Vesícula seminal
| Las Vesículas seminales | ||
|---|---|---|
![]() Esquema del aparato reproductor masculino: 1. Vejiga urinaria 2. Hueso pubis 3. Pene 4. Cuerpo cavernoso 5. Glande 6. Prepucio 7. Abertura de la uretra 8. Colon sigmoideo 9. Recto 10. Vesículas seminales 11. Conducto eyaculador 12. Próstata 13. Glándula bulbouretral 14. Ano 15. Conducto deferente 16. Epidídimo 17. Testículo 18. Escroto | ||
| Nombre y clasificación | ||
| Latín | [TA]: glandula vesiculosa | |
| TA | A09.3.06.001 | |
| Gray | pág.1246 | |
| Información anatómica | ||
| Arteria | Arteria vesical inferior, arteria rectal media | |
| Vena | Vena vesical inferior, Vena rectal media | |
| Nervio | Nervio lumbar superior, Nervio hipogástrico | |
| Linfa | Linfáticos iliacos internos | |
|
| ||
Las vesículas seminales (también llamadas glándulas vesiculares,[1] o glándulas seminales) son un par de glándulas tubulares enroscadas que se encuentran detrás de la vejiga urinaria de algunos mamíferos machos. Segregan líquido que compone en parte el semen.
Las vesículas miden de 5 a 10 cm, de 3 a 5 cm de diámetro, y están situadas entre la vejiga y el recto. Tienen múltiples desembocaduras que contienen glándulas secretoras, que se unen con los conductos deferentes en el conducto eyaculador. Reciben sangre de la arteria vesiculodeferente y drenan en las venas vesiculodeferentes. Las glándulas están revestidas de células columnares y cuboidales. Las vesículas están presentes en muchos grupos de mamíferos, pero no en los marsupiales, monotremas o carnívoros.
La inflamación de las vesículas seminales se denomina vesiculitis seminal y suele deberse a una infección bacteriana como consecuencia de una enfermedad de transmisión sexual o tras una intervención quirúrgica. La vesiculitis seminal puede causar dolor en la parte baja del abdomen, el escroto, el pene o el peritoneo, eyaculación dolorosa y sangre en el semen. Suele tratarse con antibióticos, aunque puede requerir drenaje quirúrgico en casos complicados. Hay otras enfermedades que pueden afectar a las vesículas, como las anomalías congénitas (fallo o formación incompleta) y, en raras ocasiones, los tumores.
Las vesículas seminales ya habían sido descritas por Galeno en el siglo II d. C., aunque su nombre es muy posterior, ya que inicialmente se utilizó el término del que deriva la palabra próstata.
Estructura
Las vesículas seminales son un par de glándulas masculinas situadas debajo de la vejiga urinaria y al final de los conductos deferentes, donde entran en la próstata. Cada vesícula es un tubo enrollado y plegado, con divertículos ocasionales en su pared.[2] La parte inferior termina en un conducto recto denominado conducto excretor que se une con el conducto deferente de ese lado del cuerpo para formar un conducto eyaculador. Los conductos eyaculatorios atraviesan la glándula prostática antes de abrirse por separado en el verumontanum de la uretra prostática.[2] Las vesículas tienen un tamaño de 5-10 cm, un diámetro de 3-5 cm y un volumen de unos 13 mL.[3]
Las vesículas reciben riego sanguíneo de la arteria vesiculodeferencial y también de la arteria vesical inferior. La arteria vesiculodeferencial nace de las arterias umbilicales, que se ramifican directamente de las arterias ilíacas internas.[3] La sangre se drena en las venas vesiculodeferentes y el plexo vesical inferior, que drenan en las venas ilíacas internas.[3] El drenaje linfático se produce a lo largo de las vías venosas, drenando en los ganglios ilíacos internos.[3]
Las vesículas se encuentran detrás de la vejiga, al final de los vasa deferentia. Se encuentran en el espacio entre la vejiga y el recto; la vejiga y la próstata están delante, la punta del uréter entra en la vejiga por encima, y la fascia de Denonvilliers y el recto por detrás.[3]
Desarrollo
En el embrión en desarrollo, en el extremo posterior hay una cloaca. Entre la cuarta y la séptima semana, ésta se divide en un seno urogenital y el comienzo del canal anal, entre los que se forma una pared denominada tabique urorrectal.[4] Se forman dos conductos contiguos que conectan con el seno urogenital: el conducto mesonéfrico y el conducto paramesonéfrico, que forman los aparatos reproductores masculino y femenino respectivamente.[4]
En el varón, bajo la influencia de la testosterona, el conducto mesonéfrico prolifera, formando el epidídimo, el conducto deferente y, a través de una pequeña desembocadura cerca de la próstata en desarrollo, las vesículas seminales.[4] Las células de Sertoli secretan hormona antimulleriana, que hace que el conducto paramesonéfrico retroceda.[4]
