Neurinoma del acústico
| Neurinoma del acústico | ||
|---|---|---|
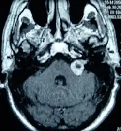
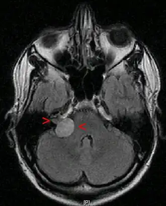
![]() Neurinoma acústico con un tamaño de 20 x 22 x 25 mm. RMN en corte axial a nivel de los globos oculares. | ||
| Especialidad | otorrinolaringología | |
| Síntomas | Pérdida gradual de la audición, mareos, tinnitus | |
| Complicaciones | Crecimiento de tumores cerebrales; parálisis facial unilateral, pérdida auditiva de un solo lado | |
| Tipos |
| |
| Diagnóstico | Examen de audición , examen de resonancia magnética | |
| Tratamiento | Radiocirugía y radioterapia.[1] | |
| Frecuencia | Muy raro-[2] | |
El neurinoma del acústico (también, neurinoma vestibular o Schwanoma vestibular) es un tumor que se origina en el conducto auditivo interno. Generalmente provoca la disminución o pérdida auditiva del lado afectado.
Cuando no se hace el diagnóstico temprano puede exceder del conducto auditivo y ocupar una región denominada ángulo ponto-cerebeloso y en casos extremos comprimir el tronco cerebral.
Generalmente deben ser extraídos quirúrgicamente, o evaluado su crecimiento con monitoreos periódicos de imágenes, sobre todo en pacientes de edad avanzada y/o con riesgo quirúrgico elevado.
Es un tumor que crece de las células de Schwann que recubren a los nervios formándoles una capa aislante.
Definición
El neurinoma del acústico es un tumor benigno que afecta al nervio estatoacústico, también conocido como VIII par craneal o nervio vestibulococlear, y suele afectar generalmente a una de sus ramas, conocida como nervio vestibular. Por ello, el nombre más correcto de este tumor sería neurinoma vestibular o Schwannoma vestibular.[cita requerida]
Clasificación
Existen dos tipos de neurinomas del VIII par craneal:
- El neurinoma esporádico, que afecta generalmente a un solo oído y es la forma más frecuente, afectando aproximadamente a una de cada 100 000 personas/año. Se suele presentar entre los 20 y los 50 años de edad. Es considerada por la Unión Europea y EE. UU. National Organization for Rare Disorders dentro del grupo de Enfermedades raras.
- El neurinoma hereditario, que suele ser bilateral y aparece en pacientes con neurofibromatosis tipo II, diagnosticándose desde edades más tempranas.
Estos tumores, afortunadamente, son de muy lento crecimiento (unos 0,2 cm al año), salvo situaciones especiales que le hagan aumentar rápidamente de tamaño, como una hemorragia intratumoral.
El nervio se compone de multitud de fibras nerviosas, prolongación de las neuronas, y de unas células que envuelven las fibras para protegerlas y hacer posible la conducción de los impulsos nerviosos; estas células son las llamadas células de Schwann y es en ellas precisamente donde se origina el schwannoma o neurinoma.
Problemas de equilibrio y vértigo
Debido a que del Neuroma acústico surgen del nervio vestibular responsable del equilibrio, la inestabilidad o los problemas de equilibrio pueden ser síntomas tempranos del neuroma acústico. Casi la mitad de las personas con neuromas acústicos notan estos síntomas, que tienden a empeorar si el tumor crece. Los neuromas acústicos grandes pueden comprimir partes del Cerebelo, lo que puede provocar caídas. Los pacientes tienden a caer hacia el lado del tumor. El sistema de equilibrio puede compensar la pérdida de equilibrio, por lo que puede estabilizarse. El verdadero vértigo (la sensación de girar o inclinarse) no se asocia comúnmente con los neuromas acústicos, pero a veces puede ocurrir debido al crecimiento del tumor o al sangrado.[3]
Cuadro clínico

Estos tumores suelen aparecer en la entrada del nervio en el conducto auditivo interno, que es un canal óseo del peñasco del hueso temporal, que comunica el laberinto con la fosa craneal posterior, y que es atravesado por cuatro nervios: el nervio facial y el nervio coclear en el plano anterior, y los vestibulares superior e inferior en el plano posterior. Al iniciarse en la parte del nervio que está ya dentro del conducto óseo (intracanalicular), el crecimiento del tumor produce precozmente una compresión de las fibras del nervio coclear, que pueden llevar a la disminución o pérdida de audición y a ciertos trastornos del equilibrio (aunque estos se suelen ir compensando con las señales del otro lado).
