Glomerulonefritis membranosa
| Glomerulonefritis membranosa | ||
|---|---|---|
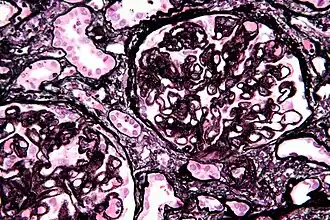
![]() Micrografía de una muestra de biopsia que revela nefropatía membranosa con proyecciones membranoides (spikes) prominentes de la membrana basal glomerular (tinción de Jones).[1] | ||
| Especialidad | nefrología | |
La glomerulonefritis membranosa, también llamada nefropatía membranosa,[2] es una enfermedad renal de progreso lento que afecta sobre todo a personas de entre treinta y cincuenta años y ocupa el segundo lugar como causa de síndrome nefrótico en adultos.[3] El adjetivo membranosa se refiere a la membrana basal glomerular del riñón de modo que al mencionar el engrosamiento de la membrana característico de la glomerulonefritis membranosa se habla de esa membrana y de las alteraciones que provoca su engrosamiento en la capacidad de filtración renal de los líquidos corporales a través del glomérulo. Los términos estrechamente relacionados nefropatía membranosa[4] y glomerulopatía membranosa[5] se refieren a una forma similar pero sin inflamación.[nota 1]
Clasificación
Cerca del ochenta y cinco por ciento de los casos de glomerulonefritis membranosa se clasifican como primarios, es decir, el trastorno es idiopático o de causa desconocida. Los casos restantes son secundarios, o sea causados por procesos autoinmunitarios como el lupus eritematoso sistémico, enfermedades infecciosas como sífilis, malaria y hepatitis B, drogas como captopril y AINE, sales inorgánicas o enfermedades malignas (en particular cáncer de pulmón, cáncer de colon y melanomas).
Historia
Según un autor,[7] en 1938 Bell efectuó la primera descripción anatomopatológica de la enfermedad sobre la base de sus hallazgos con microscopia óptica y en 1959 Heymann logró provocar en las ratas una enfermedad cuyas características se asemejan llamativamente a las de la nefropatía membranosa observada en los seres humanos.[8][9] De acuerdo con el mismo autor,[7] los progresos logrados en las técnicas histológicas, la incorporación de la microscopia electrónica al estudio de las enfermedades renales y los aportes efectuados por un grupo de destacados investigadores han posibilitado un conocimiento más acabado sobre el origen, la patogenia, los aspectos clínicos y la evolución natural de esta enfermedad.
Según otro autor[10] la glomerulonefritis membranosa fue descrita por primera vez en 1957 por David Jones y la explicación de la patogenia comenzó en 1959 con la descripción de la nefritis de Heymann. Las semejanzas morfológicas entre la glomerulonefritis membranosa y la nefritis experimental de Heymann se conocen desde hace muchos años. En el modelo de Heymann se inmuniza a ratas contra antígenos de la corteza renal y las ratas desarrollan una enfermedad clínica de morfología similar a la de la glomerulonefritis membranosa.[6] Los primeros estudios realizados con ese modelo sugerían que los depósitos eran resultado del atrapamiento de complejos inmunes circulantes formados por antígenos del borde o ribete en cepillo de los túbulos con su correspondiente anticuerpo. Esta hipótesis se basaba en la observación de que la enfermedad se inducía con fracciones de preparados del borde en cepillo, no de extractos glomerulares. El desarrollo posterior del modelo de nefritis pasiva de Heymann en ratas que recibían una inyección de anticuerpos de conejo antiborde en cepillo de rata llevó a sugerir que los depósitos inmunes subepiteliales podrían formarse sin la intervención de complejos inmunes circulantes. Otros autores demostraron que los anticuerpos antiborde en cepillo podían unirse al glomérulo en ausencia de antígenos circulantes del borde en cepillo, lo que probó que la formación de complejos inmunes ocurría in situ. Para establecer de manera definitiva el papel de la formación in situ de estos complejos en la pared capilar glomerular fue necesario identificar el antígeno.[6] La diana del anticuerpo fue identificada por Kerjaschki y Farquhar[11][12] a principios de la década de 1980 como una proteína de la membrana del podocito ahora llamada megalina. El receptor megalina, un miembro de la superfamilia de receptores LDL, se expresa en el extremo del proceso podocitario (donde se forman los complejos inmunes).[13] Los antígenos identificados en la nefritis de Heymann son antígenos del borde en cepillo de los túbulos renales o una glucoproteína (megalina) sintetizada por las células epiteliales viscerales del glomérulo. En la glomerulonefritis membranosa humana la presencia de anticuerpos contra antígenos del borde en cepillo se ha demostrado en muy pocos casos. En la década de 1970 un grupo japonés demostró la localización de antígenos tubulares en los depósitos inmunes de pacientes con glomerulonefritis membranosa.[14] Sin embargo, para grupos de otros centros no ha sido posible lograr los mismos hallazgos.[15][16] Las evidencias actuales sugieren que el complejo de antígenos-anticuerpos (Ags-Acs) de la nefritis de Heymann tendría poco que ver con la glomerulonefritis membranosa. La variedad de Ags-Acs asociados con formas secundarias de esta enfermedad indica que en las formas idiopáticas la presentación morfológica es común a múltiples complejos Ags-Acs.[6]
