Tromboembolismo pulmonar
| Tromboembolia pulmonar | ||
|---|---|---|
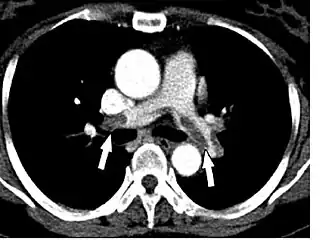
![]() TAC helicoidal con contraste en el que se aprecian defectos de replección en las ramas principales de las arterias pulmonares, debido a embolismos crónicos y agudos. | ||
| Especialidad |
cardiología hematología neumología | |



La tromboembolia pulmonar o tromboembolismo pulmonar[1] es un bloqueo de una arteria en los pulmones por una sustancia que se ha movido desde otra parte del cuerpo a través del torrente sanguíneo (trombo). Los síntomas de una TEP pueden incluir dificultad para respirar (disnea), dolor en el pecho, especialmente al inhalar y toser sangre (hemoptisis). También pueden presentarse síntomas como: un coágulo de sangre en la pierna, una pierna enrojecida, caliente, hinchada y adolorida. Los signos de una TEP incluyen niveles bajos de oxígeno en la sangre, respiración acelerada (taquipnea), aceleración en la frecuencia cardíaca (taquicardia) y, algunas veces, fiebre leve. Los casos graves pueden provocar desmayos, presión arterial anormalmente baja (hipotensión), choque obstructivo, y muerte súbita.
La TEP suele ser el resultado de un coágulo de sangre en la pierna, el cual llega al pulmón. El riesgo de coágulos de sangre aumenta con el cáncer, el reposo prolongado en cama, el tabaquismo, los accidentes cerebrovasculares, ciertas afecciones genéticas, los medicamentos a base de estrógenos, el embarazo, la obesidad y después de algunos tipos de cirugía. Una pequeña proporción de casos se debe a la embolización de aire, grasa o líquido amniótico. El diagnóstico se basa en los signos y síntomas en combinación con los resultados de las pruebas, si el riesgo es bajo, un análisis de sangre conocido como dímero D puede descartar la afección, en caso contrario, un CT con angiografía pulmonar, pulmonar de ventilación/perfusión de exploración, o ultrasonido de las piernas Doppler puede confirmar el diagnóstico. En conjunto, la trombosis venosa profunda y la TEP se conocen como tromboembolismo venoso (TEV).
Los esfuerzos para prevenir la TEP incluyen: comenzar a moverse lo antes posible después de la cirugía, ejercicios para la parte inferior de la pierna durante los períodos en los que se está sentado y el uso de anticoagulantes después de algunos tipos de cirugía. El tratamiento consiste en anticoagulantes como heparina, warfarina o uno de los anticoagulantes orales de acción directa (ACOD), estos se recomiendan durante al menos tres meses. Los casos graves pueden requerir trombólisis con medicamentos como el activador del plasminógeno tisular (APT) que se administra vía intravenosa o mediante un catéter, y algunos pueden requerir cirugía (una trombectomía pulmonar). Si los anticoagulantes no son apropiados, se puede utilizar un filtro de vena cava temporal [dieciséis].
La tromboembolia pulmonar afecta a unas 430 000 personas cada año en Europa, mientras que en los Estados Unidos, ocurren entre 300 000 y 600 000 casos cada año y se le atribuyen al menos 40 000 muertes. Las tasas son similares en hombres y mujeres, aunque se vuelven más comunes a medida que las personas envejecen y se asocian con enfermedades de tipo crónico degenerativa.
Signos y síntomas
Los síntomas de la embolia pulmonar suelen ser de aparición repentina y pueden incluir uno o muchos de los siguientes: disnea (dificultad para respirar), taquipnea (respiración rápida), dolor en el pecho de naturaleza "pleurítica" (que empeora al respirar), tos y hemoptisis (tosiendo sangre). Los casos más graves pueden incluir signos como cianosis (coloración azul, generalmente de los labios y los dedos), colapso e inestabilidad circulatoria debido a la disminución del flujo sanguíneo a través de los pulmones y hacia el lado izquierdo del corazón. Aproximadamente el 15 % de todos los casos de muerte súbita son atribuibles a la TEP. Si bien la TEP puede presentarse con síncope, menos del 1 % de los casos de síncope se deben a esta.
En el examen físico, los pulmones suelen ser normales. Ocasionalmente, se puede escuchar un roce de fricción pleural sobre el área afectada del pulmón (principalmente en TEP con infarto). Algunas veces se presenta un derrame pleural que es exudativo, el cual es detectable por la disminución de la nota de percusión, sonidos respiratorios audibles y resonancia vocal. La tensión en el ventrículo derecho puede detectarse como una elevación paraesternal izquierda, un componente pulmonar fuerte del segundo ruido cardíaco y/o aumento de la presión venosa yugular. También puede haber fiebre baja, particularmente si hay hemorragia pulmonar o infarto asociados.
