Plasmodium malariae
| Plasmodium malariae | ||
|---|---|---|
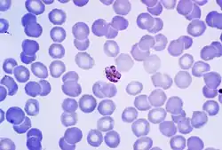
![]() Plasmodium malariae esquizontes maduros, tinción de Giemsa | ||
| Taxonomía | ||
| Reino: | Protista | |
| Filo: | Miozoa | |
| Infrafilo: | Apicomplexa | |
| Clase: | Aconoidasida | |
| Orden: | Haemosporida | |
| Familia: | Plasmodiidae | |
| Género: | Plasmodium | |
| Especie: |
P. malariae Feletti & Grassi, 1889 | |
Plasmodium malariae es un protozoo parásito de mosquitos criados en humedales de agua estancada (tablas, deltas, marismas, lagunas, pantanos, charcas, lodazales)[1] que causa paludismo o malaria relativamente benignos, en los humanos y perros que son picados por ellos. Se relaciona estrechamente con otros como el Plasmodium falciparum y el Plasmodium vivax, que son responsables de la mayoría de las infestaciones de la malaria o paludismo.
Se la llama «malaria benigna» por no ser tan peligrosa como las malarias producidas por las citadas Plasmodium falciparum o Plasmodium vivax (que producen las llamadas fiebres cuartanas, de elevado índice de mortalidad). Por el contrario, el parásito Plasmodium malariae causa unas fiebres intermitentes menos mortíferas que se repiten en intervalos de aproximadamente tres días, por lo que se denominaban en español fiebres tercianas, mientras que las otras especies del parásito hacían reaparecer la enfermedad al cuarto día, y luego a intervalos de dos días, por lo que se denominaron fiebres cuartanas o malaria cuartana, mucho más graves.[2]
Solo infecta los eritrocitos maduros.
Diagnóstico
La OMS recomienda que antes de administrar el tratamiento se confirme el diagnóstico con métodos parasitológicos. Se utilizan la microscopía y las pruebas rápidas de detección de Ag en sangre para obtener los resultados en menos de una hora.
6.1.Microscopía Se realiza mediante:
- La gota gruesa: es una técnica de referencia que requiere microscopistas expertos. Permite el examen de una mayor cantidad de sangre en menos tiempo. Se pone una gota en el centro del portaobjetos y se hacen movimientos envolventes para romper los hematíes y que los microorganismos salgan al exterior. La morfología del parásito cambia y la interpretación suele ser difícil.
- Extensión de sangre periférica: es más lento que la gota gruesa, no se rompen los hematíes, por lo que los parásitos no cambian la morfología y es más fácil identificarlos. Puede utilizarse sangre venosa anticoagulada recogida en tubos con EDTA. 6.2.Serología: IFI y ELISA se emplean sobre todo en estudios epidemiológicos.
Si P. vivax y P. ovale han estado en solución con EDTA por más de media hora antes que el frote sanguíneo sea examinado, tendrán una apariencia muy similar a P. migrariae, una importante razón para advertir al laboratorio de inmediato tan pronto una muestra sanguínea ha sido tomada para que puedan procesar la muestra tan pronto como llegue en su poder.
P. malariae Los eritrocitos son de tamaño normal o disminuido. El parásito adopta formas "en banda" y "en barra” dentro de los eritrocitos. El esquizonte presenta ocho merozoítos que se disponen “en roseta”. A veces aparecen los puntos de Ziemann como gránulos rojizos en el interior de la célula anfitriona.
Referencias
- ↑ Hernández Sobrino, Ángel (14 de enero de 2021). «Sobre tercianas y cuartanas». Lanza Digital. Consultado el 1 de junio de 2023.
- ↑ «Fiebre cuartana». Doctoralia. 2023. Consultado el 1 de junio de 2023.
