Neumomediastino
| Neumomediastino | ||
|---|---|---|
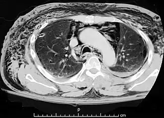
![]() Una TAC que muestra aire en el mediastino | ||
El neumomediastino se define como la presencia de aire en el mediastino observado mediante una radiografía o prueba de imagen mediante TAC.[1] Normalmente ocurre cuando el aire sale de la vía aérea, el pulmón o el esófago y entra en esta cavidad. El neumomediastino (del griego pneuma —aire—, también denominado «enfisema mediastínico»)[2] hace referencia a la neumatosis (presencia anómala de aire u otro gas) en el mediastino, la parte central de la cavidad torácica.
El mediastino es el compartimento anatómico extrapleural situado en el centro del tórax, entre los pulmones derecho e izquierdo, por detrás del esternón y las uniones parodontales y por delante de las vértebras torácicas y de la vertiente más posterior de las costillas óseas. Por debajo está limitado por el músculo diafragmal y por arriba por el istmo cervicotorácico.
Descrito por primera vez en 1819 por René Laennec.[3][4] este trastorno puede deberse a traumatismos físicos u otras situaciones que provoquen que el aire se escape de los pulmones, las vías respiratorias o el intestino hacia la cavidad torácica. En el caso de los buceadores, suele ser el resultado de un barotrauma pulmonar[2]
Etiología
El neumomediastino puede ocurrir de manera espontánea en sujetos sanos sin tener una causa clara atribuible.[5] El neumomediastino espontáneo es una entidad infrecuente que se presenta en ausencia de enfermedades o factores precipitantes y que generalmente afecta a varones jóvenes y sanos.[6]
El neumomediastino puede ser secundario a causas intrínsecas del pulmón y la vía aérea, iatrogénico o traumático.
Signos y síntomas
El síntoma más característico suele ser el dolor torácico central grave.
Otros síntomas incluyen: dificultad para respirar, distorsión de la voz (como con el helio) y enfisema subcutáneo, el cual afecta específicamente a la cara, el cuello y el tórax.[7]
El neumomediastino también se puede caracterizar por la disnea, la cual es típica de los problemas del sistema respiratorio.
Se identifica con frecuencia en la auscultación gracias a un sonido de «crujido» que se sincroniza con el ciclo cardiaco (signo de Hamman).
El neumomediastino también puede presentar síntomas que imitan al taponamiento cardíaco como resultado del aumento de la presión intrapulmonar sobre el flujo venoso al corazón.[8]
Causas
Las causas más frecuentes son:
- Rotura esofágica, como por ejemplo en el síndrome de Boerhaave
- Asma, consumo de cocaína u otras afecciones que conduzcan a una rotura alveolar
- Rotura intestinal, donde el aire de la cavidad abdominal asciende hacia el tórax
También se asocia con:
Puede inducirse para ayudar en la cirugía toracoscópica.[11]
Puede deberse a un barotrauma pulmonar inducido por el paso de una persona desde un entorno con una presión elevada a uno con una menor, como cuando los buceadores con equipo autónomo o los buzos con suministro de aire desde la superficie,[12][13] los buceadores en apnea tras una insuflación glosofaríngea[14] o el pasajero de un avión[15] ascienden. En el caso de los buceadores con equipo autónomo y los buzos con suministro de aire desde la superficie, respiran gas a presión ambiente y, si este no puede escapar libremente durante el ascenso, la diferencia de presión puede ocasionar su expansión, lo cual puede conllevar la rotura de los tejidos pulmonares (barotrauma pulmonar) y su escape a diferentes lugares, entre los cuales se encuentra el mediastino. Un buzo o buceador con síntomas de enfisema mediastínico también puede presentar cualquier combinación de embolia gaseosa arterial, neumotórax y enfisema subcutáneo o pulmonar intersticial.
Los factores que pueden impedir el escape libre del gas comprimido respirado incluyen aguantar la respiración u obstrucciones respiratorias tales como quistes, tapones de moco o tejido cicatricial.[13]
En casos poco frecuentes, el neumomediastino también puede producirse por un traumatismo torácico cerrado (por ejemplo, accidentes de tráfico, peleas, sobrepresión en el aparato respiratorio), aunque evoluciona del mismo modo que su forma espontánea.[16]
El neumomediastino se observa con mayor frecuencia en pacientes varones jóvenes por lo demás sanos y puede no ir precedido de antecedentes médicos relevantes de dolencias similares.[17]
Clínica
- Generalmente suele haber el intervalo libre, que depende de la cantidad de aire acumulado y del tamaño de la perforación.
- Una vez pasado el intervalo libre comienza una sensación de angustia, de opresión retro-esternal con dificultad respiratoria.
- Cara angustiosa de color cianótico, sudor frío, ojos hundidos, midriasis.
- Poco a poco se va hinchando el cuello y la parte superior del tórax produciéndose una ingurgitación yugular. Puede haber una compresión del nérvio frénico dando lugar a náuseas, vómitos o hipo. También puede haber una compresión del nervio recurrente dando lugar a un cuadro de disfonía.
- También puede producirse un taponamiento cardíaco extrapericárdico, que va a dar lugar a un cuadro de hipotensión y taquicardia que, si no se soluciona inmediatamente, puede producir la muerte.
Diagnóstico
El neumomediastino es poco frecuente y se produce cuando se filtra aire al mediastino.
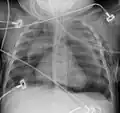
El diagnóstico puede confirmarse mediante una radiografía de tórax en la que aparezca un contorno radiolúcido alrededor del corazón y el mediastino o mediante un TAC de tórax.