Como los émbolos pulmonares más pequeños tienden a alojarse en áreas más periféricas sin circulación colateral, es más probable que causen infarto pulmonar y derrames pequeños (ambos dolorosos), pero no hipoxia, disnea o inestabilidad hemodinámica como taquicardia. Los TEP más grandes, que tienden a alojarse en el centro, generalmente causan disnea, hipoxia, presión arterial baja, frecuencia cardíaca rápida y desmayos, pero a menudo son indoloras ya que no hay infarto de pulmón debido a la circulación colateral. La presentación clásica de la TEP con dolor pleurítico, disnea y taquicardia probablemente se deba a una gran embolia fragmentada que causa TEP tanto grandes como pequeñas. Por lo tanto, los TPE pequeños a menudo se pasan por alto ya que causan dolor pleurítico solo sin ningún otro hallazgo y los PE grandes a menudo se pasan por alto porque son indoloros e imitan otras afecciones que a menudo causan cambios en el ECG y pequeños aumentos en los niveles de troponina y péptidos natriuréticos cerebrales.
Las TEP pueden ser descritas como masivas, sumisas y no masivas según los signos y síntomas clínicos. Aunque las definiciones exactas de estos no están claras, una definición aceptada de TEP masiva es aquella en la que hay inestabilidad hemodinámica, como presión arterial baja sostenida, frecuencia cardíaca lenta o falta de pulso.
Factores de riesgo
Aproximadamente el 90 % de los émbolos se deben a trombosis venosa profunda (TVP) proximal de la pierna o trombosis de la vena pélvica. La TVP tiene riesgo de desplazarse y migrar a la circulación pulmonar. Las condiciones generalmente se consideran como un continuo denominado tromboembolismo venoso (TEV).
El TEV es mucho más común en individuos inmunodeprimidos, así como en individuos con comorbilidades que incluyen:
- Aquellos que se someten a cirugía ortopédica en o debajo de la cadera sin profilaxis. Esto se debe a la inmovilidad durante o después de la cirugía, así como al daño venoso durante la cirugía.
- Pacientes con cáncer de páncreas y de colon (otras formas de cáncer también pueden ser factores, pero estos son los más comunes). Esto se debe a la liberación de procoagulantes.
- El riesgo de TEV es mayor durante el diagnóstico y el tratamiento, pero disminuye en remisión.
- Pacientes con tumores de grado alto.
- Mujeres embarazadas. A medida que el cuerpo se sitúa en lo que se conoce como "estado de hipercoagulabilidad", el riesgo de hemorragia durante el parto disminuye y se regula mediante una mayor expresión de los factores VII, VIII, X, Von Willebrand y fibrinógeno.
- Aquellos que toman medicación con estrógenos. El desarrollo de la trombosis se debe clásicamente a un grupo de causas denominadas tríada de Virchow (alteraciones en el flujo sanguíneo, factores en la pared de los vasos y factores que afectan las propiedades de la sangre). A menudo, está presente más de un factor de riesgo.
- Alteraciones en el flujo sanguíneo: inmovilización (después de la cirugía, vuelo de larga distancia), lesión, embarazo (también procoagulante), obesidad (también procoagulante), cáncer (también procoagulante)
- Factores en la pared del vaso: cirugía y cateterismos que causan lesión directa ("lesión endotelial").
- Factores que afectan las propiedades de la sangre (estado procoagulante): Medicamentos que contienen estrógenos (terapia hormonal transgénero, terapia hormonal para la menopausia y anticonceptivos hormonales). Trombofilia genética (factor V Leiden, mutación de protrombina G20210A, deficiencia de proteína C, deficiencia de proteína S, deficiencia de antitrombina, hiperhomocisteinemia y trastornos del plasminógeno / fibrinólisis). Trombofilia adquirida (síndrome antifosfolípido, síndrome nefrótico, hemoglobinuria paroxística nocturna)
- Cáncer (debido a la secreción de procoagulantes).
Aunque la mayoría de las embolias pulmonares son el resultado de la trombosis venosa profunda (TVP) proximal de la pierna, todavía existen muchos otros factores de riesgo que también pueden resultar en una embolia pulmonar.
Los factores de riesgo
- Venas varicosas causadas por daño vascular
- Hipertensión pulmonar
- Diabetes mellitus
- Fracturas traumáticas de cadera que inmovilizan al paciente
- Fijación articular (principalmente en las piernas)
Causas subyacentes
Después de un primer episodio de TEP, la búsqueda de causas secundarias suele ser breve. Solo cuando ocurre una segunda TEP y especialmente cuando esto sucede mientras aún se encuentra bajo terapia anticoagulante, se emprende una búsqueda adicional de las condiciones subyacentes. Esto incluirá pruebas ("cribado de trombofilia") para la mutación del factor V Leiden, anticuerpos antifosfolípidos, proteína C y S y niveles de antitrombina, y más tarde mutación de protrombina, mutación de MTHFR, concentración de factor VIII y anomalías de coagulación hereditarias más raras.
Diagnóstico
Para diagnosticar una embolia pulmonar, se recomienda una revisión de los criterios clínicos para determinar la necesidad de pruebas. En los que tienen un riesgo bajo, tienen menos de 50 años, frecuencia cardíaca inferior a 100 latidos por minuto, nivel de oxígeno superior al 94 % en el aire ambiente y sin hinchazón de las piernas, tos con sangre, cirugía o traumatismo en el último cuatro semanas, coágulos de sangre previos o uso de estrógenos, por lo general no se necesitan más pruebas.
