Leucemia
| Leucemia | ||
|---|---|---|
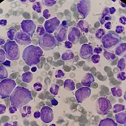
![]() Frote sanguíneo de precursores linfocíticos en una Leucemia linfoide aguda (LLA). | ||
| Especialidad | hematología y oncología | |
| Frecuencia | 2.3 millones (2015)[1] | |

La leucemia es un grupo de enfermedades malignas de la médula ósea (cáncer hematológico)[2] que provoca una proliferación anormal de leucocitos en ella. Sin embargo, en algunos tipos de leucemias también pueden afectarse cualquiera de los precursores de las diferentes líneas celulares de la médula ósea, como los precursores mieloides, monocíticos, eritroides o megacariocíticos.[3] Las células cancerígenas impiden que se produzcan glóbulos rojos, plaquetas y glóbulos blancos maduros (leucocitos) saludables. Entonces, se pueden presentar síntomas potencialmente mortales a medida que disminuyen las células sanguíneas normales. Las células cancerosas se pueden propagar al torrente sanguíneo y a los ganglios linfáticos. También pueden viajar al cerebro y a la médula espinal (el sistema nervioso central) y otras partes del cuerpo.[4] El desarrollo de la enfermedad es extremadamente variable variando de necesidad de intervención inmediata en las formas más agresivas hasta un trascurso sin necesidad de tratamiento durante más de 20 años en algunas formas de buen pronóstico de la leucemia linfoide crónica.[5]
Etimología
La palabra leucemia, que significa "sangre blanca", se deriva de la alta cantidad de glóbulos blancos que la mayoría de los pacientes de leucemia tienen antes del tratamiento. El elevado número de células blancas en la sangre es evidente cuando se observa una muestra de sangre afectada bajo el microscopio. Con frecuencia, estas células blancas extra son inmaduras o disfuncionales. El excesivo número de células también puede interferir con el nivel de otras células, causando un desequilibrio perjudicial en la proporción de la sangre.
Epidemiología
La leucemia puede desarrollarse rápida o lentamente. La leucemia crónica crece lentamente. En la leucemia aguda las células son muy anormales y su número aumenta rápidamente. Los adultos pueden tener cualquiera de estos tipos; los niños con leucemia, generalmente, sufren del tipo agudo. Algunas leucemias, con frecuencia, puede curarse. Otras, son difíciles de tratar, pero pueden controlarse. Los tratamientos pueden incluir quimioterapia, radioterapia y trasplante de células madre. Aun si los síntomas desaparecen, se podría necesitar tratamiento para prevenir una recaída.[6]
-es.png)
Los síntomas incluyen:
- Infecciones.
- Fiebre.
- Pérdida del apetito.
- Cansancio.
- Sangrar o amoratarse con facilidad.
- Inflamación de los ganglios linfáticos.
- Sudores nocturnos.
- Dificultad para respirar.
- Dolor en los huesos o en las articulaciones.
Los factores de riesgo para la leucemia en niños incluyen: tener un hermano o hermana con leucemia, tener ciertos trastornos genéticos o recibir tratamiento con radiación o quimioterapia. Generalmente, la leucemia infantil se cura con el tratamiento. Las opciones de tratamiento incluyen: quimioterapia, tratamiento con otros medicamentos y radiación. En algunos casos, un trasplante de médula ósea y de células madre puede ayudar.

Clasificación
Existen distintos tipos de clasificación, en función del criterio que se utilice para ello.
Según la población celular afectada
- Leucemia mieloide crónica (LMC) incluida dentro de los síndromes mieloproliferativos crónicos.
- Leucemia mieloide aguda (LMA) o leucemia mieloblástica.
- Leucemia linfoide crónica (LLC) incluida dentro de los síndromes linfoproliferativos y equiparable al linfoma linfocítico.
- Leucemia linfoide aguda o leucemia linfoblástica aguda (LLA).[7]
- Linfomas no hodgkinianos leucemizados, es decir, con la presencia de células linfomatosas en la sangre periférica, como sucede en la tricoleucemia.
