Túbulo seminífero
s= septun.
Esquema de un corte longitudinal de testículo.

Los túbulos seminíferos[1] son las estructuras histológicas microscópicas, con forma de tubos estrechos, entre 150 a 250 (µm) de diámetro, que dentro del testículo albergan el epitelio que se encarga de producir los espermatozoides.[2][3] Presentan una arquitectura altamente organizada y preestablecida.
Estructura

Los túbulos seminíferos son las unidades básicas del testículo, dentro de los cuales se forman los espermatozoides. Presentan una arquitectura altamente organizada y preestablecida.
Se han calculado en aproximadamente 1000, el número total de túbulos seminíferos, que se distribuyen en unos 250 lobulillos tabicados de cada testículo.[4]
En los mamíferos el diámetro tubular promedio de los túbulos puede ser de 140-150 micrómetros (µm) y la altura del epitelio seminífero de 40 µm. Algunos de estos animales pueden tener una longitud total de túbulos seminíferos, que se ha calculado
en 3,5 metros (m) por cada testículo.[5]
En el humano el túbulo seminífero individual puede tener 150-250 μm de diámetro.
Cada uno de estos túbulos puede medir de 30-70 centímetros (cm) de longitud.[6]
| Especies | Diámetro | Grosor epitelio | Longitud |
|---|---|---|---|
| Murino | . 150-250 micrómetros (μm) | . 80 (μm) | |
| Quiróptero | . 188 ± 38 micrómetros (μm) | . 56 ± 11 (μm)[7] | . 7 ± 3 metros (m) |
| Humano | . 150-250 micrómetros (μm) | ~80 (μm)[8] |
Compartimentos
Los túbulos presentan dos compartimentos clásicos: uno basal y otro luminal (o adluminal). Ambos presentan características anatómicas y funcionales diferenciales.[9][10][8][6]
Compartimento basal del túbulo seminífero