El desarrollo y mantenimiento de las vesículas seminales, así como su secreción y tamaño/peso, dependen en gran medida de los andrógenos.[5][6] Las vesículas seminales contienen 5α-reductasa, que metaboliza la testosterona en su metabolito mucho más potente, la dihidrotestosterona (DHT).[6] También se ha descubierto que las vesículas seminales contienen receptores de la hormona luteinizante, por lo que también pueden estar reguladas por el ligando de este receptor, la hormona luteinizante.[6]
Microanatomía
El revestimiento interno de las vesículas seminales (el epitelio) está formado por un revestimiento de células intercaladas en forma de columna y de cubo.[7] Existen diversas descripciones del revestimiento como pseudoestratificado y formado únicamente por células en forma de columna.[8] Cuando se observan al microscopio, se ve que las células tienen grandes burbujas en su interior. Esto se debe a que su interior, llamado citoplasma, contiene gotitas de lípidos que intervienen en la secreción durante la eyaculación.[7] El tejido de las vesículas seminales está lleno de glándulas, espaciadas irregularmente.[7] Además de glándulas, las vesículas seminales contienen músculo liso y tejido conjuntivo.[7] Este tejido fibroso y muscular rodea las glándulas, ayudando a expulsar su contenido.[3] La superficie externa de las glándulas está cubierta de peritoneo.[3]
-
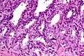
Micrografía a bajo aumento de la vesícula seminal. Tinción de H&E. -
Micrografía a gran aumento de la vesícula seminal. Tinción H&E.
Función
Las vesículas seminales segregan una parte importante del líquido denominado Plasma seminal que se integrará como semen.[9]
El líquido es secretado por los conductos eyaculadores de las vesículas hacia los conductos deferentes, donde se convierte en parte del semen. A continuación, pasa a través de la uretra, donde se eyacula durante la respuesta sexual masculina.[8]
Alrededor del 70-85% del líquido seminal humano procede de las vesículas seminales.[10] El fluido se compone de nutrientes como fructosa y ácido cítrico, prostaglandinas y fibrinógeno.[9] Los nutrientes ayudan a mantener el esperma hasta que se produce la fecundación; las prostaglandinas también pueden ayudar ablandando la mucosa del cuello uterino y provocando contracciones inversas de partes del aparato reproductor femenino, como las trompas de Falopio, para garantizar que el esperma tenga menos probabilidades de ser expulsado.[9]
Importancia clínica
Enfermedad
Las enfermedades de las vesículas seminales, a diferencia de las de la glándula prostática, son extremadamente raras y aparecen con poca frecuencia en la literatura médica.[11]
Las anomalías congénitas asociadas a las vesículas seminales incluyen la falta de desarrollo, ya sea completo (agenesia) o parcial (hipoplasia), y los quistes.[12][13] La falta de formación de las vesículas se asocia a menudo a la ausencia de conductos deferentes o a una conexión anormal entre los conductos deferentes y el uréter.[3] Las vesículas seminales también pueden verse afectadas por quistes, amiloidosis y cálculos.[12][13] Los cálculos o quistes que se infectan u obstruyen los conductos deferentes o las vesículas seminales pueden requerir intervención quirúrgica.[8]
La vesiculitis seminal (también conocida como espermatocistitis) es una inflamación de las vesículas seminales, causada en la mayoría de los casos por una infección bacteriana. Los síntomas pueden incluir dolor vago en la espalda o en la parte baja del abdomen; dolor en el pene, el escroto o el peritoneo; eyaculación dolorosa; sangre en el semen al eyacular; síntomas irritativos y obstructivos de la micción; e impotencia.[14] La infección puede deberse a infecciones de transmisión sexual, como complicación de un procedimiento como la biopsia de próstata.[8] Suele tratarse con antibióticos. Si una persona experimenta molestias continuas, se puede considerar la vesiculoscopia seminal transuretral.[15][16] También puede ser necesaria la intervención en forma de drenaje a través de la piel o cirugía si la infección se convierte en un absceso.[8] Las vesículas seminales también pueden verse afectadas por la tuberculosis, la esquistosomiasis y la hidatidosis.[12][13] Estas enfermedades se investigan, diagnostican y tratan en función de la enfermedad subyacente.[8]