Según la gravedad de la patología
- Aguda: en este caso, se da un aumento muy rápido de las células sanguíneas inmaduras. Estas células no realizan las funciones sanguíneas necesarias, y ocupan un espacio que permitiría el desarrollo de las células maduras. Es muy importante que el tratamiento sea precoz ya que la progresión celular y la dispersión de las células malignas puede conducir a que la leucemia llegue a otros órganos corporales. Esta forma de leucemia es la más común en niños.
- Crónica: en esta afectación, se producen demasiados glóbulos blancos maduros pero anormales. Progresa durante meses o años, por lo que no siempre se administra el tratamiento inmediatamente, sino que a veces se monitoriza la situación para ver cual es el momento más efectivo para la terapia. Aunque pueden ocurrir en cualquier grupo de edad, la leucemia crónica ocurre más a menudo en personas mayores.
La principal característica de las leucemias agudas es la presencia de un "cese madurativo" de las células de línea mieloide (LMA) o Linfoide (LLA) con blastosis en médula ósea (superior de 20% de celularidad no eritroide según la OMS). Dado que todavía queda hematopoyesis normal residual, puede verse en sangre periférica la existencia de un "hiato leucémico", es decir, presencia de formas inmaduras en sangre periférica y formas maduras pero con ausencia de elementos intermedios.
En las leucemias crónicas, la principal característica morfológica es la no existencia de dicho hiato leucémico, ya que no existe detenimiento madurativo, permitiendo secretar a la sangre células maduras, y su curso clínico suele ser indolente.
Cuadro clínico
Se producen daños en la médula ósea, a modo de desplazamientos de las células normales de la médula ósea con un mayor número de glóbulos blancos inmaduros. Todo esto se traduce en una falta de plaquetas en la sangre, fundamentales en el proceso de coagulación sanguínea, por lo que las personas con leucemia pueden desarrollar fácilmente hematomas y un sangrado excesivo o hemorragias punteadas (petequias).
Los glóbulos blancos, implicados en la defensa del organismo, pueden ser deficientes o disfuncionales. Esto puede causar que el sistema inmune del paciente sea incapaz de luchar contra una infección simple. Debido a que la leucemia impide que el sistema inmunitario funcione con normalidad, algunos pacientes experimentan infecciones frecuentes, que van desde las amígdalas infectadas, llagas en la boca, diarrea, neumonía o infecciones oportunistas.
Por último, la deficiencia de glóbulos rojos produce anemia, que puede causar disnea y palidez.
De manera resumida, algunas de sus manifestaciones clínicas más importantes son:
- Decaimiento, falta de fuerzas, mareos, náuseas, vómitos, inapetencia, disminución de peso importante.
- Fiebre que dura varios días sin una causa aparente, sudoración nocturna, escalofríos.
- Dolor o sensibilidad ósea, dolores articulares y de extremidades.
- Hemorragias frecuentes sin motivo aparente, por ejemplo, sangrado anormal de las encías o de la nariz.
- Petequias o hematomas sin haber tenido algún golpe.
- Palidez de piel, interior de la cavidad oral o de los párpados.
- Aumento de tamaño de los ganglios linfáticos.
- Aparición de masas o crecimientos anormales de órganos abdominales como el bazo y el hígado, o aparición de masas que crecen en otras partes del cuerpo.
- Alteraciones de los exámenes sanguíneos (hemograma, VIH, etc.).
- Irregularidad en los ciclos menstruales.
- Dolor en articulaciones.
- Insomnio, se presenta por diversos factores, entre ellos, por la afectación a nivel cognitivo de saberse con la enfermedad.
- Fatiga.