El neurinoma suele tener al principio un crecimiento que puede ser lento en la mayoría de los casos, pero al crecer va ensanchando el conducto auditivo, y luego sigue creciendo en el espacio intracraneal, conocido como fosa craneal posterior, en una zona que se conoce como ángulo pontocerebeloso.
Cuando ya tiene crecimiento intracraneal el tumor irá comprimiendo y afectando, en diversa medida hasta llegar a lesionar, al mismo nervio estatoacústico, al nervio facial, (que viaja paralelo a dicho nervio estatoacústico y cuya función es llevar los impulsos nerviosos necesarios para el movimiento de los músculos de la cara, incluidos los que cierran el ojo y mueven los labios), al nervio trigémino (que conduce la sensibilidad de la piel de la cara y de la córnea del ojo del mismo lado) y cuando alcanza mayor volumen puede llegar a comprimir el tronco cerebral, el cerebelo y el resto de nervios craneales.
Esta compresión sucesivamente irá afectando funciones como son: la audición, el movimiento de la cara, la sensibilidad de la cara, la deglución, el equilibrio, la precisión de los movimientos, el tono de voz, y pueden llegar a aparecer temblor, dolores de cabeza, hidrocefalia e hipertensión intracraneal, con grave afectación de las funciones vitales.
Los síntomas suelen depender principalmente del tamaño del tumor, y se clasifican en:
- Tumores de pequeño tamaño. Están confinados en el interior del conducto auditivo interno y producen pérdida de audición y acúfenos en ese oído, asociados en ocasiones a inestabilidad o vértigo. La pérdida de audición suele ser el primer síntoma y aparece en general de forma lentamente progresiva, pero existe un 5 % de pacientes con este tumor que no la presentan. En cuanto a las alteraciones del equilibrio, es más frecuente la inestabilidad que el vértigo propiamente dicho.
- Tumores de tamaño medio (entre 2-3 cm de diámetro). Son aquellos que crecen fuera del conducto auditivo interno, hacia la región intracraneal, pero sin llegar a comprimir el tronco cerebral. En este caso, además de los síntomas antes citados, aparecen otros como consecuencia de la compresión de las estructuras próximas, como parálisis facial unilateral, visión doble, alteraciones en la sensibilidad de un lado de la cara y problemas al caminar. Pueden aparecer episodios de dolor quemante o punzante sobre la mastoides por compresión de las fibras sensitivas del nervio facial. Moffat DA. Mastoid ache in acoustic neuroma. J Laryngol Otol 1989;103(11):1043-4
- Tumores de gran tamaño (más de 3 cm de diámetro). Son aquellos que comprimen ya el tronco cerebral produciendo, además de los síntomas previos, dolor de cabeza, que puede ser generalizado y con episodios de dolor severo occipital irradiado hacia abajo a la columna vertebral, asociado con retracción de la cabeza y el cuello, aturdimiento, perdida de la agudeza visual e incluso alteraciones de la personalidad. Si un tumor de este tamaño se deja evolucionar sin tratamiento puede producir la muerte del paciente, pues aunque sea benigno, el lugar en el que crece puede afectar a estructuras esenciales para la vida.
Diagnóstico

Al examinar el oído externamente mediante otoscopio, el médico especialista en oído no encuentra nada anormal.
