Linfoma de células T
Linfoma de células T es una neoplasia poco frecuente que constituyen menos del 15% de los linfomas no Hodgkin en los Estados Unidos.[1] Existen muchos tipos de linfoma de células T, incluyendo Linfoma periférico de células T no especificado, Linfoma angioinmunoblástico de células T, Linfoma intestinal de células T asociado a enteropatía (EATL), y Linfoma anaplásico de células grandes.
| Linfoma de células T | ||
|---|---|---|
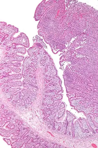
![]() Una micrografía del linfoma de células T asociado a enteropatía. | ||
Semiología
Los linfomas son un tipo de enfermedades neoplásicas (tumorales) que afectan a los linfocitos, células que forman parte de nuestro sistema inmune. Pese a que otros tipos de cáncer como el cáncer de pulmón, mama o colon pueden afectar en su extensión a los ganglios linfáticos, la característica de los linfomas es que se originan en ellos.
Patología
Es causada por la activación de un gen mediada a través de la proteína viral P40 de las HTLV-1. La apariencia de las células de este tumor varía con amplitud: típicamente son células de núcleo multilobulado descrito como células en forma de coliflor, con frecuencia encontradas en tejidos involucrados como la piel, médula ósea y en sangre periférica. Aunque menos habitual, también están presentes células gigantes multinucleadas, que recuerdan las células Reed-Sternberg. Y un número variable de linfocitos malignos CD4+ en la sangre periférica. Las células de este tumor contienen provirus HTLV-1 clonal compatible con el involucro directo patogénico del virus en este neoplasma, además expresan altos niveles de CD25 en la cadena α de receptores para interleucina-2 (IL-2). Las células T en el linfoma expresan CD2, CD3 y CD5. La mayoría de los pacientes tienen células T colaboradoras del tipo inmunológico (CD4+).
Características clínicas
Es una enfermedad sistémica con manifestaciones multiorgánicas y leucocitosis periférica. Se caracteriza por lesiones en la piel y leptomeninges, linfadenopatía generalizada, leucemia, hepatoesplenomegalia, linfocitis sanguínea periférica. Es típica la hipercalcemia con o sin lesiones óseas líticas. La mayoría de los pacientes se presentan con una enfermedad rápidamente progresiva, con un pobre pronóstico: Es fatal de meses a un año, con una media de ocho meses. A pesar de una agresiva quimioterapia, la muerte ocurre frecuentemente por complicaciones infecciosas, como en pacientes con virus de la inmunodeficiencia humana (HIV). En el 15% al 20% de los pacientes el curso de la enfermedad es crónica. Menos común, el tumor primariamente involucra la piel y sigue un curso más indolente, pareciendo una micosis fungoide. Se debe notar que, además de causar malignidades linfoides, la infección por HTLV-1 puede llevar a mielitis transversa, una enfermedad desmielinizante progresiva, afectando al sistema nervioso central y la médula ósea. La variante cutánea se manifiesta como un nódulo solitario elevado de color rojizo violáceo, o por una serie de nódulos coalescentes, en particular en cabeza y cuello. Puede estar presente en la piel y permanecer por muchos años antes de sistematizarse.
Referencias
- ↑ «Tipos de linfoma de células T». www.cancer.org. Consultado el 12 de octubre de 2023.
Enlaces externos
- [1].
- ↑ Kumar, V., Abbas, A.; Robbins basic Pathology, 8ª. ed., Ed. Saunders Elsevier, p. 460.
- ↑ Kumar, V., Abbas, A.; Robbins and Cotran Pathologic basis of disease, 7a. ed., Ed. Elsevier Saunders, p. 685.
- ↑ Chandrasoma, P., Taylor, C.,; Patología general, 3a. ed., Ed. Manual moderno, p. 473.
- ↑ Rubin, R., Strayer, D.; Rubin’s Pathology, 5a. ed., Ed. Wolters Kluwer Health, p. 921.
- ↑ Stevens, A., Lowe, J.; Patología clínica, 3a. ed., Ed. Manual moderno, p. 530.
- ↑ Mohan, H., Patología, 6ª. ed., Ed. Panamericana, p. 380.
