Neumopericardio
| Neumopericardio | ||
|---|---|---|
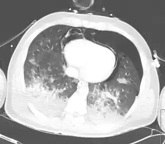
|
TAC mostrando neumopericardio con neumomediastino, neumotórax, hemotórax, y contusión pulmonar después de un severo traumatismo torácico | ||
| Especialidad | Medicina de emergencia, Neumología, Cirugía torácica | |
Neumopericardio es una condición médica donde entra aire en la cavidad pericárdica. Esta condición ha sido reconocida en neonatos prematuros, en el que se asocia con patología pulmonar severa, después de una resucitación enérgica, o en la presencia de ventilación asistida.[1] Esta es una complicación seria, la cual si no se trata puede llevar a taponamiento cardiaco y la muerte. Una condición llamada neumomediastino la cual es la presencia de aire en el mediastino, puede imitar y también coexistir con neumopericardio.
Pueda ser congénito, o creado por una herida.[2]
Fisiopatología
El mecanismo responsable del neumopericardio es el Efecto Macklin – Inicialmente hay un gradiente de presión incrementado entre el alveolo y el espacio intersticial. La presión incrementada lleva a la ruptura alveolar, como consecuencia, entra aire a través del espacio pulmonar intersticial pericapilar. Este espacio es continuo con el peribronquial y las vainas perivasculares pulmonares. Desde ahí, el aire va al hilio pulmonar y luego al mediastino. En caso de rasgadura pericardial, este aire penetra la cavidad pericardial y el neumopericardio se desarrolla. La condición puede mantenerse asintomática o puede progresar a condiciones que amenazan la vida como neumopericardio tensional o taponamiento cardiaco.[3]
Características clínicas
El paciente sintomático puede presentar disnea, cianosis, dolor de pecho, pulso paradójico, bradicardia o taquicardia. En el examen físico, el paciente puede tener la clásica Triada de Beck – hipotensión, distensión venosa yugular y sonidos de corazón distante, cuando es complicada por taponamiento cardiaco. La extensión del aire mediastínico a los tejidos subcutáneos a través de los planos fasciales pueden llevar a un enfisema subcutáneo. Cuándo aire y los fluidos se mezclan en el saco pericárdico, se puede oír un sonido de tintineo superpuesto sobre una succión de salpicaduras. Esto es conocido como “Bruit de Moulin”, que en francés significa soplo de "rueda de molino". El aire entre el pericardio parietal anterior y la caja torácica pueden dar lugar al Signo de Hamman – el cual es un sonido de crujido típicamente oído en la auscultación del pecho, pero a veces puede ser oído incluso con la oreja sin ayuda de instrumentos.[3]
Véase también
Referencias
- ↑ Sanaei-Zadeh H, Aghakhani K (2006). «Neonatal pneumopericardium». J Perinat Med 34: 89. PMID 16489892. doi:10.1515/JPM.2006.015.
- ↑ Parikh, D.H.; Crabbe, David; Auldist, Alex; Steven Rothenberg (26 de marzo de 2009). Pediatric Thoracic Surgery. Springer. p. 418. ISBN 978-1-84800-903-5.
- ↑ a b Patial, T; Malhotra, P (22 de febrero de 2016). «The Cardiac Halo: Pneumopericardium Revisited». Austin Journal of Surgery: 1077.
Enlaces externos
- Esta obra contiene una traducción derivada de « Pneumopericardium » de Wikipedia en inglés, concretamente de esta versión del 13 de setiembre de 2017, publicada por sus editores bajo la Licencia de documentación libre de GNU y la Licencia Creative Commons Atribución-CompartirIgual 4.0 Internacional.
- http://history.amedd.army.mil/booksdocs/wwii/thoracicsurgeryvolII/chapter2figure19.jpg Archivado el 17 de diciembre de 2016 en Wayback Machine.
- Karoui, Mehdi; Bucur, Petru Octav (2 de octubre de 2008). «Pneumopericardium». New England Journal of Medicine 359 (14): e16. doi:10.1056/NEJMicm074422.
- Franklin, WJ; Arora, G; Ayres, NA (2003). «Pneumopericardium and pneumomediastinum in an adolescent after blunt chest trauma.». Texas Heart Institute journal / from the Texas Heart Institute of St. Luke's Episcopal Hospital, Texas Children's Hospital 30 (4): 338-9. PMC 307727. PMID 14677752.