En situaciones con personas de mayor riesgo, se necesitan más pruebas. Un angiograma pulmonar por TC (CTPA) es el método más recomendado para el diagnóstico de una embolia pulmonar debido a su fácil administración y precisión. Aunque se prefiere un CTPA, también se pueden realizar otras pruebas. Por ejemplo, se puede utilizar una ecografía por compresión proximal de miembros inferiores (CUS). Esta es una prueba que se utiliza principalmente como prueba de confirmación, lo que significa que confirma un análisis previo que muestra la presencia o sospecha de una embolia pulmonar. Según un estudio transversal, las pruebas CUS tienen una sensibilidad del 41 % y una especificidad del 96 %.
Si hay inquietudes, a esto le siguen pruebas para determinar la probabilidad de poder confirmar un diagnóstico mediante imágenes, seguido de imágenes si otras pruebas han demostrado que existe la posibilidad de un diagnóstico de TEP.
El diagnóstico de TEP se basa principalmente en criterios clínicos validados combinados con pruebas selectivas porque la presentación clínica típica (dificultad para respirar y dolor en el pecho) no se puede diferenciar definitivamente de otras causas de dolor en el pecho y dificultad para respirar. La decisión de realizar imágenes médicas se basa en el razonamiento clínico, es decir, el historial médico, los síntomas y los hallazgos del examen físico, seguidos de una evaluación de la probabilidad clínica.
Prueba de probabilidad
El método que se utiliza comúnmente para predecir la probabilidad clínica es la puntuación de Wells, una regla de predicción clínica cuyo uso se complica por la disponibilidad de múltiples versiones. En 1995, Philip Steven Wells desarrolló inicialmente una regla de predicción (basada en una búsqueda bibliográfica) para predecir la probabilidad de TEP, basándose en criterios clínicos. La regla de predicción se revisó en 1998. Esta regla de predicción se revisó aún más cuando se simplificó durante una validación por Wells et al. en 2000, En la publicación de 2000, Wells propuso dos sistemas de puntuación diferentes utilizando puntos de corte de 2 o 4 con la misma regla de predicción. En 2001, Wells publicó resultados utilizando el límite más conservador de 2 para crear tres categorías. Se propuso una versión adicional, la "versión ampliada modificada", que utiliza el límite más reciente de 2, pero que incluye los resultados de los estudios iniciales de Wells. Más recientemente, un estudio posterior volvió al uso anterior de Wells de un límite de 4 puntos para crear solo dos categorías.
Hay reglas de predicción adicionales para PE, como la regla de Ginebra. Más importante aún, el uso de cualquier regla se asocia con la reducción del tromboembolismo recurrente.
La puntuación de Wells
- TVP clínicamente sospechada - 3,0 puntos
- El diagnóstico alternativo es menos probable que la Embolia Pulmonar (EP): 3,0 puntos
- Taquicardia (frecuencia cardíaca > 100) - 1,5 puntos
- Inmovilización (≥ 3d) / cirugía en las cuatro semanas anteriores - 1,5 puntos
- Historial de TVP o EP - 1,5 puntos
- Hemoptisis - 1,0 puntos
- Malignidad (con tratamiento dentro de los seis meses) o paliativo - 1,0 puntos
Interpretación tradicional:
- Puntuación > 6,0 - Alta (probabilidad del 59 % según los datos agrupados)
- Puntaje de 2,0 a 6,0 - Moderado (probabilidad del 29 % basada en datos agrupados)
- Puntuación < 2,0 - Baja (probabilidad del 15 % según los datos agrupados)
Interpretación alternativa:
- Puntuación > 4 - Probabilidad de EP. Considere la posibilidad de obtener imágenes de diagnóstico.
- Puntuación 4 o menos - PE poco probable. Considere el dímero D para descartar la TEP.
Los investigadores de PIOPED (Prospective Investigation of Pulmonary Embolism Diagnosis) publicaron recomendaciones para un algoritmo de diagnóstico; sin embargo, estas recomendaciones no reflejan la investigación que utiliza (TCMD:Multidetector computed tomography) 64 cortes. Estos investigadores recomendaron:
- Probabilidad clínica baja
Si el dímero D es negativo, se excluye la PE. Si el dímero D es positivo, obtenga una TCMD y base el tratamiento en los resultados.
- Probabilidad clínica moderada
Si el dímero D es negativo, se excluye la PE. Sin embargo, a los autores no les preocupaba que una TCMD negativa con dímero D negativo en este contexto tuviera una probabilidad del 5 % de ser falsa. Es de suponer que la tasa de error del 5 % se reducirá, ya que la TCMD de 64 cortes se utiliza con más frecuencia. Si el dímero D es positivo, obtenga una TCMD y base el tratamiento en los resultados.
- Alta probabilidad clínica
Continúe con la TCMD. Si es positivo, trate, si es negativo, se necesitan más pruebas para excluir la TEP. Un dímero D de menos de 750 μg/L no descarta la TEP en aquellos que están en alto riesgo.
Criterios para descartar embolia pulmonar
Los criterios de descarte de embolia pulmonar (PERC= Pulmonary embolism rule-out criteria) ayudan a evaluar a las personas en las que se sospecha, pero es poco probable una embolia pulmonar. A diferencia de la puntuación de Wells y la puntuación de Ginebra, que son reglas de predicción clínica destinadas a estratificar el riesgo de las personas con sospecha de TEP, la regla PERC está diseñada para descartar el riesgo de TEP en las personas cuando el médico ya las ha estratificado en una categoría de bajo riesgo.
