Tumor neuroendocrino
| Tumor neuroendocrino | ||
|---|---|---|
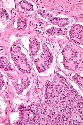
![]() Micrografía de células APUD en el intestino delgado conformando un tumor neuroendocrino. Arriba se ve el fondo de varias criptas, con forma de fondo de saco. Mediano aumento.. hematoxilna eosina | ||
| Especialidad | Oncología, Endocrinología | |
| Síntomas | Dolor, hiperglucemia o hipoglucemia, pérdida de peso, síndrome carcinoide[1] | |
| Tipos | Tumor carcinoide, tumor neuroendocrino pancreático, feocromocitoma, paraganglioma, cáncer medular de tiroides[1] | |
| Diagnóstico | Análisis de sangre, imagenología, biopsia de tejidos[1] | |
| Tratamiento | Cirugía, análogo de somatostatina, interferón, quimioterapia, terapia dirigida[1] | |
| Frecuencia | 8 casos cada 100,000 al año[1] | |
Los tumores neuroendocrinos (NET en inglés) o apudomas son un grupo de tumores que se originan ya sea en células que reciben impulsos nerviosos o que liberan hormonas. estos tumores se caracterizan por sintetizar polipéptidos con actividad de hormona.[1]
El nombre deriva de las células que lo componen, que recibieron el nombre de células A.P.U.D., (acrónimo de Amine Precursor Uptake Decarboxylation) o sea células que captan precursores de aminas y las trasforman por decarboxilación en péptidos con diferentes funciones.
Alrededor de dos tercios de los tumores neuroendócrinos se presentan en los intestinos, donde a menudo se les llama tumores carcinoides, pero también pueden formarse en el páncreas, los pulmones, el timo y otras partes del sistema endocrino.[1] Los síntomas pueden incluir dolor, niveles altos o bajos de azúcar en la sangre y pérdida de peso.[1] Son en general tumores de pequeño tamaño, entre 15 y 25 mm de diámetro, aunque a veces son mucho mayores, múltiples y malignos. Algunos casos pueden resultar en síndrome carcinoide que se presenta con enrojecimiento y diarrea.[1]
Clasificación
Se pueden clasificar en diferentes tipos, dependiendo de la sustancia que produzcan, los más habituales son:[2]
- Gastrinomas. Producen gastrina que ocasiona secreción de ácido por el estómago (síndrome de Zollinger Ellison).
- Insulinomas. Producen y secretan insulina de manera autónoma y ocasionan episodios de hipoglucemia.
- Feocromocitomas. Se localizan habitualmente en la médula suprarrenal y secretan adrenalina, originando entre otros síntomas hipertensión arterial.
- VIPomas. Secretan péptido intestinal vasoactivo (VIP) que ocasiona el síndrome de Verner-Morrison, el cual se manifienta por diarrea acuosa, hipopotasemia e insuficiencia renal.
- Glucagonomas. Producen glucagón y puede causar diabetes, pérdida de peso y otros síntomas.
- Somatostatinoma. Secretan somatostatina y causan diabetes mellitus, esteatorrea y colelitiasis.
Factores de riesgo y diagnóstico
Los factores de riesgo incluyen una serie de condiciones genéticas que incluyen el síndrome de neoplasia endocrina múltiple (MEN), la neurofibromatosis y la esclerosis tuberosa.[1] Estos tumores se tratan como un grupo porque las células involucradas comparten características comunes, incluida la producción de aminas biogénicas y hormonas polipeptídicas.[3] Suelen de crecimiento lento.[1] El diagnóstico puede estar respaldado por pruebas de laboratorio, imágenes médicas y biopsia de tejido.[1]
Tratamiento y epidemiología
La enfermedad temprana puede curarse mediante cirugía.[1] Para enfermedades más avanzadas, se pueden usar análogos de somatostatina, interferón, quimioterapia y terapia dirigida.[1] Afectan aproximadamente a 8 por cada 100.000 personas al año.[1] Son más comunes en personas mayores de 50 años.[1] Los hombres y las mujeres parecen verse afectados con la misma frecuencia.[1] Los tumores neuroendocrinos fueron descritos por primera vez en 1867 por Theodor Langhans.[1]
Referencias
- ↑ a b c d e f g h i j k l m n ñ o p q Yalcin, Suayib (2015). «1. Introduction to neuroendocrine tumours». En Yalcin, Suayib; Öberg, Kjell, eds. Neuroendocrine Tumours: Diagnosis and Management (en inglés). Heidelberg: Springer. pp. 1-6. ISBN 978-3-662-45214-1. Archivado desde el original el 6 de febrero de 2022. Consultado el 6 de febrero de 2022.
- ↑ Pedro Wong Pujada, Pedro Morón Antonio, Jaime Arévalo Torres, Gilmar Hurtado Guerrero, Guillermo Alvarado Zapana: Apudomas. Consultado el 20 de febrero e 2013.
- ↑ Ramage JK, Davies AH, Ardill J, et al (June 2005). «Guidelines for the management of gastroenteropancreatic neuroendocrine (including carcinoid) tumours». Gut. 54 54 (Suppl 4): iv1-iv16. PMC 1867801. PMID 15888809. doi:10.1136/gut.2004.053314.