La primera prueba que orientará el diagnóstico es una audiometría tonal (prueba sencilla que consiste en enviar al paciente sonidos a través de unos cascos de forma que el paciente debe responder cuando los oye). También puede realizarse una audiometría verbal (similar a la anterior, pero emitiendo palabras en lugar de sonidos aislados), aunque hoy día cada vez se utiliza menos para el diagnóstico del neurinoma, ya que cuando la audio-medición tonal es sospechosa, se pasa directamente a otras pruebas más específicas.
Así, si el índice de sospecha por los síntomas y por la audiometría tonal es muy alto, se solicitará una resonancia magnética craneal, con un contraste especial denominado Gadolinio, que es la técnica más específica existente hoy día y que ha revolucionado el diagnóstico de los neurinomas del octavo par craneal, permitiendo detectarlos con tamaños muy pequeños.
Si la sospecha tras la audiometría tonal no es excesiva, se realiza primero una prueba más sencilla denominada Potenciales Evocados Auditivos de Tronco Cerebral. Esta prueba consiste en la emisión de unos sonidos que le llegan al paciente también a través de unos cascos, pero este no tiene que dar ninguna respuesta, sino que el aparato recoge directamente su actividad cerebral a través de unos electrodos (parches pegados en la frente). Si esta prueba resulta normal, se suele repetir a los seis meses y si resulta patológica se pedirá una Resonancia Magnética con contraste.
Diagnóstico diferencial
Los diagnósticos diferenciales de un neurinoma acústico incluyen los siguientes:[4]
- Meningioma (5%-10% de las lesiones del CPA)
- Tumores de inclusión ectodérmica
- Epidermoide (5%-7% de las lesiones de CPA)
- Dermoide
- Metástasis
Neuroma de nervios craneales distintos del VIII par craneal:
- * Neuroma del trigémino .
- * Neuroma del nervio facial
- * Neurinoma de los 4 nervios craneales inferiores (IX, X, XI, XII)
Extensiones de lesiones cercanas en el APC:
- * Ectasia dolicobasilar
- * Aneurisma
- * Granuloma de colesterol (distinto del epidermoide)
- * Quiste neuroentérico
- * Quiste aracnoideo
- * Glioma del tronco encefálico o cerebeloso
- * Adenoma hipofisario
- * Craneofaringioma
- * Cordoma y tumores de la base del cráneo
- * Tumores del cuarto ventrículo (ependimoma, meduloblastoma)
- * Papiloma del plexo coroideo desde el cuarto ventrículo a través del agujero de Luschka
- * Tumor del glomo yugular
- * Tumores del hueso temporal
Complicaciones
La mayoría de las complicaciones están relacionadas con el procedimiento quirúrgico e incluyen las siguientes:
- Lesión de las arterias cerebelosas anterior o posterior inferior
- Lesión neurológica
- Hernia cerebral
- Hemorragia cerebral
- Lesión del cerebelo
- Parálisis facial
- Pérdida de la audición[1]
Tratamiento
El tratamiento clásico más aceptado es la extirpación del tumor mediante cirugía, existiendo diferentes técnicas quirúrgicas, cada una de las cuales estará más indicada en función del tamaño del tumor y del grado de pérdida auditiva principalmente. Todas ellas, dada la región anatómica tan delicada en la que se encuentra el tumor, tienen un cierto índice de mortalidad (entre el 0,4 % y el 4 % según la técnica empleada) y, en ocasiones, secuelas posquirúrgicas como pérdida auditiva completa en ese oído, parálisis facial, inestabilidad, etcétera., que variarán en porcentaje también según el tamaño tumoral y la técnica quirúrgica empleada.
El tratamiento quirúrgico presenta unos resultados variables según los distintos equipos de cirugía. Habitualmente publican sus casuísticas los neurocirujanos que tienen una especial dedicación a este tipo de tumor, ya que al no ser muy frecuente, es difícil alcanzar una cifra de operaciones que permita que los resultados sean significativos.