Los tumores benignos de las vesículas seminales son raros.[8] Cuando se producen, suelen ser adenomas papilares y cistoadenomas. No provocan elevación de los marcadores tumorales y suelen diagnosticarse mediante el examen del tejido extirpado tras una intervención quirúrgica.[8] El adenocarcinoma primario de las vesículas seminales, aunque poco frecuente, constituye el cáncer maligno más común de las vesículas seminales;[17] dicho esto, la mayoría de los cánceres malignos que afectan a las vesículas son lesiones que se han extendido a las vesículas desde partes cercanas del cuerpo.[8] Cuando se produce un adenocarcinoma, puede causar sangre en la orina, sangre en el semen, dolor al orinar, retención urinaria o incluso obstrucción urinaria.[8] Los adenocarcinomas suelen diagnosticarse tras su extirpación, basándose en el diagnóstico del tejido.[8] Algunos producen el marcador tumoral Ca-125, que puede utilizarse para controlar la reaparición posterior.[8] Otras neoplasias aún más raras son el sarcoma, el carcinoma de células escamosas, el tumor del saco vitelino, el carcinoma neuroendocrino, el paraganglioma, los tumores del estroma epitelial y el linfoma.[17]
Investigaciones
Los síntomas debidos a enfermedades de las vesículas seminales pueden ser vagos y no atribuibles específicamente a las propias vesículas; además, algunas afecciones como tumores o quistes pueden no causar ningún síntoma.[8] Cuando se sospecha la existencia de enfermedades, como dolor al eyacular, sangre en la orina, infertilidad, obstrucción de las vías urinarias, se pueden llevar a cabo otras investigaciones.[8]
El tacto rectal, que consiste en la introducción de un dedo por el médico a través del ano, puede provocar una sensibilidad mayor de lo habitual en la próstata o revelar una vesícula seminal grande.[8] La palpación depende de la longitud del dedo índice, ya que las vesículas seminales están situadas por encima de la glándula prostática y retrovesical (detrás de la vejiga).
Se puede recoger una muestra de orina, que probablemente mostrará sangre en la orina.[8] El examen de laboratorio del líquido de la vesícula seminal requiere una muestra de semen, por ejemplo, para un cultivo de semen o un análisis de semen. Los niveles de fructosa proporcionan una medida de la función de la vesícula seminal y, si están ausentes, se sospecha agenesia bilateral u obstrucción.[12]
El diagnóstico por imagen de las vesículas se realiza mediante ecografía transrectal, tomografía computarizada o resonancia magnética.[8] Un examen mediante cistoscopia, en el que se introduce un tubo flexible en la uretra, puede mostrar enfermedad de las vesículas debido a cambios en el aspecto normal del trígono vesical cercano, o de la uretra prostática.[8]
Otros animales
La evolución de las vesículas seminales puede haber estado influida por la selección sexual. Se dan en muchos grupos de mamíferos,[18] pero están ausentes en marsupiales, monotremas y carnívoros.[19][20] La función es similar en todos los mamíferos en los que están presentes, que es segregar un fluido como parte del semen que se eyacula durante la respuesta sexual.[18]
Historia
Galeno ya describió la acción de las vesículas seminales en el siglo II d. C. como «cuerpos glandulares» que segregan sustancias junto con el semen durante la reproducción.[19] En la época de Herófilo ya se había descrito la presencia de glándulas y conductos asociados.[19] Alrededor de principios del siglo XVII, la palabra utilizada para describir las vesículas, parastatai, se utilizó finalmente y sin ambigüedades para referirse a la glándula prostática, en lugar de a las vesículas.[19] La primera vez que se retrató la próstata en un dibujo individual fue por Reiner De Graaf en 1678.[19]
En 1993 se describió por primera vez el uso de la cirugía laparoscópica en las vesículas; actualmente es el método preferido debido a la disminución del dolor, las complicaciones y una estancia hospitalaria más corta.[8]
Imágenes adicionales hipófisis
-
Vesículas seminales vistas en una resonancia magnética a través de la pelvis. La zona grande de color cian es la vejiga, y las estructuras lobuladas más pequeñas situadas debajo son las vesículas. -
Vesículas seminales vistas en un espécimen cadavérico desde arriba, con la vejiga en la parte inferior de la imagen y el recto en la parte superior. Se aprecia su posición cerca de los conductos deferentes. -
Fondo de vejiga con vesículas seminales.