Epidemiología
En los Estados Unidos la biopsia renal revela una frecuencia de lesión glomerular subyacente del veinticinco por ciento en los pacientes adultos con síndrome nefrótico, frecuencia que asciende al treinta y cinco por ciento en los pacientes mayores de sesenta años.[3] Recientemente la frecuencia de glomeruloesclerosis focal y segmentaria superó a la de la nefropatía membranosa. La distribución relativa de las etiologías del síndrome nefrótico varía de forma considerable entre los distintos centros sobre la base de factores poblacionales y de patrones de derivación.[3] En la población pediátrica la nefropatía membranosa es rara (explica alrededor del tres por ciento de las biopsias renales) pero grave. El pronóstico de largo plazo es reservado porque en alrededor del cincuenta por ciento de los pacientes pueden observarse evidencias de enfermedad renal progresiva.[17] A nivel internacional la frecuencia es la misma que en los Estados Unidos, aunque influye la prevalencia de las causas secundarias.[3] En cuanto a las tasas de mortalidad y morbilidad la evolución varía y los pacientes pueden ser divididos en tres grupos de magnitud aproximadamente similar: los de los grupos primero y segundo mueren de causas no renales. La remisión es completa y espontánea y la función renal es normal, con recidiva ulterior o no. La proteinuria persiste en grado variable. Como se dijo, la función renal es normal o con alteraciones pero estable. La incidencia de enfermedad progresiva que finalmente conduce a enfermedad renal terminal es del catorce por ciento a los cinco años, del treinta y cinco por ciento a los diez años y del cuarenta y uno por ciento a los quince años.[3] Con respecto a la raza, es posible que la incidencia de las formas secundarias dependa de la prevalencia de hepatitis y malaria existente en algunas áreas. No se ha informado un aumento de la incidencia en pacientes afronorteamericanos. En cuanto al sexo, la nefropatía membranosa tiene predilección por los varones, con una relación hombre-mujer de 2:1.[18] La edad pico de aparición de la enfermedad se ubica entre la cuarta y la quinta décadas y cuando el comienzo se da fuera del intervalo habitual lo más probable es que sea resultado de causas secundarias.[3] En el mundo la nefropatía membranosa es la causa más común de síndrome nefrótico en adultos.[19] En el Perú ocupa el segundo o tercer lugar después de la glomerulonefritis focal y segmentaria y de la glomerulonefritis membranoproliferativa.[20] Su evolución natural es variable: del treinta al cuarenta y cinco por ciento de los casos presentan remisión parcial o remisión completa del síndrome nefrótico sin tratamiento, en alrededor del veinte por ciento se desarrolla una insuficiencia renal rápidamente progresiva y en el quince al veinticinco por ciento de los pacientes el síndrome nefrótico persiste por períodos prolongados.[21]
Etiología
Como ya se dijo, la nefropatía membranosa puede ser idiopática o secundaria y a menudo es difícil distinguir entre una y otra forma sobre la base de las manifestaciones clínicas solamente. En la nefropatía membranosa secundaria asociada con lupus eritematoso sistémico o hepatitis puede haber depósitos mesangiales o subendoteliales presentes.[3] Además, después de un trasplante puede desarrollarse una glomerulopatía membranosa de novo a causa de un aloanticuerpo[nota 2] específico del donante dirigido contra el HLA DQ7.[23] Las neoplasias malignas subyacentes explican alrededor del cinco al diez por ciento de los casos de glomerulonefritis membranosa y el riesgo es más alto en pacientes mayores de sesenta años (en el veinte al veinticinco por ciento de los cuales hay un tumor maligno coexistente).[3][18] Entre las enfermedades autoinmunitarias que pueden asociarse con una nefropatía membranosa figuran la espondilitis anquilosante, la dermatomiositis, la enfermedad de Graves, la tiroiditis de Hashimoto, la artritis reumatoide, la enfermedad mixta del tejido conjuntivo, el síndrome de Sjögren y el lupus eritematoso sistémico (del diez al veinte por ciento de los pacientes con nefritis lúpica tienen nefropatía membranosa).[3] Las enfermedades infecciosas que pueden causar glomerulonefritis membranosa incluyen endocarditis enterocócica, filariasis, hepatitis B (esto se observa en niños en áreas endémicas), hepatitis C, quiste hidatídico, lepra, esquistosomiasis y dos enfermedades infecciosas ya mencionadas (malaria y sífilis).[3] Los cánceres son carcinomas, linfomas y los ya mencionados melanomas. Por último, entre los fármacos vinculados con glomerulonefritis membranosa pueden mencionarse captopril, oro, litio, compuestos con contenido de mercurio, antiinflamatorios no esteroides (que constituyen una causa poco común y habitualmente se asocian con enfermedad de cambios mínimos), penicilamina y probenecid.[3] Otras causas incluyen nefropatía de novo en pacientes receptores de aloinjertos renales, en los que el inicio se retrasa en comparación con la enfermedad recurrente. La tasa de pérdida del injerto puede llegar a ser del cincuenta por ciento. La recurrencia es rara (del tres al siete por ciento) y puede conducir a la pérdida del injerto. La nefropatía membranosa recurre en el cinco al diez por ciento de los pacientes.[3] La diabetes es una etiología infrecuente, al igual que la enfermedad de células falciformes, que habitualmente produce glomeruloesclerosis focal y segmentaria.[3]