Por la localización del tumor en la base del cráneo y en contacto con los nervios craneales, con las arterias de la circulación posterior y con el tronco cerebral que tiene una microvascularización muy delicada, a veces no es posible la extirpación completa del tumor sin causar lesiones de estas estructuras. Otras muchas veces el tumor ha alterado tanto los nervios estatoacústico y facial, que es muy difícil extirpar el tumor conservando estos nervios. Según Pollock BE (en la Universidad de Pittsburg, USA) los índices de afectación post-cirugía son: para la audición del 86 % y del nervio facial del 37 %.
Otra alternativa a la cirugía es la llamada radiocirugía. Con esta técnica no se extirpa el tumor, sino que se le somete a un tipo de radiación específica que detiene o frena su crecimiento.
En el momento actual, el paciente con un neurinoma de menos de 3 cm de diámetro, debe ser informado de las posibilidades de curación y de secuelas o efectos secundarios, tanto con cirugía, como con radiocirugía.
El tratamiento con radiocirugía, proporciona un control del crecimiento tumoral (no crecen o se reducen) del 85 al 97 % según diferentes series.
Los efectos secundarios de la radiocirugía, según diversas series son: nueva afectación facial entre el 4 y el 10 %; afectación sensitiva del trigémino entre el 5 y el 20 %, afectación de la audición entre el 10 y el 30 %, afectación cerebelosa menor de un 3 %. La mayoría de estos déficits cuando aparecen es entre 3 y 12 meses, y pueden ser reversibles en la mayoría de los casos, al igual que ocurre con las complicaciones de la cirugía.
Una tercera opción consiste en la abstención terapéutica (no hacer nada) con una estrecha vigilancia del tumor mediante resonancia magnética. Esta actitud se suele emplear en pacientes con una edad muy avanzada en los que el tumor sea muy pequeño, y siempre tras haber ofrecido al paciente y a la familia todas las alternativas posibles.
Bibliografía
- Sagar, Stephen M (2008). «374». En Anthony S Fauci, ed. Harrison's Principles of Internal Medicine (en inglés) (17ª edición). Mc Graw Hill. ISBN 978-0-07-159991-7.
- Ropper, Allan H (2009). «31». Adams & Víctor's Principles of Neurology (en inglés) (9ª edición). Mc Graw Hill. ISBN 978-0-07-149992-7. Consultado el 14 de abril de 2011.
- Flint, Paul W (2010). Cummings Otolaryngology: Head & Neck Surgery (en inglés) (5ª edición). Mosby. pp. 2514-2517. ISBN 978-0-323-05283-2. Consultado el 14 de abril de 2011. (requiere registro).
- Pollock, BE. «Vestibular schwannoma management: an evidence-based comparison of stereotactic radiosurgery and microsurgical resection.» (en inglés). Consultado el 21 de abril de 2011.
- Myrseth, E. «Vestibular schwannoma: surgery or gamma knife radiosurgery? A prospective, nonrandomized study.» (en inglés). Consultado el 21 de abril de 2011.
Referencias
- ↑ a b Greene, Joshua; Al-Dhahir, Mohammed A. (2024). Acoustic Neuroma. StatPearls Publishing. Consultado el 29 de julio de 2024.
- ↑ «Neurofibromatosis National Institute of Neurological Disorders and Stroke». www.ninds.nih.gov (en inglés). Consultado el 29 de julio de 2024.
- ↑ Christopher Jackson & Francisco Xavier Creighton Jr. «Neuroma acústico (schwannoma vestibular)». Johns Hopkins Hospital (en inglés). Archivado desde el original el 12 de abril de 2015. Consultado el 25 de enero de 2024.
- ↑ Greene, Joshua; Al-Dhahir, Mohammed A. (2024). Acoustic Neuroma. StatPearls Publishing. Consultado el 17 de noviembre de 2024.
Enlaces externos
- Neurinoma del acústico (Neurinoma vestibular), Web personal de un médico tratado con radiocirugía.
