Choque obstructivo
| Choque obstructivo | ||
|---|---|---|
| Especialidad | Cuidado crítico | |
| Síntomas | Dificultad para respirar, hipotensión, taquicardia | |
| Complicaciones | Daño de órganos, muerte | |
| Causas | Neumotórax a tensión; embolia pulmonar; taponamiento cardíaco; estenosis aórtica; pericarditis constrictiva; síndrome compartimental abdominal | |
| Diagnóstico | Observación de signos y síntomas; pruebas del sangre (el ácido láctico); ecocardiografía; radiografía del pecho o TC | |
| Tratamiento | Métodos de apoyo; métodos definitivos para aliviar la obstrucción | |
El choque obstructivo, o shock obstructivo, es una de las cuatro formas de choque circulatorio o shock.[1] Es causado por una obstrucción en la circulación de sangre.[2] La obstrucción puede ocurrir al nivel del corazón o los grandes vasos. Las causas más comunes incluyen embolia pulmonar, neumotórax a tensión, y taponamiento cardíaco.[3] Estas condiciones pueden ser mortales sin tratamiento rápido. Un paciente puede presentar con síntomas generales. Incluyen dificultad para respirar, dolor del pecho, o estado mental alterado. Signos por el examen físico son hipotensión, taquicardia, y las venas yugulares distendidas en el cuello.[1][4]
La fisiología de shock obstructivo es similar a la de choque cardíaco. Por esta razón, algunas referencias ponen los dos tipos debajo del mismo tema.[2] Sin embargo, hay que distinguir entre los dos, porque los tratamientos son distintos.[1][3]
La fisiología es compleja. En las dos clases de shock obstructivo y cardíaco, la capacidad del corazón a impulsar la sangre (el gasto cardíaco) está disminuida.[4] Al contrario del choque cardíaco, el choque obstructivo no es una disfunción del corazón mismo, es la obstrucción la que impide el flujo de sangre. La causa puede impedir la entrada (el retorno venoso) o la salida de sangre del corazón.[2][3][5] El reflujo de sangre es evidente como la distensión de la vena yugular en el cuello.[4]
Es importante identificar la causa para quitar la obstrucción, para que se pueda revertir el choque.[3] El diagnóstico del choque obstructivo es más o menos clínico. Se puede diagnosticar basado en los síntomas del paciente y los signos del examen físico. Se apoya el diagnóstico por análisis de sangre y imágenes como ecocardiografía.[6] El tratamiento incluye los métodos de apoyo como oxígeno y líquidos intravenosos.[3][6] Los tratamientos definitivos dependen de la causa, por ejemplo, el neumotórax a tensión requiere descompresión por aguja.[7]
Causas

Hay varias causas del choque obstructivo, incluyen embolia pulmonar, neumotórax a tensión, y taponamiento cardíaco. Otras causas son tumores que comprimen la vasculatura, estenosis aórtica, y el síndrome compartimental abdominal. Hay más condiciones que pueden resultar en el shock obstructivo, como la pericarditis constrictiva y trastornos de la aorta.[1][4]
Neumotórax a tensión
Un neumotórax ocurre cuando el aire acumula en la cavidad pleural. Normalmente, este espacio tiene presión negativa para permitir la expansión de los pulmones. Cuando el aire puede entrar sin salir, la presión aumenta.[5] La compresión del pulmón previene la ventilación normal. También puede comprimir y desplazar estructuras circundantes. Desplaza el mediastino y la tráquea al otro lado del pecho. Cuando esto ocurre, se llama neumotórax a tensión. La compresión del corazón y la vasculatura disminuye el retorno venoso y el gasto cardíaco. El resultado es la presión arterial baja (hipotensión) y el shock. Es peligroso porque puede resultar en el paro cardíaco y la muerte.[7]
Embolia pulmonar

La embolia pulmonar (EP) es un bloqueo de las arterias pulmonares.[8] La mortalidad de EP es aproximadamente 100,000 por año en los Estados Unidos. Es posible que sea más alta recientemente.[9] La embolia es típicamente un coágulo, pero puede ser aire o grasa en casos raros. En la mayoría de casos, el coágulo se origina en las venas de las piernas o la pelvis.[8] Se llama la trombosis venosa profunda (TVP).[10][11] Los factores de riesgo son cualesquiera condiciones que pueden causar la coagulación. Incluye enfermedades genéticas, trastornos autoimunes, el embarazo y el cáncer. Cirugías que requieren inmovilización aumentan el riesgo de EP.[12] Covid-19 también está asociada con la formación de coágulos.[13]