Es el área definida entre la lámina basal del túbulo y las uniones estrechas (thigth junctions en inglés), de las células de Sertoli.
- Consta de: una capa de células mioides contráctiles peritubulares, una lámina basal y principalmente de las células de Sertoli. Estas últimas rodean completamente con sus prolongaciones citoplasmáticas a las células germinales y están adheridas entre sí por uniones estrechas en sus membranas.[11]
- Células de Sertoli son células somáticas.
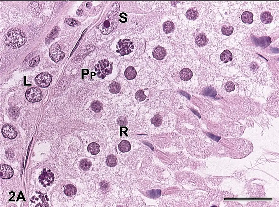
- Espermatogonias son células germinales.
En los mamíferos, las células madre espermatogonias (SSC en inglés) se mantienen mediante su continua autorrenovación y además producen espermatogonias adultas pálidas (Ap) de núcleos claros.[12][13] Las espermatogonias A stem, también denominadas células madre, representan el estrato germinal del epitelio seminífero. Tienen morfología esférica y pequeño tamaño. El núcleo es esférico, el citoplasma es claro y contiene escasos organoides. Estas células se dividen mediante mitosis.[14]
Compartimento luminal del túbulo seminífero
La disposición anatómica de los elementos de la barrera del compartimiento tubular, impide el contacto directo entre las células inmunocompetentes o sus productos, con las células germinales en diferenciación dentro del adluminal.
- Espermatocitos son células germinales.
- Espermátidas son células germinales.
- Espermatozoides son células germinales.
Función
La función de los túbulos seminíferos, es mantener una producción constante del producto final de la espermatogénesis, que son los espermatozoides.
Las paredes internas de los túbulos seminíferos, están cubiertas de espermatogonias, que son las células germinativas que, al dividirse por mitosis y meiosis, generan espermatozoides (espermiación).[15]
Desarrollan una pared gruesa y compleja llamada epitelio seminifero, compuesta por 2 tipos de células: las células germinativas (espermatogonias), que proliferan y se diferencian en espermatozoides; y las células de Sertoli, que sostienen a las células germinativas e intervienen en su nutrición. Una lámina basal separa el epitelio seminífero del tejido conectivo circundante en donde se encuentran las células de Leydig que producen testosterona.[16]
- Cerca del vértice de los lobulillo (mediastino), los extremos de cada túbulo seminífero se enderezan y forman los llamados tubos rectos, que ingresan en el mediastino y desembocan en una red de canalículos denominada rete testis.[17]
Patología
- Cáncer de testículo. Más del 95% de todos los cánceres de testículo son de células germinales que producen los espermatozoides. Es más común entre los 15 y 40 años aunque puede afectar a varones de cualquier edad.[18]
- Los seminomas son los tumores malignos de células germinales inmaduras, que representan un 40-50 % de todos los tipos de tumores de testículo.
Véase también
Referencias
- ↑ OMS,OPS (ed.). «Túbulos seminíferos». Descriptores en Ciencias de la Salud. Biblioteca Virtual en Salud.
- ↑ Sinnatamby, Chummy S. (2003). Anatomía de Last: regional y aplicada. Paidotribo. ISBN 9788480196703. Consultado el 12 de febrero de 2018.
- ↑ López García, Ma. José; Urbano Felices, Aurora; Cárdenas Povedano, Marta (2012-09). Manual de laboratorio para el análisis del Semen. OmniaScience. ISBN 9788494023484. Consultado el 12 de febrero de 2018.
- ↑ Gartner L.P. (2021). «21: Sistema Reproductor Masculino». Texto de Histología, Atlas (5.a edición). Médica Panamericana. p. 543. Consultado el 6 de marzo de 2022.
- ↑ Morais D.B.; Barros M.S.; Paula T.A.R.; Freitas M.B.D.; Gomes M.L.M.; Matta S.L.P. (2014). «Evaluation of the Cell Population of the Seminiferous Epithelium and Spermatic Indexes of the Bat oSturnira lilium (Chiroptera: Phyllostomidae).». PLoS ONE (en inglés) (Public Library of Science) 9 (7): e101759. doi:10.1371/journal.pone.0101759. Consultado el 4 de marzo de 2022.
- ↑ a b Ulrich Welsch (2008). «13: Aparato genital. Túbulo seminífero». Histología Sobotta (2a. edición). Médica Panamericana. p. 477-487.
- ↑ Morais DB.; Puga LCHP.; Paula TAR; Freitas MBD.; Matta SLPd (2017). «The spermatogenic process of the common vampire bat Desmodus rotundus under a histomorphometric view.». PLoS ONE (en inglés) (Public Library of Science) 12 (3): e0173856. doi:10.1371/journal.pone.0173856.
- ↑ a b Amor Houda; Shelko Nyaz et al. (2022). «3: Seminiferous tubules and Spermatogenesis». En Wei Wu, ed. Male Reproductive Anatomy (en inglés). IntechOpen. pp. 52-54.
- ↑ Michael H. Ross; Wojciech Pawlina (2007). «22: Aparato genital masculino. Túbulo seminífero». Histología: Texto y Atlas color (5a. edición). Médica Panamericana. pp. 801-802.
- ↑ Rodney A. Rhoades; David R. Bell (2012). «36: Male Reproductive System». Medical Phisiology: Principles for Clinical Medicine (en inglés) (4a. edición). Lippincott Williams & Wilkins. p. 680.
- ↑ Vivas G.; Lozano J.; Velasco J. (2007). «Regulación inmuno-testicular y citocinas.». Invest. clín (Maracaibo) 48 (1).
- ↑ Sato T.; Aiyama Y.; Ishii-Inagaki M.; Hara K.; Tsunekawa N.; Harikae K. et al. (2011). «Cyclical and Patch-Like GDNF Distribution along the Basal Surface of Sertoli Cells in Mouse and Hamster Testes.». PLoS ONE (en inglés) (Public Library of Science) 6 (12): e28367. doi:10.1371/journal.pone.0028367. Consultado el 4 de marzo de 2022.
- ↑ Rodney A. Rhoades; David R. Bell (2012). «36: Male Reproductive System». Medical Phisiology: Principles for Clinical Medicine (en inglés) (4a. edición). Lippincott Williams & Wilkins. p. 680.
- ↑ Capoano Bevilacqua C.A. Estudio funcional del gen Spats1 y su rol en la espermatogénesis de los mamíferos. (PDF) (Tesis). Universidad de la República, Programa de Desarrollo de las Ciencias Básicas (PEDECIBA), Área biología -Subárea Biología Celular y Molecular. p. 6.
- ↑ Sadava, David; Purves, William H. (30 de junio de 2009). Vida / Life: La ciencia de la biología / The Science of Biology. Médica Panamericana. ISBN 9789500682695. Consultado el 12 de febrero de 2018.
- ↑ Bases de la fisiología. Editorial Tebar. 2007. ISBN 9788473602662. Consultado el 12 de febrero de 2018.
- ↑ Audesirk, Teresa; Audesirk, Gerald; Byers, Bruce E. (2003). Biología: la vida en la tierra. Pearson Educación. ISBN 9789702603702. Consultado el 12 de febrero de 2018.
- ↑ «Tumores de las células germinales». ACS American Cancer Society.
Enlaces externos
Wikimedia Commons alberga una categoría multimedia sobre Túbulo seminífero.