Patogenia
La glomerulonefritis membranosa puede ser la primera manifestación de enfermedad renal y no asociarse con ningún factor etiológico o desencadenante conocido (glomerulonefritis membranosa idiopática) o bien puede coexistir con diversas patologías subyacentes o deberse a agentes ambientales (glomerulonefritis membranosa secundaria).[24]
Es un tipo de enfermedad glomerular de patogenia inmunitaria caracterizada por la presencia de depósitos de complejos inmunes subepiteliales en la cara epitelial de la membrana basal glomerular (con formación de complejos inmunes en el sitio de la lesión). Las investigaciones más recientes indican que la mayor parte de estos complejos se forman cuando los anticuerpos se unen directamente a antígenos sobre la membrana basal glomerular. Esos antígenos pueden ser de naturaleza endógena o plantados desde la circulación sistémica.[24]

Entonces, la glomerulonefritis membranosa es una enfermedad caracterizada por depósitos inmunes subepiteliales y la formación de proyecciones membranoides ("spikes") perpendiculares de material similar a la membrana basal glomerular en la parte externa de dicha membrana (entre el citoplasma del podocito y la membrana). Como ya se dijo, puesto que en esta glomerulopatía en general no se detectan células inflamatorias y en algunos (o muchos) de los casos no hay una inflamación local prominente sino atrapamiento de complejos inmunes, algunos autores prefieren llamarla glomerulopatía membranosa o glomerulonefropatía membranosa; no obstante, el hecho de que haya inmunoglobulinas, complemento y complejo de ataque de membrana (C5b-9) presentes indica un proceso inflamatorio.[6] El curso clínico suele ser de progresión lenta hacia la cronicidad, con remisión espontánea y tendencia a las recaídas. Su incidencia es mucho mayor en los adultos que en los niños.[24] Los complejos inmunes activan una respuesta de las proteínas del sistema del complemento C5b a C9, que como se acaba de decir forman un complejo de ataque de membrana (CAM) sobre las células epiteliales del glomérulo. Este complejo de ataque, a su vez, estimula la liberación de proteasas y oxidantes provenientes de células mesangiales y epiteliales que dañan las paredes capilares y deteminan que se vuelvan porosas. Además, las células epiteliales parecen secretar un mediador desconocido que reduce la síntesis y la distribución de nefrina (componente proteico esencial de la barrera de filtración glomerular).[25]
Anatomía patológica
Como ya se mencionó, la nefropatía membranosa es una causa frecuente de síndrome nefrótico del adulto,[26] trastorno poco habitual en los niños. También se mencionó que hay dos formas, primaria o idiopática (de causa desconocida) y secundaria o asociada con diversas enfermedades. A nivel óptico la lesión se caracteriza por el engrosamiento difuso de las membranas basales de los capilares glomerulares, lo que a nivel ultraestructural se relaciona con la presencia de depósitos electrodensos en el lado epitelial de la membrana basal, es decir entre dicha membrana y los podocitos. Esos depósitos, que en general se denominan depósitos subepiteliales o transmembranosos, determinan una progresión del proceso que se puede dividir en cuatro estadios según el sistema de Ehrenreich y Churg.[27]

En el estadio I la membrana basal es de grosor normal y no hay o solo hay mínimas proyecciones membranoides en el lado epitelial. Los depósitos subepiteliales son pequeños y la lámina densa en general no muestra alteraciones; las alteraciones del citoplasma de los podocitos son poco importantes. En el estadio II la membrana basal está engrosada y presenta formaciones espiculares similares a púas o dientes de peine en el lado epitelial; los depósitos electrodensos se ven entre las proyecciones membranoides. Esta alteración de la membrana basal es muy característica, se distingue claramente con las técnicas argénticas por el carácter argirófilo de la membrana y su presencia permite establecer el diagnóstico, si bien hay procesos que pueden simular una falsa imagen espicular de la membrana basal, por ejemplo en la amiloidosis, por la extensión de la sustancia amiloide hacia el lado epitelial. En el estadio III la membrana basal engrosada incorpora los depósitos electrodensos, que se hallan rodeados por las proyecciones membranoides. Por último, en el estadio IV la membrana basal presenta un engrosamiento irregular y un aspecto agujereado que le confieren los depósitos electrodensos de densidad variable, una lesión visible con la tinción tricrómica de Masson en microscopia óptica.[28] Se observa un engrosamiento global y difuso de la pared de los capilares glomerulares, a veces no evidente en las fases iniciales, que comienza por la formación de agregados inmunes subepiteliales. Con tinción argéntica se visualizan paredes capilares con imagen especular. En las fases avanzadas puede haber una esclerosis glomerular de grado variable. La celularidad del glomérulo suele ser normal. Por inmunofluorescencia se ven depósitos granulares difusos de IgG y C3. [29]
