dolan, B; Holt, L. (2000). Accident & Emergency: Theory into practice. Londres: Bailliere Tindall.
- ↑ a b Gwinnutt, C., Driscoll, P., ed. (2003). Trauma Resuscitation: The Team Approach (2 edición). Oxford: BIOS Scientific Publishers Ltd.
- ↑ McLean, Anthony S. (20 de agosto de 2016). «Echocardiography in shock management». Critical Care 20 (1): 275. ISSN 1364-8535. PMC 4992302. PMID 27543137. doi:10.1186/s13054-016-1401-7. Consultado el 6 de noviembre de 2021.
- ↑ Gómez Sáenz, J. T.; Gérez-Callejas, M. J.; Zangróniz Uruñuela, R.; Martínez Larios, A.; González Aguilera, J.; Martínez Soba, A. (1 de septiembre de 2012). «Alternancia eléctrica, patrón electrocardiográfico en el diagnóstico de enfermedad cardiaca grave». Medicina de Familia. SEMERGEN 38 (6): 400-404. ISSN 1138-3593. doi:10.1016/j.semerg.2011.09.014. Consultado el 6 de noviembre de 2021.
- ↑ a b Beygui, Farzin; Castren, Maaret; Brunetti, Natale Daniele; Rosell-Ortiz, Fernando; Christ, Michael; Zeymer, Uwe; Huber, Kurt; Folke, Fredrik et al. (1 de marzo de 2020). «Pre-hospital management of patients with chest pain and/or dyspnoea of cardiac origin. A position paper of the Acute Cardiovascular Care Association (ACCA) of the ESC.». European Heart Journal: Acute Cardiovascular Care (en inglés) 9 (1_suppl): 59-81. ISSN 2048-8726. doi:10.1177/2048872615604119. Consultado el 6 de noviembre de 2021.
- ↑ Kaniecki, David M. (1 de septiembre de 2019). «Pericardiocentesis in an Ambulance: A Case Report and Lessons Learned». Air Medical Journal (en inglés) 38 (5): 382-385. ISSN 1067-991X. PMID 31578979. doi:10.1016/j.amj.2019.07.008. Consultado el 6 de noviembre de 2021.
- ↑ Carlini', 'Caterina Chiara De. «Pericardiocentesis in cardiac tamponade: indications and practical aspects». www.escardio.org. Consultado el 6 de noviembre de 2021.
- ↑ a b Risti , A. D.; Imazio, M.; Adler, Y.; Anastasakis, A.; Badano, L. P.; Brucato, A.; Caforio, A. L. P.; Dubourg, O. et al. (7 de julio de 2014). «Triage strategy for urgent management of cardiac tamponade: a position statement of the European Society of Cardiology Working Group on Myocardial and Pericardial Diseases». European Heart Journal 35 (34): 2279-2284. ISSN 0195-668X. doi:10.1093/eurheartj/ehu217. Consultado el 6 de noviembre de 2021.