Las personas en esta categoría de bajo riesgo sin ninguno de estos criterios pueden no someterse a más pruebas para la TEP: baja saturación de oxígeno - SaO2 < 95 %, hinchazón unilateral de la pierna, tos con sangre, TVP o EP previa, cirugía o trauma reciente, edad > 50, uso de hormonas, frecuencia cardíaca rápida. El fundamento de esta decisión es que las pruebas adicionales (específicamente la angiografía por tomografía computarizada del tórax) pueden causar más daño (debido a la exposición a la radiación y al medio de contraste) que el riesgo de EP. La regla PERC tiene una sensibilidad del 97,4 % y una especificidad del 21,9 % con una tasa de falsos negativos del 1,0 % (16/1666).
Análisis de sangre
En personas con una sospecha baja o moderada de TEP, un nivel de dímero D normal (mostrado en un análisis de sangre) es suficiente para excluir la posibilidad de TEP trombótica, con un riesgo de eventos tromboembólicos a los tres meses del 0,14 %. El dímero D es muy sensible, pero no específico (especificidad alrededor del 50 %). En otras palabras, un dímero D positivo no es sinónimo de PE, pero un dímero D negativo es, con un buen grado de certeza, una indicación de ausencia de PE. Una probabilidad preprueba baja también es valiosa para descartar TEP. El valor de corte típico es de 500 μg/L, aunque varía según el ensayo. Sin embargo, en personas mayores de 50 años, se recomienda cambiar el valor de corte a la edad de la persona multiplicado por 10 μg/L (teniendo en cuenta el ensayo que se ha utilizado), ya que disminuye el número de pruebas positivas falsas sin perder ninguna prueba adicional. casos de EP.
Cuando se sospecha una TEP, se realizan varios análisis de sangre para descartar causas secundarias importantes de TEP. Esto incluye un hemograma completo, estado de coagulación (PT, aPTT, TT) y algunas pruebas de detección (velocidad de sedimentación globular, función renal, enzimas hepáticas, electrolitos). Si uno de estos es anormal, es posible que se justifiquen más investigaciones al respecto.
Los niveles de troponina aumentan entre un 16 y un 47 % con la embolia pulmonar.
Imágenes
En las personas típicas que no se sabe que tienen un alto riesgo de TEP, las imágenes son útiles para confirmar o excluir un diagnóstico de TEP después de que se utilicen pruebas de primera línea más simples. Las sociedades médicas recomiendan pruebas como el dímero D para proporcionar primero evidencia que respalde la necesidad de imágenes, y las imágenes se realizarían si otras pruebas confirmaran una probabilidad moderada o alta de encontrar evidencia para respaldar una diagnóstico de EP.
La angiografía pulmonar por TC es la prueba de diagnóstico por imagen de primera línea recomendada en la mayoría de las personas.
La ecografía de las piernas puede confirmar la presencia de un EP, pero no puede descartarlo.
Angiografía pulmonar por TC
La angiografía pulmonar por CT (CTPA) es una angiografía pulmonar obtenida mediante tomografía computarizada (CT) con radio contraste en lugar de cateterismo del corazón derecho. Sus ventajas son que es preciso, no invasivo, está disponible con mayor frecuencia y puede identificar otros trastornos pulmonares en caso de que no haya embolia pulmonar. La precisión y la naturaleza no invasiva del CTPA también lo hacen ventajoso para las mujeres embarazadas.
La evaluación de la precisión de la angiografía pulmonar por TC se ve obstaculizada por los rápidos cambios en el número de filas de detectores disponibles en las máquinas de TC multidetector (TCMD). Según un estudio de cohorte, la TC en espiral de corte único puede ayudar a diagnosticar la detección en personas con sospecha de embolia pulmonar. En este estudio, la sensibilidad fue del 69 % y la especificidad fue del 84 %. En este estudio, que tuvo una prevalencia de detección, fue del 32 %, el valor predictivo positivo del 67 % y el valor predictivo negativo del 85,2 %. Sin embargo, los resultados de este estudio pueden estar sesgados debido a un posible sesgo de incorporación, ya que la tomografía computarizada fue la herramienta de diagnóstico final en personas con embolia pulmonar. Los autores señalaron que una tomografía computarizada de un solo corte negativo es insuficiente para descartar una embolia pulmonar por sí sola. Un estudio separado con una mezcla de escáneres de 4 cortes y 16 cortes reportó una sensibilidad del 83 % y una especificidad del 96 %, lo que significa que es una buena prueba para descartar una embolia pulmonar si no se ve en las imágenes y que es muy bueno para confirmar que hay una embolia pulmonar si se ve. Este estudio señaló que se necesitan pruebas adicionales cuando la probabilidad clínica es inconsistente con los resultados de las imágenes. La CTPA no es inferior a la exploración VQ e identifica más émbolos (sin mejorar necesariamente el resultado) en comparación con la exploración VQ.
Exploración de ventilación / perfusión
Gammagrafía de ventilación-perfusión
(A) Después de la inhalación de 20 mCi de gas Xenón-133, se obtuvieron imágenes gammagráficas en proyección posterior, mostrando una ventilación uniforme a los pulmones.