Uno de los síntomas frecuentes en este padecimiento es “la fatiga”, relacionada con el cáncer, la cual tiene efectos nocivos en diferentes dimensiones del ser humano, dado que somos seres biopsicosociales, afectando entonces, la parte física, social y cognitiva, así como el funcionamiento profesional del sujeto. El National Comprehensive Cancer Network en 2014, definió la fatiga relacionada con el cáncer como una inusual sensación persistente y subjetiva de cansancio que no va de acuerdo a la actividad que realiza el paciente de manera cotidiana, interfiriendo en su funcionamiento habitual.[8]
Algunos pacientes con leucemia no tienen una alta cantidad de glóbulos blancos visibles durante un recuento sanguíneo normal. Esta enfermedad menos común se denomina aleucemia. La médula ósea contiene las células cancerosas aún blancas de la sangre que perturban la producción normal de células sanguíneas. Sin embargo, las células leucémicas se alojan en la médula en lugar de entrar en el torrente sanguíneo, donde serían visibles en un análisis de sangre. Para un paciente aleucémico, el recuento de glóbulos blancos en la sangre puede ser normal o baja. La aleucemia puede ocurrir en cualquiera de los cuatro tipos principales de leucemia, y es particularmente común en la leucemia de células pilosas.
Etiología
No hay una única causa conocida para todos los distintos tipos de leucemia que existen. Las causas conocidas, que no son factores intrínsecos de la persona, representan relativamente pocos casos.[9] Cada leucemia distinta puede tener varias causas diferentes.
La leucemia, al igual que otros tipos de neoplasias, son el resultado de mutaciones del ADN. Ciertas mutaciones producen la activación de oncogenes o la desactivación de los genes supresores de tumores, y con ello alteran la regulación de la muerte celular, la diferenciación o la mitosis. Estas mutaciones ocurren espontáneamente o como resultado de la exposición a la radiación o a sustancias cancerígenas, además de la probable influencia de factores genéticos.[10]
Entre los adultos, podemos diferenciar entre los factores biológicos (virus como el virus linfotrópico T humano) y los artificiales (radiación ionizante, benceno, agentes alquilantes y quimioterapia para otras enfermedades).[11][12][13] El consumo de tabaco se asocia con un pequeño aumento en el riesgo de desarrollar leucemia mieloide aguda en adultos.[11] El uso y la exposición a algunos productos petroquímicos y tintes para el cabello se ha relacionado con el desarrollo de algunas formas de leucemia. También se han descrito casos de transmisión materno-fetal.[11]
Algunas formas de leucemia están vinculadas a infecciones víricas. Experimentos en ratones y otros mamíferos han demostrado la relación entre los retrovirus y la leucemia y también han sido identificados retrovirus humanos. El primer retrovirus humano identificado fue el virus linfotrópico T humano o HTLV-1, el cual causa la leucemia de células T.[14]
Algunas personas tienen una predisposición genética hacia el desarrollo de leucemias. Esta predisposición se demuestra por los antecedentes familiares y los estudios en gemelos.[11] Los afectados pueden tener un solo gen o genes múltiples en común. En algunos casos, las familias tienden a desarrollar el mismo tipo de leucemia que los demás miembros; en otras familias, las personas afectadas pueden desarrollar formas diferentes de leucemia o neoplasias relacionados con la sangre.[11]
Además de estas cuestiones, las personas con anomalías cromosómicas o ciertas enfermedades genéticas tienen un mayor riesgo de padecer leucemia.[12] Por ejemplo, las personas con síndrome de Down tienen un riesgo significativamente mayor de desarrollar formas de leucemia aguda y la anemia de Fanconi es un factor de riesgo de desarrollar leucemia mieloide aguda.