Cuadro clínico
En algunos pacientes la presentación incluye síndrome nefrótico con proteinuria y edema (con insuficiencia renal o sin ella). En otros la enfermedad puede cursar de manera asintomática y ser diagnosticada durante un examen médico o a partir de un análisis de orina que revela proteinuria. El diagnóstico definitivo de la nefropatía membranosa requiere una biopsia renal.[2] En la mayoría de los pacientes la enfermedad se presenta con un síndrome nefrótico "puro" en el que la proteinuria puede ser selectiva o no selectiva y a menudo es importante. En el cuarenta por ciento de los casos hay hematuria microscópica pero los cilindros de eritrocitos son raros.[18] La hipertensión arterial y la insuficiencia renal aparecen en una fase tardía de la enfermedad. Los niveles séricos de complemento son normales. Si en los análisis de sangre se observa antigenemia para hepatitis B, factores reumatoides y crioglobulinemia habrá que considerar una enfermedad sistémica asociada.[18] El comienzo de la glomerulonefritis membranosa es insidioso. Alrededor del ochenta por ciento de los pacientes refieren edema. Puede haber síntomas inespecíficos de anorexia, malestar general y fatiga. En algunos pacientes se detecta proteinuria asintomática. En la gran mayoría de los casos hay edema o anasarca generalizada. Puede haber hipertensión arterial pero no es característica de las primeras etapas (lo que no sucede en la mayor parte de las otras enfermedades renales, que se asocian con hipertensión significativa).[3] Es poco común que haya ascitis y derrames pericárdico o pleural, a menos que el síndrome nefrótico sea grave.
Diagnóstico
Pruebas y exámenes
Se debe realizar un examen físico completo y ordenar una serie de pruebas de laboratorio. En el examen físico se puede hallar edema en distintas áreas del cuerpo. El análisis de sangre puede demostrar grandes cantidades de proteína y también puede haber algo de sangre en la orina. El índice de filtración glomerular o IFG (la "velocidad" con la que los riñones depuran la sangre) suele ser casi normal.[2] Se pueden indicar otros exámenes para estudiar el funcionamiento de los riñones y la manera en que el cuerpo se está adaptando al problema renal, como por ejemplo albúmina en sangre y orina, nitrógeno ureico en sangre (BUN), creatinina en sangre, depuración de la creatinina, panel lipídico y proteínas en sangre y orina. Una biopsia del riñón confirma el diagnóstico.[2] Los exámenes que pueden ayudar a determinar la causa de la nefropatía membranosa incluyen examen de anticuerpos antinucleares, anticuerpos anti-ADN bicatenario si el examen de anticuerpos antinucleares es positivo, exámenes de sangre para verificar si hay hepatitis B, hepatitis C y sífilis, niveles del complemento y examen de crioglobulinas.[2]
Diagnóstico diferencial
El diagnóstico diferencial debe excluir como posibles causas una glomeruloesclerosis focal y segmentaria, una glomerulonefritis membranoproliferativa y la enfermedad de cambios mínimos.[3] La glomeruloesclerosis focal y segmentaria, que es una de las causas más comunes de enfermedades glomerulares primarias en adultos, provoca proteinuria asintomática o síndrome nefrótico con insuficiencia renal o sin ella. En general es una forma progresiva de enfermedad renal que explica del dos al tres por ciento de los casos de enfermedad renal terminal.[30] La glomerulonefritis membranoproliferativa, una causa infrecuente de nefritis crónica que se observa sobre todo en niños y adultos jóvenes, se asocia con un patrón de lesión glomerular basado en hallazgos histopatológicos característicos que incluyen proliferación de células mesangiales y endoteliales y expansión de la matriz mesangial, engrosamiento de las paredes de los capilares periféricos por depósitos subepiteliales de complejos inmunes o depósitos densos intramembranosos e interposición mesangial dentro de la pared capilar, lo que da lugar a un doble contorno que en la microscopia óptica tiene un aspecto de vías de tranvía.[31] La enfermedad de cambios mínimos, conocida también como nefrosis lipoide, es la única forma más común de síndrome nefrótico en niños. Se la describe como una lesión histopatológica del glomérulo que casi siempre se asocia con síndrome nefrótico. Es una enfermedad típica de la infancia pero también puede aparecer en adultos.[32]
Tratamiento
El objetivo del tratamiento de una nefropatía membranosa secundaria es la enfermedad de base. En la glomerulonefritis membranosa idiopática el tratamiento incluye opciones de inmunosupresión con medicamentos y medidas no específicas para reducir la proteinuria. Entre los inmunosupresores más usados figuran los corticosteroides, el clorambucilo, la ciclosporina, el tacrolimus y la ciclofosfamida, entre otros.[33]