(B) Después de la inyección intravenosa de 4 mCi de albúmina marcada con tecnecio -99m, imágenes gammagráficas que se muestran aquí en la proyección posterior. Esta y otras vistas mostraron una disminución de la actividad en varias regiones. Una exploración de ventilación/perfusión (o exploración V/Q o gammagrafía pulmonar) muestra que algunas áreas del pulmón están siendo ventiladas, pero no perfundidas con sangre (debido a la obstrucción por un coágulo). Este tipo de examen es tan preciso como la TC multicorte, pero se utiliza menos debido a la mayor disponibilidad de la tecnología TC. Es particularmente útil en personas que tienen alergia al medio de contraste yodado, función renal deteriorada o están embarazadas (debido a su menor exposición a la radiación en comparación con la TC). La prueba se puede realizar con imágenes bidimensionales planas o con tomografía computarizada por emisión de fotón único (SPECT) que permite la obtención de imágenes tridimensionales. Los dispositivos híbridos que combinan SPECT y CT (SPECT/CT) permiten además la caracterización anatómica de cualquier anomalía.
Pruebas de diagnóstico / pruebas no diagnósticas de baja probabilidad
Pruebas que se realizan con frecuencia y que no son sensibles a la TEP, pero que pueden ser diagnósticas.
- Las radiografías de tórax a menudo se realizan en personas con dificultad para respirar para ayudar a descartar otras causas, como enfermedad cardíaca hipertensiva con insuficiencia cardíaca congestiva y fractura de costillas. Las radiografías de tórax en la TEP rara vez son normales, pero por lo general carecen de signos que sugieran el diagnóstico de TEP (por ejemplo, signo de Westermark, joroba de Hampton).
- Ecografía de piernas, también conocida como doppler de piernas, en busca de trombosis venosa profunda (TVP). La presencia de TVP, como se muestra en la ecografía de las piernas, es en sí misma suficiente para justificar la anticoagulación, sin requerir la V/Q o la tomografía computarizada en espiral (debido a la fuerte asociación entre TVP y TEP). Este puede ser un enfoque válido en el embarazo, en el que las otras modalidades aumentarían el riesgo de defectos de nacimiento en el feto. Sin embargo, una gammagrafía negativa no descarta la TEP, y es posible que se requiera una gammagrafía con dosis bajas de radiación si se considera que la madre tiene un alto riesgo de tener una embolia pulmonar. Por lo tanto, el uso principal de la ecografía de las piernas son en aquellos con síntomas clínicos que sugieran trombosis venosa profunda.
Angiografía pulmonar fluoroscópica
Históricamente, el estándar de oro para el diagnóstico de TEP era la angiografía pulmonar por fluoroscopia, pero ha caído en desuso con la mayor disponibilidad de técnicas no invasivas que ofrecen una precisión diagnóstica similar.
Electrocardiograma
El uso principal del electrocardiograma (EKG) es descartar otras causas de dolor en el pecho. Un EKG se realiza de forma rutinaria en personas con dolor en el pecho para diagnosticar rápidamente los infartos de miocardio (ataques cardíacos), Síndromes coronarios agudos (SICA), Angina de pecho, un diagnóstico diferencial importante en una persona con dolor en el pecho. Si bien pueden ocurrir ciertos cambios en el EKG con la TEP, ninguno es lo suficientemente específico como para confirmarlo o lo suficientemente sensible como para descartar el diagnóstico. Un EKG puede mostrar signos de distensión cardíaca derecha o cor pulmonale agudo en casos de TEP grandes. Los signos clásicos son una onda S grande en la derivación I, una onda Q grande en la derivación III y una onda T invertida en la derivación III (S1Q3T3), que se presenta en el 12-50 % de las personas con el diagnóstico, pero también ocurre en el 12 % sin el diagnóstico.
Esto está presente ocasionalmente (ocurre en hasta el 20 % de las personas), pero también puede ocurrir en otras afecciones pulmonares agudas y, por lo tanto, tiene un valor diagnóstico limitado. Los signos que se observan con más frecuencia en el EKG son taquicardia sinusal, desviación del eje a la derecha y bloqueo de rama derecha del Has de His (BRDHH). Sin embargo, la taquicardia sinusal todavía se encuentra solo en 8 a 69 % de las personas con TEP.
Los hallazgos del EKG asociados con émbolos pulmonares pueden sugerir un peor pronóstico, ya que los seis hallazgos identificados con tensión del VD en el EKG (frecuencia cardíaca > 100 latidos por minuto, S1Q3T3, ondas T invertidas en las derivaciones V1-V4, elevación del ST en aVR, bloqueo completo de rama derecha del Has de His (BRDHH) y fibrilación auricular) se asocian con un mayor riesgo de shock circulatorio y muerte.
Los casos con T invertida en las derivaciones V1-3 se sospechan con TEP o infarto de miocardio inferior o diafragmático. TPE en algunos casos muestran ondas T invertidas en las derivaciones II y aVF, pero los casos de infarto de miocardio inferior no muestran ondas T invertidas en la segunda y aVF.
Ecocardiografía
En la TEP masiva y sub-masiva, la disfunción del lado derecho del corazón puede verse en la ecocardiografía, una indicación de que la arteria pulmonar está severamente obstruida y el ventrículo derecho, una bomba de baja presión, no puede igualar la presión. Algunos estudios sugieren que este hallazgo puede ser una indicación de trombólisis. No todas las personas con una embolia pulmonar (sospechada) requieren un ecocardiograma, pero las elevaciones de las troponinas cardíacas o del péptido natriurético cerebral pueden indicar tensión cardíaca y justificar un ecocardiograma, y ser importantes en el pronóstico.