La radiación no ionizante como causa de la leucemia ha sido estudiada durante varias décadas. Los expertos del grupo de trabajo de la Agencia Internacional de Investigaciones sobre el Cáncer realizaron una revisión detallada de todos los datos estadísticos acerca de frecuencias extremadamente bajas de energía electromagnética, que se produce de forma natural y en asociación con la generación, transmisión y uso de la energía eléctrica.[15] Llegaron a la conclusión de que hay muy pocas pruebas de que altos niveles de campos magnéticos de ELF (frecuencia extremadamente baja) ―pero que no sean eléctricos― podrían causar leucemia infantil. La exposición a campos magnéticos de ELF significativa podría dar lugar a un doble riesgo excesivo para la leucemia de los niños expuestos a estos altos niveles de campos magnéticos. Sin embargo, el informe también dice que las deficiencias metodológicas y sesgos en estos estudios probablemente hayan hecho que el riesgo sea exagerado.[15] No se ha demostrado evidencia de una relación con la leucemia u otro tipo de tumor maligno en los adultos.[15] Dado que la exposición a tales niveles de ELF es relativamente poco común, la Organización Mundial de la Salud concluye que la exposición de ELF, que cada año representa solo entre 100 y 2400 casos en todo el mundo, lo que representa 0,20 a 4,95 % de la incidencia total para ese año.[16]
Diagnóstico
El diagnóstico se basa generalmente en repetidos conteos sanguíneos completos y un examen de médula ósea tras los síntomas observados. La biopsia de un ganglio linfático puede realizarse también para diagnosticar ciertos tipos de leucemia en algunas situaciones. Una vez diagnosticada la enfermedad, una analítica sanguínea puede utilizarse para determinar el grado de daño al hígado y a los riñones o los efectos de la quimioterapia en el paciente. Para observar los posibles daños visibles debidos a la leucemia, se pueden utilizar radiografías (en huesos), resonancia magnética (cerebro) o ultrasonidos (riñón, bazo e hígado). Las tomografías computarizadas rara vez se utilizan para revisar los nódulos linfáticos en el pecho.
Si bien algunas leucemias tienen carácter fulminante, otras pueden ser enfermedades indolentes, de presentación insidiosa. Ya que no existe ningún síntoma que por sí solo y de manera específica permita diagnosticar esta enfermedad, siempre debe descartarse la presencia de leucemia en presencia de manifestaciones clínicas sugerentes, tales como un hemograma alterado. El método más seguro para confirmar o descartar el diagnóstico es mediante la realización de un mielograma y, solo en casos seleccionados, puede ser necesario realizar una biopsia de la médula ósea.
Tratamiento
El tratamiento de la leucemia puede incluir:[17]
- Medicamentos o quimioterapia por vía intravenosa u oral o quimioterapia por vía intratecal (medicamentos introducidos en la médula espinal con una aguja, en el área denominada espacio subaracnoideo).[18]
- Radioterapia.
- Trasplante de médula ósea o de sangre de cordón umbilical.
- Terapia biológica.
- Medicamentos para prevenir y tratar náuseas y otros efectos secundarios del tratamiento, transfusiones sanguíneas (de glóbulos rojos o plaquetas), y antibióticos para prevenir y tratar infecciones.
En un estudio realizado en el cual los pacientes fueron sometidos a un régimen de ejercicio aeróbico, el cual fue realizado en una bicicleta reclinada con una duración de 10 a 20 minutos de 3 a 4 veces por semana durante 4 a 5 semanas y un entrenamiento de resistencia como parte de un protocolo de ejercicio para atenuar la pérdida de masa muscular observada en pacientes con una estancia larga en cama, la cual es frecuente en pacientes que reciben tratamiento para leucemia, los resultados obtenidos mostraron una reducción significativa en cuanto a la fatiga y depresión, manteniendo la masa muscular de los pacientes, y dejando evidencia de que una combinación de entrenamiento aeróbico y de resistencia, crea un efecto positivo tanto físico como psicológico en pacientes que se encuentran en tratamiento.[19]
Posible cura
En 2014, investigadores de Minnesota (Estados Unidos) han conseguido acabar con la leucemia de una mujer de 50 años inyectándole una dosis masiva de una cepa genéticamente modificada del virus del sarampión de tipo MV-NIS.[20]
Véase también
Referencias
- ↑ Vos, Theo; Allen, Christine; Arora, Megha; Barber, Ryan M; Bhutta, Zulfiqar A; Brown, Alexandria; Carter, Austin; Casey, Daniel C et al. (2016-10). «Global, regional, and national incidence, prevalence, and years lived with disability for 310 diseases and injuries, 1990–2015: a systematic analysis for the Global Burden of Disease Study 2015». The Lancet 388 (10053): 1545-1602. ISSN 0140-6736. PMC 5055577. PMID 27733282. doi:10.1016/s0140-6736(16)31678-6. Consultado el 4 de mayo de 2024.
