Neoplasia intraepitelial vulvar
| Neoplasia intraepitelial vulvar | ||
|---|---|---|
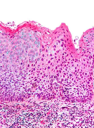
![]() Micrografía de una NIV III. Tinción H&E. | ||
| Especialidad | oncología | |
En medicina, el término neoplasia intraepitelial vulvar (NIV) denota una lesión del epitelio escamoso de la vulva que se caracteriza por displasia con varios grados de atipia entre el epitelio originándose desde la lámina basal, la cual permanece intacta, de modo que no es una enfermedad invasiva, como el cáncer, aunque tienen un conocido potencial de volverse maligno.
Etimología
La terminología que clasifica a las NIV ha evolucionado en las últimas décadas. Hasta 1989 se le conocía como distrofia vulvar, enfermedad de Bowen o vulva de Kraurosis. La enfermedad se localiza entre las capas del epitelio, de allí el término intraepitelial, análoga al concepto de neoplasia intraepitelial de cuello uterino.
Clasificación
La Sociedad Internacional para el Estudio de las Enfermedades de la Vulva clasifica a la neoplasia intraepitelial vulvar en dos tipos—dejando afuera los trastornos no-neoplásicos como el liquen escleroso, la hiperplasia escamosa y otras dermatosis:[1]
- Lesiones escamosas
- NIV I, forma leve
- NIV II, intermedia
- NIV III, más severa, incluyendo el carcinoma in situ de la vulva
- Lesiones no-escamosas
- Enfermedad de Paget extramamaria
- Tumores de melanocitos, no invasivos
Cuadro clínico
En el 50% de los casos las neoplasias intraepiteliales vulvares son asintomáticas, mientras que en las pacientes restantes, suele acompañarse de picazón, sensación de quemado, dolor y la presencia de una masa palpable en la vulva.
Tratamiento
Las modalidades más usadas para el tratamiento de una NIV incluyen quimioterapia tópica, ablación con láser de dióxido de carbono y la extirpación quirúrgica. Otras opciones pueden incluir la crioterapia, inyecciones de interferón, etc.
Referencias
- ↑ ORELLANA H., Ricardo, CISTERNA C., Patricio, SAAVEDRA Y., Fernando et al. TRATAMIENTO DE LA NEOPLASIA INTRA EPITELIAL VULVAR MEDIANTE VULVECTOMÍA TEGUMENTARIA. Rev. chil. obstet. ginecol. [online]. 2005, vol.70, no.6 [citado 06 marzo de 2008], p.395-399. Disponible en la World Wide Web: [1]. ISSN 0717-7526.
- Committee de Terminología, ISSVD: New nomenclature for vulvar disease (en inglés). Int J Gynecol Pathol 1989;8:83.
Enlaces externos
- Universidad de Utah, Escuela de Medicina. Imagen de una displasia de vulva con hiperqueratosis (descripción en inglés). Último acceso 5 de marzo de 2008.