La apariencia específica del ventrículo derecho en la ecocardiografía se denomina signo de McConnell. Este es el hallazgo de acinesia de la pared media libre, pero un movimiento normal del vértice. Este fenómeno tiene una sensibilidad del 77 % y una especificidad del 94 % para el diagnóstico de embolia pulmonar aguda en el contexto de disfunción ventricular derecha.
Prevención
La embolia pulmonar puede prevenirse en personas con factores de riesgo. Las personas ingresadas en el hospital pueden recibir medicamentos preventivos, que incluyen heparina no fraccionada, heparina de bajo peso molecular (HBPM) o fondaparinux, y medias antitrombosis para reducir el riesgo de una TVP en la pierna que podría desprenderse y migrar a los pulmones.
Una vez completada la anticoagulación en aquellos con TEP previa, la aspirina a largo plazo es útil para prevenir la recurrencia.
Tratamiento
La terapia con anticoagulantes es el pilar del tratamiento. Es posible que se requieran tratamientos de apoyo agudos, como oxígeno o analgesia. A menudo, las personas ingresan en el hospital en las primeras etapas del tratamiento y tienden a permanecer bajo atención hospitalaria hasta que el INR haya alcanzado niveles terapéuticos (si se usa warfarina). Sin embargo, cada vez más, los casos de bajo riesgo se tratan en casa de una manera que ya es común en el tratamiento de la Trombosis venosa profunda. La evidencia que respalda un enfoque frente al otro es débil.[2]
Anticoagulación
La terapia con anticoagulantes es el pilar del tratamiento. Durante muchos años, los antagonistas de la vitamina K (warfarina o, con menor frecuencia, acenocumarol o fenprocumón) han sido la piedra angular. Como los antagonistas de la vitamina K no actúan de inmediato, el tratamiento inicial es con anticoagulantes inyectables de acción rápida: heparina no fraccionada (HNF), heparina de bajo peso molecular (HBPM) o fondaparinux, mientras que los antagonistas de la vitamina K por vía oral se inician y titulan (generalmente como parte de la hospitalización).
atención hospitalaria) al índice internacional normalizado, una prueba que determina la dosis.
En cuanto a los tratamientos inyectables, la HBPM puede reducir el sangrado entre las personas con embolia pulmonar en comparación con la HNF.
Según la misma revisión, [¿cuál?] la HBPM redujo la incidencia de complicaciones trombóticas recurrentes y redujo el tamaño del trombo en comparación con la heparina. No hubo diferencias en la mortalidad general entre los participantes tratados con HBPM y los tratados con heparina no fraccionada.[cita requerida]
Los antagonistas de la vitamina K requieren un ajuste de dosis frecuente y un control del índice internacional normalizado (INR). En PE, los INR entre 2,0 y 3,0 generalmente se consideran ideales. Si se produce otro episodio de EP con el tratamiento con warfarina, la ventana de INR puede aumentarse a, por ejemplo, 2,5-3,5 (a menos que existan contraindicaciones),[cita requerida] se puede cambiar la anticoagulación a un anticoagulante diferente, por ejemplo, HBPM.
En los últimos años, se han introducido muchos anticoagulantes que ofrecen una oferta similar a la de la warfarina, pero sin necesidad de ajustarla al INR. Estos tratamientos, conocidos como anticoagulantes orales de acción directa, se prefieren ahora a los antagonistas de la vitamina K según las directrices profesionales estadounidenses. Dos de estos (rivaroxabán y apixaban) no requieren tratamiento inicial con heparina o fondaparinux, mientras que dabigatrán y edoxabán sí. Una revisión Cochrane encontró que no hay evidencia de una diferencia entre los DTI orales (dabigatrán, rivaroxabán, edoxabán, apixabán) y la anticoagulación estándar en la prevención de la embolia pulmonar recurrente.
En las personas con cáncer que desarrollan embolia pulmonar, la terapia con un ciclo de HBPM se prefiere a la warfarina u otros anticoagulantes orales. De manera similar, las mujeres embarazadas son tratadas con heparina de bajo peso molecular hasta después del parto para evitar los efectos teratogénicos conocidos de la warfarina, especialmente en las primeras etapas del embarazo, pero se puede usar durante la lactancia.
La terapia de anticoagulación generalmente se continúa durante 3 a 6 meses, o "de por vida" si ha habido TVP o EP previas, o no está presente ninguno de los factores de riesgo transitorios habituales. En aquellos sin una causa conocida que se pueda revertir, 2 años de tratamiento pueden ser mejores que 6 meses. Para aquellos con PE pequeñas (conocidas como PE subsegmentarias) se desconocen los efectos de la anticoagulación, ya que no se ha estudiado adecuadamente hasta 2020.