- ↑ «Leucemia» Archivado el 4 de marzo de 2016 en Wayback Machine., artículo en español en el sitio web OncoLink.
- ↑ Pizzo, A. Philip; Poplack, David G. (2002): Principles and practice of Pediatric Oncology. Filadelfia (Estados Unidos): Lippincott Williams & Wilkins. Pág. 545.
- ↑ La leucemia en el cerebro y la médula espinal.
- ↑ Pepper, Chris; Majid, Aneela; Lin, Thet Thet; Hewamana, Saman; Pratt, Guy; Walewska, Renata; Gesk, Stefan; Siebert, Reiner et al. (2012-02). «Defining the prognosis of early stage chronic lymphocytic leukaemia patients: Prognosis in CLL». British Journal of Haematology (en inglés) 156 (4): 499-507. doi:10.1111/j.1365-2141.2011.08974.x. Consultado el 25 de noviembre de 2022.
- ↑ NIH: Instituto Nacional del Cáncer, recuperado de https://medlineplus.gov/spanish/leukemia.html
- ↑ LLA, en Fundación Josep Carreras, España
- ↑ Hill, C. (2015). «Physiologic and Psychological Symptoms Experienced by Adults With Acute Leukemia: An Integrative Literature Review». HHS Public Access.
- ↑ Ross JA, Kasum CM, Davies SM, Jacobs DR, Folsom AR, Potter JD (agosto de 2002). «Diet and risk of leukemia in the Iowa Women's Health Study». Cancer Epidemiol. Biomarkers Prev. 11 (8): 777-781. PMID 12163333.
- ↑ «Do We Know What Causes Leukemia». Detailed Guide: Leukemia. American Cancer Society. 2010. Archivado desde el original el 23 de marzo de 2010. Consultado el 18 de mayo de 2010.
- ↑ a b c d e Wiernik, Peter H. (2001). Adult leukemias. Nueva York: B. C. Decker. pp. 3-15. ISBN 1-55009-111-5.
- ↑ a b Robinette, Martin S.; Cotter, Susan; Van de Water (2001). Quick Look Series in Veterinary Medicine: Hematology. Teton NewMedia. p. 105. ISBN 1-893441-36-9.
- ↑ Stass, Sanford A.; Schumacher, Harold R.; Rock, William R. (2000). Handbook of hematologic pathology. Nueva York: Marcel Dekker. pp. 193-194. ISBN 0-8247-0170-4.
- ↑ Leonard, Barry (1998). Leukemia: A Research Report. DIANE Publishing. p. 14. ISBN 0788171895.
- ↑ a b c Non-Ionizing Radiation, Part 1: Static and Extremely Low-Frequency (ELF) Electric and Magnetic Fields (IARC Monographs on the Evaluation of the Carcinogenic Risks).. Génova: World Health Organisation. 2002. pp. 332-333, 338. ISBN 92-832-1280-0.
- ↑ «WHO | Electromagnetic fields and public health». Consultado el 18 de febrero de 2009.
- ↑ Hernández Menéndez, Maite; y Ríos Hernández, María de los Ángeles: «Oncogenes y cáncer» Archivado el 23 de septiembre de 2013 en Wayback Machine., en Revista Cubana de Oncología, 15 (2): págs. 131-139; 1999
- ↑ Agentes citostáticos. Archivado el 16 de mayo de 2013 en Wayback Machine. Protocolos de vigilancia sanitaria específica. Comisión de Salud Pública de Consejo Interterritorial del Sistema Nacional de Salud, España, 2003
- ↑ Battaglini, C. (2009). «The effects of an exercise program in leukemia patients». Integrative Cancer Therapies.
- ↑ «Logran curar el cáncer de sangre a una mujer en EE. UU.», artículo en el diario ABC (Madrid) del 16 de mayo de 2014.
Enlaces externos
Wikimedia Commons alberga una categoría multimedia sobre Leucemia.
Artículos en Wikinoticias:
- En MedlinePlus hay más información sobre Leucemia