-
Neumomediastino y neumotórax derecho tras fractura de la primera costilla en accidente de bicicleta de montaña. -
Neumomediastino con el signo del ala de ángel.[18] -
Neumomediastino observado en ecografía.[19]
Pronóstico
El pronóstico es variable, hay casos asintomáticos que se detectan sólo en una radiografía lateral, en otros casos puede ser muy grave.
Tratamiento
Los tejidos del mediastino reabsorberán lentamente el aire de la cavidad, por lo que la mayoría de los neumomediastinos se tratan de forma conservadora.
Respirar oxígeno de alto flujo aumentará la absorción del aire.
Si el aire está bajo presión y comprime el corazón, puede introducirse una aguja en la cavidad para liberar el aire.
Puede ser necesaria una intervención quirúrgica para reparar el orificio en la tráquea, el esófago o el intestino.
Si se produce un colapso pulmonar, es primordial que el paciente se tumbe del lado del colapso.
A pesar de ser doloroso, esto permite la reexpansión completa del pulmón no afectado.
Consiste en una descompresión urgente vaciando ese aire (mediastinotomía), además de tratamiento etiológico (sutura o intubación). Si no cicatriza bien se recurriría a un tratamiento quirúrgico.
Referencias
- ↑ Halitim, P (2021). «Pneumomédiastin spontané». Revui des Maladies Respiratories. PMID 35331625. doi:10.1016/j.rmr.2021.12.004. Consultado el 22 de junio de 2022.
- ↑ a b «Travelers Medical Guide: Glossary». dan.org. Consultado el 28 de septiembre de 2022.
- ↑ Laënnec RTH. De l’auscultation médiate ou Traité du Diagnostic des Maladies des Poumon et du Coeur. 1st ed. Paris: Brosson & Chaudé; 1819.
- ↑ Roguin A (2006). «Rene Theophile Hyacinthe Laënnec (1781-1826): the man behind the stethoscope». Clinical Medicine & Research 4 (3): 230-5. PMC 1570491. PMID 17048358. doi:10.3121/cmr.4.3.230.
- ↑ Kouritas, Vasileios K (2015). «Pneumomediastinum». Journal of Thoracic Disease. PMID 25774307. doi:10.3978/j.issn.2072-1439.2015.01.11. Consultado el https://www.ncbi.nlm.nih.gov/pmc/articles/PMC4332083/.
- ↑ Ruiz Ruiz, FJ (2006). «Neumomediastino espontáneo». Anales Sis San Navarra. Consultado el 22 de junio de 2022.
- ↑ Quresi SA, Tilyard A (2008). "Unusual Presentation of Spontaneous Mediastinum: A Case Report". Cases Journal 1:349. doi:10.1186/1757-1626-1-349.
- ↑ Beg MH, Reyazuddin, Ansari MM (1988). "Traumatic tension Pneumomediastinum Mimicking Cardiac Tamponade". Thorax 43:576-677. doi: 10.1136/thx.43.7.576.
- ↑ Vázquez JL, Vázquez I, González ML, García-Tejedor JL, Repáraz A (2007). «Pneumomediastinum and pneumothorax as presenting signs in severe Mycoplasma pneumoniae pneumonia». Pediatric Radiology 37 (12): 1286-8. PMID 17899058. S2CID 26500618. doi:10.1007/s00247-007-0611-1.
- ↑ Hatzitolios A, Ntaios G (2007). «Spontaneous Pneumomediastinum May Be Associated with Both Anorexia Nervosa and Obesity». Lung 185 (6): 373. PMID 17909893. S2CID 6771220. doi:10.1007/s00408-007-9037-7.
- ↑ Utsumi T, Shiono H, Fukai I, Akashi A (2007). «Artificial pneumomediastinum facilitates thoracoscopic surgery in anterior mediastinum». Interactive Cardiovascular and Thoracic Surgery 6 (3): 411-2. PMID 17669882. doi:10.1510/icvts.2006.147355.
- ↑ Tetzlaff K, Reuter M (1998). «Recurrent pulmonary barotrauma (PBT) in a previously healthy male scuba diver who suffered from repeated pneumomediastinum after shallow-water scuba dives». Undersea Hyperb Med 25 (2): 127-8. PMID 9670439. Archivado desde el original el 3 de mayo de 2012. Consultado el 5 de junio de 2008.
- ↑ a b «Mmediastinal emphysema». Encyclopedia Britannica. Consultado el 28 de septiembre de 2022.
- ↑ Jacobson FL, Loring SH, Ferrigno M (2006). «Pneumomediastinum after lung packing». Undersea Hyperb Med 33 (5): 313-6. PMID 17091828. Archivado desde el original el 3 de mayo de 2012. Consultado el 5 de junio de 2008.
- ↑ Nicol E, Davies G, Jayakumar P, Green ND (April 2007). «Pneumopericardium and pneumomediastinum in a passenger on a commercial flight». Aviat Space Environ Med 78 (4): 435-9. PMID 17484349.
- ↑ Yellin A, Gapany-Gapanavicius M, Lieberman Y (1983). "Spontaneous Pneumomedistinum: Is It a Rare Cause of Chest Pain?". Thorax 38:383-385.
- ↑ Cicak B, Verona E, Mihatov-Stefanovic I, Vrsalovic R (2009). "Spontaneous Pneumomediastinum in a Healthy Adolescent". Acta Clinica Croatica 48(4):461-7.
- ↑ Zahed, Asef. «Angel wing sign | Radiology Case | Radiopaedia.org». Radiopaedia.
- ↑ «UOTW #67 - Ultrasound of the Week». Ultrasound of the Week. 29 de enero de 2016. Consultado el 27 de mayo de 2017.