Es probable que lo más difícil en una glomerulonefritis membranosa sea decidir a qué pacientes tratar con inmunosupresores en lugar de con simples terapias antiproteinúricas, una dificultad que en gran parte se debe a lo complicado que resulta predecir qué pacientes progresarán a una insuficiencia renal terminal o de tal gravedad que requiera hemodiálisis.[33]
Alrededor de un tercio de los pacientes experimentarán remisión espontánea, otro tercio evolucionará de tal manera que requerirá hemodiálisis y el último tercio continuará con proteinuria pero sin evolucionar a una insuficiencia renal.[33]
En un estudio sobre el tratamiento de la nefropatía membranosa idiopática realizado en Perú[34] no se encontraron variaciones significativas del IFG ni de la proteinuria al finalizar el tratamiento. La frecuencia de efectos adversos fue alta, a pesar de que ningún paciente interrumpió la terapia. Por lo tanto, los autores llegaron a la conclusión de que el tratamiento inmunosupresor debería reservarse para pacientes con factores de mal pronóstico en el momento del diagnóstico o para casos de evolución desfavorable.[34]
Según dos autores argentinos[35] el tratamiento de la glomerulopatía membranosa sigue siendo fuente de controversias y la decisión relacionada con el enfoque terapéutico de cada paciente depende del riesgo de progresión a la insuficiencia renal que su médico le asigne después de observar su función renal y su proteinuria por un período de seis meses. En esa publicación se dice que algunos autores recomiendan sistemáticamente una conducta inicial conservadora a causa de la posibilidad de remisión espontánea y del buen pronóstico de largo plazo de los pacientes de bajo riesgo mientras que otros, dada la baja capacidad predictiva, no comparten la utilidad de esa conducta y prefieren administrar un curso de fármacos inmunosupresores en todos los casos porque varios trabajos prospectivos y controlados han demostrado su superioridad respecto de los tratamientos conservadores.[35] Independientemente de las estrategias utilizadas para regular el componente inmunitario de la enfermedad, en todos los casos deben tratarse enérgicamente la hipertensión arterial, la dislipidemia y la diátesis trombofílica.[35] La presión arterial debe ser de 125/75 mm Hg o menos, para lo cual se utilizarán tantas clases de fármacos como sea necesario y siempre se incluirán en el esquema terapéutico inhibidores de la enzima convertidora de angiotensina o bloqueantes de los receptores de la AT 1; el colesterol LDL debe ser inferior a 100 mg/dl o tal vez menos[36] y deben prevenirse los episodios tromboembólicos con medidas diversas según los casos. La enfermedad tromboembólica es más frecuente en pacientes con albúmina sérica inferior a 2,5 g/dl.[35] Debe prohibirse el hábito de fumar tabaco por sus efectos aterogénicos y su impacto sobre la evolución natural de las nefropatías evolutivas.[37] El papel de la dieta en general y de la restricción proteica en particular es incierto pero una recomendación racional es no superar 0,8 g/kg/día de proteínas, que deben ser de alto valor biológico, y sumar a esa cifra la pérdida proteica urinaria; el valor calórico total debe ser superior a 35 kcal/kg para evitar que el paciente se desnutra. Es obvio que las dietas hiperproteicas no desempeñan papel alguno y solo provocan un aumento de la proteinuria.[35]
Según las Guías Internacionales de Práctica Clínica para el diagnóstico y el tratamiento de las enfermedades renales (KDIGO, del inglés Kidney Disease: Improving Global Outcomes) todos los pacientes con nefropatía membranosa idiopática y síndrome nefrótico deben recibir tratamiento conservador para reducir el edema, controlar la presión arterial y prevenir eventos cardiovasculares y tromboembólicos.[10] Los pacientes con edema deben ser tratados con diuréticos y restricción de sodio en la dieta.[10] El objetivo del control de la presión arterial debe ser un valor ≤125/75 mm Hg. Se prefiere el tratamiento con inhibidores de la enzima convertidora de angiotensina o IECA o con antagonistas de los receptores de la angiotensina II o ARA II porque esos agentes son más eficaces para reducir la proteinuria que otros antihipertensivos.[10]
Pronóstico
La glomerulonefritis membranosa, el tipo más grave de glomerulonefritis que provoca el síndrome nefrótico, afecta sobre todo a los adultos y en el cincuenta por ciento de los pacientes mayores de quince años evoluciona lentamente a insuficiencia renal. El cincuenta por ciento restante está libre de la enfermedad o presenta una proteinuria persistente pero con funcionamiento renal normal. En la mayoría de los niños que sufren glomerulonefritis membranosa la proteinuria desaparece espontáneamente en el término de los cinco años posteriores al diagnóstico de la enfermedad.[38] Otros dos tipos, el síndrome nefrótico familiar y la glomerulonefritis membranoproliferativa, responden poco al tratamiento y su pronóstico es menos optimista. Más de la mitad de los pacientes con el tipo familiar desarrollan insuficiencia renal antes de diez años de evolución. En el veinte por ciento de los casos el pronóstico es aún peor: la insuficiencia renal grave aparece antes de dos años. La enfermedad avanza más rápidamente en los adultos que en los niños. En el caso de la glomerulonefritis membranoproliferativa el cincuenta por ciento de las personas afectadas evolucionan a la insuficiencia renal en los primeros diez años; la enfermedad desaparece en menos del cinco por ciento de los casos. Otro tipo, la glomerulonefritis proliferativa mesangial, casi nunca responde a los corticosteroides.