La obstrucción del coágulo aumenta la resistencia en la circulación pulmonar. Se llama resistencia vascular pulmonar. El flujo de sangre a los pulmones disminuye. El ventrículo derecho necesita bombear más fuerte. Si el coágulo es suficientemente grande, la insuficiencia cardíaca derecha resulta. El choque obstructivo y posiblemente la muerte siguen.[8]
Se puede clasificar EP según la gravedad. La embolia pulmonar masiva causa hipotensión y shock. En la clase de embolia pulmonar submasiva, es una que causa disfunción del corazón derecho sin hipotensión.[12]
Taponamiento cardíaco
.gif)
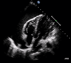
Un derrame pericárdico es la colección del fluido en la cavidad pericárdica. Cuando acumula, puede aumentar la presión en esta cavidad. Demasiada presión puede impedir la relleno del corazón con sangre. Por eso, el retorno venoso y el gasto cardíaco están disminuidos. Si suficiente grande a causar estas anormalidades, se llama taponamiento cardíaco. Hay varias trastornos que puede causar un derrame pericárdico y la taponamiento cardíaco. Incluyen infecciones, trauma, y el cáncer.[14]
El desarrollo de taponamiento depende en la magnitud y la cronicidad del derrame. Cuando acumula rápidamente, poco fluido puede causar el taponamiento cardíaco. Solamente 100 ml puede ser suficiente.[15] Sin embargo, si desarrolla durante un período más largo, un derrame pericárdico puede tener más fluido sin taponamiento. Este fenómeno ocurre porque el pericardio tiene tiempo para estirarse. En estos casos, el pericardio puede acomodar un litro o más.[16][17][18]
Signos y síntomas
La presión arterial baja (hipotensión) es un signo clave. Sin embargo, la hipotensión no siempre significa shock, y viceversa.[3] Un paciente puede tener una presión arterial normal. Taquicardia es común, como una respuesta del corazón a la presión baja. También se puede observar taquipnea e hipoxia. En el choque, el flujo de sangre a los tejidos y órganos vitales está disminuido. Por eso, la piel de las brazos y piernas puede estar fría. La producción de orina disminuye. Un paciente puede tener estado mental alterado debido al menos oxígeno al cerebro.[19]
La distensión de la vena yugular es un hallazgo clínico del choque obstructivo y cardíaco. No está presente en las otras formas de shock. Por eso, esta señal puede ayudar al médico en el proceso de diagnóstico.[3]
Hay otros signos y síntomas según la causa subyacente. La tríada de Beck consiste de hipotensión, distensión de las venas yugulares, y latidos de corazón distantes. Se observa esta tríada en los casos de taponamiento cardíaco. Otros signos de taponamiento incluyen el signo de Kussmaul y el pulso paradójico.[20] Por EKG, se puede ver el voltaje bajo y la alternancia eléctrica, debido al balanceo del corazón en el fluido.[18][20]
Durante el examen físico, el neumotórax se presenta con la ausencia de ruidos pulmonares al mismo lado del neumotórax. En neumotórax a tensión, la tráquea se desplaza al otro lado. También se puede observar menos movimiento del pecho con la respiración. El enfisema subcutáneo ocurre si el aire entre la piel.[21]
La embolia pulmonar presenta con dispnea e hipoxia. Un síntoma frecuente es dolor del pecho, peor con la inspiración. El dolor también puede ser similar a la angina debido a la disfunción del corazón derecho.[8] Otros síntomas incluyen síncope y hemoptisis.[22] Si haya una TVP, haría dolor, enrojecimiento, o hinchazón de la pierna.[10] Se puede evaluar la probabilidad de embolia pulmonar a través de varios criterios. La escala de Wells es uno de los criterios más utilizados. Se da puntos según los síntomas y factores de riesgo del paciente.[8][22]
Diagnóstico
La evaluación rápida del choque obstructivo es esencial. El diagnóstico exige una historia completa y un examen físico exhaustivo. Durante este proceso, hay que considerar que múltiples causas pueden contribuir al choque. Por ejemplo, una trauma al pecho puede causar la pérdida de sangre y un neumotórax también.[6]