Véase también
Referencias
- ↑ Wilke, W. Lee; Fails, Anna Dee (2009). Anatomy and physiology of farm animals (7th ed edición). Wiley-Blackwell. p. 409. ISBN 978-0-8138-1394-3. OCLC 277018260. Consultado el 16 de febrero de 2023.
- ↑ a b Pawlina, Wojciech (2011). Histology : a text and atlas : with correlated cell and molecular biology (6th ed edición). Wolters Kluwer/Lippincott Williams & Wilkins Health. p. 828. ISBN 978-0-7817-7200-6. OCLC 548651322. Consultado el 16 de febrero de 2023.
- ↑ a b c d e f g h Standring, Susan (2016). Gray's anatomy : the anatomical basis of clinical practice (Forty-first edition edición). pp. 1279-1280. ISBN 978-0-7020-5230-9. OCLC 920806541. Consultado el 16 de febrero de 2023.
- ↑ a b c d Sadler, T. W. (2019). Langman's medical embryology (Fourteenth edition edición). pp. 271-5. ISBN 978-1-4963-8390-7. OCLC 1042400100. Consultado el 16 de febrero de 2023.
- ↑ Heni, Felix; Kuntz, Albert; McDonald, D. F.; Quénu, Louis; Wesson, Laurence G.; Wilson, Clifford (1965). Physiologie und Pathologische Physiologie. Springer Berlin Heidelberg. pp. 611-. ISBN 978-3-642-46020-3. OCLC 851746096. Consultado el 16 de febrero de 2023.
- ↑ a b c Gonzales, G. F. (2001-12). «Function of seminal vesicles and their role on male fertility». Asian Journal of Andrology 3 (4): 251-258. ISSN 1008-682X. PMID 11753468. Consultado el 16 de febrero de 2023.
- ↑ a b c d O'Dowd, Geraldine; Woodford, Phillip (2014). Wheater's functional histology : a text and colour atlas. (Sixth edition edición). p. 346. ISBN 978-0-7020-5488-4. OCLC 861650889. Consultado el 16 de febrero de 2023.
- ↑ a b c d e f g h i j k l m n ñ o p q r Smith, Arthur D.; Badlani, Gopal H.; Preminger, Glenn M.; Kavoussi, Louis R.; Rastinehad, Ardeshir R. (2019). Smith's textbook of endourology. [Volume 1 & 2] (Fourth edition edición). pp. 1292-1298. ISBN 978-1-119-24515-5. OCLC 1035777991. Consultado el 16 de febrero de 2023.
- ↑ a b c Hall, John E. (2016). Guyton and Hall textbook of medical physiology (13th edition edición). p. 1024. ISBN 978-1-4557-7005-2. OCLC 900869748. Consultado el 16 de febrero de 2023.
- ↑ Tres, Laura L. (2012). Histology and cell biology : an introduction to pathology (3.a edición). Saunders. p. 624. ISBN 978-0-323-07842-9. OCLC 700377082. Consultado el 16 de febrero de 2023.
- ↑ Dagur, Gautam; Warren, Kelly; Singh, Navjot; Khan, Sardar Ali; Department of Physiology and Biophysics, SUNY at Stony Brook; Department of Physiology and Biophysics, SUNY at Stony Brook; Department of Physiology and Biophysics, SUNY at Stony Brook; Department of Physiology and Biophysics, SUNY at Stony Brook (2016). «Detecting diseases of neglected seminal vesicles using imaging modalities: A review of current literature». International Journal of Reproductive BioMedicine (en inglés) 14 (5): 293. ISSN 2476-4108. Consultado el 16 de febrero de 2023. (requiere suscripción).