[38] Cuando el síndrome nefrótico es provocado por lupus eritematoso sistémico, amiloidosis o diabetes el tratamiento es sintomático más que curativo. Aunque los tratamientos más recientes del lupus eritematoso sistémico reducen los síntomas y estabilizan o corrigen los resultados anormales de las pruebas, en la mayor parte de los casos se produce una insuficiencia renal progresiva. En el síndrome nefrótico de la diabetes la insuficiencia renal grave en general se desarrolla en un lapso de tres a cinco años.[38] Cuando la etiología del síndrome nefrótico es una infección, una alergia o el uso de heroína por vía intravenosa el pronóstico varía en función de la rapidez y la eficacia con que se trata el trastorno subyacente.[38] Como en la mayoría de las glomerulopatías, la creatinina sérica elevada en el momento del diagnóstico, la proteinuria importante (>10 g/24 h), la hipertensión arterial y el daño tubulointersticial crónico se han relacionado, en mayor o menor medida, con un riesgo más elevado de evolución a enfermedad renal terminal. Algunos trabajos sugieren mejor pronóstico si la proteinuria es selectiva.[6] En las formas secundarias el pronóstico en general es mejor si la causa asociada es susceptible de tratamiento. En los niños también parece haber un pronóstico más favorable. En algunas series se informa mejor pronóstico para las mujeres.[6] Los estadios histopatológicos muestran correlación con la evolución, aunque esta correlación no es perfecta.[6]
Profilaxis
En los niños con la enfermedad las medidas profilácticas incluyen cuidados semejantes a los de todos los niños con síndrome nefrótico, en particular en lo que se refiere a la nutrición, a la vacunación correcta y a la prevención de los efectos secundarios de la corticoterapia. No hay precisiones sobre el empleo profiláctico del etindronato[nota 3] en los niños que reciben corticoterapia prolongada. En los pacientes que deban recibir inmunosupresión prolongada se recomienda la administración profiláctica de trimetoprima-sulfametoxazol.[7]
Los autores de un trabajo se preguntan si se justifica la anticoagulación profiláctica en los pacientes con síndrome nefrótico[40] y llegan a la conclusión de que como no se dispone de evidencias que apoyen la indicación de anticoagulación profiláctica en los pacientes con ese síndrome hay que indicar la anticoagulación sobre la base de las sugerencias de las guías clínicas actuales y de manera individualizada (para lo cual es preciso saber reconocer los factores de riesgo de cada paciente y analizar la relación riesgos:beneficios en cada caso).[40]
Como ya se dijo, la nefropatía membranosa es la causa más frecuente de síndrome nefrótico en los adultos. Entre el veinte y el treinta por ciento de los pacientes presentan remisión espontánea, en el cuarenta por ciento de los casos hay una remisión parcial y el paciente permanece estable y del quince al treinta por ciento de los pacientes desarrollan insuficiencia renal progresiva. Según una publicación,[41] se ha demostrado que el tratamiento con esteroides y fármacos citotóxicos aumenta la probabilidad de remisión y mejora la conservación de la función renal.
Véase también
- Glomérulo renal
- Glomerulonefritis
- Glomerulonefritis posestreptocócica
- Glomerulonefritis rápidamente progresiva
- Síndrome nefrótico
Notas
- ↑ Como en esta glomerulopatía no suelen detectarse células inflamatorias y en algunos (o muchos) de los casos podría no haber una inflamación local prominente sino atrapamiento de complejos inmunes, algunos autores prefieren utilizar los nombres glomerulopatía membranosa o glomerulonefropatía membranosa; sin embargo, la presencia de inmunoglobulinas, complemento y complejo de ataque de membrana (C5b-9) implica un proceso inflamatorio. Otros términos utilizados han sido nefropatía membranosa y nefropatía (o glomerulopatía) epimembranosa, perimembranosa o extramembranosa.[6]
- ↑ Anticuerpo que reacciona con un aloantígeno (antígeno presente en algunos miembros de una especie pero no en otros). Los aloantígenos incluyen fundamentalmente los antígenos de grupo sanguíneo y los de histocompatibilidad. El ejemplo más representativo es el de los aloanticuerpos que se generan en un paciente que ha sufrido un trasplante, los cuales reaccionan ante los aloantígenos del injerto.[22]
- ↑ Además de su indicación específica (la enfermedad de Paget), el etidronato en ocasiones también se usa para tratar y prevenir la osteoporosis causada por corticosteroides.[39]
Referencias
- ↑ Jones D.B., “Nephrotic glomerulonephritis”, Am J Pathol (mar-abr de 1957), 33(2): 313-329. PMC1934622. Consultado en [1] el 12 de junio de 2015.
- ↑ a b c d e MedlinePlus, Enciclopedia médica en español, “Nefropatía membranosa”, agosto de 2007. Consultado en [2] el 8 de junio de 2015.