Los signos vitales en el choque obstructivo son taquicardia, hipotensión, e hipoxia. Un examen físico debe incluir un examen de las venas yugulares en el cuello, un examen cardíaco y pulmonar, y la evaluación de la temperatura y el tono de la piel.[6] La respuesta a los líquidos intravenosos puede ayudar con el diagnóstico.[3] Las pruebas de laboratorio deben verificar los electrolitos, el recuento sanguíneo, y la función de los órganos como el hígado y los riñones. El ácido láctico se acumula en los casos de choque. Significa una respuesta metabólica a la falta de oxígeno en los tejidos del cuerpo. También puede ser uno de los signos iniciales de shock.[2] El ácido láctico se disminuye con tratamiento.[6]
Se debe utilizar el EKG también. Taquicardia es más común por EKG. Sin embargo, se puede demostrar otras anormalidades según la causa subyacente.[20][23] Se utiliza la ecocardiografía también.[6] Produce imágenes del corazón para ayudar en el diagnóstico de los cuatro tipos de shock. Se permite evaluar varios parámetros como la función de los ventrículos y válvulas.[24] El tamaño de la vena cava inferior indica si hay aspecto de hipovolemia.[6] En choque obstructivo, la vena cava sería dilatada.[24]
La ecocardiografía también evalúa por las causas de choque obstructivo. Detecta un derrame pericárdico con facilidad.[24][25] Además, en el taponamiento cardíaco, se puede ver el colapso de las cámaras del corazón.[20] En el caso de embolia pulmonar masiva o submasiva, se vería el ventrículo derecho dilatado. Otros signos ecocardiográficos son coágulos en el corazón derecho y el movimiento paradójico del tabique interventricular. Al otro lado, la angiografía por TC es la prueba preferida para diagnosticar la embolia pulmonar.[12]
Un radiografía de tórax puede diagnosticar el neumotórax a tensión rápidamente. Se demuestra la ausencia de marcas pulmonares. El ultrasonido tendría la falta del deslizamiento pulmonar. Sin embargo, estas pruebas no se deben tardar el tratamiento.[7]
Tratamiento
En cada tipo de shock, el tratamiento pronto es importante. Suele ocurrir al mismo tiempo del proceso diagnóstico. Retrasos en el tratamiento aumentan el riesgo de muerte. El tratamiento inicial se enfoca en la vía aérea, la respiración, y la circulación. Se provee oxígeno suplementario, y se realiza la intubación si sea necesaria.[6]
La administración de fluidos intravenosos en shock es importante. Pueden aumentar la presión arterial y mantener el flujo de sangre a los órganos.[2] También pueden mejorar el retorno venoso.[5] Se utiliza este beneficio en taponamiento cardíaco, en el cual el relleno del corazón es limitado por la presión pericárdica.[26] En este caso, fluidos intravenosos pueden incrementar el relleno del corazón derecho.[27] Sin embargo, se debe administrarlos con cuidado.[26] En otras causas de choque obstructivo, la administración de fluidos puede empeorar la condición.[3] Por ejemplo, en la embolia pulmonar, el ventrículo derecho no se puede acomodar más volumen.[27]
El tratamiento definitivo depende de la causa del shock obstructivo. Suele reversar el shock rápidamente. Por ejemplo, en el neumotórax a tensión, se realiza descompresión con aguja. Se pone un tubo de toracostomía también. Estos métodos permiten el drenaje del aire rápidamente.[3][7]
El taponamiento cardíaco exige descompresión urgente también.[3][22] Este procedimiento de pericardiocentesis drena el líquido para aliviar la presión al corazón. Se utiliza una aguja y a menudo la ecocardiografía.[20] Si no sea efectivo, se realizaría la cirugía.[22] Una ventana pericárdica quita parte del pericardio para continuar el drenaje del líquido.[28][29]
La embolia pulmonar masiva requiere la trombólisis o la embolectomía. Trombólisis disuelve el coágulo vía medicamentos como Alteplasa (tPA). También se puede realizarla por catéter para administrarlo directamente en la arteria pulmonar. El mayor riesgo de trombólisis es el sangrado peligroso. Por eso, se evalúa a los pacientes por los riesgos de hemorragia. La embolectomía es más invasiva y tiene resultados clínicos similares a los de trombólisis.[8][22]
Referencias
- ↑ a b c d Ärzteblatt, Deutscher Ärzteverlag GmbH, Redaktion Deutsches (2018). «The Nomenclature, Definition and Distinction of Types of Shock». Deutsches Ärzteblatt (en alemán). Consultado el 28 de octubre de 2021.
- ↑ a b c d e Doerschug KC, Schmidt GA. (2019). Shock: Diagnosis and Management.. McGraw Hill. Oropello JM, Pastores SM, Kvetan V. eds. Critical Care. Consultado el 20 de octubre de 2021.