- ↑ a b c d Smith, Arthur D. (2007). Smith's textbook of endourology (2nd ed edición). BC Decker Inc. pp. 759-766. ISBN 978-1-55009-365-0. OCLC 169450740. Consultado el 16 de febrero de 2023.
- ↑ a b c «Seminal vesicle diseases» (en inglés). Geneva Foundation for Medical Education and Research. Archivado desde el original el 26 de abril de 2014. Consultado el 15 de febrero de 2023.
- ↑ Nickel, J. Curtis (1999). «25: Seminal vesiculitis». Textbook of prostatitis. Isis Medical Media. pp. 219-225. ISBN 978-1-901865-04-2. OCLC 43931794. Consultado el 16 de febrero de 2023.
- ↑ La Vignera, S.; Vicari, E.; Condorelli, R. A.; D’Agata, R.; Calogero, A. E. (2011-10). «Male accessory gland infection and sperm parameters (review): MAGI and sperm parameters». International Journal of Andrology (en inglés) 34 (5pt2): e330-e347. doi:10.1111/j.1365-2605.2011.01200.x. Consultado el 16 de febrero de 2023.
- ↑ Liu, Bianjiang; Li, Jie; Li, Pengchao; Zhang, Jiexiu; Song, Ninghong; Wang, Zengjun; Yin, Changjun (2014-02). «Transurethral seminal vesiculoscopy in the diagnosis and treatment of intractable seminal vesiculitis». Journal of International Medical Research (en inglés) 42 (1): 236-242. ISSN 0300-0605. doi:10.1177/0300060513509472. Consultado el 16 de febrero de 2023.
- ↑ a b Katafigiotis, Ioannis; Sfoungaristos, Stavros; Duvdevani, Mordechai; Mitsos, Panagiotis; Roumelioti, Eleni; Stravodimos, Konstantinos; Anastasiou, Ioannis; Constantinides, Constantinos A. (31 de marzo de 2016). «Primary adenocarcinoma of the seminal vesicles. A review of the literature». Archivio Italiano di Urologia e Andrologia 88 (1): 47. ISSN 2282-4197. doi:10.4081/aiua.2016.1.47. Consultado el 16 de febrero de 2023.
- ↑ a b Kardong, Kenneth V. (2019). Vertebrates : comparative anatomy, function, evolution (Eighth edition edición). p. 564. ISBN 978-1-259-70091-0. OCLC 1053847969. Consultado el 16 de febrero de 2023.
- ↑ a b c d e Josef Marx, Franz; Karenberg, Axel (1 de febrero de 2009). «History of the Term Prostate». The Prostate (en inglés) 69 (2): 208-213. doi:10.1002/pros.20871. Consultado el 16 de febrero de 2023. «El humor producido en esos cuerpos glandulares se vierte en el conducto urinario en el varón junto con el semen y sus usos son excitar al acto sexual, hacer placentero el coito y humedecer el conducto urinario.»
- ↑ Dixson, Alan F. (1998). «Sexual selection and evolution of the seminal vesicles in primates» (en inglés). Folia Primatologica 69.5. pp. 300-306.
Enlaces externos
- Esta obra contiene una traducción total derivada de «Seminal vesicles» de Wikipedia en inglés, concretamente de esta versión del 3 de febrero de 2023, publicada por sus editores bajo la Licencia de documentación libre de GNU y la Licencia Creative Commons Atribución-CompartirIgual 4.0 Internacional.
- Imagen histológica: 17501loa – Sistema de Aprendizaje de Histología de la Universidad de Boston - «Sistema reproductor masculino: próstata, vesícula seminal».
- Foto de anatomía:44:04-0202 en el SUNY Downstate Medical Center – «La pelvis masculina: la vejiga urinaria».
- Foto de anatomía:44:08-0103 en el SUNY Downstate Medical Center - «La pelvis masculina: estructuras situadas posteriormente a la vejiga urinaria».
Wikimedia Commons alberga una galería multimedia sobre Vesícula seminal.