- ↑ a b c d e f g h i j k l m n ñ Mansur A., “Membranous Glomerulonephritis”, Batuman V. (ed.). Medscape, actualizado el 22 de enero de 2014. Consultado en [3] el 9 de junio de 2015.
- ↑ Passerini P., Ponticelli C., “Corticosteroids, cyclophosphamide, and chlorambucil therapy of membranous nephropathy”, Semin. Nephrol. (julio de 2003), (4), 355-361. PMID:12923723. DOI: 10.1016/S0270-9295(03)00052-4. Resumen disponible en [4]. Consultado el 9 de junio de 2015.
- ↑ Markowitz G.S., “Membranous glomerulopathy: emphasis on secondary forms and disease variants”, Adv Anat Pathol (mayo de 2001), 8 (3), 119-125. PMID: 11345236, DOI: 10.1097/00125480-200105000-00001. Disponible en [5] Archivado el 11 de marzo de 2012 en Wayback Machine..
- ↑ a b c d e f g h Arias L.F. (ed.), “Glomerulopatía membranosa”, Patología Renal y de Trasplantes (PRYT), Universidad de Antioquia, Facultad de Medicina, Medellín, Colombia. Consultado en [6] el 11 de junio de 2015.
- ↑ a b c Martini R.J., “Nefropatía membranosa”, Arch.Latin.Nefr.Ped. 2002; 2(2):104-111. Consultado en [7] Archivado el 14 de junio de 2015 en Wayback Machine. el 12 de junio de 2015.
- ↑ Bell E.T., “A clinical and pathological study of subacute and chronic Glomerulonephritis including lipoid nephrosis”, Am J Pathol 1938; 14:691-736.
- ↑ Heyman W., Haekel D.B., Hardword S., Wilson S.G.F. y Hunter L.P., “Production of nephritic syndrome in rats by Freud’s adjutants and rat kidney suspensions”, Proc Soc Exp Biol Med 1959; 100: 660-664.
- ↑ a b c d Andrews J., “Tratamiento de la nefropatía membranosa idiopática”, Hospital Británico de Buenos Aires, Servicio de Nefrología. Consultado en [8] el 10 de junio de 2015
- ↑ Kerjaschki D. y Farquhar M.G., “The pathogenic antigen of Heymann nephritis is a membrane glycoprotein of the renal proximal tubule brush border”, Proc Natl Acad Sci (sept. de 1982), 79: 5557-5561.Consultado en [9] el 11 de junio de 2015.
- ↑ Kerjaschki D. y Farquhar M.G., “Immunocytochemical localization of the Heymann nephritis antigen (GP330) in glomerular epithelial cells of normal Lewis rats”, J Exp Med 1983, 157, 667-686. Consultado en [10] (enlace roto disponible en Internet Archive; véase el historial, la primera versión y la última). el 12 de junio de 2015.
- ↑ Ronco P. y Debiec H., “Molecular pathomechanisms of membranous nephropathy: from Heymann nephritis to alloimmunization”, J Am Soc Nephrol. 2005;16(5):1205-1213. Consultado en [11] el 10 de junio de 2015.
- ↑ Naruse T., Fukasawa T., Hirokawa N., Oike S. y Miyakawa Y., “The pathogenesis of experimental membranous glomerulonephritis induced with homologous nephritogenic tubular antigen”, J Exp Med 1976, 144:1347-1362. Consultado en [12] el ocho de junio de 2015.
- ↑ Collins A.B., Andres G.A. y McCluskey R.T., “Lack of evidence for a role of renal tubular antigen in human membranous glomerulonephritis”, Nephron 1981, 27:297-301. Resumen consultado en [13] el 12 de junio de 2015.
- ↑ Thorpe L.W. y Cavallo T., “Renal tubule brush border antigens: failure to confirm a pathogenetic role in human membranous glomerulonephritis”, J Clin Lab Immunol 1980, 3:125-127. Consultado en [14] el 7 de junio de 2015.
- ↑ Chen A., Frank R., Vento S., Crosby V., Chandra M., Gauthier B. et al., “Idiopathic membranous nephropathy in pediatric patients: presentation, response to therapy, and long-term outcome”, BMC Nephrol (6 de agosto de 2007);8:11.[Medline]. DOI:10.1186/1471-2369-8-11. Consultado en [15] el 9 de junio de 2015.
- ↑ a b c d Kelley W.N., Medicina interna, t. I, 2.a reimpr., Buenos Aires, Argentina, Editorial Médica Panamericana, 1991. ISBN: 950-06-1236-4.
- ↑ Nagaku M., Stuart J. y Couser W., “Cellular response to injury in Membranous Nephropathy”, J Am Soc Nephrol 2005, 16: 1195-1204.
- ↑ Carpio R., “Síndrome nefrótico del adulto: estudio clínico, bioquímico, tratamiento y evolución de 129 pacientes en el Hospital General Base Cayetano Heredia”, Tesis de bachiller 1982, Lima, Perú, Universidad Peruana Cayetano Heredia, 38 pp.