- ↑ a b c d e f g h i j k Walley K.R. (2014). Hall J.B., Schmidt G.A., Kress J.P., ed. Shock (4a. edición). McGraw Hill. Principles of Critical Care. Consultado el 2021.
- ↑ a b c d Haseer Koya, Hayas; Paul, Manju (2021). Shock. StatPearls Publishing. Consultado el 30 de octubre de 2021.
- ↑ a b c Funk, Duane J.; Jacobsohn, Eric; Kumar, Anand (2013). «Role of the Venous Return in Critical Illness and Shock: Part II—Shock and Mechanical Ventilation». Critical Care Medicine (en inglés) 41 (2): 573-579. ISSN 0090-3493. doi:10.1097/CCM.0b013e31827bfc25. Consultado el 12 de noviembre de 2021.
- ↑ a b c d e f g h Vincent, Jean-Louis (2013). «Circulatory Shock». https://doi.org/10.1056/NEJMra1208943 (en inglés). doi:10.1056/nejmra1208943. Consultado el 2 de noviembre de 2021.
- ↑ a b c d Jalota, Ruchi; Sayad, Edouard (2021). Tension Pneumothorax. StatPearls Publishing. Consultado el 30 de octubre de 2021.
- ↑ a b c d e f Vyas, Vrinda; Goyal, Amandeep (2021). Acute Pulmonary Embolism. StatPearls Publishing. Consultado el 30 de octubre de 2021.
- ↑ Martin, Karlyn A.; Molsberry, Rebecca; Cuttica, Michael J.; Desai, Kush R.; Schimmel, Daniel R.; Khan, Sadiya S. (2020). «Time Trends in Pulmonary Embolism Mortality Rates in the United States, 1999 to 2018». Journal of the American Heart Association 9 (17): e016784. PMC 7660782. PMID 32809909. doi:10.1161/JAHA.120.016784. Consultado el 30 de octubre de 2021.
- ↑ a b Waheed, Sheikh M.; Kudaravalli, Pujitha; Hotwagner, David T. (2021). Deep Vein Thrombosis. StatPearls Publishing. Consultado el 7 de noviembre de 2021.
- ↑ «Tromboembolismo Venoso». NIH National Heart, Lung, and Blood Institute, Health Topics. Consultado el 7 de noviembre de 2021.
- ↑ a b c Sista, Akhilesh K.; Kuo, William T.; Schiebler, Mark; Madoff, David C. (2017). «Stratification, Imaging, and Management of Acute Massive and Submassive Pulmonary Embolism». Radiology 284 (1): 5-24. ISSN 0033-8419. doi:10.1148/radiol.2017151978. Consultado el 30 de octubre de 2021.
- ↑ Sakr, Yasser; Giovini, Manuela; Leone, Marc; Pizzilli, Giacinto; Kortgen, Andreas; Bauer, Michael; Tonetti, Tommaso; Duclos, Gary et al. (16 de septiembre de 2020). «Pulmonary embolism in patients with coronavirus disease-2019 (COVID-19) pneumonia: a narrative review». Annals of Intensive Care 10 (1): 124. ISSN 2110-5820. PMC 7492788. PMID 32953201. doi:10.1186/s13613-020-00741-0. Consultado el 30 de octubre de 2021.
- ↑ Sharma, Nitish K.; Waymack, James R. (2021). Acute Cardiac Tamponade. StatPearls Publishing. Consultado el 1 de noviembre de 2021.
- ↑ Willner, Daniel A.; Goyal, Amandeep; Grigorova, Yulia; Kiel, John (2021). Pericardial Effusion. StatPearls Publishing. Consultado el 8 de noviembre de 2021.
- ↑ Pérez-Casares, Alejandro; Cesar, Sergi; Brunet-Garcia, Laia; Sanchez-de-Toledo, Joan (24 de abril de 2017). «Echocardiographic Evaluation of Pericardial Effusion and Cardiac Tamponade». Frontiers in Pediatrics 5: 79. ISSN 2296-2360. PMC 5401877. PMID 28484689. doi:10.3389/fped.2017.00079. Consultado el 1 de noviembre de 2021.
- ↑ Ewer, Michael S.; Benjamin, Robert S.; Yeh, Edward T. H. (2003). «Metastatic involvement of cardiac structures». Holland-Frei Cancer Medicine. 6th edition (en inglés). Consultado el 8 de noviembre de 2021.