Trombólisis
La TEP masiva que causa inestabilidad hemodinámica (shock obstructivo y / o presión arterial baja, definida como una presión arterial sistólica < 90 mmHg o una caída de presión de 40 mmHg durante > 15 min si no es causada por arritmia, hipovolemia o sepsis de nueva aparición) es una indicación para la trombólisis, la destrucción enzimática del coágulo con medicación. En esta situación, es el mejor tratamiento disponible en aquellos sin contraindicaciones y está respaldado por guías clínicas. También se recomienda en pacientes con paro cardíaco con una TEP conocida. La trombólisis dirigida por catéter (CDT) es una técnica nueva que se ha encontrado relativamente segura y eficaz para las TEP masivas. Esto implica acceder al sistema venoso colocando un catéter en una vena de la ingle y guiarlo a través de las venas mediante imágenes fluoroscópicas hasta que se ubique junto a la TEP en la circulación pulmonar. El medicamento que disuelve los coágulos de sangre se libera a través del catéter de modo que su concentración más alta esté directamente al lado de la embolia pulmonar. La CDT es realizada por radiólogos intervencionistas o cirujanos vasculares, y en los centros médicos que ofrecen CDT, puede ofrecerse como tratamiento de primera línea. Se está investigando la trombólisis asistida por ultrasonido basada en catéter.
El uso de trombólisis en TEP no masivas aún se debate. Algunos han descubierto que el tratamiento reduce el riesgo de muerte y aumenta el riesgo de hemorragia, incluida la hemorragia intracraneal. Otros no han encontrado una disminución en el riesgo de muerte.
Filtro de vena cava inferior
Hay dos situaciones en las que un filtro de vena cava inferior se considera ventajoso y son si la terapia anticoagulante está contraindicada (por ejemplo, poco después de una operación mayor) o si una persona tiene una embolia pulmonar a pesar de estar anticoagulada. En estos casos, se puede implantar para evitar que las TVP nuevas o existentes ingresen a la arteria pulmonar y se combinen con una obstrucción existente. A pesar de la ventaja teórica del dispositivo de prevenir la embolia pulmonar, hay una falta de evidencia que respalde su efectividad.
Los filtros de la vena cava inferior deben retirarse tan pronto como sea seguro comenzar a usar anticoagulantes. Aunque los filtros modernos están destinados a ser recuperables, las complicaciones pueden impedir que se retiren algunos. Se desconoce el perfil de seguridad a largo plazo de dejar permanentemente un filtro dentro del cuerpo.
Cirugía
El tratamiento quirúrgico de la embolia pulmonar aguda (trombectomía pulmonar) es poco común y se ha abandonado en gran medida debido a los malos resultados a largo plazo. Sin embargo, recientemente ha experimentado un resurgimiento con la revisión de la técnica quirúrgica y se cree que beneficia a determinadas personas. La embolia pulmonar crónica que conduce a la hipertensión pulmonar (conocida como hipertensión tromboembólica crónica) se trata con un procedimiento quirúrgico conocido como tromboendarterectomía pulmonar.
Epidemiología
Hay aproximadamente 10 millones de casos de embolias pulmonares por año. En los Estados Unidos, las embolias pulmonares son la causa principal de al menos 10 000 a 12 000 muertes por año y una causa contribuyente en al menos 30 000 a 40 000 muertes por año. Se desconoce la verdadera incidencia de embolias pulmonares porque a menudo no se diagnostican o pasan desapercibidas hasta la autopsia. De 1993 a 2012, ha habido un aumento en el número de ingresos en los hospitales debido a embolias pulmonares, pasando de 23 casos por cada 100 000 personas a 65 casos por cada 100 000 personas. A pesar de este aumento, ha habido una disminución en la mortalidad durante ese mismo período de tiempo debido a los avances médicos que se han producido.
El tromboembolismo venoso (TEV), un factor de riesgo común, está presente en tasas mucho más altas en las personas mayores de 70 años (tres veces más en comparación con las personas de 45 a 69 años). Esto probablemente se deba a que hay un nivel de actividad generalmente más bajo entre los ancianos, lo que resulta en tasas más altas de inmovilidad y obesidad. El TEV tiene una tasa de letalidad grande y en constante aumento. Esta tasa es de aproximadamente el 10 % después de 30 días, el 15 % después de tres meses y hasta el 20 % después de un año. Las embolias pulmonares solas (cuando resultan en hospitalizaciones) tienen una tasa de letalidad de alrededor de 5 % a 10 %, por lo que la TEV puede jugar un factor importante en la gravedad de las embolias.
Al observar todos los casos, la tasa de émbolos pulmonares fatales ha disminuido del 6 % al 2 % durante los últimos 25 años en los Estados Unidos. En Europa, se notificó un promedio de aproximadamente 40 000 muertes por año con embolia pulmonar como causa principal entre 2013 y 2015, una estimación conservadora debido a un posible infradiagnóstico.
Pronóstico
Menos del 5 al 10 % de los embolismos pulmonares (EP) sintomáticos, son fatales dentro de la primera hora de síntomas. Hay varios marcadores que se utilizan para la estratificación del riesgo y estos también son predictores independientes de resultados adversos. Estos incluyen hipotensión, shock cardiogénico, síncope, evidencia de disfunción del corazón derecho y elevación de las enzimas cardíacas. Algunos cambios en el ECG, incluido el S1Q3T3, también se correlacionan con un peor pronóstico a corto plazo. Ha habido otros factores relacionados con el paciente, como la EPOC y la insuficiencia cardíaca crónica, que se cree que también influyen en el pronóstico.