- ↑ Praga M., Polanco N. y Gutiérrez E., “¿Cuándo y cómo tratar a los pacientes con glomerulonefritis membranosa?, Nefrología 2008, 28(1):8-12.
- ↑ Diccionario médico.
- ↑ El Kossi M., Harmer A., Goodwin J., Wagner B., Shortland J., Angel C. et al., "De novo membranous nephropathy associated with donor-specific alloantibody", Clin Transplant (enero-febrero de 2008);22(1):124-127. [Medline].
- ↑ a b c Benzaquén de De Giovanni E. y Meletti Madile B., “Síndrome nefrótico por glomerulonefritis membranosa en la infancia”, Arch. argent. Pediatr (jul./ago. de 2004), v.102, No 4, Buenos Aires. ISSN de la versión en línea:1668-3501. Consultado en [16] el 11 de junio de 2015.
- ↑ Miner J.H., "A Molecular Look at the Glomerular Barrier", Nephron Experimental Nephrology 2003, 94:119-122, Consultado en [17] Archivado el 23 de septiembre de 2015 en Wayback Machine. el 6 de junio de 2015.
- ↑ Cannata J., Pérez R., Egido J., Barat A. y Hernando L., “Glomerulonefritis membranosa idiopática. Evolución clínica e histológica”, Rev Clin Esp 1978; 151: 371-375.
- ↑ Ehrenreich T., Churg J., “Pathology of membranous nephropathy” en Kidney Pathology Decenial 1966-1975, Series Editor, Sheldon C. Sommers, Apleton-Century-Crofts, Nueva York, 1975, pp. 389-433.
- ↑ Barat A., del Barrio Molina M. y Manzarbeitia F., “Sinopsis de patología ultraestructural del glomérulo renal”, Rev Esp Patol 2002, vol. 35, Nº 2, pp. 151-166. Disponible en [18]. Consultado el 11 de junio de 2015.
- ↑ Fernández Fresnedo G., "Glomerulonefritis primarias", cap. 2 en Nefrología 2010. DOI: 10.3265/Nefrologia.2010.pub1.ed80.chapter2790. Disponible en [19] Archivado el 16 de junio de 2015 en Wayback Machine..Consultado el 14 de junio de 2015.
- ↑ Sreepada T.K. Rao, “Focal Segmental Glomerulosclerosis”, Medscape. Actualizado en febrero de 2015. Consultado en [20] el 10 de junio de 2015.
- ↑ Kathuria P., “Membranoproliferative Glomerulonephritis”, Medscape, actualizado en septiembre de 2013. Consultado en [21] el 9 de junio de 2015.
- ↑ Mansur A., “Minimal-Change Disease”, Medscape, actualizado en enero de 2015. Consultado en [22] el 10 de junio de 2015.
- ↑ a b c Pusey C.D., The Treatment of Glomerulonephritis, Springer Science & Business Media, 28 de mayo de 2007, 230 pp. Consultado en su vista previa en [23] el 13 de junio de 2015.
- ↑ a b Llerena García G., López Lam T.P. y Miyahira Arakaki J, “Terapia inmunosupresora en pacientes con nefropatía membranosa idiopática”, Rev Med Hered (abr./may. de 2009), v. 20, No 2. Consultado en [24] el 13 de junio de 2015.
- ↑ a b c d e Sobarzo Toro M. y Vilches A., “La nefropatía membranosa del adulto”, Medicina (B. Aires), (ene./feb. de 2004), v. 64, No 1, ISSN de la versión en línea:1669-9106. Consultado en [25] el 13 de junio de 2015.
- ↑ MRC/BHF Heart Protection Study of cholesterol lowering with simvastatin in 20536 high-risk individuals: a randomized placebo-controlled trial, Lancet 2002; 360: 7-22.
- ↑ Orth S. y Ritz E., “The renal risks of smoking: an update”, Curr Opin Nephrol Hy 2002, 11: 483-488.
- ↑ a b c d Manual Merck, “Síndrome nefrótico”, en “Trastornos de los riñones y de las vías urinarias” (sección 11). Consultado en [26] Archivado el 16 de junio de 2015 en Wayback Machine. el 11 de junio de 2015.
- ↑ MedlinePlus, “Etindronato”, consultado en [27] el 12 de junio de 2015.
- ↑ a b Hernández-Hernández Y.y Barrio-Lucía V., “¿Está justificado el tratamiento anticoagulante profiláctico para prevenir las complicaciones trombóticas en pacientes con síndrome nefrótico?”, NefroPlus 2014;6:51-53. DOI : 10.3265/NefroPlus.pre2014.Jul.12662. Consultado en [28] el 10 de junio de 2015.
- ↑ La Enciclopedia Médica, “Glomerulonefritis: tratamiento, causas, síntomas, diagnóstico y prevención”. Consultado en [29] Archivado el 16 de junio de 2015 en Wayback Machine. el 12 de junio de 2015.
Enlaces externos
Wikimedia Commons alberga una categoría multimedia sobre Nefrología.- Nefropatía membranosa, MedlinePlus, agosto de 2007.
- Registro de glomerulonefritis (1999-2014) de la Sociedad Española de Nefrología (SEN).