- ↑ a b Chen, Leon L. (2019). «Under pressure: Acute cardiac tamponade». Nursing Critical Care (en inglés) 14 (3): 35-37. ISSN 1558-447X. doi:10.1097/01.CCN.0000553086.79399.f0. Consultado el 8 de noviembre de 2021.
- ↑ Massaro A.F. (2018). Jameson J, Fauci AS, Kasper DL, Hauser SL, Longo DL, Loscalzo J., ed. Approach to the Patient with Shock. (20a edición). McGraw Hill. Harrison's Principles of Internal Medicine.
- ↑ a b c d e Stashko, Eric; Meer, Jehangir M. (2021). Cardiac Tamponade. StatPearls Publishing. Consultado el 2 de noviembre de 2021.
- ↑ Roberts, Derek J.; Leigh-Smith, Simon; Faris, Peter D.; Blackmore, Christopher; Ball, Chad G.; Robertson, Helen Lee; Dixon, Elijah; James, Matthew T. et al. (2015-06). «Clinical Presentation of Patients With Tension Pneumothorax: A Systematic Review». Annals of Surgery (en inglés estadounidense) 261 (6): 1068-1078. ISSN 0003-4932. doi:10.1097/SLA.0000000000001073. Consultado el 2 de noviembre de 2021.
- ↑ a b c d e Konstantinides, Stavros V; Meyer, Guy; Becattini, Cecilia; Bueno, Héctor; Geersing, Geert-Jan; Harjola, Veli-Pekka; Huisman, Menno V; Humbert, Marc et al. (31 de agosto de 2019). «2019 ESC Guidelines for the diagnosis and management of acute pulmonary embolism developed in collaboration with the European Respiratory Society (ERS)». European Heart Journal 41 (4): 543-603. ISSN 0195-668X. doi:10.1093/eurheartj/ehz405. Consultado el 7 de noviembre de 2021.
- ↑
- ↑ a b c McLean, Anthony S. (20 de agosto de 2016). «Echocardiography in shock management». Critical Care 20 (1): 275. ISSN 1364-8535. PMC 4992302. PMID 27543137. doi:10.1186/s13054-016-1401-7. Consultado el 4 de noviembre de 2021.
- ↑ Ivens, Emma L.; Munt, Bradley I.; Moss, Robert R. (1 de agosto de 2007). «Pericardial disease: what the general cardiologist needs to know». Heart (en inglés) 93 (8): 993-1000. ISSN 1355-6037. PMC 1994428. PMID 17639117. doi:10.1136/hrt.2005.086587. Consultado el 7 de noviembre de 2021.
- ↑ a b Kearns, Mark J.; Walley, Keith R. (1 de mayo de 2018). «Tamponade: Hemodynamic and Echocardiographic Diagnosis». CHEST (en inglés) 153 (5): 1266-1275. ISSN 0012-3692. PMID 29137910. doi:10.1016/j.chest.2017.11.003. Consultado el 7 de noviembre de 2021.
- ↑ a b Marik, Paul E.; Weinmann, Maxwell (2019-06). «Optimizing fluid therapy in shock». Current Opinion in Critical Care (en inglés estadounidense) 25 (3): 246-251. ISSN 1070-5295. doi:10.1097/MCC.0000000000000604. Consultado el 7 de noviembre de 2021.
- ↑ Adler, Yehuda; Charron, Philippe; Imazio, Massimo; Badano, Luigi; Barón-Esquivias, Gonzalo; Bogaert, Jan; Brucato, Antonio; Gueret, Pascal et al. (7 de noviembre de 2015). «2015 ESC Guidelines for the diagnosis and management of pericardial diseases: The Task Force for the Diagnosis and Management of Pericardial Diseases of the European Society of Cardiology (ESC)Endorsed by: The European Association for Cardio-Thoracic Surgery (EACTS)». European Heart Journal 36 (42): 2921-2964. ISSN 0195-668X. PMC 7539677. PMID 26320112. doi:10.1093/eurheartj/ehv318. Consultado el 8 de noviembre de 2021.
- ↑ Imazio, Massimo; Adler, Yehuda (2013-04). «Management of pericardial effusion». European Heart Journal 34 (16): 1186-1197. ISSN 1522-9645. PMID 23125278. doi:10.1093/eurheartj/ehs372. Consultado el 8 de noviembre de 2021.
Enlaces externos
- Esta obra contiene una traducción parcial derivada de «Obstructive shock» de Wikipedia en inglés, concretamente de esta versión, publicada por sus editores bajo la Licencia de documentación libre de GNU y la Licencia Creative Commons Atribución-CompartirIgual 4.0 Internacional.