El pronóstico depende de la cantidad de pulmón afectado y de la coexistencia de otras afecciones médicas. La embolización crónica en el pulmón puede provocar hipertensión pulmonar. Después de una TEP masiva, la embolia debe resolverse de alguna manera para que el paciente sobreviva. En la TEP trombótica, el coágulo de sangre puede descomponerse por fibrinólisis, o puede organizarse y recanalizarse de modo que se forme un nuevo canal a través del coágulo. El flujo sanguíneo se restablece más rápidamente en el primer o segundo día después de una TEP. La mejoría se ralentiza a partir de entonces y algunos déficits pueden ser permanentes. Existe controversia sobre si los PE sub-segmentarios pequeños necesitan tratamiento y existe alguna evidencia de que los pacientes con PE sub-segmentarios pueden evolucionar bien sin tratamiento.
Una vez que se detiene la anticoagulación, el riesgo de una embolia pulmonar mortal es del 0,5 % por año.
- Se dijo que la mortalidad por TEP no tratadas era del 26 %. Esta cifra proviene de un ensayo publicado en 1960 por Barrit y Jordan, que comparó la anticoagulación con placebo para el tratamiento de la TEP. Barritt y Jordan realizaron su estudio en el Bristol Royal Infirmary en 1957. Este estudio es el único ensayo controlado con placebo que ha examinado el lugar de los anticoagulantes en el tratamiento de la TEP, cuyos resultados fueron tan convincentes que el ensayo ha nunca se ha repetido, ya que hacerlo se consideraría poco ético. Dicho esto, la tasa de mortalidad reportada del 26 % en el grupo de placebo es probablemente una exageración, dado que la tecnología del momento puede haber detectado solo TEP graves.[cita requerida]
Predecir la mortalidad
Las herramientas de puntuación PESI y sPESI pueden estimar la mortalidad de los pacientes. Las reglas de predicción de Ginebra y los criterios de Wells se utilizan para calcular una probabilidad previa a la prueba de los pacientes para predecir quién tiene una embolia pulmonar. Estos puntajes son herramientas que se utilizarán con criterio clínico para decidir las pruebas de diagnóstico y los tipos de terapia. El algoritmo PESI comprende 11 variables clínicas disponibles de forma rutinaria. Coloca a los sujetos en una de cinco clases (I–V), con una mortalidad a 30 días que oscila entre el 1,1 % y el 24,5 %. Los de las clases I y II son de bajo riesgo y los de las clases III-V son de alto riesgo.
El riesgo de mortalidad, está determinado por la disfunción aguda del ventrículo derecho, esta se puede evidenciar mediante la clínica, el laboratorio, y los estudios de tomografía computada y de ecocardiograma.[3]
La mortalidad varía ampliamente dependiendo de la gravedad clínica de la embolia y está en rangos que van de 1 % hasta más del 50 %. [4] [5]
Véase también
Referencias
- ↑ OMS,OPS,BIREME (ed.). «Tromboembolismo pulmonar». Descriptores en Ciencias de la Salud. Biblioteca Virtual en Salud.
- ↑ José Luis Lobo,, Sergio Alonso, Juan Arenas, Pere Domènech, Pilar Escribano, Carmen Fernández-Capitán, Luis Jara-Palomares,, Sonia Jiménez, María Lázaro, Ramón Lecumberri,, Manuel Monreall,, Pedro Ruiz-Artachom,, David Jiménez (2022). «Consenso multidisciplinar para el manejo de la tromboembolia de pulmón». Archivos de Bronconeumología 58 (3): 246-254. doi:10.1016/j.arbres.2021.01.031. Consultado el 21 de enero de 2023.
- ↑ Jorge Sandoval; Matías Florenzano (2015). «Diagnóstico y tratamiento del Tromboembolismo Pulmonar». Revista Médica Clínica Las Condes (Science Direct) 26 (3): 338-343.
- ↑ Alfonso Figueredo, Ernesto ; Pérez Alvarez, María Luisa ; Reyes Sanamé, Félix Andrés ; Batista Acosta, Yoannis ; Peña Garcell, Yudith (2016). «Nuevas consideraciones en el tratamiento del tromboembolismo pulmonar». Rev cubana med (La Habana: SciELO) 55 (3). Consultado el 21 de enero de 2023.
- ↑ Pérez Domínguez, Julio Alberto ; Ortega Varón, Yalili Ramona ; Leblanch Pérez, Lisett ; Medel Avíles, Odalis ; Rodríguez Peña, Marian Maité. (2021). «Factores influyentes en la muerte por tromboembolismo pulmonar». Multimed (Granma: SciELO) 25 (3). Consultado el 21 de enero de 2023.
Bibliografía
- Barritt DW, Jorden SC. Anticoagulant drugs in the treatment of pulmonary embolism: a controlled trial. Lancet 1960;1:1309-1312. PMID 13797091.
- Bounameaux H, de Moerloose P, Perrier A, Reber G. Plasma measurement of D-dimer as diagnostic aid in suspected venous thromboembolism: an overview. Thromb Haemost 1994;71:1-6. PMID 8165626.
- Goldhaber SZ. Pulmonary embolism. Lancet 2004;363:1295-305. PMID 15094276
Enlaces externos
- Guidelines terapia trombolítica y antitrombótica de la ACCP.Chest (enlace roto disponible en Internet Archive; véase el historial, la primera versión y la última).
- Tromboembolismo pulmonar en Medline
- Score de Wells para Predicción Clínica para Tromboembolismo Pulmonar y Trombosis Venosa Profunda, MedicalCriteria.com
- Tromboembolismo pulmonar agudo en Uninet
